相关产品推荐更多 >
万千商家帮你免费找货
0 人在求购买到急需产品
- 详细信息
- 文献和实验
- 技术资料
- 供应商:
上海联迈生物工程有限公司
- 库存:
大量
- 目录编号:
LM-3504R
- 克隆性:
多克隆
- 抗原来源:
Rabbit
- 保质期:
1年
- 抗体英文名:
MST1
- 抗体名:
蛋白激酶MST抗体
- 宿主:
Rabbit
- 适应物种:
Human, Mouse, Rat, Dog, Cow, Horse, Rabbit,
- 免疫原:
KLH conjugated synthetic peptide derived from human MST1 Cterminus:385-487/487
- 亚型:
IgG
- 形态:
Lyophilized or Liquid
- 应用范围:
WB=1:500-2000 ELISA=1:500-1000 IHC-P=1:400-800 IHC-F=1:400-800 IF=1:100-500 (石蜡切片需做抗原修复)
- 浓度:
1mg/ml
- 保存条件:
Store at -20 °C
- 规格:
100ul 200ul
| 英文名称 | MST1 |
| 中文名称 | 蛋白激酶MST抗体 |
| 别 名 | Kinase responsive to stress; Krs2; Mammalian STE20 like protein kinase 1; Mammalian STE20-like protein kinase 1; Mammalian sterile 20 like 1; MST-1; Serine/threonine kinase 4; Serine/threonine protein kinase Krs 2; Serine/threonine-protein kinase 4; Serine/threonine-protein kinase Krs-2; STE20 like kinase MST1; STE20-like kinase MST1; STK4; STK4_HUMAN; TIIAC; YSK3. |
| 规格价格 | 100ul/1380元 购买 200ul/2200元 购买 大包装/询价 |
| 说 明 书 | 100ul 200ul |
| 研究领域 | 肿瘤 细胞生物 免疫学 信号转导 细胞凋亡 转录调节因子 激酶和磷酸酶 |
| 抗体来源 | Rabbit |
| 克隆类型 | Polyclonal |
| 交叉反应 | Human, Mouse, Rat, Dog, Cow, Horse, Rabbit, |
| 产品应用 | WB=1:500-2000 ELISA=1:500-1000 IHC-P=1:400-800 IHC-F=1:400-800 IF=1:100-500 (石蜡切片需做抗原修复) not yet tested in other applications. optimal dilutions/concentrations should be determined by the end user. |
| 分 子 量 | 56kDa |
| 细胞定位 | 细胞核 细胞浆 |
| 性 状 | Lyophilized or Liquid |
| 浓 度 | 1mg/ml |
| 免 疫 原 | KLH conjugated synthetic peptide derived from human MST1 Cterminus:385-487/487 |
| 亚 型 | IgG |
| 纯化方法 | affinity purified by Protein A |
| 储 存 液 | 0.01M TBS(pH7.4) with 1% BSA, 0.03% Proclin300 and 50% Glycerol. |
| 保存条件 | Store at -20 °C for one year. Avoid repeated freeze/thaw cycles. The lyophilized antibody is stable at room temperature for at least one month and for greater than a year when kept at -20°C. When reconstituted in sterile pH 7.4 0.01M PBS or diluent of antibody the antibody is stable for at least two weeks at 2-4 °C. |
| PubMed | PubMed |
| 产品介绍 | background: The protein encoded by this gene is a cytoplasmic kinase that is structurally similar to the yeast Ste20p kinase, which acts upstream of the stress-induced mitogen-activated protein kinase cascade. The encoded protein can phosphorylate myelin basic protein and undergoes autophosphorylation. A caspase-cleaved fragment of the encoded protein has been shown to be capable of phosphorylating histone H2B. The particular phosphorylation catalyzed by this protein has been correlated with apoptosis, and it's possible that this protein induces the chromatin condensation observed in this process. [provided by RefSeq, Jul 2008] Function: Stress-activated, pro-apoptotic kinase which, following caspase-cleavage, enters the nucleus and induces chromatin condensation followed by internucleosomal DNA fragmentation. Key component of the Hippo signaling pathway which plays a pivotal role in organ size control and tumor suppression by restricting proliferation and promoting apoptosis. The core of this pathway is composed of a kinase cascade wherein STK3/MST2 and STK4/MST1, in complex with its regulatory protein SAV1, phosphorylates and activates LATS1/2 in complex with its regulatory protein MOB1, which in turn phosphorylates and inactivates YAP1 oncoprotein and WWTR1/TAZ. Phosphorylation of YAP1 by LATS2 inhibits its translocation into the nucleus to regulate cellular genes important for cell proliferation, cell death, and cell migration. STK3/MST2 and STK4/MST1 are required to repress proliferation of mature hepatocytes, to prevent activation of facultative adult liver stem cells (oval cells), and to inhibit tumor formation (By similarity). Phosphorylates 'Ser-14' of histone H2B (H2BS14ph) during apoptosis. Phosphorylates FOXO3 upon oxidative stress, which results in its nuclear translocation and cell death initiation. Phosphorylates MOBKL1A, MOBKL1B and RASSF2. Phosphorylates TNNI3 (cardiac Tn-I) and alters its binding affinity to TNNC1 (cardiac Tn-C) and TNNT2 (cardiac Tn-T). Phosphorylates FOXO1 on 'Ser-212' and regulates its activation and stimulates transcription of PMAIP1 in a FOXO1-dependent manner. Phosphorylates SIRT1 and inhibits SIRT1-mediated p53/TP53 deacetylation, thereby promoting p53/TP53 dependent transcription and apoptosis upon DNA damage. Acts as an inhibitor of PKB/AKT1. Phosphorylates AR on 'Ser-650' and suppresses its activity by intersecting with PKB/AKT1 signaling and antagonizing formation of AR-chromatin complexes. Subunit: Homodimer; mediated via the coiled-coil region. Interacts with NORE1, which inhibits autoactivation. Interacts with and stabilizes SAV1. Interacts with RASSF1. Interacts with FOXO3. Interacts with RASSF2 (via SARAH domain). Interacts with AR, PKB/AKT1, TNNI3 and SIRT1. Subcellular Location: Cytoplasm. Nucleus. Note=The caspase-cleaved form cycles between the nucleus and cytoplasm. Tissue Specificity: Expressed in prostate cancer and levels increase from the normal to the malignant state (at protein level). Ubiquitously expressed. Post-translational modifications: Autophosphorylated on serine and threonine residues. Phosphorylation at Thr-120 and Thr-387 by PKB/AKT1, leads to inhibition of its: kinase activity, nuclear translocation and autophosphorylation at Thr-183. It also diminishes its cleavage by caspases and its ability to phosphorylate FOXO3. Proteolytically cleaved by caspase-3 during apoptosis at Asp-326 and Asp-349 resulting in a 37 kDa or a 39 kDa subunit respectively. The 39 kDa subunit is further cleaved into the 37 kDa form. Proteolytic cleavage results in kinase activation and nuclear translocation of the truncated form (MST1/N). It is less likely that cleavage at Asp-349 is a prerequisite for activation as this site is not conserved in the murine ortholog. Similarity: Belongs to the protein kinase superfamily. STE Ser/Thr protein kinase family. STE20 subfamily. Contains 1 protein kinase domain. Contains 1 SARAH domain. SWISS: Q13043 Gene ID: 6789 Database links: Entrez Gene: 6789 Human Entrez Gene: 58231 Mouse Entrez Gene: 311622 Rat Omim: 604965 Human SwissProt: Q13043 Human SwissProt: Q9JI11 Mouse Unigene: 472838 Human Unigene: 479158 Mouse Important Note: This product as supplied is intended for research use only, not for use in human, therapeutic or diagnostic applications. 蛋白激酶MST(Mammalian Sterile20-like Kinase) 是各种组织均有表达的丝氨酸/苏氨酸(Serine/Threonine)蛋白激酶。属于人丝氨酸/苏氨酸激酶的哺乳动物STE20样激酶(MST),MST1和MST2在caspase蛋白酶激活的细胞凋亡的上游和下游都起作用。 细胞凋亡中MST1被caspase蛋白酶切割和激活,能诱导细胞凋亡形态上的改变如染色质凝聚。哺乳动物STE20样激酶2 (Mst2) 与Mst1蛋白激酶很相似,有近90%的同源性。 |
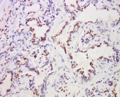
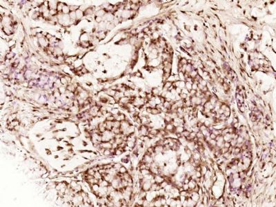
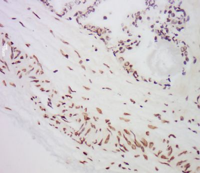
| 产品图片 | ![]() Tissue/cell: Human laryngeal carcinoma; 4% Paraformaldehyde-fixed and paraffin-embedded; Antigen retrieval: citrate buffer ( 0.01M, pH 6.0 ), Boiling bathing for 15min; Block endogenous peroxidase by 3% Hydrogen peroxide for 30min; Blocking buffer (normal goat serum,C-0005) at 37℃ for 20 min; Incubation: Anti-MST1 Polyclonal Antibody, Unconjugated(bs-3504R) 1:200, overnight at 4°C, followed by conjugation to the secondary antibody(SP-0023) and DAB(C-0010) staining ![]() Paraformaldehyde-fixed, paraffin embedded (Human stomach carcinoma); Antigen retrieval by boiling in sodium citrate buffer (pH6.0) for 15min; Block endogenous peroxidase by 3% hydrogen peroxide for 20 minutes; Blocking buffer (normal goat serum) at 37°C for 30min; Antibody incubation with (MST1) Polyclonal Antibody, Unconjugated (bs-3504R) at 1:500 overnight at 4°C, followed by a conjugated secondary (sp-0023) for 20 minutes and DAB staining. ![]() Tissue/cell: Human prostate tissue; 4% Paraformaldehyde-fixed and paraffin-embedded; Antigen retrieval: citrate buffer ( 0.01M, pH 6.0 ), Boiling bathing for 15min; Block endogenous peroxidase by 3% Hydrogen peroxide for 30min; Blocking buffer (normal goat serum,C-0005) at 37℃ for 20 min; Incubation: Anti-MST1 Polyclonal Antibody, Unconjugated(bs-3504R) 1:200, overnight at 4°C, followed by conjugation to the secondary antibody(SP-0023) and DAB(C-0010) staining ![]() Tissue/cell: Rat brain; 4% Paraformaldehyde-fixed and paraffin-embedded; Antigen retrieval: citrate buffer ( 0.01M, pH 6.0 ), Boiling bathing for 15min; Block endogenous peroxidase by 3% Hydrogen peroxide for 30min; Blocking buffer (normal goat serum,C-0005) at 37℃ for 20 min; Incubation: Anti-MST1 Polyclonal Antibody, Unconjugated(bs-3504R) 1:200, overnight at 4°C, followed by conjugation to the secondary antibody(SP-0023) and DAB(C-0010) staining |
风险提示:丁香通仅作为第三方平台,为商家信息发布提供平台空间。用户咨询产品时请注意保护个人信息及财产安全,合理判断,谨慎选购商品,商家和用户对交易行为负责。对于医疗器械类产品,请先查证核实企业经营资质和医疗器械产品注册证情况。
文献和实验NCB | 管坤良课题组揭示 Hippo 信号通路活化机制,为肿瘤治疗提供新靶点
由于与机体发育、器官大小调控、组织稳态和肿瘤发生密切相关,近些年来,关于 Hippo 信号通路的研究也越来越受到重视。先前的研究表明,Hippo 信号通路实质上是一个激酶级联反应介导的生长抑制信号通路。在感知多种信号刺激时,比如细胞连接、细胞极化、血清饥饿和溶血磷脂酸(LPA)缺乏,Hippo 信号通路中的关键激酶 MST1 / 2 和 MAP4Ks 会磷酸化活化 LATS1 / 2 激酶,后者诱导 YAP/TAZ 磷酸化,抑制 YAP/TAZ 入核启动靶标基因表达,从而阻断 YAP 的促生长
很多人做信号通路研究时,费了九牛二虎之力,好不容易找到了下游底物。满心欢喜地以为守得云开月明,岂料怎么也找不到可用的泛磷酸化抗体,下游的实验也难以开展。制备一个特异性的抗体呗,耗时耗力不说,好不好用还不知道。有没有什么其他办法呢?其实市面上可供选择的泛磷酸化抗体很多很多,关键是你能不能找到其中适合你的那一款。大部分蛋白激酶都有偏好的底物蛋白序列,例如 AMPK 偏好的序列是 LXRXXS*/T*,AKT 偏好的序列是 RXRXXS*/T*。检测以上两种蛋白激酶的底物磷酸化都有可用的商品化抗体
Cell Metab:浙大吕志民团队揭示肿瘤细胞 Warburg 效应促进肿瘤免疫逃逸
2 从线粒体外膜脱落,进入细胞浆中。在细胞浆中,HK2 结合 NF-κB 的抑制因子 IκBα。 重要的是,HK2 发挥了不依赖于其经典代谢功能的新功能,即作为一个蛋白激酶磷酸化 IκBα 的 Thr 291 位点。该磷酸化促进了蛋白酶 μ-calpain 与 IκBα 的结合并进一步降解 IκBα,进而使转录因子 NF-κB 入核,最终促进了 PD-L1 的表达并导致了肿瘤的免疫逃逸。作者还发现,使用己糖激酶的抑制剂与 PD-1 抗体联用治疗小鼠胶质瘤,可以显著提升 PD-1 抗体的治疗
技术资料暂无技术资料 索取技术资料













