肺表面活性蛋白C前体肽抗体

肺表面活性蛋白C前体肽抗体

收藏
  • 询价
  • 上海研生
  • 进口/国产
  • 2025年12月17日
  • WB,ELISA,IP,ICC等
  • 人,兔,羊,牛,狗等
  • Human, Mouse, Rat, Cow, Rabbit, Sheep
avatar
  • 企业认证

    点击 QQ 联系

    • 详细信息
    • 技术资料
    • 库存

      大量

    • 靶点

      SP-C Propeptide

    • 克隆性

      多克隆

    • 抗原来源

      Rabbit

    • 抗体英文名

      Anti-SP-C Propeptide

    • 抗体名

      肺表面活性蛋白C前体肽抗体

    • 标记物

      HRP,AKP

    • 宿主

      人,兔,羊,牛,狗等

    • 适应物种

      Human, Mouse, Rat, Cow, Rabbit, Sheep

    • 免疫原

      KLH conjugated synthetic peptide derived from human SP-C Propeptide

    • 亚型

      IgG 

    • 形态

      冻干或液体

    • 应用范围

      WB,ELISA,IP,ICC等

    • 浓度

       1mg/1ml 

    • 保存条件

      -20 °C

    • 规格

      0.1ml/100μg0.2ml/200μg

    肺表面活性蛋白C前体肽抗体产品简介:
    英文名称  Anti-SP-C Propeptide
    中文名称  肺表面活性蛋白C前体肽抗体

    PSP C; PSPC; Pulmonary surfactant apoprotein 2; pulmonary surfactant apoprotein PSP C; pulmonary surfactant associated protein C; pulmonary surfactant associated proteolipid SPL pVal; Pulmonary surfactant associated proteolipid SPL(Val); SFTP 2; SFTP2; SFTPC; SFTPC surfactant pulmonary associated protein C; SP 5; SP C; SP5; SPC; surfactant associated protein pulmonary 2; Surfactant protein c; Surfactant pulmonary associated protein C; PSPC_HUMAN.
    1mg/1ml
    0.1ml/100μg 0.2ml/200μg
    抗体来源 Rabbit
    克隆类型 polyclonal
    交叉反应 Human, Mouse, Rat, Cow, Rabbit, Sheep
    产品类型 一抗
    研究领域
    Lyophilized or Liquid免 疫 原 KLH conjugated synthetic peptide derived from human SP-C Propeptide
    Lyophilized or Liquid
    KLH conjugated synthetic peptide derived from human SP-C Propeptide
    IgG
    纯化方法 affinity purified by Protein A
    Preservative: 15mM Sodium Azide, Constituents: 1% BSA, 0.01M PBS, pH 7.4
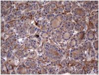
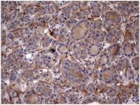
    产品应用 WB=1:100-500 ELISA=1:500-1000 IP=1:20-100 IHC-P=1:100-500 IHC-F=1:100-500 ICC=1:100-500 IF=1:100-500

    公司优势:
    ★专业营销进口或国产品牌的抗体试剂,种类齐全,数量繁多,涵盖各种生命科研项目,具体有一抗二抗,单抗多抗,标记抗体以及其他各种类型的抗体;
    ★服务经验丰富,我们提供标记服务,各种标本、种属、具体指标齐全,资深的专业背景和高素质的技术团队,准能让您感受到我们的专业水准;
    ★关于肺表面活性蛋白C前体肽抗体更多详情,请来电咨询

    肺表面活性蛋白C前体肽抗体抗体分子标记技术:
    (一)原理
    当应用化学氧化法时,碘化钠(NaI)遇强氧化剂,碘离子被氧化为碘分子,所生成的自由碘分子可与某些基团进行卤化反应。蛋白质分子可进行卤化反应的基团主要为酪氨酸残基,某些组氨酸残基也可能进行碘化。在应用氯胺T( Chloramine T)法的实验中,所用的氧化剂(1,3,4,6- tetrachloro-3a,6adipheny l-glucoluril)强挥发性的有机溶剂中。该溶剂加入试管后,先让其挥发(即让氧化剂将试管包被),然后把Na125I和蛋白质液加入包被好的试管中,反应完成即将混合液移入他管终止反应。
    (二)准备
    1.试剂
    经亲和层析纯化的多克隆抗体或单克隆抗体;0.5mol/L磷酸钠缓冲液,pH7.5;无载体的Na125I3.7GBq/ml(100mCi/ml)的NaOH液;100g/L三氯醋酸;70%乙醇;新鲜制备的含2mg/m1氯络胺T的0.5mol/L磷酸钠缓冲液(pH7.5);氯胺T反应终止缓冲液;
    2.仪器
    凝胶过滤柱;¥-记数器;玻璃纤维滤。
    (三)操作要点
    1.用氯胺T法进行碘化,也可在大约pH7.0的缓冲液中进行;
    2.如果氧化反应损伤蛋白质,可将抗体与异硫氰酸荧光素(FITC)偶联)胺T量减少到0.02mg/m,并将偏重亚硫酸液的浓度降到0.024mg/ml;
    3. Iodogen-包被的试管可在干燥器中,于室温下保存多年;
    4.1251标记的抗体,在制备后六周内均可使用(1251的半衰期为59.6天);
    5.要注意保证所用的Na1251是新鲜的,陈旧制剂的比活性低;
    6.酪氨酸的碘化偶尔会对抗原的抗体结合位点有干扰,因此降低其结合能力,但这种情况很少见。

    公司提供:
     263429 兔抗CEN1多克隆抗体

    英文名:Anti-CEN1 rabbit polyclonal antiboy
    冷冻(-20℃) 避光
    164230 兔抗IER5多克隆抗体
    英文名:Anti-IER5 rabbit polyclonal antiboy
    冷冻(-20℃) 避光
     161097 兔抗PTPRJ多克隆抗体
    英文名:Anti-PTPRJ rabbit polyclonal antiboy
    冷冻(-20℃) 避光
     190758 小鼠抗FOS单克隆抗体
    英文名:Anti-FOS mouse monoclonal antiboy
    冷冻(-20℃)
     220424 兔抗CSNK2A1多克隆抗体
    英文名:Anti-CSNK2A1 rabbit polyclonal antiboy
    冷冻(-20℃) 避光
     23515 兔抗USP15多克隆抗体
    英文名:Anti-USP15 rabbit polyclonal antiboy
    冷冻(-20℃) 避光
     262000 兔抗MMP9多克隆抗体
    英文名:Anti-MMP9 rabbit polyclonal antiboy
    冷冻(-20℃) 避光
     52417 兔抗STEAP3多克隆抗体
    英文名:Anti-STEAP3 rabbit polyclonal antiboy
    冷冻(-20℃) 避光
    肺表面活性蛋白C前体肽抗体F81(猫肾细胞)酿酒酵母 Saccharomyces cerevisiae
    酿酒酵母 Saccharomyces cerevisiae豇豆慢生根瘤菌 Bradyrhizobium vigna
    大豆慢生根瘤菌MX-1(人腺细胞)
    人淋巴成纤维细胞完全培养基植物杆菌 Lactobacillus plantarum
    酿酒酵母 Saccharomyces cerevisiae金横裂链霉菌 Streptomyces aureosegmentosus
    地衣芽孢杆菌 Bacillus licheniformis大鼠骨骼肌细胞完全培养基
    苏云金芽胞杆菌励木亚种 Bacillus thuringiensis subsp. tochigiensis鞘氨醇杆菌属 Sphingobacterium sp.
    小鼠肺大动脉平滑肌细胞完全培养基黑曲霉 Aspergillus niger
    鲜绿青霉 Penicillium viridicatum大豆慢生根瘤菌 Bradyrhizobium japonicum
     

    风险提示:丁香通仅作为第三方平台,为商家信息发布提供平台空间。用户咨询产品时请注意保护个人信息及财产安全,合理判断,谨慎选购商品,商家和用户对交易行为负责。对于医疗器械类产品,请先查证核实企业经营资质和医疗器械产品注册证情况。

    图标技术资料

    暂无技术资料 索取技术资料

    同类产品报价

    产品名称
    产品价格
    公司名称
    报价日期
    询价
    上海抚生实业有限公司
    2025年07月12日询价
    ¥1580
    上海钦诚生物科技有限公司
    2025年07月02日询价
    ¥1280
    上海雅吉生物科技有限公司
    2025年07月12日询价
    询价
    上海研生实业有限公司
    2023年10月18日询价
    ¥800
    北京百奥莱博科技有限公司
    2024年04月07日询价
    肺表面活性蛋白C前体肽抗体
    询价