相关产品推荐更多 >
万千商家帮你免费找货
0 人在求购买到急需产品
- 详细信息
- 文献和实验
- 技术资料
- 供应商:
上海联迈生物工程有限公司
- 库存:
大量
- 目录编号:
LM-2589R
- 克隆性:
多克隆
- 抗原来源:
Rabbit
- 保质期:
1年
- 抗体英文名:
P450 1A2
- 抗体名:
细胞色素P450 1A2抗体
- 宿主:
Rabbit
- 适应物种:
Human, Mouse, Rat,
- 免疫原:
KLH conjugated synthetic peptide derived from human P450 1A2/CYP1A2:221-320/513
- 亚型:
IgG
- 形态:
Lyophilized or Liquid
- 应用范围:
WB=1:500-2000 ELISA=1:500-1000 IHC-P=1:400-800 IHC-F=1:400-800 Flow-Cyt=0.2ug/test IF=1:100-500 (石蜡切片需做抗原修复)
- 浓度:
1mg/ml
- 保存条件:
Store at -20 °C
- 规格:
50ul 100ul 200ul
| 英文名称 | P450 1A2 |
| 中文名称 | 细胞色素P450 1A2抗体 |
| 别 名 | CYP1A2; Cytochrome P450 1A2; cytochrome P450, family 1, subfamily a, polypeptide 2; Cytochrome P450 family 1 polypeptide 2; Cytochrome P450 subfamily I aromatic compound inducible polypeptide 2; Cyp1a2; CYPD45; P-450d; RATCYPD45; CYP1A2; CP12; CP 12; P3-450; Aryl hydrocarbon hydroxylase; Dioxin inducable P3 45; Flavoprotein linked monooxygenase; Microsomal monooxygenase; P450 4; P450 form 4; P450 P3; P450(PA); Xenobiotic monooxygenase. |
| 规格价格 | 50ul/780元 购买 100ul/1380元 购买 200ul/2200元 购买 大包装/询价 |
| 说 明 书 | 50ul 100ul 200ul |
| 研究领域 | 细胞生物 神经生物学 合成与降解 |
| 抗体来源 | Rabbit |
| 克隆类型 | Polyclonal |
| 交叉反应 | Human, Mouse, Rat, |
| 产品应用 | WB=1:500-2000 ELISA=1:500-1000 IHC-P=1:400-800 IHC-F=1:400-800 Flow-Cyt=0.2ug/test IF=1:100-500 (石蜡切片需做抗原修复) not yet tested in other applications. optimal dilutions/concentrations should be determined by the end user. |
| 分 子 量 | 56kDa |
| 细胞定位 | 细胞浆 细胞膜 |
| 性 状 | Lyophilized or Liquid |
| 浓 度 | 1mg/ml |
| 免 疫 原 | KLH conjugated synthetic peptide derived from human P450 1A2/CYP1A2:221-320/513 |
| 亚 型 | IgG |
| 纯化方法 | affinity purified by Protein A |
| 储 存 液 | 0.01M TBS(pH7.4) with 1% BSA, 0.03% Proclin300 and 50% Glycerol. |
| 保存条件 | Store at -20 °C for one year. Avoid repeated freeze/thaw cycles. The lyophilized antibody is stable at room temperature for at least one month and for greater than a year when kept at -20°C. When reconstituted in sterile pH 7.4 0.01M PBS or diluent of antibody the antibody is stable for at least two weeks at 2-4 °C. |
| PubMed | PubMed |
| 产品介绍 | background: This gene encodes a member of the cytochrome P450 superfamily of enzymes. The cytochrome P450 proteins are monooxygenases which catalyze many reactions involved in drug metabolism and synthesis of cholesterol, steroids and other lipids. The protein encoded by this gene localizes to the endoplasmic reticulum and its expression is induced by some polycyclic aromatic hydrocarbons (PAHs), some of which are found in cigarette smoke. The enzyme's endogenous substrate is unknown; however, it is able to metabolize some PAHs to carcinogenic intermediates. Other xenobiotic substrates for this enzyme include caffeine, aflatoxin B1, and acetaminophen. The transcript from this gene contains four Alu region. [provided by RefSeq].sequences flanked by direct repeats in the 3' untranslated. Function: Cytochromes P450 are a group of heme-thiolate monooxygenases. In liver microsomes, this enzyme is involved in an NADPH-dependent electron transport pathway. It oxidizes a variety of structurally unrelated compounds, including steroids, fatty acids, and xenobiotics. Most active in catalyzing 2-hydroxylation. Caffeine is metabolized primarily by cytochrome CYP1A2 in the liver through an initial N3-demethylation. Also acts in the metabolism of aflatoxin B1 and acetaminophen. Participates in the bioactivation of carcinogenic aromatic and heterocyclic amines. Catalizes the N-hydroxylation of heterocyclic amines and the O-deethylation of phenacetin. Subcellular Location: Endoplasmic reticulum membrane; Peripheral membrane protein. Microsome membrane; Peripheral membrane protein. Tissue Specificity: Liver. Similarity: Belongs to the cytochrome P450 family. SWISS: P05177 Gene ID: 1544 Database links: Entrez Gene: 1544 Human Entrez Gene: 13077 Mouse Entrez Gene: 24297 Rat Omim: 124060 Human SwissProt: P05177 Human SwissProt: P00186 Mouse SwissProt: P04799 Rat Unigene: 1361 Human Unigene: 15537 Mouse Unigene: 5563 Rat Important Note: This product as supplied is intended for research use only, not for use in human, therapeutic or diagnostic applications. 合成与降解(Synthesis and Degradation) |
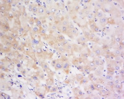
| 产品图片 | ![]() Sample: HepG2(Human) Cell Lysate at 30 ug Primary: Anti-P450 1A2 (bs-2589R) at 1/1000 dilution Secondary: IRDye800CW Goat Anti-Rabbit IgG at 1/20000 dilution Predicted band size: 56 kD Observed band size: 56 kD ![]() Tissue/cell: human liver cancer; 4% Paraformaldehyde-fixed and paraffin-embedded; Antigen retrieval: citrate buffer ( 0.01M, pH 6.0 ), Boiling bathing for 15min; Block endogenous peroxidase by 3% Hydrogen peroxide for 30min; Blocking buffer (normal goat serum,C-0005) at 37℃ for 20 min; Incubation: Anti-P450 1A2 Polyclonal Antibody, Unconjugated(bs-2589R) 1:200, overnight at 4°C, followed by conjugation to the secondary antibody(SP-0023) and DAB(C-0010) staining ![]() Blank control:Molt-4. Primary Antibody (green line): Rabbit Anti-P450 1A2 antibody (bs-2589R) Dilution: 0.2μg /10^6 cells; Isotype Control Antibody (orange line): Rabbit IgG . Secondary Antibody : Goat anti-rabbit IgG-PE Dilution: 0.2μg /test. Protocol The cells were fixed with 4% PFA (10min at room temperature)and then permeabilized with 20% PBST for 20 min at-20℃. The cells were then incubated in 5%BSA to block non-specific protein-protein interactions for 30 min at at room temperature .Cells stained with Primary Antibody for 30 min at room temperature. The secondary antibody used for 40 min at room temperature. Acquisition of 20,000 events was performed. |
风险提示:丁香通仅作为第三方平台,为商家信息发布提供平台空间。用户咨询产品时请注意保护个人信息及财产安全,合理判断,谨慎选购商品,商家和用户对交易行为负责。对于医疗器械类产品,请先查证核实企业经营资质和医疗器械产品注册证情况。
文献和实验小鼠细胞色素P450(Cytochrome P450)ELISA试剂盒 说明书
上海西唐生物科技有限公司 021-55229872, 65333639 www.westang.com 小鼠细胞色素P450 ( Cytochrome P450 )ELISA 试剂盒 原理 本实验采用双抗体夹心 ABC-ELISA 法。用抗小鼠 Cytochrome P450 单抗包被于酶标板上,标准品和样品中的 Cytochrome P450与单抗结合,加入生物素化的抗小鼠
以非那西丁为探针采用高效液相色谱法快速测定细胞色素P450 1A2的酶活性
【摘要】 目的建立一种快速、高效的以非那西丁作为探针药物评价细胞色素P450 1A2(CYP1A2)酶活性的高效液相色谱-紫外检测方法。方法色谱柱为Agilent Zorbax SB-C18柱(50 mm×4.6 mm I.D.,5 μm);流动相为乙腈-水(含0.01%七氟丁酸),梯度洗脱,流速2.0 ml・min-1;检测波长为244 nm。非那西丁与人CYP1A2酶在37 ℃温孵适当时间后,加入50 μl乙腈终止反应,10 000 g离心后取上清液进样分析测定。结果对乙酰
存在于很多细胞的微粒体和副肾皮质的线粒体里的一种血红蛋白质,也简称 P- 450( p是色素 pigment的缩写)。在还原状态,和 CO牢固结合,形成在 450毫微米处最大的吸收光谱。如与膜结合进行可溶化,就变成最大吸收在 420毫微米处的 CO结合物的 P- 420的物质。 P- 450能自动氧化,通过分子态氧催化类固醇和芳香族胺等羟基化反应。这时需要 NADPH。它是经过一种黄素酶和铁氧还原蛋白( ferredoxin)一样的物质,在副肾皮质里是皮质铁氧
技术资料暂无技术资料 索取技术资料












