相关产品推荐更多 >
万千商家帮你免费找货
0 人在求购买到急需产品
- 详细信息
- 文献和实验
- 技术资料
- 供应商:
上海抚生
- 库存:
大量
- 靶点:
RFTN2
- 克隆性:
多克隆
- 抗原来源:
Rabbit
- 抗体英文名:
Anti-RFTN2
- 抗体名:
RFTN2蛋白抗体
- 标记物:
HRP,AKP
- 宿主:
人,鼠,猴,鸡,狗,猪等
- 适应物种:
Human, Mouse, Rat, Dog, Horse, Rabbit, Sheep
- 免疫原:
KLH conjugated synthetic peptide derived from human RFTN2
- 亚型:
IgG
- 形态:
冻干或液体
- 应用范围:
WB,ELISA,ICC,IP等
- 浓度:
1mg/1ml
- 保存条件:
-20℃
- 规格:
0.2ml/200μg
英文名称 Anti-RFTN2
中文名称 RFTN2蛋白抗体
别 名 Raft-linking protein 2; Raftlin-2; Rftn2; RFTN2_HUMAN.
浓 度 1mg/1ml
规 格 0.2ml/200μg
抗体来源 Rabbit
克隆类型 polyclonal
交叉反应 Human, Mouse, Rat, Dog, Horse, Rabbit, Sheep
产品类型 一抗
研究领域 细胞生物 免疫学
蛋白分子量 predicted molecular weight:56kDa
性 状 Lyophilized or Liquid
免 疫 原 KLH conjugated synthetic peptide derived from human RFTN2
亚 型 IgG
纯化方法 affinity purified by Protein A
储 存 液 Preservative: 15mM Sodium Azide, Constituents: 1% BSA, 0.01M PBS, pH 7.4
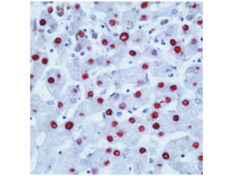
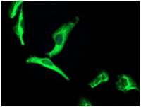
产品应用 WB=1:100-500 ELISA=1:500-1000 IHC-P=1:100-500 IHC-F=1:100-500 IF=1:50-200
RFTN2蛋白抗体产品优势:
| ※支持定制服务,客户提前下单,我们根据客户需求进行生产,可保证产品的新批次和应具备的活跃度和灵敏度; ※产品来源正规,由权威保藏中心进行保藏; ※产品价格公允,新老客户皆能享受我司提供的价格优惠,客户可来电获取实时报价; ※我司配备完善的服务体系,详细客户只要与我司达成合作关系,定能感受到我司的诚意。 |
荧光标记抗体实验要点:
1.偶联反应要求在尽可能接近pH9.8的溶液中进行,而且注意在反应过程中要保持此pH水平;
2.要确定在偶联反应缓冲液中不含游离氨基(Tris,氨及叠氮钠均可与FITC反应,因此会降低蛋白质与FITC的偶联率);
3.FITC与蛋白质的比值(F/P),可通过测定495m与280nm吸光度来鉴定;
4.FITC缺限是易被光淬灭,因此复合物必须始终避光保存;
5.如果FITC一复合物对PBS透析不充分,可能造成高本底,对免疫荧光染色产生干扰;
与RFTN2蛋白抗体相关的其他产品:
特价促销Neurogenin 2/NGN2 神经元素2抗体规格 0.1ml
特价促销Neurofascin/Nfasc155 神经束蛋白155抗体规格 0.2ml
特价促销NeuroD1/NEUROD 神经细胞分化因子1抗体规格 0.1ml
特价促销Neurocan 神经粘蛋白抗体规格 0.1ml
特价促销Neurobeachin 蛋白激酶锚定蛋白抗体规格 0.2ml
特价促销Neurexin 2 轴突蛋白2抗体规格 0.2ml
特价促销Neurexin 1 轴突蛋白1(Neurexin 1α)抗体规格 0.2ml
RFTN2蛋白抗体体液单胺氧化酶(MAO)总活性化学发光法定量检测检测试剂盒 20次 现货供应
体液单胺氧化酶(MAO)总活性比色法定量检测检测试剂盒 20次 现货供应
体液超氧化物阴离子荧光法定量检测检测试剂盒 20次 现货供应
体液超氧化物阴离子化学发光法定量检测检测试剂盒 20次 现货供应
体液超氧化物阴离子比色法定量检测检测试剂盒 20次 现货供应
体液超氧化物阴离子比色法定量检测检测试剂盒 20次 现货供应
体液丙酮酸比色法定量检测检测试剂盒 20次 现货供应
体液丙二醛(MDA)比色法定量检测检测试剂盒50次 现货供应
风险提示:丁香通仅作为第三方平台,为商家信息发布提供平台空间。用户咨询产品时请注意保护个人信息及财产安全,合理判断,谨慎选购商品,商家和用户对交易行为负责。对于医疗器械类产品,请先查证核实企业经营资质和医疗器械产品注册证情况。
文献和实验人 抗麦胶蛋白抗体 ( AGA) 酶联免疫分析 试剂盒使用说明书 本试剂仅供研究使用 目的:本试剂盒用于测定人血清,血浆及相关液体样本中 抗麦胶蛋白抗体( AGA) 的 含量。 实验原理: 本试剂盒应用双抗原夹心法测定标本中人 抗麦胶蛋白抗体( AGA) 的 水平。用纯化的 抗原 包被微孔板,制成固相抗原,往包被抗原的微孔中依次加入 抗麦胶蛋白抗体( AGA) ,再与 HRP 标记的 抗原 结合
sunchangzheng 我打算用此抗体通过流式检测细胞表面P糖蛋白的表达量差异。 说明书中说是多抗,这种抗体有单抗的吧? 用于FCM: 1:20-100,这是说用于流式的稀释倍数,是不是稀释倍数越小越好呢? 同型对照抗体是不是必须要做的?如何选择阴型同型对照抗体呢! 我用的抗体是FITC标记的P-糖蛋白抗体 谢谢交流与帮助! freecell 抗体的稀释倍数是需要优化
载脂蛋白抗体的制备 抗原免疫动物产生的抗体是血清γ-球蛋白的一部分。抗体的理化性质及结构与γ-球蛋白相近似。γ-球蛋白是一组结构相似,但又有差异的蛋白质,通称为免疫球蛋白(immunoglobulin,Ig),按其结构和免疫化学性质的差异,又可分为五类,分别称为IgG、IgA、IgM、IgD和IgE。载脂蛋白抗体以IgG最为稳定。因载脂蛋白的体液中含量不同以及分离纯化的难易的差别,可分别采用多克隆抗体制备法和单克隆抗体制备法。 1.多克隆抗体的制备 (1)抗原
技术资料暂无技术资料 索取技术资料









