相关产品推荐更多 >
万千商家帮你免费找货
0 人在求购买到急需产品
- 详细信息
- 文献和实验
- 技术资料
- 供应商:
上海联迈生物工程有限公司
- 库存:
大量
- 目录编号:
LM-3752R
- 克隆性:
多克隆
- 抗原来源:
Rabbit
- 保质期:
1年
- 抗体英文名:
Sca1
- 抗体名:
T淋巴细胞激活蛋白抗体
- 宿主:
Rabbit
- 适应物种:
Human, Mouse, Rat,
- 免疫原:
KLH conjugated synthetic peptide derived from mouse Sca1/Ly6A/E:15-110/134
- 亚型:
IgG
- 形态:
Lyophilized or Liquid
- 应用范围:
ELISA=1:500-1000 IHC-P=1:400-800 IHC-F=1:400-800 Flow-Cyt=2μg /Test IF=1:100-500 (石蜡切片需做抗原修复)
- 浓度:
1mg/ml
- 保存条件:
Store at -20 °C
- 规格:
50ul 100ul 200ul
| 英文名称 | Sca1 |
| 中文名称 | T淋巴细胞激活蛋白抗体 |
| 别 名 | Lymphocyte antigen 6A-2/6E-1; Ly-6A.2/Ly-6E.1; Stem cell antigen 1; Sca1 / Ly6A/E; SCA-1; T-cell-activating protein; TAP; Ly6al; Ly6a; LY6A_MOUSE. |
| 规格价格 | 50ul/780元 购买 100ul/1380元 购买 200ul/2200元 购买 大包装/询价 |
| 说 明 书 | 50ul 100ul 200ul |
| 研究领域 | 细胞生物 免疫学 细胞膜受体 细胞表面分子 t-淋巴细胞 b-淋巴细胞 |
| 抗体来源 | Rabbit |
| 克隆类型 | Polyclonal |
| 交叉反应 | Human, Mouse, Rat, |
| 产品应用 | ELISA=1:500-1000 IHC-P=1:400-800 IHC-F=1:400-800 Flow-Cyt=2μg /Test IF=1:100-500 (石蜡切片需做抗原修复) not yet tested in other applications. optimal dilutions/concentrations should be determined by the end user. |
| 分 子 量 | 9kDa |
| 细胞定位 | 细胞膜 |
| 性 状 | Lyophilized or Liquid |
| 浓 度 | 1mg/ml |
| 免 疫 原 | KLH conjugated synthetic peptide derived from mouse Sca1/Ly6A/E:15-110/134 |
| 亚 型 | IgG |
| 纯化方法 | affinity purified by Protein A |
| 储 存 液 | 0.01M TBS(pH7.4) with 1% BSA, 0.03% Proclin300 and 50% Glycerol. |
| 保存条件 | Store at -20 °C for one year. Avoid repeated freeze/thaw cycles. The lyophilized antibody is stable at room temperature for at least one month and for greater than a year when kept at -20°C. When reconstituted in sterile pH 7.4 0.01M PBS or diluent of antibody the antibody is stable for at least two weeks at 2-4 °C. |
| PubMed | PubMed |
| 产品介绍 | background: Sca1, also known as Ly6A/E, is a member of the Ly6 multigene family of type V glycophosphatidylinositol anchored cell surface proteins. It is expressed on multipotent hematopoietic stem cells in bone marrow of mice with both the Ly6.1 and Ly6.2 allotypes. In the periphery, Sca1 exhibits a pattern of expression which is based on differences between the two allotypes. Ly6.1 strains (e.g., A, BALB/c, CBA, C3H/He, DBA/1, NZB) have few Sca1+ resting peripheral lymphocytes, whereas Ly6.2 strains (e.g., AKR, C57BL, C57BR, C57L, DBA/2, PL, SJL, SWR, 129) have relatively high numbers of Sca1+ lymphocytes. The expression of Sca1 is dramatically upregulated in all strains upon cellular activation. Function: T-cell activation. Subcellular Location: Cell membrane; Lipid-anchor, GPI-anchor. Tissue Specificity: Widely expressed. Post-translational modifications: O-glycosylated. Not N-glycosylated. Not phosphorylated. Similarity: Contains 1 UPAR/Ly6 domain. SWISS: P05533 Gene ID: 110454 Database links: Entrez Gene: 110454 Mouse SwissProt: P05533 Mouse Unigene: 425949 Mouse Important Note: This product as supplied is intended for research use only, not for use in human, therapeutic or diagnostic applications. |
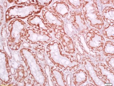
| 产品图片 | ![]() Tissue/cell: rat kidney tissue; 4% Paraformaldehyde-fixed and paraffin-embedded; Antigen retrieval: citrate buffer ( 0.01M, pH 6.0 ), Boiling bathing for 15min; Block endogenous peroxidase by 3% Hydrogen peroxide for 30min; Blocking buffer (normal goat serum,C-0005) at 37℃ for 20 min; Incubation: Anti-Sca1 Polyclonal Antibody, Unconjugated(bs-3752R) 1:500, overnight at 4°C, followed by conjugation to the secondary antibody(SP-0023) and DAB(C-0010) staining ![]() Tissue/cell: rat kidney tissue;4% Paraformaldehyde-fixed and paraffin-embedded; Antigen retrieval: citrate buffer ( 0.01M, pH 6.0 ), Boiling bathing for 15min; Blocking buffer (normal goat serum,C-0005) at 37℃ for 20 min; Incubation: Anti-Sca1 Polyclonal Antibody, Unconjugated(bs-3752R) 1:500, overnight at 4°C; The secondary antibody was Goat Anti-Rabbit IgG, Cy3 conjugated(bs-0295G-Cy3)used at 1:200 dilution for 40 minutes at 37°C. ![]() Tissue/cell: mouse thymus tissue;4% Paraformaldehyde-fixed and paraffin-embedded; Antigen retrieval: citrate buffer ( 0.01M, pH 6.0 ), Boiling bathing for 15min; Blocking buffer (normal goat serum,C-0005) at 37℃ for 20 min; Incubation: Anti-Sca1 Polyclonal Antibody, Unconjugated(bs-3752R) 1:500, overnight at 4°C; The secondary antibody was Goat Anti-Rabbit IgG, Cy3 conjugated(bs-0295G-Cy3)used at 1:200 dilution for 40 minutes at 37°C. DAPI(5ug/ml,blue,C-0033) was used to stain the cell nuclei ![]() Blank control: Mouse Thymus Cells(blue). Primary Antibody: Rabbit Anti-Sca1/FITC Conjugated antibody (bs-3752R/FITC), Dilution: 2μg in 100 μL 1X PBS containing 0.5% BSA; Isotype Control Antibody: Rabbit IgG/FITC(orange) ,used under the same conditions. |
风险提示:丁香通仅作为第三方平台,为商家信息发布提供平台空间。用户咨询产品时请注意保护个人信息及财产安全,合理判断,谨慎选购商品,商家和用户对交易行为负责。对于医疗器械类产品,请先查证核实企业经营资质和医疗器械产品注册证情况。
文献和实验厦门大学药物科学学院的研究团队已经发现表皮生长因子受体(EGFR)在三阴乳腺癌肿瘤位置高表达,并设计了靶向EGFR 的第三代 CAR 结构。随后用 EGFR CAR 慢病毒(EGFR CAR-T)感染原代T淋巴细胞生产 CAR-T,分别在体外和体内评估了 CAR-T 对 TNBC 的疗效。通过RNA测序分析揭示了 EGFR CAR-T 细胞中激活的信号通路情况。 结果发现:第三代 EGFR CAR-T 细胞在体外对 TNBC 肿瘤细胞有很强的特异性抑制作用,而对正常的乳腺上皮细胞或雌激素
恶性肿瘤病人外周血免疫指标的流式细胞仪检测及免疫治疗前后免疫功能变化的研究
性,IL-2用来刺激产生LAK细胞,LAK细胞可依一种非MHC限制方式识别新鲜肿瘤细胞,而不识别正常细胞,从而对肿瘤细胞产生免疫应答。本文对10例恶性肿瘤病人进行高聚生、IL-2免疫治疗,并观察治疗前后各分子的变化,其中CD4+/CD3+、CD3+、CD4/CD8比值、NK细胞(CD3+/CD16+56+)、活化T淋巴细胞(CD3+/HLA-DR+),活化B、NK细胞(CD3-/HLA-DR+)较对照组均显著性增高(P4+T细胞活性加强,调节激活了T、B、NK细胞的功能,从而改善了机体的细胞免疫功能。
亚群(CD4+CD45RA+/ CD4+CD45RA+62L+)和记忆亚群(CD4+CD45RA-/ CD4+CD45RO+)、功能亚群(CD28+)、激活亚群(CD38+、HLA-DR+)、凋亡亚群(CD95+)等。 3.2人CD3+T淋巴细胞分选试剂盒简介 IPHASE/汇智和源顺应市场需求,推出了可用于人CD3+T淋巴细胞分选的试剂盒,助力于生命科学的研究。根据分选样品的不同,分为适用于人PBMC样品分选和适用于人全血样品分选的两种试剂盒。试剂盒操作简单便捷,各成分对细胞无毒性,且可实现高纯
技术资料暂无技术资料 索取技术资料














