相关产品推荐更多 >
万千商家帮你免费找货
0 人在求购买到急需产品
- 详细信息
- 文献和实验
- 技术资料
- 供应商:
上海联迈生物工程有限公司
- 库存:
大量
- 目录编号:
LM-3970R
- 克隆性:
多克隆
- 抗原来源:
Rabbit
- 保质期:
1年
- 抗体英文名:
SDHA
- 抗体名:
琥珀酸脱氢酶复合体亚基A抗体
- 宿主:
Rabbit
- 适应物种:
Human, Mouse, Rat,
- 免疫原:
KLH conjugated synthetic peptide derived from human SDHA:561-664/664
- 亚型:
IgG
- 形态:
Lyophilized or Liquid
- 应用范围:
WB=1:500-2000 ELISA=1:500-1000 IHC-P=1:400-800 IHC-F=1:400-800 IF=1:100-500 (石蜡切片需做抗原修复)
- 浓度:
1mg/ml
- 保存条件:
Store at -20 °C
- 规格:
100ul 200ul
| 英文名称 | SDHA |
| 中文名称 | 琥珀酸脱氢酶复合体亚基A抗体 |
| 别 名 | mitochondrial; DHSA_HUMAN; Flavoprotein subunit of complex II; Fp; SDH 2; SDH2; SDHA; SDHF; Succinate dehydrogenase [ubiquinone] flavoprotein subunit; Succinate dehydrogenase [ubiquinone] flavoprotein subunit mitochondrial; Succinate dehydrogenase complex flavoprotein subunit precursor; Succinate dehydrogenase complex subunit A; Succinate Dehydrogenase Complex subunit A Flavoprotein. |
| 规格价格 | 100ul/1380元 购买 200ul/2200元 购买 大包装/询价 |
| 说 明 书 | 100ul 200ul |
| 研究领域 | 肿瘤 细胞生物 免疫学 信号转导 细胞凋亡 转录调节因子 |
| 抗体来源 | Rabbit |
| 克隆类型 | Polyclonal |
| 交叉反应 | Human, Mouse, Rat, |
| 产品应用 | WB=1:500-2000 ELISA=1:500-1000 IHC-P=1:400-800 IHC-F=1:400-800 IF=1:100-500 (石蜡切片需做抗原修复) not yet tested in other applications. optimal dilutions/concentrations should be determined by the end user. |
| 分 子 量 | 70kDa |
| 细胞定位 | 细胞浆 |
| 性 状 | Lyophilized or Liquid |
| 浓 度 | 1mg/ml |
| 免 疫 原 | KLH conjugated synthetic peptide derived from human SDHA:561-664/664 |
| 亚 型 | IgG |
| 纯化方法 | affinity purified by Protein A |
| 储 存 液 | 0.01M TBS(pH7.4) with 1% BSA, 0.03% Proclin300 and 50% Glycerol. |
| 保存条件 | Store at -20 °C for one year. Avoid repeated freeze/thaw cycles. The lyophilized antibody is stable at room temperature for at least one month and for greater than a year when kept at -20°C. When reconstituted in sterile pH 7.4 0.01M PBS or diluent of antibody the antibody is stable for at least two weeks at 2-4 °C. |
| PubMed | PubMed |
| 产品介绍 | background: In aerobic respiration reactions, succinate dehydrogenase (SDH) catalyzes the oxidation of succinate and ubiquinone to fumarate and ubiquinol. Four subunits comprise the SDH protein complex: a flavochrome subunit (SDHA), an iron-sulfur protein (SDHB), and two membrane-bound subunits (SDHC and SDHD) anchored to the inner mitochondrial membrane. Mutations to these subunits cause mitochondrial dysfunction, corresponding to several distinct disorders. Mutations in the membrane bound components may cause hereditary paraganglioma, while SDHA mutations are associated with juvenile encephalopathy as well as Leigh Syndrome, a severe neurological disorder. Inactivating mutations in SDHB correlate with inherited, but not necessarily sporadic, cases of pheochromocytoma. Function: Defects in SDHA are a cause of mitochondrial complex II deficiency (MT-C2D). A disorder of the mitochondrial respiratory chain with heterogeneous clinical manifestations. Clinical features include psychomotor regression in infants, poor growth with lack of speech development, severe spastic quadriplegia, dystonia, progressive leukoencephalopathy, muscle weakness, exercise intolerance, cardiomyopathy. Some patients manifest Leigh syndrome or Kearns-Sayre syndrome. SWISS: P31040 Gene ID: 6389 Important Note: This product as supplied is intended for research use only, not for use in human, therapeutic or diagnostic applications. |
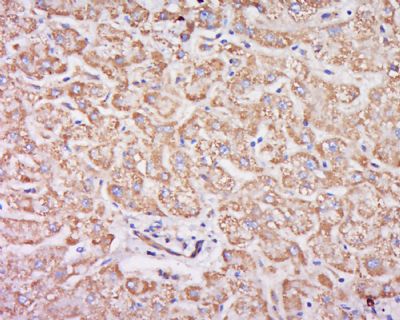
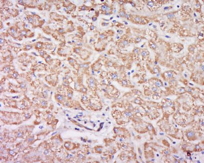
| 产品图片 | ![]() Sample: Heart (Mouse) Lysate at 40 ug Primary: Anti- SDHA (bs-3970R) at 1/300 dilution Secondary: IRDye800CW Goat Anti-Rabbit IgG at 1/10000 dilution Predicted band size: 70 kD Observed band size: 75 kD ![]() Tissue/cell: human liver cancer; 4% Paraformaldehyde-fixed and paraffin-embedded; Antigen retrieval: citrate buffer ( 0.01M, pH 6.0 ), Boiling bathing for 15min; Block endogenous peroxidase by 3% Hydrogen peroxide for 30min; Blocking buffer (normal goat serum,C-0005) at 37℃ for 20 min; Incubation: Anti-SDHA Polyclonal Antibody, Unconjugated(bs-3970R) 1:200, overnight at 4°C, followed by conjugation to the secondary antibody(SP-0023) and DAB(C-0010) staining |
风险提示:丁香通仅作为第三方平台,为商家信息发布提供平台空间。用户咨询产品时请注意保护个人信息及财产安全,合理判断,谨慎选购商品,商家和用户对交易行为负责。对于医疗器械类产品,请先查证核实企业经营资质和医疗器械产品注册证情况。
文献和实验羧酸循环的一系列反应的调节。丙酮酸脱氢酶复合体、柠檬酸合成酶、异柠檬酸脱氢酶和α-酮戊二酸脱氢酶复合体是这一过程的限速酶。 丙酮酸脱氢酶复合体受别位调控也受化学修饰调控,该酶复合体受它的催化产物ATP、乙酰CoA和NADH有力的抑制,这种别位抑制可被长链脂肪酸所增强,当进入三羧酸循环的乙酰CoA减少,而AMP、辅酶A和NAD+堆积,酶复合体就被别位激活。除上述别位调节,在脊椎动物还有第二层次的调节,即酶蛋白的化学修饰,PDH含有两个亚基,其中一个亚基上特定的一个丝氨酸残基经磷酸化后,酶活性就受抑制
反应途径。 17、自体组装(self assembly) 生物大分子借助本身的力量自行装配成高级结构,现代的概念应理解为不需要模板和酶系的催化, 以别于模板组装和酶效应组装。其实,这种组装也需要一种称为分子伴侣的蛋白介导, 如核小体的组装就需要核质素的介导。 18、引发体(primosome) 是蛋白复合体, 主要成份是引物酶和DNA解旋酶,是在合成用于DNA复制的RNA引物时装配的。引发体与DNA结合后随即由引物酶合成RNA引物。 19、剪接体(splicesome) 进行hnRNA剪接时形成
于底物分子的解离情况。( ) 7. 寡聚酶一般是指由多个相同亚基组成的酶分子。 ( ) 8. 糖异生途径是由相同的一批酶催化的糖酵解途径的逆转。 ( ) 9. 线粒体内膜ADP-ATP载体蛋白在促进ADP由细胞质进入完整线粒体基质的同时ATP由完整线粒体基质进入细胞质的过程是需要能量的。 ( ) 10. 脂质体的直径可以小到150 nm。 ( ) 11. 质膜上糖蛋白的糖基都位于膜的外侧。 ( ) 12. 雄性激素在机体内可变
技术资料暂无技术资料 索取技术资料












