万千商家帮你免费找货
0 人在求购买到急需产品
- 详细信息
- 技术资料
- 库存:
大量
- 靶点:
Ser42
- 克隆性:
多克隆
- 抗原来源:
Rabbit
- 抗体英文名:
Anti-phospho-LEF1(Ser42)
- 抗体名:
磷酸化淋巴增强因子-1抗体
- 标记物:
HRP,AKP
- 宿主:
人,兔,羊,牛,狗等
- 适应物种:
Human, Mouse, Rat, Chicken, Dog, Pig, Cow, Rabbit
- 免疫原:
KLH conjugated synthesised phosphopeptide derived from human LEF1 around the phosphorylation site of Ser42
- 亚型:
IgG
- 形态:
冻干或液体
- 应用范围:
WB,ELISA,IP,ICC等
- 浓度:
1mg/1ml
- 保存条件:
-20 °C
- 规格:
0.1ml/100μg
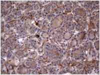
磷酸化淋巴增强因子-1抗体产品简介:
英文名称 Anti-phospho-LEF1(Ser42)
中文名称 磷酸化淋巴增强因子-1抗体
别 名 LEF1 (phospho S42); LEF1 (phospho Ser42); p-LEF1(phospho S42); p-LEF1(Ser42); lymphoid enhancing factor-1; Transcription factor T cell specific 1 alpha ; DKFZp586H0919; LEF 1; LEF1; Lymphoid enhancer binding factor 1; T cell specific transcription factor 1 alpha; TCF 1 alpha; TCF1 alpha; TCF1alpha; TCF1-alpha; LEF1_HUMAN; Lymphoid enhancer-binding factor 1; LEF-1; T cell-specific transcription factor 1-alpha.
浓 度 1mg/1ml
规 格 0.1ml/100μg
抗体来源 Rabbit
克隆类型 polyclonal
交叉反应 Human, Mouse, Rat, Chicken, Dog, Pig, Cow, Rabbit
产品类型 一抗 磷酸化抗体
研究领域 肿瘤 细胞生物 免疫学 发育生物学 信号转导 转录调节因子 表观遗传学
蛋白分子量 predicted molecular weight:
44kDa
性 状 Lyophilized or Liquid
免 疫 原 KLH conjugated synthesised phosphopeptide derived from human LEF1 around the phosphorylation site of Ser42
亚 型 IgG
纯化方法 affinity purified by Protein A
储 存 液 Preservative: 15mM Sodium Azide, Constituents: 1% BSA, 0.01M PBS, pH 7.4
产品应用 WB=1:100-500 IP=1:20-100 IHC-P=1:100-500 IHC-F=1:100-500 IF=1:50-200
公司优势:
★专业营销进口或国产品牌的抗体试剂,种类齐全,数量繁多,涵盖各种生命科研项目,具体有一抗二抗,单抗多抗,标记抗体以及其他各种类型的抗体;
★服务经验丰富,我们提供标记服务,各种标本、种属、具体指标齐全,资深的专业背景和高素质的技术团队,准能让您感受到我们的专业水准;
★关于磷酸化淋巴增强因子-1抗体更多详情,请来电咨询!
磷酸化淋巴增强因子-1抗体抗体分子标记技术:
(一)原理
当应用化学氧化法时,碘化钠(NaI)遇强氧化剂,碘离子被氧化为碘分子,所生成的自由碘分子可与某些基团进行卤化反应。蛋白质分子可进行卤化反应的基团主要为酪氨酸残基,某些组氨酸残基也可能进行碘化。在应用氯胺T( Chloramine T)法的实验中,所用的氧化剂(1,3,4,6- tetrachloro-3a,6adipheny l-glucoluril)强挥发性的有机溶剂中。该溶剂加入试管后,先让其挥发(即让氧化剂将试管包被),然后把Na125I和蛋白质液加入包被好的试管中,反应完成即将混合液移入他管终止反应。
(二)准备
1.试剂
经亲和层析纯化的多克隆抗体或单克隆抗体;0.5mol/L磷酸钠缓冲液,pH7.5;无载体的Na125I3.7GBq/ml(100mCi/ml)的NaOH液;100g/L三氯醋酸;70%乙醇;新鲜制备的含2mg/m1氯络胺T的0.5mol/L磷酸钠缓冲液(pH7.5);氯胺T反应终止缓冲液;
2.仪器
凝胶过滤柱;¥-记数器;玻璃纤维滤。
(三)操作要点
1.用氯胺T法进行碘化,也可在大约pH7.0的缓冲液中进行;
2.如果氧化反应损伤蛋白质,可将抗体与异硫氰酸荧光素(FITC)偶联)胺T量减少到0.02mg/m,并将偏重亚硫酸液的浓度降到0.024mg/ml;
3. Iodogen-包被的试管可在干燥器中,于室温下保存多年;
4.1251标记的抗体,在制备后六周内均可使用(1251的半衰期为59.6天);
5.要注意保证所用的Na1251是新鲜的,陈旧制剂的比活性低;
6.酪氨酸的碘化偶尔会对抗原的抗体结合位点有干扰,因此降低其结合能力,但这种情况很少见。
公司提供:
260722 兔抗PTTG1多克隆抗体
英文名:Anti-PTTG1 rabbit polyclonal antiboy
冷冻(-20℃) 避光
264306 兔抗ZBTB33多克隆抗体
英文名:Anti-ZBTB33 rabbit polyclonal antiboy
冷冻(-20℃) 避光
53169 兔抗MYH14多克隆抗体
英文名:Anti-MYH14 rabbit polyclonal antiboy
冷冻(-20℃) 避光
161865 兔抗LOXL2多克隆抗体
英文名:Anti-LOXL2 rabbit ployclonal antiboy
冷冻(-20℃) 避光
199328 小鼠抗SIRT6单克隆抗体
英文名:Anti-SIRT6 mouse monoclonal antiboy
冷冻(-20℃) 避光
221461 兔抗ACA11多克隆抗体
英文名:Anti-ACA11 rabbit polyclonal antiboy
冷冻(-20℃) 避光
24866 兔抗MLST8多克隆抗体
英文名:Anti-MLST8 rabbit polyclonal antiboy
冷冻(-20℃) 避光
262884 兔抗AK4多克隆抗体
英文名:Anti-AK4 rabbit polyclonal antiboy
冷冻(-20℃) 避光
磷酸化淋巴增强因子-1抗体2% TTC染色液 500ml 瓶
Caudatin 告达亭苷元 38395-02-7 20mg
(+)-Catechin hydrate (+)-儿茶素 225937-10-0 20mg
β-Carotene β-胡萝卜素 7235-40-7 20mg
Carnosic acid 鼠尾草酸 639426 20mg
Cantharidin 斑蝥素 56-25-7 20mg
Acetyl-trans-resveratrol 乙酰化白藜芦醇 42206-94-0 20mg
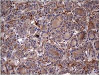
英文名称 Anti-phospho-LEF1(Ser42)
中文名称 磷酸化淋巴增强因子-1抗体
别 名 LEF1 (phospho S42); LEF1 (phospho Ser42); p-LEF1(phospho S42); p-LEF1(Ser42); lymphoid enhancing factor-1; Transcription factor T cell specific 1 alpha ; DKFZp586H0919; LEF 1; LEF1; Lymphoid enhancer binding factor 1; T cell specific transcription factor 1 alpha; TCF 1 alpha; TCF1 alpha; TCF1alpha; TCF1-alpha; LEF1_HUMAN; Lymphoid enhancer-binding factor 1; LEF-1; T cell-specific transcription factor 1-alpha.
浓 度 1mg/1ml
规 格 0.1ml/100μg
抗体来源 Rabbit
克隆类型 polyclonal
交叉反应 Human, Mouse, Rat, Chicken, Dog, Pig, Cow, Rabbit
产品类型 一抗 磷酸化抗体
研究领域 肿瘤 细胞生物 免疫学 发育生物学 信号转导 转录调节因子 表观遗传学
蛋白分子量 predicted molecular weight:
44kDa
性 状 Lyophilized or Liquid
免 疫 原 KLH conjugated synthesised phosphopeptide derived from human LEF1 around the phosphorylation site of Ser42
亚 型 IgG
纯化方法 affinity purified by Protein A
储 存 液 Preservative: 15mM Sodium Azide, Constituents: 1% BSA, 0.01M PBS, pH 7.4
产品应用 WB=1:100-500 IP=1:20-100 IHC-P=1:100-500 IHC-F=1:100-500 IF=1:50-200
公司优势:
★专业营销进口或国产品牌的抗体试剂,种类齐全,数量繁多,涵盖各种生命科研项目,具体有一抗二抗,单抗多抗,标记抗体以及其他各种类型的抗体;
★服务经验丰富,我们提供标记服务,各种标本、种属、具体指标齐全,资深的专业背景和高素质的技术团队,准能让您感受到我们的专业水准;
★关于磷酸化淋巴增强因子-1抗体更多详情,请来电咨询!
磷酸化淋巴增强因子-1抗体抗体分子标记技术:
(一)原理
当应用化学氧化法时,碘化钠(NaI)遇强氧化剂,碘离子被氧化为碘分子,所生成的自由碘分子可与某些基团进行卤化反应。蛋白质分子可进行卤化反应的基团主要为酪氨酸残基,某些组氨酸残基也可能进行碘化。在应用氯胺T( Chloramine T)法的实验中,所用的氧化剂(1,3,4,6- tetrachloro-3a,6adipheny l-glucoluril)强挥发性的有机溶剂中。该溶剂加入试管后,先让其挥发(即让氧化剂将试管包被),然后把Na125I和蛋白质液加入包被好的试管中,反应完成即将混合液移入他管终止反应。
(二)准备
1.试剂
经亲和层析纯化的多克隆抗体或单克隆抗体;0.5mol/L磷酸钠缓冲液,pH7.5;无载体的Na125I3.7GBq/ml(100mCi/ml)的NaOH液;100g/L三氯醋酸;70%乙醇;新鲜制备的含2mg/m1氯络胺T的0.5mol/L磷酸钠缓冲液(pH7.5);氯胺T反应终止缓冲液;
2.仪器
凝胶过滤柱;¥-记数器;玻璃纤维滤。
(三)操作要点
1.用氯胺T法进行碘化,也可在大约pH7.0的缓冲液中进行;
2.如果氧化反应损伤蛋白质,可将抗体与异硫氰酸荧光素(FITC)偶联)胺T量减少到0.02mg/m,并将偏重亚硫酸液的浓度降到0.024mg/ml;
3. Iodogen-包被的试管可在干燥器中,于室温下保存多年;
4.1251标记的抗体,在制备后六周内均可使用(1251的半衰期为59.6天);
5.要注意保证所用的Na1251是新鲜的,陈旧制剂的比活性低;
6.酪氨酸的碘化偶尔会对抗原的抗体结合位点有干扰,因此降低其结合能力,但这种情况很少见。
公司提供:
260722 兔抗PTTG1多克隆抗体
英文名:Anti-PTTG1 rabbit polyclonal antiboy
冷冻(-20℃) 避光
264306 兔抗ZBTB33多克隆抗体
英文名:Anti-ZBTB33 rabbit polyclonal antiboy
冷冻(-20℃) 避光
53169 兔抗MYH14多克隆抗体
英文名:Anti-MYH14 rabbit polyclonal antiboy
冷冻(-20℃) 避光
161865 兔抗LOXL2多克隆抗体
英文名:Anti-LOXL2 rabbit ployclonal antiboy
冷冻(-20℃) 避光
199328 小鼠抗SIRT6单克隆抗体
英文名:Anti-SIRT6 mouse monoclonal antiboy
冷冻(-20℃) 避光
221461 兔抗ACA11多克隆抗体
英文名:Anti-ACA11 rabbit polyclonal antiboy
冷冻(-20℃) 避光
24866 兔抗MLST8多克隆抗体
英文名:Anti-MLST8 rabbit polyclonal antiboy
冷冻(-20℃) 避光
262884 兔抗AK4多克隆抗体
英文名:Anti-AK4 rabbit polyclonal antiboy
冷冻(-20℃) 避光
磷酸化淋巴增强因子-1抗体2% TTC染色液 500ml 瓶
Caudatin 告达亭苷元 38395-02-7 20mg
(+)-Catechin hydrate (+)-儿茶素 225937-10-0 20mg
β-Carotene β-胡萝卜素 7235-40-7 20mg
Carnosic acid 鼠尾草酸 639426 20mg
Cantharidin 斑蝥素 56-25-7 20mg
Acetyl-trans-resveratrol 乙酰化白藜芦醇 42206-94-0 20mg
风险提示:丁香通仅作为第三方平台,为商家信息发布提供平台空间。用户咨询产品时请注意保护个人信息及财产安全,合理判断,谨慎选购商品,商家和用户对交易行为负责。对于医疗器械类产品,请先查证核实企业经营资质和医疗器械产品注册证情况。
技术资料暂无技术资料 索取技术资料
磷酸化淋巴增强因子-1抗体
询价








