相关产品推荐更多 >
万千商家帮你免费找货
0 人在求购买到急需产品
- 详细信息
- 技术资料
- 供应商:
上海联迈生物工程有限公司
- 库存:
大量
- 目录编号:
LM-6002R
- 克隆性:
多克隆
- 抗原来源:
Rabbit
- 保质期:
1年
- 抗体英文名:
HSP40
- 抗体名:
热休克蛋白家族40抗体
- 宿主:
Rabbit
- 适应物种:
Human, Mouse, Rat, Dog, Pig, Cow, Horse,
- 免疫原:
KLH conjugated synthetic peptide derived from human DNAJB4/HSP40 homolog:151-250/337
- 亚型:
IgG
- 形态:
Lyophilized or Liquid
- 应用范围:
WB=1:500-2000 ELISA=1:500-1000 IHC-P=1:400-800 IHC-F=1:400-800 Flow-Cyt=2μg/Test IF=1:100-500 (石蜡切片需做抗原修复)
- 浓度:
1mg/ml
- 保存条件:
Store at -20 °C
- 规格:
100ul 200ul
HSP40热休克蛋白家族40抗体
| 英文名称 | HSP40 |
| 中文名称 | 热休克蛋白家族40抗体 |
| 别 名 | HSP40 homolog; DnaJ (Hsp40) homolog subfmaily B member 1; DNAJ 1; DNAJ B1; DnaJ homolog subfamily B member 1; DnaJ protein homolog 1; DNAJ1; DNAJB 1; Dnajb1; DNAJB1 protein; DNJB1_HUMAN; HDJ 1; HDJ-1; HDJ1; Heat shock 40 kDa protein 1; Heat shock 40kD protein 1; Heat shock protein 40; Hsp 40; HSP40; HSPF 1; HSPF1; Human DnaJ protein 1; Radial spoke 16 homolog B; RSPH16B; Sis1. |
| 规格价格 | 100ul/1380元 购买 200ul/2200元 购买 大包装/询价 |
| 说 明 书 | 100ul 200ul |
| 研究领域 | 肿瘤 细胞生物 免疫学 信号转导 |
| 抗体来源 | Rabbit |
| 克隆类型 | Polyclonal |
| 交叉反应 | Human, Mouse, Rat, Dog, Pig, Cow, Horse, |
| 产品应用 | WB=1:500-2000 ELISA=1:500-1000 IHC-P=1:400-800 IHC-F=1:400-800 Flow-Cyt=2μg/Test IF=1:100-500 (石蜡切片需做抗原修复) not yet tested in other applications. optimal dilutions/concentrations should be determined by the end user. |
| 分 子 量 | 38kDa |
| 细胞定位 | 细胞浆 细胞膜 |
| 性 状 | Lyophilized or Liquid |
| 浓 度 | 1mg/ml |
| 免 疫 原 | KLH conjugated synthetic peptide derived from human DNAJB4/HSP40 homolog:151-250/337 |
| 亚 型 | IgG |
| 纯化方法 | affinity purified by Protein A |
| 储 存 液 | 0.01M TBS(pH7.4) with 1% BSA, 0.03% Proclin300 and 50% Glycerol. |
| 保存条件 | Store at -20 °C for one year. Avoid repeated freeze/thaw cycles. The lyophilized antibody is stable at room temperature for at least one month and for greater than a year when kept at -20°C. When reconstituted in sterile pH 7.4 0.01M PBS or diluent of antibody the antibody is stable for at least two weeks at 2-4 °C. |
| PubMed | PubMed |
| 产品介绍 | background: DNAJB4 is a member of the evolutionarily conserved DNAJ/HSP40 protein family. Function: Interacts with HSP70 and can stimulate its ATPase activity. Stimulates the association between HSC70 and HIP. Subunit: Homodimer. Subcellular Location: Cytoplasm. Nucleus. Nucleus > nucleolus. Translocates rapidly from the cytoplasm to the nucleus, and especially to the nucleoli, upon heat shock. Tissue Specificity: Expressed in heart, pancreas and skeletal muscle, and to a lesser extent in brain, placenta and liver. Similarity: Contains 1 J domain. SWISS: Q9UDY4 Gene ID: 3337 Database links: Entrez Gene: 3337 Human Entrez Gene: 81489 Mouse Entrez Gene: 361384 Rat Omim: 604572 Human SwissProt: P25685 Human SwissProt: Q9QYJ3 Mouse Unigene: 515210 Human Unigene: 282092 Mouse Unigene: 128947 Rat Important Note: This product as supplied is intended for research use only, not for use in human, therapeutic or diagnostic applications. 热休克蛋白家族40抗体 |
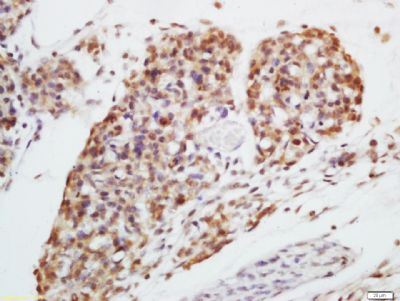
| 产品图片 | ![]() Tissue/cell: mouse embryo tissue; 4% Paraformaldehyde-fixed and paraffin-embedded; Antigen retrieval: citrate buffer ( 0.01M, pH 6.0 ), Boiling bathing for 15min; Block endogenous peroxidase by 3% Hydrogen peroxide for 30min; Blocking buffer (normal goat serum,C-0005) at 37℃ for 20 min; Incubation: Anti-HSP40 Polyclonal Antibody, Unconjugated(bs-6002R) 1:200, overnight at 4°C, followed by conjugation to the secondary antibody(SP-0023) and DAB(C-0010) staining ![]() This image has been kindly submitted by Tübingen Ageing and Tumour Immunology Group (TATI), Centre for Medical Research (ZMF), University of Tübingen Medical School www.tati-group.de via our distributor Biozol.Human Melanoma cell line, EST02, was stained with Rabbit Anti-HSP40 homolog Polyclonal Antibody, FITC Conjugated (bs-6002-FITC) at 1:50 for 30 minutes, on ice. |
风险提示:丁香通仅作为第三方平台,为商家信息发布提供平台空间。用户咨询产品时请注意保护个人信息及财产安全,合理判断,谨慎选购商品,商家和用户对交易行为负责。对于医疗器械类产品,请先查证核实企业经营资质和医疗器械产品注册证情况。
技术资料暂无技术资料 索取技术资料
HSP40热休克蛋白家族40抗体
¥1380 - 2200











