相关产品推荐更多 >
万千商家帮你免费找货
0 人在求购买到急需产品
- 详细信息
- 技术资料
- 供应商:
上海联迈生物工程有限公司
- 库存:
大量
- 目录编号:
LM-6597R
- 克隆性:
多克隆
- 抗原来源:
Rabbit
- 保质期:
1年
- 抗体英文名:
NPHS2/Podocin
- 抗体名:
肾小球裂孔膜蛋白PDCN抗体
- 宿主:
Rabbit
- 适应物种:
Human, Mouse, Rat, Dog, Pig, Cow, Horse, Rabbit,
- 免疫原:
KLH conjugated synthetic peptide derived from human NPHS2/Podocin:231-330/383 <Extracellular>
- 亚型:
IgG
- 形态:
Lyophilized or Liquid
- 应用范围:
WB=1:500-2000 ELISA=1:500-1000 IHC-P=1:400-800 IHC-F=1:400-800 IF=1:100-500 (石蜡切片需做抗原修复)
- 浓度:
1mg/ml
- 保存条件:
Store at -20 °C
- 规格:
50ul 100ul 200ul
NPHS2/Podocin肾小球裂孔膜蛋白PDCN抗体
| 英文名称 | NPHS2/Podocin |
| 中文名称 | 肾小球裂孔膜蛋白PDCN抗体 |
| 别 名 | nephrosis 2, idiopathic, steroid resistant; NPHS2 gene; PDCN; Podocin; SRN1; PODO_HUMAN. |
![]() |
Specific References (2) | bs-6597R has been referenced in 2 publications.
[IF=0.00] Garovic, Vesna D., and Muthuvel Jayachandran. "DETECTING PODOCYTE INJURY IN DIABETIC NEPHROPATHY AND GLOMERULONEPHRITIS." U.S. Patent No. 20,170,003,299. 5 Jan. 2017. Human.
PubMed:0
[IF=4.72] Zhang, Xiao-Liang, et al. "Vitamin D Prevents Podocyte Injury Via Regulation Of Macrophage M1/M2 Phenotype In Diabetic Nephropathy Rats." Endocrinology (2014). WB ; Rat.
PubMed:25188527
|
| 规格价格 | 50ul/780元 购买 100ul/1380元 购买 200ul/2200元 购买 大包装/询价 |
| 说 明 书 | 50ul 100ul 200ul |
| 研究领域 | 细胞生物 信号转导 细胞类型标志物 |
| 抗体来源 | Rabbit |
| 克隆类型 | Polyclonal |
| 交叉反应 | Human, Mouse, Rat, Dog, Pig, Cow, Horse, Rabbit, |
| 产品应用 | WB=1:500-2000 ELISA=1:500-1000 IHC-P=1:400-800 IHC-F=1:400-800 IF=1:100-500 (石蜡切片需做抗原修复) not yet tested in other applications. optimal dilutions/concentrations should be determined by the end user. |
| 分 子 量 | 42kDa |
| 细胞定位 | 细胞膜 |
| 性 状 | Lyophilized or Liquid |
| 浓 度 | 1mg/ml |
| 免 疫 原 | KLH conjugated synthetic peptide derived from human NPHS2/Podocin:231-330/383 <Extracellular> |
| 亚 型 | IgG |
| 纯化方法 | affinity purified by Protein A |
| 储 存 液 | 0.01M TBS(pH7.4) with 1% BSA, 0.03% Proclin300 and 50% Glycerol. |
| 保存条件 | Store at -20 °C for one year. Avoid repeated freeze/thaw cycles. The lyophilized antibody is stable at room temperature for at least one month and for greater than a year when kept at -20°C. When reconstituted in sterile pH 7.4 0.01M PBS or diluent of antibody the antibody is stable for at least two weeks at 2-4 °C. |
| PubMed | PubMed |
| 产品介绍 | background: Podocin is an important member of a group of proteins shown to be associated with the slit diaphragm. Podocin belongs to the band 7 stomatin family of lipid raft-associated proteins. It is a hairpin like integral membrane protein with intracellular N and C termini. Podocin is located at the insertion site of the slit membrane, and is thought to act as a scaffold protein required to maintain or regulate the structural integrity of the slit diaphragm. It plays a role in the regulation of glomerular permeability, acting probably as a linker between the plasma membrane and the cytoskeleton. Subunit: Interacts with nephrin/NPHS1 and KIRREL. Interacts directly with CD2AP. Interacts with DDN (By similarity). Subcellular Location: Cell membrane; Peripheral membrane protein. Tissue Specificity: Almost exclusively expressed in the podocytes of fetal and mature kidney glomeruli. DISEASE: Defects in NPHS2 are the cause of nephrotic syndrome type 2 (NPHS2) [MIM:600995]. It is a renal disorder characterized clinically by childhood onset of proteinuria, hypoalbuminemia, hyperlipidemia, and edema. Kidney biopsies show non-specific histologic changes such as focal segmental glomerulosclerosis and diffuse mesangial proliferation. The disorder is resistant to steroid treatment and progresses to end-stage renal failure in the first or second decades. Some patients show later onset of the disorder. Similarity: Belongs to the band 7/mec-2 family. SWISS: Q9NP85 Gene ID: 7827 Database links: Entrez Gene: 7827 Human Entrez Gene: 170484 Mouse Entrez Gene: 170672 Rat Omim: 604766 Human SwissProt: Q9NP85 Human SwissProt: Q91X05 Mouse SwissProt: Q8K4G9 Rat Unigene: 412710 Human Unigene: 289099 Mouse Unigene: 86433 Rat Important Note: This product as supplied is intended for research use only, not for use in human, therapeutic or diagnostic applications. |
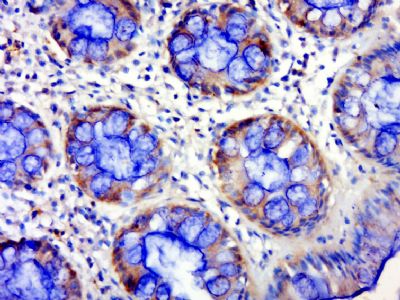
| 产品图片 |
Sample: Kidney (Mouse) Lysate at 40 ug
Primary: Anti-NPHS2 (bs-6597R) at 1/300 dilution Secondary: IRDye800CW Goat Anti-Rabbit IgG at 1/20000 dilution Predicted band size: 42 kD Observed band size: 47 kD
Paraformaldehyde-fixed, paraffin embedded (human colon cancer); Antigen retrieval by boiling in sodium citrate buffer (pH6.0) for 15min; Block endogenous peroxidase by 3% hydrogen peroxide for 20 minutes; Blocking buffer (normal goat serum) at 37°C for 30min; Antibody incubation with (NPHS2) Polyclonal Antibody, Unconjugated (bs-6597R) at 1:500 overnight at 4°C, followed by a conjugated secondary (sp-0023) for 20 minutes and DAB staining.
Blank control(blue): 293T(fixed with 2% paraformaldehyde (10 min) and then permeabilized with ice-cold 90% methanol for 30 min on ice).
Primary Antibody: Rabbit Anti-NPHS2/FITC Conjugated antibody (bs-6597R /FITC), Dilution: 5μg in 100 μL 1X PBS containing 0.5% BSA; Isotype Control Antibody: Rabbit IgG/FITC(orange) ,used under the same conditions. |
风险提示:丁香通仅作为第三方平台,为商家信息发布提供平台空间。用户咨询产品时请注意保护个人信息及财产安全,合理判断,谨慎选购商品,商家和用户对交易行为负责。对于医疗器械类产品,请先查证核实企业经营资质和医疗器械产品注册证情况。
技术资料暂无技术资料 索取技术资料
NPHS2/Podocin肾小球裂孔膜蛋白PDCN抗体
¥780 - 2200














