相关产品推荐更多 >
万千商家帮你免费找货
0 人在求购买到急需产品
- 详细信息
- 文献和实验
- 技术资料
- 供应商:
上海联迈生物工程有限公司
- 库存:
大量
- 目录编号:
LM-20654R
- 克隆性:
多克隆
- 抗原来源:
Rabbit
- 保质期:
1年
- 抗体英文名:
HSP90 beta
- 抗体名:
热休克蛋白90β/HSP90 β 抗体
- 宿主:
Rabbit
- 适应物种:
Human, Mouse, Rat, Pig, Cow, Horse,
- 免疫原:
KLH conjugated synthetic peptide derived from human HSP90 beta:401-450/724
- 亚型:
IgG
- 形态:
Lyophilized or Liquid
- 应用范围:
WB=1:500-2000 ELISA=1:500-1000 IHC-P=1:400-800 IHC-F=1:400-800 Flow-Cyt=3μg/Test ICC=1:100-500 IF=1:100-500 (石蜡切片需做抗原修复)
- 浓度:
1mg/ml
- 保存条件:
Store at -20 °C
- 规格:
100ul 200ul
| 英文名称 | HSP90 beta |
| 中文名称 | 热休克蛋白90β/HSP90 β 抗体 |
| 别 名 | HSP90 beta; D6S182; FLJ26984; Heat shock 90kD protein 1, beta; Heat shock protein 90kDa alpha (cytosolic) class B member 1; Heat shock protein beta; Heat shock protein HSP 90 beta; HSP 84; HSP84; HSP 90; HSP-90 BETA; HSP90B; HSPC2; HSPCB; HS90B_HUMAN; Heat shock protein HSP 90-beta; Heat shock 84 kDa. |
| 规格价格 | 100ul/1380元 购买 200ul/2200元 购买 大包装/询价 |
| 说 明 书 | 100ul 200ul |
| 研究领域 | 肿瘤 细胞生物 免疫学 信号转导 细胞凋亡 |
| 抗体来源 | Rabbit |
| 克隆类型 | Polyclonal |
| 交叉反应 | Human, Mouse, Rat, Pig, Cow, Horse, |
| 产品应用 | WB=1:500-2000 ELISA=1:500-1000 IHC-P=1:400-800 IHC-F=1:400-800 Flow-Cyt=3μg/Test ICC=1:100-500 IF=1:100-500 (石蜡切片需做抗原修复) not yet tested in other applications. optimal dilutions/concentrations should be determined by the end user. |
| 分 子 量 | 84kDa |
| 细胞定位 | 细胞浆 |
| 性 状 | Lyophilized or Liquid |
| 浓 度 | 1mg/ml |
| 免 疫 原 | KLH conjugated synthetic peptide derived from human HSP90 beta:401-450/724 |
| 亚 型 | IgG |
| 纯化方法 | affinity purified by Protein A |
| 储 存 液 | 0.01M TBS(pH7.4) with 1% BSA, 0.03% Proclin300 and 50% Glycerol. |
| 保存条件 | Store at -20 °C for one year. Avoid repeated freeze/thaw cycles. The lyophilized antibody is stable at room temperature for at least one month and for greater than a year when kept at -20°C. When reconstituted in sterile pH 7.4 0.01M PBS or diluent of antibody the antibody is stable for at least two weeks at 2-4 °C. |
| PubMed | PubMed |
| 产品介绍 | background: This gene encodes a member of the heat shock protein 90 family; these proteins are involved in signal transduction, protein folding and degradation and morphological evolution. This gene encodes the constitutive form of the cytosolic 90 kDa heat-shock protein and is thought to play a role in gastric apoptosis and inflammation. Alternative splicing results in multiple transcript variants. Pseudogenes have been identified on multiple chromosomes. [provided by RefSeq, Dec 2012]. Function: Molecular chaperone that promotes the maturation, structural maintenance and proper regulation of specific target proteins involved for instance in cell cycle control and signal transduction. Undergoes a functional cycle that is linked to its ATPase activity. This cycle probably induces conformational changes in the client proteins, thereby causing their activation. Interacts dynamically with various co-chaperones that modulate its substrate recognition, ATPase cycle and chaperone function. Subunit: Homodimer. Interacts with p53/TP53. Forms a complex with CDK6 and Hsp90/HSP90AB1. Interacts with UNC45A. Binding to UNC45A involves 2 UNC45A monomers per HSP90AB1 dimer. Interacts with CHORDC1 and DNAJC7. Interacts with FKBP4. Subcellular Location: Cytoplasm. Melanosome. Note=Identified by mass spectrometry in melanosome fractions from stage I to stage IV. Post-translational modifications: Ubiquitinated in the presence of STUB1-UBE2D1 complex (in vitro). ISGylated. S-nitrosylated; negatively regulates the ATPase activity (Probable). Similarity: Belongs to the heat shock protein 90 family. SWISS: P08238 Gene ID: 3326 Database links: Entrez Gene: 3326 Human Entrez Gene: 15516 Mouse Entrez Gene: 301252 Rat Omim: 140572 Human SwissProt: P08238 Human SwissProt: P11499 Mouse SwissProt: P34058 Rat Unigene: 509736 Human Unigene: 2180 Mouse Unigene: 98667 Rat Important Note: This product as supplied is intended for research use only, not for use in human, therapeutic or diagnostic applications. HSP是细胞受应激原刺激后诱导产生的一组应激蛋白,与肿瘤发生、增殖及分化有关,HSP90β能够抑制细胞凋亡与分化。 |
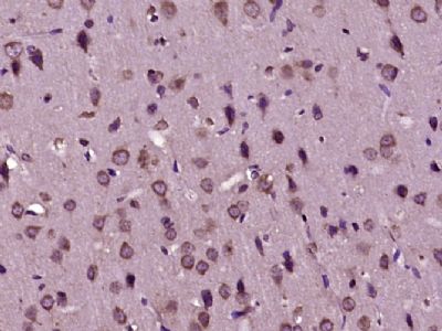
| 产品图片 | ![]() Paraformaldehyde-fixed, paraffin embedded (rat brain tissue); Antigen retrieval by boiling in sodium citrate buffer (pH6.0) for 15min; Block endogenous peroxidase by 3% hydrogen peroxide for 20 minutes; Blocking buffer (normal goat serum) at 37°C for 30min; Antibody incubation with (HSP90 beta) Polyclonal Antibody, Unconjugated (bs-20654R) at 1:400 overnight at 4°C, followed by operating according to SP Kit(Rabbit) (sp-0023) instructionsand DAB staining. ![]() Blank control (blue line): A549 (fixed with 70% ethanol (Overnight at 4℃) and then permeabilized with 90% ice-cold methanol for 30 min on ice). Primary Antibody (green line): Rabbit Anti-HSP90 beta antibody (bs-20654R), Dilution: 3μg /10^6 cells; Isotype Control Antibody (orange line): Rabbit IgG . Secondary Antibody (white blue line): Goat anti-rabbit IgG-FITC,dilution: 1μg /test. |
风险提示:丁香通仅作为第三方平台,为商家信息发布提供平台空间。用户咨询产品时请注意保护个人信息及财产安全,合理判断,谨慎选购商品,商家和用户对交易行为负责。对于医疗器械类产品,请先查证核实企业经营资质和医疗器械产品注册证情况。
文献和实验大豆β-伴球蛋白(β-conglycinin)酶联免疫分析(ELISA)
大豆β- 伴球蛋白( β-conglycinin) 酶联免疫分析( ELISA ) 试剂盒使用说明书 本试剂仅供研究使用 目的:本试剂盒用于测定植物组织,细胞及其它相关样本中β- 伴球蛋白( β-conglycinin) 含量。 实验原理: 本试剂盒应用双抗体夹心法测定标本中大豆β - 伴球蛋白 ( β -conglycinin) 水平。用纯化的大豆β - 伴球蛋白 ( β
人 β-内啡肽 ( β- EP) 酶联免疫 分析( ELISA ) 试剂 盒使用说明书 本试剂仅供研究使用 目的:本试剂盒用于测定人血清,血浆及相关液体样本中 β-内啡肽(β-EP) 的 含量。 实验原理 : 本试剂盒应用双抗体夹心法测定 标本 中 人 β-内啡肽 ( β- EP) 水平。用纯化的 人 β-内啡肽 ( β- EP) 抗体包被微孔板,制成固相抗体,往包被单抗的微孔中依次加入 β-内啡肽
小鼠β-肌动蛋白(β-actin)酶联免疫分析(ELISA)
小鼠β- 肌动蛋白 ( β -actin) 酶联免疫 分析( ELISA ) 试剂 盒使用说明书 本试剂仅供研究使用 目的:本试剂盒用于测定小鼠血清,血浆及相关液体样本中 β-肌动蛋白(β-actin) 含量。 实验原理 : 本试剂盒应用双抗体夹心法测定 标本 中 小鼠β- 肌动蛋白 ( β -actin) 水平。用纯化的 小鼠β- 肌动蛋白 ( β -actin) 抗体包被微孔板,制成固相抗体,往包被单抗的微孔
技术资料暂无技术资料 索取技术资料










