相关产品推荐更多 >
万千商家帮你免费找货
0 人在求购买到急需产品
- 详细信息
- 文献和实验
- 技术资料
- 供应商:
上海抚生
- 库存:
大量
- 靶点:
PHGDH
- 克隆性:
多克隆
- 抗原来源:
Rabbit
- 抗体英文名:
Anti-PHGDH
- 抗体名:
磷酸甘油酸脱氢酶抗体
- 标记物:
HRP,AKP
- 宿主:
人,鼠,猴,鸡,狗,猪等
- 适应物种:
Human, Mouse, Rat, Dog, Pig, Cow, Horse, Rabbit, Sheep
- 免疫原:
KLH conjugated synthetic peptide derived from human PHGDH
- 亚型:
IgG
- 形态:
冻干或液体
- 应用范围:
WB,ELISA,ICC,IP等
- 浓度:
1mg/1ml
- 保存条件:
-20℃
- 规格:
0.2ml/200μg
英文名称 Anti-PHGDH
中文名称 磷酸甘油酸脱氢酶抗体
别 名 3 PGDH; 3-PGDH; 3-phosphoglycerate dehydrogenase; D-3-phosphoglycerate dehydrogenase; EC 1.1.1.95; PDG; PGAD; PGD; PGDH; PGDH3; Phgdh; SERA; SERA_HUMAN.
浓 度 1mg/1ml
规 格 0.2ml/200μg
抗体来源 Rabbit
克隆类型 polyclonal
交叉反应 Human, Mouse, Rat, Dog, Pig, Cow, Horse, Rabbit, Sheep
产品类型 一抗
研究领域 肿瘤 细胞生物 神经生物学 信号转导
蛋白分子量 predicted molecular weight:56kDa
性 状 Lyophilized or Liquid
免 疫 原 KLH conjugated synthetic peptide derived from human PHGDH
亚 型 IgG
纯化方法 affinity purified by Protein A
储 存 液 Preservative: 15mM Sodium Azide, Constituents: 1% BSA, 0.01M PBS, pH 7.4
产品应用 WB=1:100-500 ELISA=1:500-1000 IP=1:20-100 IHC-P=1:100-500 IHC-F=1:100-500 IF=1:100-500
磷酸甘油酸脱氢酶抗体订购:
| ※我司为主营生物试剂产品的公司,欢迎广大客户光临我司商铺,更多相关产品可进入展台浏览,展台展示有限,客户可以直接说明您的订购需求,可以直接联系我们; ※与我司取得联系后,尽管咨询相关问题,达成共识后边签订订购合同,我司销售部开始进行送货事宜; ※客户收到货后,请先检查外部包装情况,然后在无菌环境下,显微镜观察菌种情况,如有疑似问题可联系我司,经我司确认后再进行退换货的相关事宜。 |
荧光偶联质量的检测:
1.用标准免疫荧光染色试验以测定偶联率
2.用F/P值测定对其FITC标记质量进行鉴定
3.取结合物液0.2ml,加PBS2.8ml(或两者均改用半量),测定其A490/A280,查FITC标志曲线得其浓度ug/ml值,按IgG的消光系数(mg/ml约A2801.2),可计算其F/P值,即每mg抗体所标记的FITC的比值,可以此鉴定及比较各批标记物的质量。
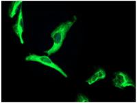
磷酸甘油酸脱氢酶抗体实验操作示意图:
公司还提供:
现货供应 核受体亚家族0B组成员1 多克隆抗体 NR0B1 Polyclonal Antibody,请询价
现货供应 核受体结合蛋白2 多克隆抗体 NRBP2 Polyclonal Antibody,请询价
现货供应 核受体结合蛋白1 多克隆抗体 NRBP Polyclonal Antibody,请询价
现货供应 核受体辅激活蛋白基因NCOA1 多克隆抗体 NCOA1 Polyclonal Antibody,请询价
现货供应 核仁素 多克隆抗体 NUCL Polyclonal Antibody,请询价
现货供应 核仁复合同源蛋白4 多克隆抗体 NOC4L Polyclonal Antibody,请询价
现货供应 核仁蛋白家族成员1 多克隆抗体 GAR1 Polyclonal Antibody,请询价
现货供应 核仁蛋白9 多克隆抗体 NOL9 Polyclonal Antibody,请询价
现货供应 核仁蛋白7 多克隆抗体 NOL7 Polyclonal Antibody,请询价
磷酸甘油酸脱氢酶抗体特价促销 血小板激活因子(PAF)检测试剂盒 规格: 48T/96T
特价促销 肝型脂肪酸结合蛋白(FABP1)检测试剂盒 规格: 48T/96T
特价促销 脱氢酶(XDH)检测试剂盒 规格: 48T/96T
特价促销 白介素1η(IL1η)检测试剂盒 规格: 48T/96T
特价促销 卷曲同源物6(FZD6)检测试剂盒 规格: 48T/96T
特价促销 富酪蛋白(STATH)检测试剂盒 规格: 48T/96T
风险提示:丁香通仅作为第三方平台,为商家信息发布提供平台空间。用户咨询产品时请注意保护个人信息及财产安全,合理判断,谨慎选购商品,商家和用户对交易行为负责。对于医疗器械类产品,请先查证核实企业经营资质和医疗器械产品注册证情况。
文献和实验亦称磷酸化丝氨酸,是细菌、动物、酵母等丝氨酸生物合成的中间产物之一,它是通过醣酵解中间产物磷酸甘油酸脱氢所产生的磷酸羟基丙酮酸的氨基转移反应而形成。
亦称为三碳糖磷酸,是 3-磷酸甘油醛和二羟丙酮( dihydroxyacetone)磷酸的平衡混合物。 磷酸丙糖异构酶参与此平衡反应。在糖酵解的过程中,由 1, 6- 二磷酸果糖经醛缩酶( aldolase)的作用解裂生成,通过 3- 磷酸甘油醛 - 脱氢酶( dehyd- rogenase)能可逆的被磷酸化和氧化而产生 1, 3-二磷酸甘油酸。也可以作为光合成过程(还原型戊糖磷酸循环)的中间产物而生成。
n+ n 此中归纳为:(1)2个阶段;0 v- O7 k7 V* b! R (2)2个磷酸化(葡萄糖--6-磷酸葡萄糖、6-磷酸果糖--1,6-双磷酸糖); , ?2 p/ f! R# d! P; s (3)2个异构化,即可逆反应(6-磷酸葡萄糖--6-磷酸果糖、3-磷酸甘油酸--2-磷酸甘油酸);8 G: P! E4 X( { (4)2个底物水平磷酸化(1,3-二磷酸甘油酸--3-磷酸甘油酸、磷酸希醇式丙酮酸--丙酮酸); (5)2个ATP消耗(两个磷酸化中消耗了),净得2个
技术资料暂无技术资料 索取技术资料









