相关产品推荐更多 >
万千商家帮你免费找货
0 人在求购买到急需产品
- 详细信息
- 技术资料
- 供应商:
上海抚生
- 库存:
大量
- 靶点:
Ube2L6
- 克隆性:
多克隆
- 抗原来源:
Rabbit
- 抗体英文名:
Anti-Ube2L6
- 抗体名:
泛素载体蛋白L6抗体
- 标记物:
HRP,AKP
- 宿主:
人,鼠,猴,鸡,狗,猪等
- 适应物种:
Mouse, Rat
- 免疫原:
KLH conjugated synthetic peptide derived from human Ube2L6
- 亚型:
IgG
- 形态:
冻干或液体
- 应用范围:
WB,ELISA,ICC,IP等
- 浓度:
1mg/1ml
- 保存条件:
-20℃
- 规格:
0.2ml/200μg
泛素载体蛋白L6抗体产品简介:
英文名称 Anti-Ube2L6
中文名称 泛素载体蛋白L6抗体
别 名 Retinoic acid induced gene B protein; Retinoic acid-induced gene B protein; RIG B; RIG-B; UB2L6_HUMAN; UBCH 8; UBCH8; UBE2L6; Ubiquitin carrier protein; Ubiquitin carrier protein L6; Ubiquitin conjugating enzyme E2L 6; Ubiquitin protein ligase; Ubiquitin protein ligase L6; Ubiquitin-protein ligase L6; Ubiquitin/ISG15 conjugating enzyme E2 L6; Ubiquitin/ISG15-conjugating enzyme E2 L6.
浓 度 1mg/1ml
规 格 0.2ml/200μg
抗体来源 Rabbit
克隆类型 polyclonal
交叉反应 Mouse, Rat
产品类型 一抗
研究领域 细胞生物 免疫学 信号转导 表观遗传学
蛋白分子量 predicted molecular weight:18kDa
性 状 Lyophilized or Liquid
免 疫 原 KLH conjugated synthetic peptide derived from human Ube2L6
亚 型 IgG
纯化方法 affinity purified by Protein A
储 存 液 Preservative: 15mM Sodium Azide, Constituents: 1% BSA, 0.01M PBS, pH 7.4
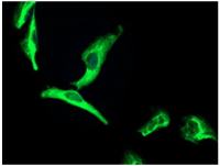
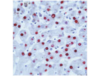
产品应用 WB=1:100-500 ELISA=1:500-1000 IP=1:20-100 IHC-P=1:100-500 IHC-F=1:100-500 IF=1:50-200
公司优势:
支持。
泛素载体蛋白L6抗体实验流程:
泛素载体蛋白L6抗体相关产品:
特价促销hnRNP L 异质核糖核蛋白L抗体规格 0.2ml
特价促销hnRNP K 异质核糖核蛋白K抗体规格 0.2ml
特价促销hnRNP F 异质核糖核蛋白F抗体规格 0.2ml
特价促销hnRNP A2B1 异质核糖核蛋白hnRNPA2抗体规格 0.2ml
特价促销HNF4/TCF4/HNF4A 肝细胞核因子4α抗体规格 0.1ml
特价促销HNF1/TCF1/HNF1A 肝细胞核因子1α抗体规格 0.2ml
特价促销HN1L 雄激素调节样蛋白抗体规格 0.2ml
泛素载体蛋白L6抗体用于分离真菌,酵母菌等250TTC-Sabourand’s Medium氯化三苯四氮唑-沙保罗培养基
用于肠道致病菌的选择性分离、培养(OXOID方法)250Maconkey Agar麦康凯琼脂
用于肠道致病菌的选择性分离、培养(OXOID方法)250Maconkey Agar(without salt)麦康凯琼脂(不含盐)
用于肠道致病菌的选择性分离、培养(OXOID方法)250Maconkey Agar No.2麦康凯琼脂2号
用于肠道致病菌的选择性分离、培养(OXOID方法)250Maconkey Agar No.3麦康凯琼脂3号
用于分离霍乱弧菌250Alkaline Agar碱性琼脂平板
用于分离霍乱弧菌250Alkaline Bile Salt Agar碱性胆盐琼脂
英文名称 Anti-Ube2L6
中文名称 泛素载体蛋白L6抗体
别 名 Retinoic acid induced gene B protein; Retinoic acid-induced gene B protein; RIG B; RIG-B; UB2L6_HUMAN; UBCH 8; UBCH8; UBE2L6; Ubiquitin carrier protein; Ubiquitin carrier protein L6; Ubiquitin conjugating enzyme E2L 6; Ubiquitin protein ligase; Ubiquitin protein ligase L6; Ubiquitin-protein ligase L6; Ubiquitin/ISG15 conjugating enzyme E2 L6; Ubiquitin/ISG15-conjugating enzyme E2 L6.
浓 度 1mg/1ml
规 格 0.2ml/200μg
抗体来源 Rabbit
克隆类型 polyclonal
交叉反应 Mouse, Rat
产品类型 一抗
研究领域 细胞生物 免疫学 信号转导 表观遗传学
蛋白分子量 predicted molecular weight:18kDa
性 状 Lyophilized or Liquid
免 疫 原 KLH conjugated synthetic peptide derived from human Ube2L6
亚 型 IgG
纯化方法 affinity purified by Protein A
储 存 液 Preservative: 15mM Sodium Azide, Constituents: 1% BSA, 0.01M PBS, pH 7.4
产品应用 WB=1:100-500 ELISA=1:500-1000 IP=1:20-100 IHC-P=1:100-500 IHC-F=1:100-500 IF=1:50-200
公司优势:
| 质量: | 我司提供的的细胞为世界知名品牌ATCC,皆经过严格的检验,保质保量。 |
| 价格: | 价格实惠,量大从优,产品价格随时会变动,实时报价还请来电获取。 |
| 供应: | 泛素载体蛋白L6抗体现货供应,周期短。 |
| 服务: | 提供完整的售前、售后和售中服务,如遇技术难题还可联系我司获取相应的技术支持。 |
泛素载体蛋白L6抗体实验流程:
泛素载体蛋白L6抗体相关产品:
特价促销hnRNP L 异质核糖核蛋白L抗体规格 0.2ml
特价促销hnRNP K 异质核糖核蛋白K抗体规格 0.2ml
特价促销hnRNP F 异质核糖核蛋白F抗体规格 0.2ml
特价促销hnRNP A2B1 异质核糖核蛋白hnRNPA2抗体规格 0.2ml
特价促销HNF4/TCF4/HNF4A 肝细胞核因子4α抗体规格 0.1ml
特价促销HNF1/TCF1/HNF1A 肝细胞核因子1α抗体规格 0.2ml
特价促销HN1L 雄激素调节样蛋白抗体规格 0.2ml
泛素载体蛋白L6抗体用于分离真菌,酵母菌等250TTC-Sabourand’s Medium氯化三苯四氮唑-沙保罗培养基
用于肠道致病菌的选择性分离、培养(OXOID方法)250Maconkey Agar麦康凯琼脂
用于肠道致病菌的选择性分离、培养(OXOID方法)250Maconkey Agar(without salt)麦康凯琼脂(不含盐)
用于肠道致病菌的选择性分离、培养(OXOID方法)250Maconkey Agar No.2麦康凯琼脂2号
用于肠道致病菌的选择性分离、培养(OXOID方法)250Maconkey Agar No.3麦康凯琼脂3号
用于分离霍乱弧菌250Alkaline Agar碱性琼脂平板
用于分离霍乱弧菌250Alkaline Bile Salt Agar碱性胆盐琼脂
风险提示:丁香通仅作为第三方平台,为商家信息发布提供平台空间。用户咨询产品时请注意保护个人信息及财产安全,合理判断,谨慎选购商品,商家和用户对交易行为负责。对于医疗器械类产品,请先查证核实企业经营资质和医疗器械产品注册证情况。
技术资料暂无技术资料 索取技术资料
泛素载体蛋白L6抗体
询价









