相关产品推荐更多 >
万千商家帮你免费找货
0 人在求购买到急需产品
- 详细信息
- 文献和实验
- 技术资料
- 供应商:
上海联迈生物工程有限公司
- 库存:
大量
- 目录编号:
LM-3746R
- 克隆性:
多克隆
- 抗原来源:
Rabbit
- 保质期:
1年
- 抗体英文名:
Histone H4 (Acetyl K12)
- 抗体名:
乙酰化组蛋白H4抗体
- 宿主:
Rabbit
- 适应物种:
Human, Mouse, Rat, Dog, Pig, Cow, Horse, Rabbit,
- 免疫原:
KLH conjugated Synthesised acetylpeptide derived from human Histone H4 around the acetylation site of Lys12:LG(Ac-K)GG
- 亚型:
IgG
- 形态:
Lyophilized or Liquid
- 应用范围:
WB=1:500-2000 ELISA=1:500-1000 IHC-P=1:400-800 IHC-F=1:400-800 ICC=1:100-500 IF=1:100-500 (石蜡切片需做抗原修复)
- 浓度:
1mg/ml
- 保存条件:
Store at -20 °C
- 规格:
100ul
| 英文名称 | Histone H4 (Acetyl K12) |
| 中文名称 | 乙酰化组蛋白H4抗体 |
| 别 名 | Histone H4 (Acetyl-K12); Histone H4 (Acetyl Lys12); Acetyl-Histone H4 (Lys12); H4F2; H4FN; HIST1H4; HIST2H4; HISTH4H4; methyl histone H4; histone H4; H4_HUMAN; Osteogenic growth peptide; OGP. |
| 规格价格 | 100ul/1580元 购买 大包装/询价 |
| 说 明 书 | 100ul |
| 产品类型 | 乙酰化抗体 |
| 研究领域 | 细胞生物 免疫学 发育生物学 染色质和核信号 转录调节因子 |
| 抗体来源 | Rabbit |
| 克隆类型 | Polyclonal |
| 交叉反应 | Human, Mouse, Rat, Dog, Pig, Cow, Horse, Rabbit, |
| 产品应用 | WB=1:500-2000 ELISA=1:500-1000 IHC-P=1:400-800 IHC-F=1:400-800 ICC=1:100-500 IF=1:100-500 (石蜡切片需做抗原修复) not yet tested in other applications. optimal dilutions/concentrations should be determined by the end user. |
| 分 子 量 | 11kDa |
| 细胞定位 | 细胞核 |
| 性 状 | Lyophilized or Liquid |
| 浓 度 | 1mg/ml |
| 免 疫 原 | KLH conjugated Synthesised acetylpeptide derived from human Histone H4 around the acetylation site of Lys12:LG(Ac-K)GG |
| 亚 型 | IgG |
| 纯化方法 | affinity purified by Protein A |
| 储 存 液 | 0.01M TBS(pH7.4) with 1% BSA, 0.03% Proclin300 and 50% Glycerol. |
| 保存条件 | Store at -20 °C for one year. Avoid repeated freeze/thaw cycles. The lyophilized antibody is stable at room temperature for at least one month and for greater than a year when kept at -20°C. When reconstituted in sterile pH 7.4 0.01M PBS or diluent of antibody the antibody is stable for at least two weeks at 2-4 °C. |
| PubMed | PubMed |
| 产品介绍 | background: Histones are basic nuclear proteins that are responsible for the nucleosome structure of the chromosomal fiber in eukaryotes. Nucleosomes consist of approximately 146 bp of DNA wrapped around a histone octamer composed of pairs of each of the four core histones (H2A, H2B, H3, and H4). The chromatin fiber is further compacted through the interaction of a linker histone, H1, with the DNA between the nucleosomes to form higher order chromatin structures. This gene is intronless and encodes a member of the histone H4 family. Transcripts from this gene lack polyA tails; instead, they contain a palindromic termination element. [provided by RefSeq, Jul 2008]. Function: Core component of nucleosome. Nucleosomes wrap and compact DNA into chromatin, limiting DNA accessibility to the cellular machineries which require DNA as a template. Histones thereby play a central role in transcription regulation, DNA repair, DNA replication and chromosomal stability. DNA accessibility is regulated via a complex set of post-translational modifications of histones, also called histone code, and nucleosome remodeling. Subunit: The nucleosome is a histone octamer containing two molecules each of H2A, H2B, H3 and H4 assembled in one H3-H4 heterotetramer and two H2A-H2B heterodimers. The octamer wraps approximately 147 bp of DNA. Subcellular Location: Nucleus. Chromosome. Post-translational modifications: Acetylation at Lys-6 (H4K5ac), Lys-9 (H4K8ac), Lys-13 (H4K12ac) and Lys-17 (H4K16ac) occurs in coding regions of the genome but not in heterochromatin. Citrullination at Arg-4 (H4R3ci) by PADI4 impairs methylation. Monomethylation and asymmetric dimethylation at Arg-4 (H4R3me1 and H4R3me2a, respectively) by PRMT1 favors acetylation at Lys-9 (H4K8ac) and Lys-13 (H4K12ac). Demethylation is performed by JMJD6. Symmetric dimethylation on Arg-4 (H4R3me2s) by the PRDM1/PRMT5 complex may play a crucial role in the germ-cell lineage. Monomethylated, dimethylated or trimethylated at Lys-21 (H4K20me1, H4K20me2, H4K20me3). Monomethylation is performed by SET8. Trimethylation is performed by SUV420H1 and SUV420H2 and induces gene silencing. Phosphorylated by PAK2 at Ser-48 (H4S47ph). This phosphorylation increases the association of H3.3-H4 with the histone chaperone HIRA, thus promoting nucleosome assembly of H3.3-H4 and inhibiting nucleosome assembly of H3.1-H4. Ubiquitinated by the CUL4-DDB-RBX1 complex in response to ultraviolet irradiation. This may weaken the interaction between histones and DNA and facilitate DNA accessibility to repair proteins. Monoubiquitinated at Lys-92 of histone H4 (H4K91ub1) in response to DNA damage. The exact role of H4K91ub1 in DNA damage response is still unclear but it may function as a licensing signal for additional histone H4 post-translational modifications such as H4 Lys-21 methylation (H4K20me). Sumoylated, which is associated with transcriptional repression. Crotonylation (Kcr) is specifically present in male germ cells and marks testis-specific genes in post-meiotic cells, including X-linked genes that escape sex chromosome inactivation in haploid cells. Crotonylation marks active promoters and enhancers and confers resistance to transcriptional repressors. It is also associated with post-meiotically activated genes on autosomes. Similarity: Belongs to the histone H4 family. SWISS: P62805 Gene ID: 121504 Database links: Entrez Gene: 121504 Human Entrez Gene: 554313 Human Entrez Gene: 8294 Human Entrez Gene: 8359 Human Entrez Gene: 8360 Human Entrez Gene: 8361 Human Entrez Gene: 8362 Human Entrez Gene: 8363 Human Entrez Gene: 8364 Human Entrez Gene: 8365 Human Entrez Gene: 8366 Human Entrez Gene: 8367 Human Entrez Gene: 8368 Human Entrez Gene: 8370 Human Entrez Gene: 100041230 Mouse Entrez Gene: 100862646 Mouse Entrez Gene: 319155 Mouse Entrez Gene: 319156 Mouse Entrez Gene: 319157 Mouse Entrez Gene: 319158 Mouse Entrez Gene: 319159 Mouse Entrez Gene: 319160 Mouse Entrez Gene: 319161 Mouse Entrez Gene: 320332 Mouse Entrez Gene: 326619 Mouse Entrez Gene: 326620 Mouse Entrez Gene: 69386 Mouse Entrez Gene: 97122 Mouse GenBank: NM_003548 Human Omim: 142750 Human SwissProt: P84040 Fruit fly (Drosophila melanogaster) SwissProt: P02304 Human SwissProt: P62805 Human SwissProt: P02304 Mouse SwissProt: P62806 Mouse SwissProt: P02304 Rat SwissProt: P09322 Schizosaccharomyces pombe Unigene: 21500 Fruit fly (Drosophila melanogaster) Unigene: 29514 Fruit fly (Drosophila melanogaster) Unigene: 29527 Fruit fly (Drosophila melanogaster) Unigene: 30219 Fruit fly (Drosophila melanogaster) Unigene: 30220 Fruit fly (Drosophila melanogaster) Unigene: 30221 Fruit fly (Drosophila melanogaster) Unigene: 30223 Fruit fly (Drosophila melanogaster) Unigene: 30868 Fruit fly (Drosophila melanogaster) Unigene: 30869 Fruit fly (Drosophila melanogaster) Unigene: 30871 Fruit fly (Drosophila melanogaster) Unigene: 30872 Fruit fly (Drosophila melanogaster) Unigene: 30873 Fruit fly (Drosophila melanogaster) Unigene: 30876 Fruit fly (Drosophila melanogaster) Unigene: 33873 Fruit fly (Drosophila melanogaster) Unigene: 5747 Fruit fly (Drosophila melanogaster) Unigene: 143080 Human Unigene: 247816 Human Unigene: 248172 Human Unigene: 248178 Human Unigene: 248179 Human Unigene: 278483 Human Unigene: 352191 Human Unigene: 46423 Human Unigene: 528055 Human Unigene: 533295 Human Unigene: 55468 Human Unigene: 591790 Human Unigene: 655235 Human Unigene: 662174 Human Unigene: 706635 Human Unigene: 742244 Human Unigene: 14775 Mouse Unigene: 158272 Mouse Unigene: 227295 Mouse Unigene: 228709 Mouse Unigene: 246720 Mouse Unigene: 255646 Mouse Unigene: 260530 Mouse Unigene: 261642 Mouse Unigene: 261662 Mouse Unigene: 261664 Mouse Unigene: 377875 Mouse Unigene: 442307 Mouse Unigene: 486099 Mouse Unigene: 489077 Mouse Important Note: This product as supplied is intended for research use only, not for use in human, therapeutic or diagnostic applications. |
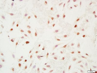
| 产品图片 | ![]() Paraformaldehyde-fixed, paraffin embedded (Mouse brain); Antigen retrieval by boiling in sodium citrate buffer (pH6.0) for 15min; Block endogenous peroxidase by 3% hydrogen peroxide for 20 minutes; Blocking buffer (normal goat serum) at 37°C for 30min; Antibody incubation with (Histone H4 (Acetyl K12)) Polyclonal Antibody, Unconjugated (bs-3746R) at 1:500 overnight at 4°C, followed by a conjugated secondary (sp-0023) for 20 minutes and DAB staining. ![]() Tissue/cell: HeLa cell; 4% Paraformaldehyde-fixed; Triton X-100 at room temperature for 20 min; Block endogenous peroxidase by 3% hydrogen peroxide for 20 minutes; Blocking buffer (normal goat serum) at 37°C for 30min; Antibody incubation with (Histone H4 (Acetyl K12)) Polyclonal Antibody, Unconjugated (bs-3746R) at 1:400 overnight at 4°C, followed by operating according to SP Kit(Rabbit) (sp-0023) instructionsand DAB staining. |
风险提示:丁香通仅作为第三方平台,为商家信息发布提供平台空间。用户咨询产品时请注意保护个人信息及财产安全,合理判断,谨慎选购商品,商家和用户对交易行为负责。对于医疗器械类产品,请先查证核实企业经营资质和医疗器械产品注册证情况。
文献和实验perpetuity_love 求助关于组蛋白乙酰化的技术,用于RNAa,最好能有相关文献支持,做一个课题需要。 54wws 你好!我近期也在做组蛋白乙酰化,买的是Epigentek公司的Epi Quik Tissue Acetyl-Histone H3 ChIP Kit(cat.#P-2012-48)。已经做了两个多月了,用了两个试剂盒,都没有结果,包括input。我用试剂盒提取出来的DNA产物跑胶、进行PCR,都没有结果(引物
组蛋白乙酰化的研究方法 1.HAT活性的测定 HAT可以催化放射性标记的乙酰辅酶 A掺人核心组蛋白(有的选用H4氨基末端的14个氨基酸短肽)底物,然后测定掺人的放射性强度可以确定HAT的活性。HAT的活性单位定义为30~C时,将1pmol醋酸在10rain内掺人小牛胸腺组蛋白所需的酶量。 2.HDAC活性的分析 HDAC活性的检测比较烦琐。 3.染色质免疫沉淀技术(CHIP―PCR) ChIP可以检测基因组特定区域染色质中组蛋白的乙酰化状态。 (1)用1%
) AntibodyRabbitW IHC IC9671Acetyl-Histone H3 (Lys9) AntibodyRabbitW IP IHC IC2591Acetyl-Histone H4 (Lys12) AntibodyRabbitW IP IHC IC2594Acetyl-Histone H4 (Lys8) AntibodyRabbitW IP IHC IC有时组蛋白同时乙酰化和磷酸化修饰,进行转录的调控和活性的调节,因此CST也推出了能同时检测乙酰化和磷酸化的组蛋白的抗体。该系列抗体只识别同时乙酰化和磷酸
技术资料暂无技术资料 索取技术资料












