相关产品推荐更多 >
万千商家帮你免费找货
0 人在求购买到急需产品
- 详细信息
- 询价记录
- 文献和实验
- 技术资料
- 供应商:
上海联迈生物工程有限公司
- 库存:
大量
- 目录编号:
LM-2781R
- 克隆性:
多克隆
- 抗原来源:
Rabbit
- 保质期:
1年
- 抗体英文名:
CACNA1G
- 抗体名:
电压依赖性钙通道Cav3.1抗体
- 宿主:
Rabbit
- 适应物种:
Human, Mouse, Rat, Dog, Pig, Cow, Guinea Pig,
- 免疫原:
KLH conjugated synthetic peptide derived from human CACNA1G/Cav31:901-1000/2377 <Extracellular>
- 亚型:
IgG
- 形态:
Lyophilized or Liquid
- 应用范围:
ELISA=1:1000-10000 IHC-P=1:400-800 IHC-F=1:400-800 Flow-Cyt=1μg /Test IF=1:100-500 (石蜡切片需做抗原修复)
- 浓度:
1mg/ml
- 保存条件:
Store at -20 °C
- 规格:
100ul 200ul
| 英文名称 | CACNA1G |
| 中文名称 | 电压依赖性钙通道Cav3.1抗体 |
| 别 名 | calcium channel voltage dependent alpha 1G subunit; calcium channel voltage dependent T type alpha 1G subunit; calcium channel voltage dependent T type alpha1G subunit; CaV T1; Cav3 1; cav3 1c; NBR13; voltage dependent calcium channel alpha 1G subunit isoform 11; voltage dependent T type calcium channel subunit alpha 1G; CAC1G_HUMAN; Cav3.1 |
![]() |
Specific References (1) | bs-2781R has been referenced in 1 publications. [IF=2.36] Lu, Yujie, et al. "Mibefradil reduces blood glucose concentration in db/db mice." Clinics 69.1 (2014): 61. WB ; Mouse. PubMed:24473561 |
| 规格价格 | 100ul/1380元 购买 200ul/2200元 购买 大包装/询价 |
| 说 明 书 | 100ul 200ul |
| 研究领域 | 通道蛋白 |
| 抗体来源 | Rabbit |
| 克隆类型 | Polyclonal |
| 交叉反应 | Human, Mouse, Rat, Dog, Pig, Cow, Guinea Pig, |
| 产品应用 | ELISA=1:1000-10000 IHC-P=1:400-800 IHC-F=1:400-800 Flow-Cyt=1μg /Test IF=1:100-500 (石蜡切片需做抗原修复) not yet tested in other applications. optimal dilutions/concentrations should be determined by the end user. |
| 分 子 量 | 262kDa |
| 细胞定位 | 细胞膜 |
| 性 状 | Lyophilized or Liquid |
| 浓 度 | 1mg/ml |
| 免 疫 原 | KLH conjugated synthetic peptide derived from human CACNA1G/Cav31:901-1000/2377 <Extracellular> |
| 亚 型 | IgG |
| 纯化方法 | affinity purified by Protein A |
| 储 存 液 | 0.01M TBS(pH7.4) with 1% BSA, 0.03% Proclin300 and 50% Glycerol. |
| 保存条件 | Store at -20 °C for one year. Avoid repeated freeze/thaw cycles. The lyophilized antibody is stable at room temperature for at least one month and for greater than a year when kept at -20°C. When reconstituted in sterile pH 7.4 0.01M PBS or diluent of antibody the antibody is stable for at least two weeks at 2-4 °C. |
| PubMed | PubMed |
| 产品介绍 | background: Voltage-sensitive calcium channels mediate the entry of calcium ions into excitable cells, and are also involved in a variety of calcium-dependent processes, including muscle contraction, hormone or neurotransmitter release, gene expression, cell motility, cell division, and cell death. This gene encodes a T-type, low-voltage activated calcium channel. The T-type channels generate currents that are both transient, owing to fast inactivation, and tiny, owing to small conductance. T-type channels are thought to be involved in pacemaker activity, low-threshold calcium spikes, neuronal oscillations and resonance, and rebound burst firing. Many alternatively spliced transcript variants encoding different isoforms have been described for this gene. [provided by RefSeq, Sep 2011] Function: Voltage-sensitive calcium channels (VSCC) mediate the entry of calcium ions into excitable cells and are also involved in a variety of calcium-dependent processes, including muscle contraction, hormone or neurotransmitter release, gene expression, cell motility, cell division and cell death. The isoform alpha-1G gives rise to T-type calcium currents. T-type calcium channels belong to the 'low-voltage activated (LVA)' group and are strongly blocked by mibefradil. A particularity of this type of channels is an opening at quite negative potentials and a voltage-dependent inactivation. T-type channels serve pacemaking functions in both central neurons and cardiac nodal cells and support calcium signaling in secretory cells and vascular smooth muscle. They may also be involved in the modulation of firing patterns of neurons which is important for information processing as well as in cell growth processes. Subcellular Location: Membrane; Multi-pass membrane protein. Tissue Specificity: Highly expressed in brain, in particular in the amygdala, subthalamic nuclei, cerebellum and thalamus. Moderate expression in heart; low expression in placenta, kidney and lung. Also expressed in colon and bone marrow and in tumoral cells to a lesser extent. Highly expressed in fetal brain, but also in peripheral fetal tissues as heart, kidney and lung, suggesting a developmentally regulated expression. Similarity: Belongs to the calcium channel alpha-1 subunit (TC 1.A.1.11) family. CACNA1G subfamily. SWISS: O43497 Gene ID: 8913 Database links: Entrez Gene: 8913 Human Entrez Gene: 12291 Mouse Entrez Gene: 29717 Rat Omim: 604065 Human SwissProt: O43497 Human SwissProt: O54898 Rat Unigene: 29585 Mouse Unigene: 86960 Rat Important Note: This product as supplied is intended for research use only, not for use in human, therapeutic or diagnostic applications. |
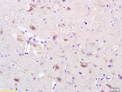
| 产品图片 | ![]() Tissue/cell: rat brain tissue; 4% Paraformaldehyde-fixed and paraffin-embedded; Antigen retrieval: citrate buffer ( 0.01M, pH 6.0 ), Boiling bathing for 15min; Block endogenous peroxidase by 3% Hydrogen peroxide for 30min; Blocking buffer (normal goat serum,C-0005) at 37℃ for 20 min; Incubation: Anti-CACNA1G/Cav3.1 Polyclonal Antibody, Unconjugated(bs-2781R) 1:200, overnight at 4°C, followed by conjugation to the secondary antibody(SP-0023) and DAB(C-0010) staining ![]() Blank control(blue): MCF7 Cells(fixed with 2% paraformaldehyde (10 min). The cells were washed twice with 1 X PBS). Primary Antibody: Rabbit Anti- CACNA1G/AF488 Conjugated antibody (bs-2781R-AF488), Dilution: 1μg in 100 μL 1X PBS containing 0.5% BSA; Isotype Control Antibody: Rabbit IgG/AF488(orange) ,used under the same conditions. |
风险提示:丁香通仅作为第三方平台,为商家信息发布提供平台空间。用户咨询产品时请注意保护个人信息及财产安全,合理判断,谨慎选购商品,商家和用户对交易行为负责。对于医疗器械类产品,请先查证核实企业经营资质和医疗器械产品注册证情况。
- 作者
- 内容
- 询问日期
文献和实验株)发展到组织片(如脑片、脊髓片)乃至整体动物;从蜗牛、青蛙、蝾螈、爪蟾卵母细胞发展到鸡细胞、大鼠细胞、人细胞等等;从动物细胞发展到细菌、真菌以及植物细胞。此外,膜片钳技术还广泛地应用到平面双分子层(Planar bilayer)、脂质体(Liposome)等人工标本上。 3、研究对象 研究对象已经不局限于离子通道。从对离子通道(配体门控性、电压门控性、第二信使介导的离子通道、机械敏感性离子通道以及缝隙连接通道等等)的研究发展到对离子泵、交换体以及可兴奋细胞的胞吞、胞吐机制的研究等。 4、应用
馈及例子 12. 电紧张性扩布 13. 钠泵(Na —K 泵) 14. 阈电位 15. Chemically gated channel 16. 绝对不应期 17. 电压门控通道 18. Secondary active transport 19. 主动运转 20. 兴奋 21. 易化扩散 22. 等张收缩 23
分离的发展奠定了基础。1981年人们第一次展示了毛细管区带电泳,使用75um内径的玻璃毛细管和荧光检测器进行在线检测,在30KV电压下,分离了氨基酸和多肽类物质,塔板数高达40万,这一工作被认为是现代毛细管电泳发展的里程碑。1983年将聚胶柱制备困难的缺点。1984年使用含有表面活性剂的背景电解质,开辟了毛细管电泳另一个重要分支-胶束毛细管电动力学色谱。1987年又结合传统的等电聚焦电泳和凝胶电泳原理,并移到毛细管内进行电泳,1988年实现了微量制备的可能性,提取和分离了50umol的蛋白质、肽
技术资料暂无技术资料 索取技术资料













