相关产品推荐更多 >
万千商家帮你免费找货
0 人在求购买到急需产品
- 详细信息
- 文献和实验
- 技术资料
- 供应商:
上海联迈生物工程有限公司
- 库存:
大量
- 目录编号:
LM-20563R
- 克隆性:
多克隆
- 抗原来源:
Rabbit
- 保质期:
1年
- 抗体英文名:
SOX10
- 抗体名:
转录因子SOX10抗体
- 宿主:
Rabbit
- 适应物种:
Human, Mouse, Rat, Dog, Pig, Cow, Rabbit, Sheep,
- 免疫原:
KLH conjugated synthetic peptide derived from human SOX10:201-300/466
- 亚型:
IgG
- 形态:
Lyophilized or Liquid
- 应用范围:
WB=1:500-2000 ELISA=1:500-1000 IHC-P=1:400-800 IHC-F=1:400-800 ICC=1:100-500 IF=1:100-500 (石蜡切片需做抗原修复)
- 浓度:
1mg/ml
- 保存条件:
Store at -20 °C
- 规格:
100ul 200ul
| 英文名称 | SOX10 |
| 中文名称 | 转录因子SOX10抗体 |
| 别 名 | DOM; MGC15649; SOX 10; SOX10; SOX10_HUMAN; SRY (sex determining region Y) box 10; SRY box containing gene 10; SRY related HMG box gene 10; Transcription factor SOX 10; Transcription factor SOX-10; WS4. |
| 规格价格 | 100ul/1380元 购买 200ul/2200元 购买 大包装/询价 |
| 说 明 书 | 100ul 200ul |
| 研究领域 | 细胞生物 免疫学 神经生物学 干细胞 细胞凋亡 表观遗传学 |
| 抗体来源 | Rabbit |
| 克隆类型 | Polyclonal |
| 交叉反应 | Human, Mouse, Rat, Dog, Pig, Cow, Rabbit, Sheep, |
| 产品应用 | WB=1:500-2000 ELISA=1:500-1000 IHC-P=1:400-800 IHC-F=1:400-800 ICC=1:100-500 IF=1:100-500 (石蜡切片需做抗原修复) not yet tested in other applications. optimal dilutions/concentrations should be determined by the end user. |
| 分 子 量 | 50kDa |
| 细胞定位 | 细胞核 细胞浆 |
| 性 状 | Lyophilized or Liquid |
| 浓 度 | 1mg/ml |
| 免 疫 原 | KLH conjugated synthetic peptide derived from human SOX10:201-300/466 |
| 亚 型 | IgG |
| 纯化方法 | affinity purified by Protein A |
| 储 存 液 | 0.01M TBS(pH7.4) with 1% BSA, 0.03% Proclin300 and 50% Glycerol. |
| 保存条件 | Store at -20 °C for one year. Avoid repeated freeze/thaw cycles. The lyophilized antibody is stable at room temperature for at least one month and for greater than a year when kept at -20°C. When reconstituted in sterile pH 7.4 0.01M PBS or diluent of antibody the antibody is stable for at least two weeks at 2-4 °C. |
| PubMed | PubMed |
| 产品介绍 | background: This gene encodes a member of the SOX (SRY-related HMG-box) family of transcription factors involved in the regulation of embryonic development and in the determination of the cell fate. The encoded protein may act as a transcriptional activator after forming a protein complex with other proteins. This protein acts as a nucleocytoplasmic shuttle protein and is important for neural crest and peripheral nervous system development. Mutations in this gene are associated with Waardenburg-Shah and Waardenburg-Hirschsprung disease. [provided by RefSeq, Jul 2008] Function: Transcription factor that seems to function synergistically with the POU domain protein TST-1/OCT6/SCIP. Could confer cell specificity to the function of other transcription factors in developing and mature glia (By similarity). Subcellular Location: Cytoplasm. Nucleus Tissue Specificity: Expressed in fetal brain and in adult brain, heart, small intestine and colon. DISEASE: Defects in SOX10 are the cause of Waardenburg syndrome type 2E (WS2E) [MIM:611584]. WS2 is a genetically heterogeneous, autosomal dominant disorder characterized by sensorineural deafness, pigmentary disturbances, and absence of dystopia canthorum. The frequency of deafness is higher in WS2 than in WS1. Defects in SOX10 are a cause of Waardenburg syndrome type 4C (WS4C) [MIM:613266]; also known as Waardenburg-Shah syndrome. WS4C is characterized by the association of Waardenburg features (depigmentation and deafness) and the absence of enteric ganglia in the distal part of the intestine (Hirschsprung disease). Defects in SOX10 are a cause of Yemenite deaf-blind hypopigmentation syndrome (YDBHS) [MIM:601706]. YDBHS consists of cutaneous hypopigmented and hyperpigmented spots and patches, microcornea, coloboma and severe hearing loss. Another case observed in a girl with similar skin symptoms and hearing loss but without microcornea or coloboma is reported as a mild form of this syndrome. Defects in SOX10 are the cause of peripheral demyelinating neuropathy, central dysmyelinating leukodystrophy, Waardenburg syndrome, and Hirschsprung disease (PCWH) [MIM:609136]; also called neurologic variant of Waardenburg-Shah syndrome. PCWH is a rare, complex and more severe neurocristopathy that includes features of 4 distinct syndromes: peripheral demyelinating neuropathy, central dysmyelinating leukodystrophy, Waardenburg syndrome, and Hirschsprung disease. Similarity: Contains 1 HMG box DNA-binding domain. SWISS: P56693 Gene ID: 6663 Database links: Entrez Gene: 6663 Human Entrez Gene: 20665 Mouse Entrez Gene: 29361 Rat Omim: 602229 Human SwissProt: P56693 Human SwissProt: Q04888 Mouse SwissProt: O55170 Rat Unigene: 376984 Human Unigene: 276739 Mouse Unigene: 10883 Rat Important Note: This product as supplied is intended for research use only, not for use in human, therapeutic or diagnostic applications. |
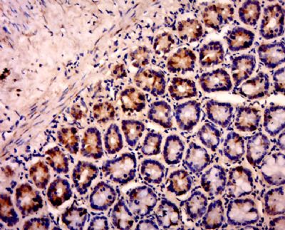
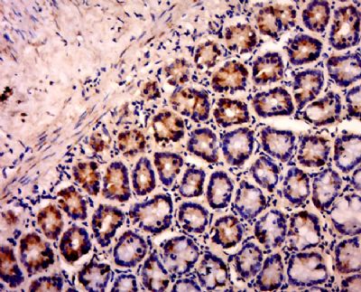
| 产品图片 | ![]() Sample: Cerebrum(Mouse)Lysate at 40 ug Cerebellum(Mouse)Lysate at 40 ug Primary: Anti- SOX10(bs-20563R)at 1/300 dilution Secondary: IRDye800CW Goat Anti-RabbitIgG at 1/20000 dilution Predicted band size: 50kD Observed band size: 50kD ![]() Sample: Cerebrum(Rat)Lysate at 40 ug Primary: Anti- SOX10(bs-20563R)at 1/300 dilution Secondary: IRDye800CW Goat Anti-RabbitIgG at 1/20000 dilution Predicted band size: 50kD Observed band size: 50kD ![]() Paraformaldehyde-fixed, paraffin embedded (rat colon); Antigen retrieval by boiling in sodium citrate buffer (pH6.0) for 15min; Block endogenous peroxidase by 3% hydrogen peroxide for 20 minutes; Blocking buffer (normal goat serum) at 37°C for 30min; Antibody incubation with (SOX10) Polyclonal Antibody, Unconjugated (bs-20563R) at 1:500 overnight at 4°C, followed by a conjugated secondary (sp-0023) for 20 minutes and DAB staining. |
风险提示:丁香通仅作为第三方平台,为商家信息发布提供平台空间。用户咨询产品时请注意保护个人信息及财产安全,合理判断,谨慎选购商品,商家和用户对交易行为负责。对于医疗器械类产品,请先查证核实企业经营资质和医疗器械产品注册证情况。
文献和实验(IF 28) 揭秘黑色素瘤细胞新状态!剑桥大学癌症研究中心最新合作文章揭示强大的基因表达程序是状态转变的基础
in melanoma一文中对该问题进行了探讨。研究者们首先对较小的样本(10种黑色素瘤细胞培养物)进行了分析。基因、KEGG通路和基因调控网络的差异显示有三种不同的细胞状态。接下来,作者在更多的活检样本中发现,之前不确定的intermediate状态,可被一个独特的、由转录因子SOX6、NFATC2、EGR3、ELF1和ETV4所控制的,染色质图谱所证实。单细胞迁移试验证实了这种intermediate状态的迁移表型。利用敲除SOX10后的单细胞的时间序列采样,作者解开了状态转换过程中基因调控网络的变化。
基因表达调控的重点。现在的基因数据库信息丰富,拿到基因及其启动子序列非常简单。那么问题又来了,拿到启动子序列以后,下一步怎么找相关的调控蛋白/转录因子呢?生物信息学方法预测?你会得到很多可能的目标调控蛋白/转录因子,还要做实验一个一个验证。凝胶迁移(EMSA),染色质免疫共沉淀(ChIP)?只能针对已知能与启动子结合的调控蛋白/转录因子,而且还需要相应探针/抗体,对于大量筛选无能为力。美国Signosis的转录因子(结合启动子)微孔板芯片检测试剂可以方便、高效地解决这一问题。该方法专门用于筛查与特定DNA序列
原理: 将染色质和与之相互作用的转录因子和组蛋白通过甲醛等物质交联起来,然后通过超声将染色质打碎成小片段,加入针对特定转录因子或特殊修饰的组蛋白抗体,通过 Protein A/Protein G 微球或磁珠将抗体-转录因子-染色质复合物拖下来,通过 PCR 或测序的方法检测与目的蛋白相结合的 DNA 序列,进而研究这些转录因子在细胞发育或者生长中的作用位点。 ✦ ChIP-seq: ChIP-seq 将 ChIP 技术与二代测序相结合,将 ChIP 下来的 DNA 进行二代测序文库构建,能够获取
技术资料暂无技术资料 索取技术资料













