相关产品推荐更多 >
万千商家帮你免费找货
0 人在求购买到急需产品
- 详细信息
- 文献和实验
- 技术资料
- 供应商:
上海抚生
- 库存:
大量
- 靶点:
TEF4
- 克隆性:
多克隆
- 抗原来源:
Rabbit
- 抗体英文名:
Anti-TEF4/TEA domain family member 2
- 抗体名:
转录增强因子TEF4抗体
- 标记物:
HRP,AKP
- 宿主:
人,鼠,猴,鸡,狗,猪等
- 适应物种:
Human, Mouse, Rat, Dog, Cow, Horse, Rabbit
- 免疫原:
KLH conjugated synthetic peptide derived from human TEA domain family member 2
- 亚型:
IgG
- 形态:
冻干或液体
- 应用范围:
WB,ELISA,ICC,IP等
- 浓度:
1mg/1ml
- 保存条件:
-20℃
- 规格:
0.1ml/100μg0.2ml/200μg
英文名称 Anti-TEF4/TEA domain family member 2
中文名称 转录增强因子TEF4抗体
别 名 Embryonic TEA domain containing factor; Etdf; ETEF 1; ETF; TEA domain family member 2; TEAD 2; TEAD-2; TEAD2; Tead2 protein (TEA domain family member 2 (Mapped), isoform CRA_b); TEAD2_HUMAN; TEF 4; TEF4; Transcriptional enhancer factor 4; Transcriptional enhancer factor TEF 4; Transcriptional enhancer factor TEF-4.
浓 度 1mg/1ml
规 格 0.1ml/100μg 0.2ml/200μg
抗体来源 Rabbit
克隆类型 polyclonal
交叉反应 Human, Mouse, Rat, Dog, Cow, Horse, Rabbit
产品类型 一抗
研究领域 细胞生物 免疫学 转录调节因子 表观遗传学
蛋白分子量 predicted molecular weight:49kDa
性 状 Lyophilized or Liquid
免 疫 原 KLH conjugated synthetic peptide derived from human TEA domain family member 2
亚 型 IgG
纯化方法 affinity purified by Protein A
储 存 液 Preservative: 15mM Sodium Azide, Constituents: 1% BSA, 0.01M PBS, pH 7.4
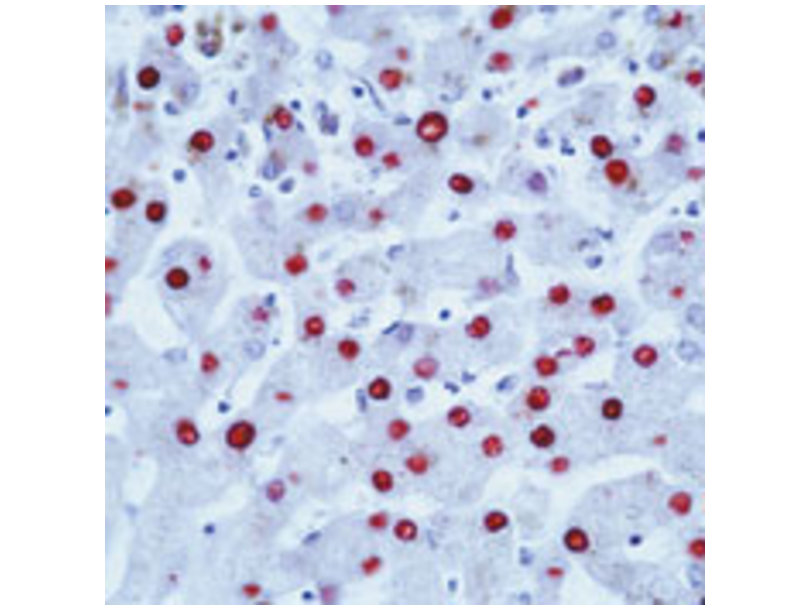
产品应用 WB=1:100-500 ELISA=1:500-1000 IP=1:20-100 IHC-P=1:100-500 IHC-F=1:100-500 IF=1:100-500
转录增强因子TEF4抗体产品优势:
| ※支持定制服务,客户提前下单,我们根据客户需求进行生产,可保证产品的新批次和应具备的活跃度和灵敏度; ※产品来源正规,由权威保藏中心进行保藏; ※产品价格公允,新老客户皆能享受我司提供的价格优惠,客户可来电获取实时报价; ※我司配备完善的服务体系,详细客户只要与我司达成合作关系,定能感受到我司的诚意。 |
荧光标记抗体实验要点:
1.偶联反应要求在尽可能接近pH9.8的溶液中进行,而且注意在反应过程中要保持此pH水平;
2.要确定在偶联反应缓冲液中不含游离氨基(Tris,氨及叠氮钠均可与FITC反应,因此会降低蛋白质与FITC的偶联率);
3.FITC与蛋白质的比值(F/P),可通过测定495m与280nm吸光度来鉴定;
4.FITC缺限是易被光淬灭,因此复合物必须始终避光保存;
5.如果FITC一复合物对PBS透析不充分,可能造成高本底,对免疫荧光染色产生干扰;
与转录增强因子TEF4抗体相关的其他产品:
特价促销SKA2 纺锤体和着丝粒相关蛋白2抗体规格 0.2ml
特价促销SKA1 纺锤体和着丝粒相关蛋白1抗体规格 0.2ml
特价促销SISP1/GI24 应激诱导分泌蛋白1抗体规格 0.2ml
特价促销SIRT7 沉默调节样蛋白SirT7抗体规格 0.2ml
特价促销SIRT6 沉默调节相关蛋白6抗体规格 0.2ml
特价促销SIRT5 沉默调节蛋白5抗体规格 0.2ml
特价促销SIRT4/SIR 2 like protein 4 沉默调节相关蛋白4抗体规格 0.2ml
转录增强因子TEF4抗体人抗心肌抗体(AMA)ELISA试剂盒 进口/原装 英文名称: Human Anti-myocardial antibody,AMA ELISA Kit
人抗心磷脂抗体IgA(ACA-IgA)ELISA试剂盒 进口/原装 英文名称: Human anti-cardiolipin antibody IgA,ACA-IgA ELISA Kit
人抗心磷脂抗体IgG(ACA-IgG)ELISA试剂盒 进口/原装 英文名称: Human anti-cardiolipin antibody IgG,ACA-IgG ELISA Kit
人抗心磷脂抗体IgM(ACA-IgM)ELISA试剂盒 进口/原装 英文名称: Human anti-cardiolipin antibody IgM,ACA-IgM ELISA Kit
人抗信号识别颗粒抗体(SRP)ELISA试剂盒 进口/原装 英文名称: Human signal recognization particle antibody,SRP ELISA Kit
人抗胸腺细胞球蛋白(ATG)ELISA试剂盒 进口/原装 英文名称: Human anti-thymocyte globulin,ATG ELISA Kit
人抗血小板抗体IgG/M/A(PA-IgG/M/A)ELISA试剂盒 进口/原装 英文名称: Human platelet antibodies IgG/M/A,PA-IgG/M/A ELISA Kit
风险提示:丁香通仅作为第三方平台,为商家信息发布提供平台空间。用户咨询产品时请注意保护个人信息及财产安全,合理判断,谨慎选购商品,商家和用户对交易行为负责。对于医疗器械类产品,请先查证核实企业经营资质和医疗器械产品注册证情况。
文献和实验wywdxfsh 在ncbi上查不到这个咚咚,只有转录因子 transcription factor 4 我做的小鼠的 freecell T细胞因子(TCF)/淋巴增强因子(LEF)是Wnt信号传导通路的主要信号分子。TCF/LEF家族包括LEF-1、TCF-1、 TCF-3、TCF-4。其中TCF-4是Wnt信号传导通路的一个重要的分子,并且在肿瘤的发生过程中起重要作用. SEE: http
yehuanlr 本人是新手,所以说得不专业的地方,敬请谅解! 别人建立了cDNA文库,通过对文库的分析,分析了一些新的基因,在数据库中没有发现其同源序列,他只通过RT-PCR确定了这几个新基因在某些组织中转录,就此推断了该基因具有的可能功能。 这些功能正好是我所想研究的,所以想研究这些基因。但是我所研究的鱼繁殖周期很长,全人工繁殖几乎还没有实现,而且没有卵子或精子给我做。请问各位前辈,具体我该怎么研究啊!!!敬请指导,十分感激
原理: 将染色质和与之相互作用的转录因子和组蛋白通过甲醛等物质交联起来,然后通过超声将染色质打碎成小片段,加入针对特定转录因子或特殊修饰的组蛋白抗体,通过 Protein A/Protein G 微球或磁珠将抗体-转录因子-染色质复合物拖下来,通过 PCR 或测序的方法检测与目的蛋白相结合的 DNA 序列,进而研究这些转录因子在细胞发育或者生长中的作用位点。 ✦ ChIP-seq: ChIP-seq 将 ChIP 技术与二代测序相结合,将 ChIP 下来的 DNA 进行二代测序文库构建,能够获取
技术资料暂无技术资料 索取技术资料









