相关产品推荐更多 >
万千商家帮你免费找货
0 人在求购买到急需产品
- 详细信息
- 文献和实验
- 技术资料
- 供应商:
上海抚生
- 库存:
大量
- 靶点:
TULP3
- 克隆性:
多克隆
- 抗原来源:
Rabbit
- 抗体英文名:
Anti-TULP3
- 抗体名:
感光细胞转录因子TULP3抗体
- 标记物:
HRP,AKP
- 宿主:
人,鼠,猴,鸡,狗,猪等
- 适应物种:
Human, Mouse, Rat, Chicken, Dog, Horse
- 免疫原:
KLH conjugated synthetic peptide derived from human TULP3 (251-350aa)
- 亚型:
IgG
- 形态:
冻干或液体
- 应用范围:
WB,ELISA,ICC,IP等
- 浓度:
1mg/1ml
- 保存条件:
-20℃
- 规格:
0.2ml/200μg
英文名称 Anti-TULP3
中文名称 感光细胞转录因子TULP3抗体
别 名 Tubby like protein 3; Tubby related protein 3; Tubby-like protein 3; Tubby-related protein 3; TUBL 3; TUBL3; TULP 3; TULP3; TULP3_HUMAN.
浓 度 1mg/1ml
规 格 0.2ml/200μg
抗体来源 Rabbit
克隆类型 polyclonal
交叉反应 Human, Mouse, Rat, Chicken, Dog, Horse
产品类型 一抗
研究领域 细胞生物 神经生物学 信号转导
蛋白分子量 predicted molecular weight:50kDa
性 状 Lyophilized or Liquid
免 疫 原 KLH conjugated synthetic peptide derived from human TULP3 (251-350aa)
亚 型 IgG
纯化方法 affinity purified by Protein A
储 存 液 Preservative: 15mM Sodium Azide, Constituents: 1% BSA, 0.01M PBS, pH 7.4
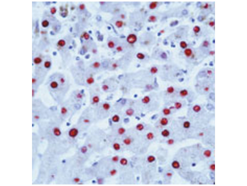
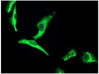
产品应用 WB=1:100-500 ELISA=1:500-1000 IHC-P=1:100-500 IHC-F=1:100-500 ICC=1:100-500 IF=1:100-500
感光细胞转录因子TULP3抗体产品优势:
| ※支持定制服务,客户提前下单,我们根据客户需求进行生产,可保证产品的新批次和应具备的活跃度和灵敏度; ※产品来源正规,由权威保藏中心进行保藏; ※产品价格公允,新老客户皆能享受我司提供的价格优惠,客户可来电获取实时报价; ※我司配备完善的服务体系,详细客户只要与我司达成合作关系,定能感受到我司的诚意。 |
荧光标记抗体实验要点:
1.偶联反应要求在尽可能接近pH9.8的溶液中进行,而且注意在反应过程中要保持此pH水平;
2.要确定在偶联反应缓冲液中不含游离氨基(Tris,氨及叠氮钠均可与FITC反应,因此会降低蛋白质与FITC的偶联率);
3.FITC与蛋白质的比值(F/P),可通过测定495m与280nm吸光度来鉴定;
4.FITC缺限是易被光淬灭,因此复合物必须始终避光保存;
5.如果FITC一复合物对PBS透析不充分,可能造成高本底,对免疫荧光染色产生干扰;
与感光细胞转录因子TULP3抗体相关的其他产品:
特价促销SSTR4 生长抑素受体4抗体规格 0.1ml
特价促销SSTR3 生长抑素受体3抗体规格 0.1ml
特价促销SSTR2 生长抑素受体2抗体规格 0.1ml
特价促销SSTR1 生长抑素受体1抗体规格 0.1ml
特价促销SSEA3 阶段特异性胚胎表面抗原-3抗体规格 0.1ml
特价促销SSDD/Steroid sulfatase 类固醇硫酸酯酶抗体规格 0.1ml
特价促销SSBP2 抑癌基因SSDP2抗体规格 0.2ml
感光细胞转录因子TULP3抗体人己糖激酶3(HK3)ELISA试剂盒 进口/原装 英文名称: human hexokinase 3,HK3 ELISA Kit
人脊髓灰质炎病毒IgG(PV-IgG)ELISA试剂盒 进口/原装 英文名称: Human Poliomyelitis Virus,PV-IgG ELISA Kit
人甲胺喋呤(MTX)ELISA试剂盒 进口/原装 英文名称: Human methotrexate,MTX ELISA Kit
人甲基化酶(Methylase)ELISA试剂盒 进口/原装 英文名称: Human Methylase ELISA Kit
人甲肟前列腺素D2(PGD2-MOX)ELISA试剂盒 进口/原装 英文名称: human Prostaglandin D2-methoxime,PGD2-MOX ELISA Kit
人甲种胎儿球蛋白/甲胎蛋白(AFP)ELISA试剂盒 进口/原装 英文名称: Human Alpha-fetoprotein,AFP ELISA Kit
人甲状旁腺激素(PTH)ELISA试剂盒 进口/原装 英文名称: human Parathyroid hormone,PTH ELISA Kit
风险提示:丁香通仅作为第三方平台,为商家信息发布提供平台空间。用户咨询产品时请注意保护个人信息及财产安全,合理判断,谨慎选购商品,商家和用户对交易行为负责。对于医疗器械类产品,请先查证核实企业经营资质和医疗器械产品注册证情况。
文献和实验基因表达调控的重点。现在的基因数据库信息丰富,拿到基因及其启动子序列非常简单。那么问题又来了,拿到启动子序列以后,下一步怎么找相关的调控蛋白/转录因子呢?生物信息学方法预测?你会得到很多可能的目标调控蛋白/转录因子,还要做实验一个一个验证。凝胶迁移(EMSA),染色质免疫共沉淀(ChIP)?只能针对已知能与启动子结合的调控蛋白/转录因子,而且还需要相应探针/抗体,对于大量筛选无能为力。美国Signosis的转录因子(结合启动子)微孔板芯片检测试剂可以方便、高效地解决这一问题。该方法专门用于筛查与特定DNA序列
原理: 将染色质和与之相互作用的转录因子和组蛋白通过甲醛等物质交联起来,然后通过超声将染色质打碎成小片段,加入针对特定转录因子或特殊修饰的组蛋白抗体,通过 Protein A/Protein G 微球或磁珠将抗体-转录因子-染色质复合物拖下来,通过 PCR 或测序的方法检测与目的蛋白相结合的 DNA 序列,进而研究这些转录因子在细胞发育或者生长中的作用位点。 ✦ ChIP-seq: ChIP-seq 将 ChIP 技术与二代测序相结合,将 ChIP 下来的 DNA 进行二代测序文库构建,能够获取
电极移动距离的大小是同其分子量的对数成反比。如果某种 DNA 分子结合上一种特殊的蛋白质,那么由于分子量的加大它在凝胶中的迁移作用便会受到阻滞,于是朝正极移动的距离也就相应的缩短,因而在凝胶中出现滞后的条带,这就是凝胶阻滞实验的基本原理。 3. 过程: 首先制备细胞蛋白质提取物(理论上其中含有某种特殊的转录因子) 用放射性同位素标记待检测的 DNA 片段(含有转录因子的结合位点) 这种被标记的探针 DNA 同细胞蛋白质提取物一起进行温育,于是产生DNA -蛋白质复合物,在控制使 DNA -蛋白质保持结合状态
技术资料暂无技术资料 索取技术资料









