相关产品推荐更多 >
万千商家帮你免费找货
0 人在求购买到急需产品
- 详细信息
- 文献和实验
- 技术资料
- 供应商:
上海联迈生物工程有限公司
- 库存:
大量
- 目录编号:
LM-2715R
- 克隆性:
多克隆
- 抗原来源:
Rabbit
- 保质期:
1年
- 抗体英文名:
THBS1
- 抗体名:
血小板反应蛋白抗体
- 宿主:
Rabbit
- 适应物种:
Human, Mouse, Rat, Chicken, Pig, Cow, Horse, Rabbit, ,Daniorerio
- 免疫原:
KLH conjugated synthetic peptide derived from human TSP-1:801-900/1170
- 亚型:
IgG
- 形态:
Lyophilized or Liquid
- 应用范围:
WB=1:500-2000 ELISA=1:500-1000 IHC-P=1:400-800 IHC-F=1:400-800 IF=1:100-500 (石蜡切片需做抗原修复)
- 浓度:
1mg/ml
- 保存条件:
Store at -20 °C
- 规格:
50ul 100ul 200ul
| 英文名称 | THBS1 |
| 中文名称 | 血小板反应蛋白抗体 |
| 别 名 | THBS 1; THBS-1; THBS; THBS1; Thrombospondin 1; Thrombospondin1; Thrombospondin-1; Tsp 1; TSP-1; TSP; Tsp1. |
| 规格价格 | 50ul/780元 购买 100ul/1380元 购买 200ul/2200元 购买 大包装/询价 |
| 说 明 书 | 50ul 100ul 200ul |
| 研究领域 | 肿瘤 心血管 细胞生物 神经生物学 干细胞 生长因子和激素 细胞粘附分子 细胞表面分子 细胞分化 血管内皮细胞 细胞骨架 |
| 抗体来源 | Rabbit |
| 克隆类型 | Polyclonal |
| 交叉反应 | Human, Mouse, Rat, Chicken, Pig, Cow, Horse, Rabbit, ,Daniorerio |
| 产品应用 | WB=1:500-2000 ELISA=1:500-1000 IHC-P=1:400-800 IHC-F=1:400-800 IF=1:100-500 (石蜡切片需做抗原修复) not yet tested in other applications. optimal dilutions/concentrations should be determined by the end user. |
| 分 子 量 | 129kDa |
| 细胞定位 | 细胞浆 |
| 性 状 | Lyophilized or Liquid |
| 浓 度 | 1mg/ml |
| 免 疫 原 | KLH conjugated synthetic peptide derived from human TSP-1:801-900/1170 |
| 亚 型 | IgG |
| 纯化方法 | affinity purified by Protein A |
| 储 存 液 | 0.01M TBS(pH7.4) with 1% BSA, 0.03% Proclin300 and 50% Glycerol. |
| 保存条件 | Store at -20 °C for one year. Avoid repeated freeze/thaw cycles. The lyophilized antibody is stable at room temperature for at least one month and for greater than a year when kept at -20°C. When reconstituted in sterile pH 7.4 0.01M PBS or diluent of antibody the antibody is stable for at least two weeks at 2-4 °C. |
| PubMed | PubMed |
| 产品介绍 | background: The protein encoded by this gene is a subunit of a disulfide-linked homotrimeric protein. This protein is an adhesive glycoprotein that mediates cell-to-cell and cell-to-matrix interactions. This protein can bind to fibrinogen, fibronectin, laminin, type V collagen and integrins alpha-V/beta-1. This protein has been shown to play roles in platelet aggregation, angiogenesis, and tumorigenesis. [provided by RefSeq]. Function: Adhesive glycoprotein that mediates cell-to-cell and cell-to-matrix interactions. Similarity: Belongs to the thrombospondin family. Contains 3 EGF-like domains. Contains 1 TSP C-terminal (TSPC) domain. Contains 1 TSP N-terminal (TSPN) domain. Contains 3 TSP type-1 domains. Contains 8 TSP type-3 repeats. Contains 1 VWFC domain. SWISS: P07996 Gene ID: 7057 Database links: Entrez Gene: 281530 Cow Entrez Gene: 487486 Dog Entrez Gene: 100057478 Horse Entrez Gene: 7057 Human Entrez Gene: 21825 Mouse Entrez Gene: 492313 Pig Entrez Gene: 445442 Rat Entrez Gene: 100294615 Sheep Omim: 188060 Human SwissProt: Q28178 Cow SwissProt: P07996 Human SwissProt: P35441 Mouse Unigene: 164226 Human Unigene: 4159 Mouse Unigene: 185771 Rat Important Note: This product as supplied is intended for research use only, not for use in human, therapeutic or diagnostic applications. 凝血酶敏感蛋白1又称:血小板反应蛋白/凝血酶敏感蛋白1(TSP1)最早发现于血小板中,TSP1在多种组织中广泛表达,并参与细胞黏附、细胞分化和血管新生等多种生物学过程,TSP1也参与血液凝固。 |
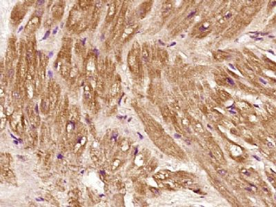
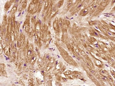
| 产品图片 | ![]() Sample: 293T(Human) Cell Lysate at 30 ug Primary: Anti-THBS1 (bs-2715R) at 1/2000 dilution Secondary: IRDye800CW Goat Anti-Rabbit IgG at 1/20000 dilution Predicted band size: 129 kD Observed band size: 129 kD ![]() Paraformaldehyde-fixed, paraffin embedded (human myocardial tissue); Antigen retrieval by boiling in sodium citrate buffer (pH6.0) for 15min; Block endogenous peroxidase by 3% hydrogen peroxide for 20 minutes; Blocking buffer (normal goat serum) at 37°C for 30min; Antibody incubation with (THBS1) Polyclonal Antibody, Unconjugated (bs-2715R) at 1:400 overnight at 4°C, followed by operating according to SP Kit(Rabbit) (sp-0023) instructionsand DAB staining. |
风险提示:丁香通仅作为第三方平台,为商家信息发布提供平台空间。用户咨询产品时请注意保护个人信息及财产安全,合理判断,谨慎选购商品,商家和用户对交易行为负责。对于医疗器械类产品,请先查证核实企业经营资质和医疗器械产品注册证情况。
文献和实验了这一研究发现。并且在最新研究中还确定 ATG12-ATG5 偶联物的一个表面结合了 ATG3。Western blot 分析:用 CY6908(Atg12-Autophagosome Marker)检测不间断培养(饥饿诱导)293F 悬浮细胞(1)培养 3d(2)培养 6d(3)培养 12d(4)培养 16d。结果显示:自由的 Atg12 明显减少,Atg12-Atg5 共价结合条带增强。(Atg12-Atg5 共价结合形成自噬体 Autophagosome,以此启动自噬反应)自噬基因的突变往往也会
β-血小板球蛋白(β-TG)和血小板第四因子(PF4)是血小板α颗粒中特有的蛋白。当体内有过多的血小板被激活,释放反应亢进时,二者血浆中的浓度升高,医学教育网搜|索整理因此,β-TG和PF4是血小板活化的重要指标。二者的检测多采用ELISA法。用抗β-TG或抗PF4的抗体包被微孔板,加入待测血浆,血浆中的或与包被的抗体结合,再加入酶标的抗β-TG抗体或抗PF4抗体,与在板上的β-TG或PF4结合,最后加入底物显色。显色的深浅与受检血浆中β-TG或PF4的含量成正比,从标准曲线中计算出受检血浆
针对红细胞和血小板的Ⅱ型超敏反应 最具代表性的Ⅱ型超敏反应是针对红细胞和血小板的反应。迄今已鉴定出的人类血型系统不下29种,至少包含了600多种红细胞抗原,每个血型系统均至少包括两个或两个以上的表型。ABO血型系统是第一个被描述的红细胞血型系统,由Landsteiner于1901年提出,分为四型:A、B、AB和O型。机体可以识别携带有同种异型血型抗原的红细胞,并产生相应的抗体。但在有些情况下,即使没有外来红细胞致敏,也会产生针对这些血型抗原的抗体
技术资料暂无技术资料 索取技术资料












