相关产品推荐更多 >
万千商家帮你免费找货
0 人在求购买到急需产品
- 详细信息
- 文献和实验
- 技术资料
- 供应商:
上海联迈生物工程有限公司
- 库存:
大量
- 目录编号:
LM-7022R
- 克隆性:
多克隆
- 抗原来源:
Rabbit
- 保质期:
1年
- 抗体英文名:
IFNAR2
- 抗体名:
干扰素α受体2抗体
- 宿主:
Rabbit
- 适应物种:
Human, Mouse, Rat,
- 免疫原:
KLH conjugated synthetic peptide derived from mouse IFNAR2:165-260/513 <Extracellular>
- 亚型:
IgG
- 形态:
Lyophilized or Liquid
- 应用范围:
WB=1:500-2000 ELISA=1:500-1000 IHC-P=1:400-800 IHC-F=1:400-800 IF=1:100-500 (石蜡切片需做抗原修复)
- 浓度:
1mg/ml
- 保存条件:
Store at -20 °C
- 规格:
50ul 100ul 200ul
| 英文名称 | IFNAR2 |
| 中文名称 | 干扰素α受体2抗体 |
| 别 名 | IFN alpha REC; IFN-alpha binding protein; IFN-alpha/beta receptor 2; IFN-R-2; IFNABR; IFNAR2; IFNARB; IFNR; INAR2_MOUSE; Interferon alpha binding protein; Interferon alpha/beta receptor 2; Interferon alpha/beta receptor beta chain; Type I interferon receptor 2; Type I interferon receptor. |
![]() |
Specific References (1) | bs-7022R has been referenced in 1 publications. [IF=2.66] Lopušná, Katarína, et al. "Murine gammaherpesvirus targets type I IFN receptor but not type III IFN receptor early in infection." Cytokine 83 (2016): 158-170. WB ; Mouse. PubMed:27152708 |
| 规格价格 | 50ul/780元 购买 100ul/1380元 购买 200ul/2200元 购买 大包装/询价 |
| 说 明 书 | 50ul 100ul 200ul |
| 研究领域 | 肿瘤 细胞生物 免疫学 染色质和核信号 信号转导 转录调节因子 表观遗传学 干扰素 |
| 抗体来源 | Rabbit |
| 克隆类型 | Polyclonal |
| 交叉反应 | Human, Mouse, Rat, |
| 产品应用 | WB=1:500-2000 ELISA=1:500-1000 IHC-P=1:400-800 IHC-F=1:400-800 IF=1:100-500 (石蜡切片需做抗原修复) not yet tested in other applications. optimal dilutions/concentrations should be determined by the end user. |
| 分 子 量 | 54kDa |
| 细胞定位 | 细胞膜 分泌型蛋白 |
| 性 状 | Lyophilized or Liquid |
| 浓 度 | 1mg/ml |
| 免 疫 原 | KLH conjugated synthetic peptide derived from mouse IFNAR2:165-260/513 <Extracellular> |
| 亚 型 | IgG |
| 纯化方法 | affinity purified by Protein A |
| 储 存 液 | 0.01M TBS(pH7.4) with 1% BSA, 0.03% Proclin300 and 50% Glycerol. |
| 保存条件 | Store at -20 °C for one year. Avoid repeated freeze/thaw cycles. The lyophilized antibody is stable at room temperature for at least one month and for greater than a year when kept at -20°C. When reconstituted in sterile pH 7.4 0.01M PBS or diluent of antibody the antibody is stable for at least two weeks at 2-4 °C. |
| PubMed | PubMed |
| 产品介绍 | background: The protein encoded by this gene is a type I membrane protein that forms one of the two chains of a receptor for interferons alpha and beta. Binding and activation of the receptor stimulates Janus protein kinases, which in turn phosphorylate several proteins, including STAT1 and STAT2. Multiple transcript variants encoding at least two different isoforms have been found for this gene. [provided by RefSeq, Jul 2008] Function: Associates with IFNAR1 to form the type I interferon receptor. Receptor for interferons alpha and beta. Involved in IFN-mediated STAT1, STAT2 and STAT3 activation. Isoform 1 and isoform 2 are directly involved in signal transduction due to their association with the TYR kinase, JAK1. Isoform 2 and 3 may be potent inhibitors of type I IFN receptor activity. Subunit: Heterodimer with IFNAR1; in presence of interferon alpha and/or beta ligands forms the type I interferon receptor. Isoform 1 interacts with the transcriptional factors STAT1 and STAT2. Interacts with JAK1. Subcellular Location: Isoform 1: Membrane; Single-pass type I membrane protein. Isoform 2: Secreted (Probable). Isoform 3: Secreted (Probable). Tissue Specificity: Widely expressed. Detected in liver, testis, kidney, salivary gland, thymus, brain, lung and placenta. Isoform 1, isoform 2 and isoform 3 are expressed in brain. Post-translational modifications: Phosphorylated on tyrosine residues upon interferon binding. Phosphorylation at Tyr-335 or Tyr-510 are sufficient to mediate interferon dependent activation of STAT1, STAT2 and STAT3 leading to antiproliferative effects on many different cell types. Glycosylated. Similarity: Belongs to the type II cytokine receptor family. SWISS: O35664 Gene ID: 15976 Database links: Entrez Gene: 15976 Mouse Important Note: This product as supplied is intended for research use only, not for use in human, therapeutic or diagnostic applications. |
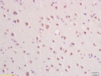
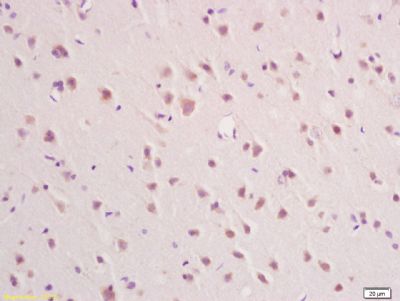
| 产品图片 | ![]() Tissue/cell: rat brain tissue; 4% Paraformaldehyde-fixed and paraffin-embedded; Antigen retrieval: citrate buffer ( 0.01M, pH 6.0 ), Boiling bathing for 15min; Block endogenous peroxidase by 3% Hydrogen peroxide for 30min; Blocking buffer (normal goat serum,C-0005) at 37閳�?? for 20 min; Incubation: Anti-IFNAR2/IFNABR Polyclonal Antibody, Unconjugated(bs-7022R) 1:200, overnight at 4鎺矯, followed by conjugation to the secondary antibody(SP-0023) and DAB(C-0010) staining |
风险提示:丁香通仅作为第三方平台,为商家信息发布提供平台空间。用户咨询产品时请注意保护个人信息及财产安全,合理判断,谨慎选购商品,商家和用户对交易行为负责。对于医疗器械类产品,请先查证核实企业经营资质和医疗器械产品注册证情况。
文献和实验,从而将目的基因靶向性地导入肿瘤细胞。Khare等将抗人癌胚抗原(CEA)单链抗体编码基因与env基因重组,使反转录病毒将“自杀基因”――一氧化氮合成酶(NOS)靶向导人CEA阳性的肿瘤细胞,并通过过度合成NOS杀死肿瘤细胞。 靶向转移目的基因策略的工作原理 另一个例子是腺病毒。腺病毒载体在感染靶细胞时,首先依靠通过病毒衣壳(capsid)上的纤维蛋白(nber)头部的knob结构域识别并结合靶细胞表面的“柯萨奇病毒和腺病毒受体”(CAR),然后通过衣壳的五邻体
有一个简单但很说明问题的实验,可以表明受体交联对于B细胞激活的重要性。分别用抗BCR抗体的Fab片段或F(ab)2片段处理B细胞。Fab因为是单价,不能交联BCR,故不能刺激B细胞活化。F(ab)2可分别与两个BCR分子结合而使之交联,B细胞可有微弱的激活。如果再进一步用抗F(ab)2抗体,通过与两个F(ab)2结合而使更多的BCR交联,则B细胞可获得很强的激活信号。显然,此处实施交联的是抗BCR抗体及抗抗体,而抗原对B细胞激活中发生的是抗原分子或相关复合结构对BCR的交联。 BCR
生产的细胞因子药物包括干扰素α、β、γ,Epo,GM-CSF,G-CSF,IL-2,正在进行临床试验的包括IL-1、3、4、6、11,M-CSF,SCF,TGF-β等(表4-3、4-4。)这些细胞因子的主要适应症包括肿瘤、感染(如肝炎、AIDS)、造血功能障碍、创伤、炎症等。 表4-3 已批准生产的细胞因子多肽药物 药物名称 适应症 IFNα 白血病
技术资料暂无技术资料 索取技术资料












