相关产品推荐更多 >
万千商家帮你免费找货
0 人在求购买到急需产品
- 详细信息
- 技术资料
- 供应商:
上海抚生
- 库存:
大量
- 靶点:
NIPA
- 克隆性:
多克隆
- 抗原来源:
Rabbit
- 抗体英文名:
Anti-phospho-NIPA(Ser354)
- 抗体名:
磷酸化间变性淋巴瘤激酶核相互作用伴侣蛋白抗体
- 标记物:
HRP,AKP
- 宿主:
人,鼠,猴,鸡,狗,猪等
- 适应物种:
Human, Mouse, Rat, Dog, Pig, Horse, Rabbit
- 免疫原:
KLH conjugated synthesised phosphopeptide derived from human NIPA around the phosphorylation site of Ser354
- 亚型:
IgG
- 形态:
冻干或液体
- 应用范围:
WB,ELISA,ICC,IP等
- 浓度:
1mg/1ml
- 保存条件:
-20℃
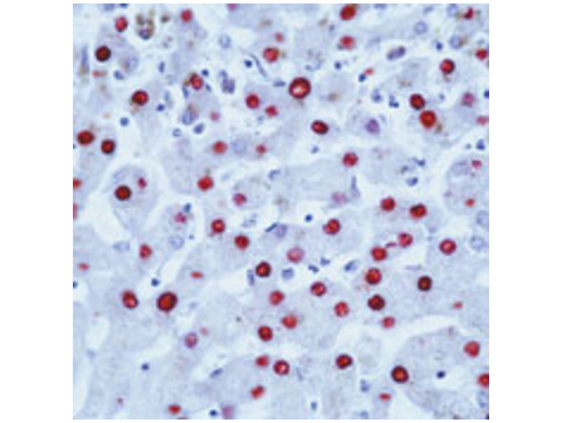
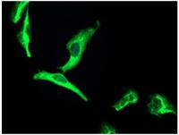
磷酸化间变性淋巴瘤激酶核相互作用伴侣蛋白抗体产品资料:
英文名称 Anti-phospho-NIPA(Ser354)
中文名称 磷酸化间变性淋巴瘤激酶核相互作用伴侣蛋白抗体
别 名 NIPA (phospho S354); NIPA (phospho Ser354); p-NIPA (S354); p-NIPA (Ser354); hNIPA; Nuclear interacting partner of ALK; Nuclear interacting partner of anaplastic lymphoma kinase; ZC3HC1; Zinc finger C3HC type containing 1; NIPA_HUMAN.
浓 度 1mg/1ml
规 格 0.1ml/100μg
抗体来源 Rabbit
克隆类型 polyclonal
交叉反应 Human, Mouse, Rat, Dog, Pig, Horse, Rabbit
产品类型 一抗 磷酸化抗体
研究领域 肿瘤 细胞生物 免疫学 染色质和核信号 信号转导 激酶和磷酸酶
蛋白分子量 predicted molecular weight:55kDa
性 状 Lyophilized or Liquid
免 疫 原 KLH conjugated synthesised phosphopeptide derived from human NIPA around the phosphorylation site of Ser354
亚 型 IgG
纯化方法 affinity purified by Protein A
储 存 液 Preservative: 15mM Sodium Azide, Constituents: 1% BSA, 0.01M PBS, pH 7.4
产品应用 WB=1:100-500 ELISA=1:500-1000 IP=1:20-100 IHC-P=1:100-500 IHC-F=1:100-500 ICC=1:100-500 IF=1:50-200
磷酸化间变性淋巴瘤激酶核相互作用伴侣蛋白抗体产品优势:
荧光标记抗体实验要点:
1.偶联反应要求在尽可能接近pH9.8的溶液中进行,而且注意在反应过程中要保持此pH水平;
2.要确定在偶联反应缓冲液中不含游离氨基(Tris,氨及叠氮钠均可与FITC反应,因此会降低蛋白质与FITC的偶联率);
3.FITC与蛋白质的比值(F/P),可通过测定495m与280nm吸光度来鉴定;
4.FITC缺限是易被光淬灭,因此复合物必须始终避光保存;
5.如果FITC一复合物对PBS透析不充分,可能造成高本底,对免疫荧光染色产生干扰;
与磷酸化间变性淋巴瘤激酶核相互作用伴侣蛋白抗体相关的其他产品:
现货供应 吲哚胺2,3双加氧酶1 多克隆抗体 I23O1 Polyclonal Antibody,请询价
现货供应 意识紊乱同源物2 多克隆抗体 MIB2 Polyclonal Antibody,请询价
现货供应 抑制素A 多克隆抗体 Inhibin α Polyclonal Antibody,请询价
现货供应 抑素2 多克隆抗体 PHB2 Polyclonal Antibody,请询价
现货供应 抑瘤素M 多克隆抗体 OSM Polyclonal Antibody,请询价
现货供应 抑癌蛋白TCHP 多克隆抗体 TCHP Polyclonal Antibody,请询价
现货供应 异质性胞核核糖核蛋白R 多克隆抗体 HNRPR Polyclonal Antibody,请询价
现货供应 异质性胞核核糖核蛋白A0 多克隆抗体 ROA0 Polyclonal Antibody,请询价
现货供应 异质性胞核核糖核蛋白A/B 多克隆抗体 ROAA Polyclonal Antibody,请询价
磷酸化间变性淋巴瘤激酶核相互作用伴侣蛋白抗体特价促销 免疫球蛋白G(IgG)检测试剂盒 规格: 48T/96T
特价促销 促胰液素(SCT)检测试剂盒 规格: 48T/96T
特价促销 骨成型蛋白10(BMP10)检测试剂盒 规格: 48T/96T
特价促销 自身免疫调节因子(AIRE)检测试剂盒 规格: 48T/96T
特价促销 5羟色胺转运蛋白(SERT)检测试剂盒 规格: 48T/96T
特价促销 组织蛋白酶G(CTSG)检测试剂盒 规格: 48T/96T
英文名称 Anti-phospho-NIPA(Ser354)
中文名称 磷酸化间变性淋巴瘤激酶核相互作用伴侣蛋白抗体
别 名 NIPA (phospho S354); NIPA (phospho Ser354); p-NIPA (S354); p-NIPA (Ser354); hNIPA; Nuclear interacting partner of ALK; Nuclear interacting partner of anaplastic lymphoma kinase; ZC3HC1; Zinc finger C3HC type containing 1; NIPA_HUMAN.
浓 度 1mg/1ml
规 格 0.1ml/100μg
抗体来源 Rabbit
克隆类型 polyclonal
交叉反应 Human, Mouse, Rat, Dog, Pig, Horse, Rabbit
产品类型 一抗 磷酸化抗体
研究领域 肿瘤 细胞生物 免疫学 染色质和核信号 信号转导 激酶和磷酸酶
蛋白分子量 predicted molecular weight:55kDa
性 状 Lyophilized or Liquid
免 疫 原 KLH conjugated synthesised phosphopeptide derived from human NIPA around the phosphorylation site of Ser354
亚 型 IgG
纯化方法 affinity purified by Protein A
储 存 液 Preservative: 15mM Sodium Azide, Constituents: 1% BSA, 0.01M PBS, pH 7.4
产品应用 WB=1:100-500 ELISA=1:500-1000 IP=1:20-100 IHC-P=1:100-500 IHC-F=1:100-500 ICC=1:100-500 IF=1:50-200
磷酸化间变性淋巴瘤激酶核相互作用伴侣蛋白抗体产品优势:
| ※支持定制服务,客户提前下单,我们根据客户需求进行生产,可保证产品的新批次和应具备的活跃度和灵敏度; ※产品来源正规,由权威保藏中心进行保藏; ※产品价格公允,新老客户皆能享受我司提供的价格优惠,客户可来电获取实时报价; ※我司配备完善的服务体系,详细客户只要与我司达成合作关系,定能感受到我司的诚意。 |
荧光标记抗体实验要点:
1.偶联反应要求在尽可能接近pH9.8的溶液中进行,而且注意在反应过程中要保持此pH水平;
2.要确定在偶联反应缓冲液中不含游离氨基(Tris,氨及叠氮钠均可与FITC反应,因此会降低蛋白质与FITC的偶联率);
3.FITC与蛋白质的比值(F/P),可通过测定495m与280nm吸光度来鉴定;
4.FITC缺限是易被光淬灭,因此复合物必须始终避光保存;
5.如果FITC一复合物对PBS透析不充分,可能造成高本底,对免疫荧光染色产生干扰;
与磷酸化间变性淋巴瘤激酶核相互作用伴侣蛋白抗体相关的其他产品:
现货供应 吲哚胺2,3双加氧酶1 多克隆抗体 I23O1 Polyclonal Antibody,请询价
现货供应 意识紊乱同源物2 多克隆抗体 MIB2 Polyclonal Antibody,请询价
现货供应 抑制素A 多克隆抗体 Inhibin α Polyclonal Antibody,请询价
现货供应 抑素2 多克隆抗体 PHB2 Polyclonal Antibody,请询价
现货供应 抑瘤素M 多克隆抗体 OSM Polyclonal Antibody,请询价
现货供应 抑癌蛋白TCHP 多克隆抗体 TCHP Polyclonal Antibody,请询价
现货供应 异质性胞核核糖核蛋白R 多克隆抗体 HNRPR Polyclonal Antibody,请询价
现货供应 异质性胞核核糖核蛋白A0 多克隆抗体 ROA0 Polyclonal Antibody,请询价
现货供应 异质性胞核核糖核蛋白A/B 多克隆抗体 ROAA Polyclonal Antibody,请询价
磷酸化间变性淋巴瘤激酶核相互作用伴侣蛋白抗体特价促销 免疫球蛋白G(IgG)检测试剂盒 规格: 48T/96T
特价促销 促胰液素(SCT)检测试剂盒 规格: 48T/96T
特价促销 骨成型蛋白10(BMP10)检测试剂盒 规格: 48T/96T
特价促销 自身免疫调节因子(AIRE)检测试剂盒 规格: 48T/96T
特价促销 5羟色胺转运蛋白(SERT)检测试剂盒 规格: 48T/96T
特价促销 组织蛋白酶G(CTSG)检测试剂盒 规格: 48T/96T
风险提示:丁香通仅作为第三方平台,为商家信息发布提供平台空间。用户咨询产品时请注意保护个人信息及财产安全,合理判断,谨慎选购商品,商家和用户对交易行为负责。对于医疗器械类产品,请先查证核实企业经营资质和医疗器械产品注册证情况。
技术资料暂无技术资料 索取技术资料
磷酸化间变性淋巴瘤激酶核相互作用伴侣蛋白抗体
询价









