万千商家帮你免费找货
0 人在求购买到急需产品
- 详细信息
- 技术资料
- 靶点:
IGFL4
- 克隆性:
多克隆
- 抗体英文名:
Anti-IGFL4
- 抗体名:
胰岛素生长因子样家族成员4抗体
- 宿主:
人,兔,羊,牛,狗等
- 免疫原:
KLH conjugated synthetic peptide derived from human IGFL4
- 亚型:
IgG
- 形态:
冻干或液体
- 应用范围:
WB,ELISA,IP,ICC等
- 浓度:
1mg/1ml
- 规格:
0.2ml/200μg
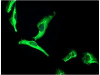
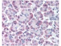
胰岛素生长因子样家族成员4抗体产品介绍:
英文名称 胰岛素生长因子样家族成员4抗体
中文名称 Anti-IGFL4
别 名 IGF-like family member 4; IGFL4; IGFL4_HUMAN; insulin growth factor-like family member 4.
浓 度 1mg/1ml
规 格 0.2ml/200μg
抗体来源 Rabbit
克隆类型 polyclonal
交叉反应 Human
产品类型 一抗
研究领域 细胞生物 免疫学 信号转导 生长因子和激素
蛋白分子量 predicted molecular weight:
12kDa
性 状 Lyophilized or Liquid
免 疫 原 KLH conjugated synthetic peptide derived from human IGFL4
亚 型 IgG
纯化方法 affinity purified by Protein A
储 存 液 Preservative: 15mM Sodium Azide, Constituents: 1% BSA, 0.01M PBS, pH 7.4
产品应用 ELISA=1:500-1000 IHC-P=1:100-500 IHC-F=1:100-500 IF=1:100-500
胰岛素生长因子样家族成员4抗体产品优势:
表面抗体阳性的基本概述:
乙肝表面抗体是人体的保护性的抗体,主要是乙肝病毒表面抗原刺激人体免疫系统而产生的抗体。它的出现,能中和掉人体内的乙肝病毒。具体保护人体的作用。其英文简写为HBsAb。
1、单项抗-HBs阳性
(1)接种乙肝疫苗成功的标志。
(2)抗-HBs阳性单价格低,有时为非特异性反应。
2、与抗-HBc、抗-HBe同时阳性
3、与HBsAg同时阳性
(1)感染了不同的乙肝病毒亚型。
(2)感染了S基因变异的乙肝病毒。
(3)免疫功能低下,抗-HBs不能清除HBsAg。
4、正处于抗原-抗体动态平衡阶段
4种IgG抗体亚型的区别:
如需订购胰岛素生长因子样家族成员4抗体,敬请咨询我们,其他相关产品:
兔抗CMTM1多克隆抗体
英文名:Anti-CMTM1rabbitpolyclonalantiboy
冷冻(-20℃)避光
兔抗MAFB多克隆抗体
英文名:Anti-MAFBrabbitpolyclonalantiboy
冷冻(-20℃)避光
兔抗CPVL多克隆抗体
英文名:Anti-CPVLrabbitpolyclonalantiboy
冷冻(-20℃)避光
MID1/Midline-1/RNF59 环指蛋白59抗体规格: 0.2ml
兔抗AAMTS15多克隆抗体
英文名:Anti-AAMTS15rabbitpolyclonalantiboy
冷冻(-20℃)避光
兔抗ANP多克隆抗体
英文名:Anti-ANPrabbitpolyclonalantiboy
冷冻(-20℃)避光
兔抗PTGER1多克隆抗体
英文名:Anti-PTGER1rabbitpolyclonalantiboy
冷冻(-20℃)避光
胰岛素生长因子样家族成员4抗体大鼠血栓素A2(TXA2)ELISA试剂盒 英文名: TXA2 ELISA Kit
大鼠纤溶酶原激活剂抑制物(PAI-1)ELISA试剂盒 英文名: PAI-1 ELISA Kit
大鼠糖原合成酶激酶3α(GSK3A)ELISA试剂盒 英文名: GSK3A ELISA Kit
大鼠神经降压素(NTS)ELISA试剂盒 英文名: NTS ELISA Kit
大鼠凝血因子Ⅲ(FⅢ)ELISA试剂盒 英文名: FⅢ ELISA Kit
大鼠磷酸化腺苷酸活化蛋白激酶(pAMPK)ELISA试剂盒 英文名: pAMPK ELISA Kit
大鼠抗红细胞抗体(RBC)ELISA试剂盒 英文名: RBC ELISA Kit
大鼠基质金属蛋白酶3(MMP-3)ELISA试剂盒 英文名: MMP-3 ELISA Kit
英文名称 胰岛素生长因子样家族成员4抗体
中文名称 Anti-IGFL4
别 名 IGF-like family member 4; IGFL4; IGFL4_HUMAN; insulin growth factor-like family member 4.
浓 度 1mg/1ml
规 格 0.2ml/200μg
抗体来源 Rabbit
克隆类型 polyclonal
交叉反应 Human
产品类型 一抗
研究领域 细胞生物 免疫学 信号转导 生长因子和激素
蛋白分子量 predicted molecular weight:
12kDa
性 状 Lyophilized or Liquid
免 疫 原 KLH conjugated synthetic peptide derived from human IGFL4
亚 型 IgG
纯化方法 affinity purified by Protein A
储 存 液 Preservative: 15mM Sodium Azide, Constituents: 1% BSA, 0.01M PBS, pH 7.4
产品应用 ELISA=1:500-1000 IHC-P=1:100-500 IHC-F=1:100-500 IF=1:100-500
胰岛素生长因子样家族成员4抗体产品优势:
表面抗体阳性的基本概述:
乙肝表面抗体是人体的保护性的抗体,主要是乙肝病毒表面抗原刺激人体免疫系统而产生的抗体。它的出现,能中和掉人体内的乙肝病毒。具体保护人体的作用。其英文简写为HBsAb。
1、单项抗-HBs阳性
(1)接种乙肝疫苗成功的标志。
(2)抗-HBs阳性单价格低,有时为非特异性反应。
2、与抗-HBc、抗-HBe同时阳性
3、与HBsAg同时阳性
(1)感染了不同的乙肝病毒亚型。
(2)感染了S基因变异的乙肝病毒。
(3)免疫功能低下,抗-HBs不能清除HBsAg。
4、正处于抗原-抗体动态平衡阶段
4种IgG抗体亚型的区别:
如需订购胰岛素生长因子样家族成员4抗体,敬请咨询我们,其他相关产品:
兔抗CMTM1多克隆抗体
英文名:Anti-CMTM1rabbitpolyclonalantiboy
冷冻(-20℃)避光
兔抗MAFB多克隆抗体
英文名:Anti-MAFBrabbitpolyclonalantiboy
冷冻(-20℃)避光
兔抗CPVL多克隆抗体
英文名:Anti-CPVLrabbitpolyclonalantiboy
冷冻(-20℃)避光
MID1/Midline-1/RNF59 环指蛋白59抗体规格: 0.2ml
兔抗AAMTS15多克隆抗体
英文名:Anti-AAMTS15rabbitpolyclonalantiboy
冷冻(-20℃)避光
兔抗ANP多克隆抗体
英文名:Anti-ANPrabbitpolyclonalantiboy
冷冻(-20℃)避光
兔抗PTGER1多克隆抗体
英文名:Anti-PTGER1rabbitpolyclonalantiboy
冷冻(-20℃)避光
胰岛素生长因子样家族成员4抗体大鼠血栓素A2(TXA2)ELISA试剂盒 英文名: TXA2 ELISA Kit
大鼠纤溶酶原激活剂抑制物(PAI-1)ELISA试剂盒 英文名: PAI-1 ELISA Kit
大鼠糖原合成酶激酶3α(GSK3A)ELISA试剂盒 英文名: GSK3A ELISA Kit
大鼠神经降压素(NTS)ELISA试剂盒 英文名: NTS ELISA Kit
大鼠凝血因子Ⅲ(FⅢ)ELISA试剂盒 英文名: FⅢ ELISA Kit
大鼠磷酸化腺苷酸活化蛋白激酶(pAMPK)ELISA试剂盒 英文名: pAMPK ELISA Kit
大鼠抗红细胞抗体(RBC)ELISA试剂盒 英文名: RBC ELISA Kit
大鼠基质金属蛋白酶3(MMP-3)ELISA试剂盒 英文名: MMP-3 ELISA Kit
风险提示:丁香通仅作为第三方平台,为商家信息发布提供平台空间。用户咨询产品时请注意保护个人信息及财产安全,合理判断,谨慎选购商品,商家和用户对交易行为负责。对于医疗器械类产品,请先查证核实企业经营资质和医疗器械产品注册证情况。
技术资料暂无技术资料 索取技术资料
胰岛素生长因子样家族成员4抗体
询价









