相关产品推荐更多 >
万千商家帮你免费找货
0 人在求购买到急需产品
- 详细信息
- 文献和实验
- 技术资料
- 供应商:
上海联迈生物工程有限公司
- 库存:
大量
- 目录编号:
LM-20802R
- 克隆性:
多克隆
- 抗原来源:
Rabbit
- 保质期:
1年
- 抗体英文名:
SLC35D2
- 抗体名:
溶质载体家族蛋白35成员D2抗体
- 宿主:
Rabbit
- 适应物种:
Mouse, Pig,
- 免疫原:
KLH conjugated synthetic peptide derived from mouse SLC35D2:251-326/326 <Extracellular>
- 亚型:
IgG
- 形态:
Lyophilized or Liquid
- 应用范围:
WB=1:500-2000 ELISA=1:500-1000 IHC-P=1:400-800 IHC-F=1:400-800 ICC=1:100-500 IF=1:100-500 (石蜡切片需做抗原修复)
- 浓度:
1mg/ml
- 保存条件:
Store at -20 °C
- 规格:
100ul 200ul
| 英文名称 | SLC35D2 |
| 中文名称 | 溶质载体家族蛋白35成员D2抗体 |
| 别 名 | Hfrc; HFRC1; Homolog of Fringe connection protein 1; MGC117215; MGC142139; Nucleotide sugar transporter UGTrel8; S35D2_HUMAN; S35D2_MOUSE; SLC35D2; Solute carrier family 35 member D2; SQV 7L; SQV7-like protein; SQV7L; UDP N acetylglucosamine transporter; UDP-galactose transporter-related protein 8; UDP-N-acetylglucosamine/UDP-glucose/GDP-mannose transporter; UGTrel 8; UGTrel8. |
| 规格价格 | 100ul/1380元 购买 200ul/2200元 购买 大包装/询价 |
| 说 明 书 | 100ul 200ul |
| 研究领域 | |
| 抗体来源 | Rabbit |
| 克隆类型 | Polyclonal |
| 交叉反应 | Mouse, Pig, |
| 产品应用 | WB=1:500-2000 ELISA=1:500-1000 IHC-P=1:400-800 IHC-F=1:400-800 ICC=1:100-500 IF=1:100-500 (石蜡切片需做抗原修复) not yet tested in other applications. optimal dilutions/concentrations should be determined by the end user. |
| 分 子 量 | 37kDa |
| 细胞定位 | 细胞核 细胞浆 |
| 性 状 | Lyophilized or Liquid |
| 浓 度 | 1mg/ml |
| 免 疫 原 | KLH conjugated synthetic peptide derived from mouse SLC35D2:251-326/326 <Extracellular> |
| 亚 型 | IgG |
| 纯化方法 | affinity purified by Protein A |
| 储 存 液 | Preservative: 15mM Sodium Azide, Constituents: 1% BSA, 0.01M PBS, pH 7.4 |
| 保存条件 | Store at -20 °C for one year. Avoid repeated freeze/thaw cycles. The lyophilized antibody is stable at room temperature for at least one month and for greater than a year when kept at -20°C. When reconstituted in sterile pH 7.4 0.01M PBS or diluent of antibody the antibody is stable for at least two weeks at 2-4 °C. |
| PubMed | PubMed |
| 产品介绍 | background: Nucleotide sugars, which are synthesized in the cytosol or the nucleus, are high-energy donor substrates for glycosyltransferases located in the lumen of the endoplasmic reticulum and Golgi apparatus. Translocation of nucleotide sugars from the cytosol into the lumen compartment is mediated by specific nucleotide sugar transporters, such as SLC35D2 (Suda et al., 2004 [PubMed 15082721]).[supplied by OMIM, Mar 2008] Function: Antiporter transporting nucleotide sugars such as UDP-N-acetylglucosamine (UDP-GlcNAc), UDP-glucose (UDP-Glc) and GDP-mannose (GDP-Man) pooled in the cytosol into the lumen of the Golgi in exchange for the corresponding nucleosides monophosphates (UMP for UDP-sugars and GMP for GDP-sugars). May take part in heparan sulfate synthesis by supplying UDP-Glc-NAc, the donor substrate, and thus be involved in growth factor signaling. Subcellular Location: Golgi apparatus membrane. Tissue Specificity: Highly expressed in heart, kidney, small intestine, placenta, lung and peripheral blood leukocyte. Weakly expressed in skeletal muscle and spleen. Not expressed in brain, colon and thymus. Similarity: Belongs to the TPT transporter family. SLC35D subfamily. SWISS: Q762D5 Gene ID: 70484 Database links: Entrez Gene: 11046 Human Gene ID: 70484 Mouse Omim: 609182 Human SwissProt: Q76EJ3 Human Unigene: 494556 Human Unigene: 731624 Human Important Note: This product as supplied is intended for research use only, not for use in human, therapeutic or diagnostic applications. |
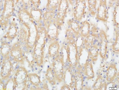
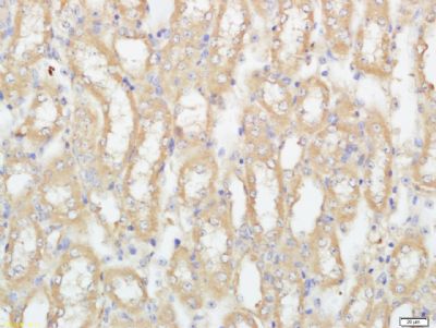
| 产品图片 | ![]() Sample: liver(Mouse)Lysate at 40 ug Primary: Anti-SLC35D2(bs-20802R)at 1/300 dilution Secondary: IRDye800CW Goat Anti-RabbitIgG at 1/20000 dilution Predicted band size: 37kD Observed band size: 35kD ![]() Tissue/cell: mouse kidney tissue; 4% Paraformaldehyde-fixed and paraffin-embedded; Antigen retrieval: citrate buffer ( 0.01M, pH 6.0 ), Boiling bathing for 15min; Block endogenous peroxidase by 3% Hydrogen peroxide for 30min; Blocking buffer (normal goat serum,C-0005) at 37∩ for 20 min; Incubation: Anti-SLC35D2 Polyclonal Antibody, Unconjugated(bs-20802R) 1:500, overnight at 4∑C, followed by conjugation to the secondary antibody(SP-0023) and DAB(C-0010) staining |
风险提示:丁香通仅作为第三方平台,为商家信息发布提供平台空间。用户咨询产品时请注意保护个人信息及财产安全,合理判断,谨慎选购商品,商家和用户对交易行为负责。对于医疗器械类产品,请先查证核实企业经营资质和医疗器械产品注册证情况。
文献和实验膜受体可将其分成非受体型和膜受体型。 1.非受体型 以src基因产物为代表,此外还有Yes、Fyn、Lck、Fgr、Lyn、Fps/Fes及Ab1等。徐后两者外,其余非受体型蛋白酪氨酸激酶src家族分子理约为60kDa的蛋白质,它们之间除了N末端80个氨基酸组成不同外,其作部分都非常相似。 2.受体型 根据它们的结构不同,受体型酪氨酸激酶可以分为9种类型,其中较常见的有4种类型(图8-5)。 (1)表皮生长因子受体(EGFR)家族:EGF-R家族成员包括EGF-R(分子量为170kDa
3 篇 Nature 连发,解决世纪难题,周期蛋白的毁灭调控蕴含癌症患者的新生
,Chaikovsky 和 Maiani 的研究发现,cyclin D 羧基末端的磷酸化触发泛素化蛋白酶体降解途径。泛素连接酶(E3)中最大的家族是 cullin RING ligases (CRLs),其中 CRL4 复合体(CUL4,RBX 和 DDB1 蛋白)介导磷酸化 cyclin D 降解,而 AMBRA1(activating molecule in beclin-1-regulated autophagy)蛋白负责 cyclin D 与 CRL4 的靶向连接。随后 E3 将泛素蛋白链 (Ub) 附着
免疫分子的命名根据不同的角度往往有不同的归类和命名,图3-3归纳了人白细胞分化抗原(CD)、粘附分子(AM)、免疫球蛋白超家族(IGSF)、细胞因子受体(CKR)、补体受体(CR)以及主要组织相容性复合体抗原(MHC)等免疫分子命名的相互关系。 (1)A表示CD命名范围中的粘附分子,如CD49a/CD29、CD49b/CD29、CD49c/CD29、CD49d/CD29、CD
技术资料暂无技术资料 索取技术资料












