相关产品推荐更多 >
万千商家帮你免费找货
0 人在求购买到急需产品
- 详细信息
- 技术资料
- 供应商:
上海抚生
- 库存:
大量
- 靶点:
UBE2A
- 克隆性:
多克隆
- 抗原来源:
Rabbit
- 抗体英文名:
Anti-UBE2A/UBE2B/RAD6
- 抗体名:
泛素结合酶E2蛋白A抗体
- 标记物:
HRP,AKP
- 宿主:
人,鼠,猴,鸡,狗,猪等
- 适应物种:
Human, Mouse, Rat, Chicken, Cow
- 免疫原:
KLH conjugated synthetic peptide derived from human UBE2A/UBE2B/RAD6
- 亚型:
IgG
- 形态:
冻干或液体
- 应用范围:
WB,ELISA,ICC,IP等
- 浓度:
1mg/1ml
- 保存条件:
-20℃
- 规格:
0.2ml/200μg
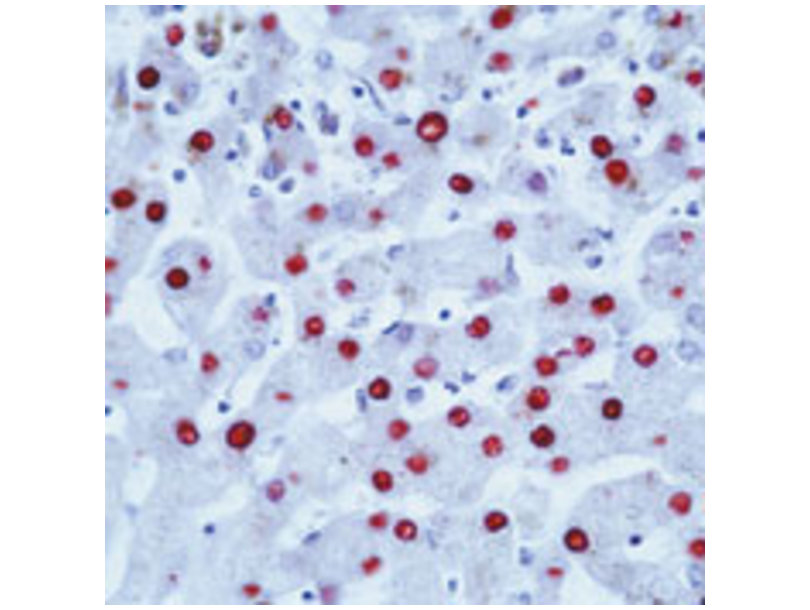
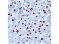
泛素结合酶E2蛋白A抗体产品资料:
英文名称 Anti-UBE2A/UBE2B/RAD6
中文名称 泛素结合酶E2蛋白A抗体
别 名 BHR6A; hHR6A; HR6A; mHR6A; RAD6 homolog A; RAD6A; RAD6B; UBC-1; UBC2; UBC6; UBCD6; UBE2A; UBE2A_HUMAN; UBE2B; Ubiquitin carrier protein A; Ubiquitin carrier protein; Ubiquitin conjugating enzyme E2 17 kDa; Ubiquitin conjugating enzyme E2 21.5 kDa; Ubiquitin conjugating enzyme E2 A; Ubiquitin protein ligase A; Ubiquitin-conjugating enzyme E2 A; Ubiquitin-conjugating enzyme E2-17 kDa; Ubiquitin-conjugating enzyme E2-21.5 kDa; Ubiquitin-protein ligase A.
浓 度 1mg/1ml
规 格 0.2ml/200μg
抗体来源 Rabbit
克隆类型 polyclonal
交叉反应 Human, Mouse, Rat, Chicken, Cow
产品类型 一抗
研究领域 细胞生物 免疫学 表观遗传学
蛋白分子量 predicted molecular weight:17kDa
性 状 Lyophilized or Liquid
免 疫 原 KLH conjugated synthetic peptide derived from human UBE2A/UBE2B/RAD6
亚 型 IgG
纯化方法 affinity purified by Protein A
储 存 液 Preservative: 15mM Sodium Azide, Constituents: 1% BSA, 0.01M PBS, pH 7.4
产品应用 WB=1:100-500 ELISA=1:500-1000 IP=1:20-100 IHC-P=1:100-500 IHC-F=1:100-500 IF=1:50-200
泛素结合酶E2蛋白A抗体产品优势:
荧光标记抗体实验要点:
1.偶联反应要求在尽可能接近pH9.8的溶液中进行,而且注意在反应过程中要保持此pH水平;
2.要确定在偶联反应缓冲液中不含游离氨基(Tris,氨及叠氮钠均可与FITC反应,因此会降低蛋白质与FITC的偶联率);
3.FITC与蛋白质的比值(F/P),可通过测定495m与280nm吸光度来鉴定;
4.FITC缺限是易被光淬灭,因此复合物必须始终避光保存;
5.如果FITC一复合物对PBS透析不充分,可能造成高本底,对免疫荧光染色产生干扰;
与泛素结合酶E2蛋白A抗体相关的其他产品:
特价促销IFNA10/Interferon alpha10/Interferon alpha C 干扰素α10抗体规格 0.2ml
特价促销IFN gamma(F2E4) γ-干扰素单克隆抗体规格 0.1ml
特价促销IFN gamma 干扰素-γ抗体规格 0.1ml
特价促销IFN gamma 干扰素-γ抗体规格 0.1ml
特价促销IFITM1/CD225 干扰素诱导跨膜蛋白1抗体规格 0.1ml
特价促销IFITM1/CD225 干扰素诱导跨膜蛋白1抗体规格 0.1ml
特价促销IFI78/MX1 干扰素诱导蛋白P78抗体规格 0.1ml
泛素结合酶E2蛋白A抗体用于乳酸菌分离培养250APT AgarAPT 琼脂
用于双歧杆菌分离培养250双歧杆菌BS培养基
用于双歧杆菌分离培养(GB标准)250BL mediumBL琼脂培养基
用于双歧杆菌分离培养(GB标准)250BBL mediumBBL琼脂培养基
用于双歧杆菌分离培养(GB标准)250TPY mediumTPY琼脂培养基
用于双歧杆菌增菌培养,使用时需加入氯化血红素和维生素K1(GB标准)250PYG Broth BasePYG 液体培养基基础
用于单增李氏菌增菌培养(SN、GB标准)250Trypticase Soy-Yeast Extract Broth胰酪胨大豆酵母浸膏肉汤(TSB-YE)
英文名称 Anti-UBE2A/UBE2B/RAD6
中文名称 泛素结合酶E2蛋白A抗体
别 名 BHR6A; hHR6A; HR6A; mHR6A; RAD6 homolog A; RAD6A; RAD6B; UBC-1; UBC2; UBC6; UBCD6; UBE2A; UBE2A_HUMAN; UBE2B; Ubiquitin carrier protein A; Ubiquitin carrier protein; Ubiquitin conjugating enzyme E2 17 kDa; Ubiquitin conjugating enzyme E2 21.5 kDa; Ubiquitin conjugating enzyme E2 A; Ubiquitin protein ligase A; Ubiquitin-conjugating enzyme E2 A; Ubiquitin-conjugating enzyme E2-17 kDa; Ubiquitin-conjugating enzyme E2-21.5 kDa; Ubiquitin-protein ligase A.
浓 度 1mg/1ml
规 格 0.2ml/200μg
抗体来源 Rabbit
克隆类型 polyclonal
交叉反应 Human, Mouse, Rat, Chicken, Cow
产品类型 一抗
研究领域 细胞生物 免疫学 表观遗传学
蛋白分子量 predicted molecular weight:17kDa
性 状 Lyophilized or Liquid
免 疫 原 KLH conjugated synthetic peptide derived from human UBE2A/UBE2B/RAD6
亚 型 IgG
纯化方法 affinity purified by Protein A
储 存 液 Preservative: 15mM Sodium Azide, Constituents: 1% BSA, 0.01M PBS, pH 7.4
产品应用 WB=1:100-500 ELISA=1:500-1000 IP=1:20-100 IHC-P=1:100-500 IHC-F=1:100-500 IF=1:50-200
泛素结合酶E2蛋白A抗体产品优势:
| ※支持定制服务,客户提前下单,我们根据客户需求进行生产,可保证产品的新批次和应具备的活跃度和灵敏度; ※产品来源正规,由权威保藏中心进行保藏; ※产品价格公允,新老客户皆能享受我司提供的价格优惠,客户可来电获取实时报价; ※我司配备完善的服务体系,详细客户只要与我司达成合作关系,定能感受到我司的诚意。 |
荧光标记抗体实验要点:
1.偶联反应要求在尽可能接近pH9.8的溶液中进行,而且注意在反应过程中要保持此pH水平;
2.要确定在偶联反应缓冲液中不含游离氨基(Tris,氨及叠氮钠均可与FITC反应,因此会降低蛋白质与FITC的偶联率);
3.FITC与蛋白质的比值(F/P),可通过测定495m与280nm吸光度来鉴定;
4.FITC缺限是易被光淬灭,因此复合物必须始终避光保存;
5.如果FITC一复合物对PBS透析不充分,可能造成高本底,对免疫荧光染色产生干扰;
与泛素结合酶E2蛋白A抗体相关的其他产品:
特价促销IFNA10/Interferon alpha10/Interferon alpha C 干扰素α10抗体规格 0.2ml
特价促销IFN gamma(F2E4) γ-干扰素单克隆抗体规格 0.1ml
特价促销IFN gamma 干扰素-γ抗体规格 0.1ml
特价促销IFN gamma 干扰素-γ抗体规格 0.1ml
特价促销IFITM1/CD225 干扰素诱导跨膜蛋白1抗体规格 0.1ml
特价促销IFITM1/CD225 干扰素诱导跨膜蛋白1抗体规格 0.1ml
特价促销IFI78/MX1 干扰素诱导蛋白P78抗体规格 0.1ml
泛素结合酶E2蛋白A抗体用于乳酸菌分离培养250APT AgarAPT 琼脂
用于双歧杆菌分离培养250双歧杆菌BS培养基
用于双歧杆菌分离培养(GB标准)250BL mediumBL琼脂培养基
用于双歧杆菌分离培养(GB标准)250BBL mediumBBL琼脂培养基
用于双歧杆菌分离培养(GB标准)250TPY mediumTPY琼脂培养基
用于双歧杆菌增菌培养,使用时需加入氯化血红素和维生素K1(GB标准)250PYG Broth BasePYG 液体培养基基础
用于单增李氏菌增菌培养(SN、GB标准)250Trypticase Soy-Yeast Extract Broth胰酪胨大豆酵母浸膏肉汤(TSB-YE)
风险提示:丁香通仅作为第三方平台,为商家信息发布提供平台空间。用户咨询产品时请注意保护个人信息及财产安全,合理判断,谨慎选购商品,商家和用户对交易行为负责。对于医疗器械类产品,请先查证核实企业经营资质和医疗器械产品注册证情况。
技术资料暂无技术资料 索取技术资料
泛素结合酶E2蛋白A抗体
询价









