相关产品推荐更多 >
万千商家帮你免费找货
0 人在求购买到急需产品
- 详细信息
- 技术资料
- 供应商:
上海抚生
- 库存:
大量
- 靶点:
NDUFV2
- 克隆性:
多克隆
- 抗原来源:
Rabbit
- 抗体英文名:
Anti-NDUFV2
- 抗体名:
NADH脱氢酶黄素蛋白2抗体
- 标记物:
HRP,AKP
- 宿主:
人,鼠,猴,鸡,狗,猪等
- 适应物种:
Human, Mouse, Rat, Chicken, Dog, Pig, Cow, Horse, Rabbit
- 免疫原:
KLH conjugated synthetic peptide derived from human NDUFV2
- 亚型:
IgG
- 形态:
冻干或液体
- 应用范围:
WB,ELISA,ICC,IP等
- 浓度:
1mg/1ml
- 保存条件:
-20℃
- 规格:
0.1ml/100μg0.2ml/200μg
NADH脱氢酶黄素蛋白2抗体产品描述:
英文名称 Anti-NDUFV2
中文名称 NADH脱氢酶黄素蛋白2抗体
别 名 24kDa subunit of Complex I; CI-24k; NADH dehydrogenase (ubiquinone) flavoprotein 2, 24kDa; NADH ubiquinone oxidoreductase 24 kDa subunit; Ubiquinoneflavoprotein 2, mitochondrial precursor.
浓 度 1mg/1ml
规 格 0.1ml/100μg 0.2ml/200μg
抗体来源 Rabbit
克隆类型 polyclonal
交叉反应 Human, Mouse, Rat, Chicken, Dog, Pig, Cow, Horse, Rabbit
产品类型 一抗
研究领域 肿瘤 细胞生物 免疫学 转录调节因子
蛋白分子量 predicted molecular weight:24kDa
性 状 Lyophilized or Liquid
免 疫 原 KLH conjugated synthetic peptide derived from human NDUFV2
亚 型 IgG
纯化方法 affinity purified by Protein A
储 存 液 0.01M PBS, pH 7.4 with 10 mg/ml BSA and 0.1% Sodium azide
产品应用 WB=1:100-500 ELISA=1:500-1000 IP=1:20-100 IHC-P=1:100-500 IHC-F=1:100-500 IF=1:100-500
NADH脱氢酶黄素蛋白2抗体订购:
荧光偶联质量的检测:
1.用标准免疫荧光染色试验以测定偶联率
2.用F/P值测定对其FITC标记质量进行鉴定
3.取结合物液0.2ml,加PBS2.8ml(或两者均改用半量),测定其A490/A280,查FITC标志曲线得其浓度ug/ml值,按IgG的消光系数(mg/ml约A2801.2),可计算其F/P值,即每mg抗体所标记的FITC的比值,可以此鉴定及比较各批标记物的质量。
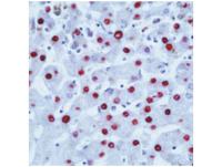
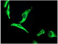
NADH脱氢酶黄素蛋白2抗体实验操作示意图:
公司还提供:
DNA连接酶1抗体,现货供应,请询价
DNA聚合酶μ/DNA pol μ抗体,现货供应,请询价
DNA聚合酶λ/DNA pol λ抗体,现货供应,请询价
DNA聚合酶κ/DNA pol κ抗体,现货供应,请询价
DNA聚合酶ι/DNA pol ι抗体,现货供应,请询价
DNA聚合酶θ/DNA pol θ抗体,现货供应,请询价
DNA聚合酶η抗体,现货供应,请询价
DNA聚合酶δ催化亚单位/DNA pol δ cat抗体,现货供应,请询价
NADH脱氢酶黄素蛋白2抗体特价促销 基质细胞衍生因子1(SDF1)检测试剂盒 规格: 48T/96T
特价促销 转化生长因子α(TGFα)检测试剂盒 规格: 48T/96T
特价促销 转化生长因子α(TGFα)检测试剂盒 规格: 48T/96T
特价促销 转化生长因子α(TGFα)检测试剂盒 规格: 48T/96T
特价促销 转化生长因子α(TGFα)检测试剂盒 规格: 48T/96T
特价促销 转化生长因子β1(TGFβ1)检测试剂盒 规格: 48T/96T
英文名称 Anti-NDUFV2
中文名称 NADH脱氢酶黄素蛋白2抗体
别 名 24kDa subunit of Complex I; CI-24k; NADH dehydrogenase (ubiquinone) flavoprotein 2, 24kDa; NADH ubiquinone oxidoreductase 24 kDa subunit; Ubiquinoneflavoprotein 2, mitochondrial precursor.
浓 度 1mg/1ml
规 格 0.1ml/100μg 0.2ml/200μg
抗体来源 Rabbit
克隆类型 polyclonal
交叉反应 Human, Mouse, Rat, Chicken, Dog, Pig, Cow, Horse, Rabbit
产品类型 一抗
研究领域 肿瘤 细胞生物 免疫学 转录调节因子
蛋白分子量 predicted molecular weight:24kDa
性 状 Lyophilized or Liquid
免 疫 原 KLH conjugated synthetic peptide derived from human NDUFV2
亚 型 IgG
纯化方法 affinity purified by Protein A
储 存 液 0.01M PBS, pH 7.4 with 10 mg/ml BSA and 0.1% Sodium azide
产品应用 WB=1:100-500 ELISA=1:500-1000 IP=1:20-100 IHC-P=1:100-500 IHC-F=1:100-500 IF=1:100-500
NADH脱氢酶黄素蛋白2抗体订购:
| ※我司为主营生物试剂产品的公司,欢迎广大客户光临我司商铺,更多相关产品可进入展台浏览,展台展示有限,客户可以直接说明您的订购需求,可以直接联系我们; ※与我司取得联系后,尽管咨询相关问题,达成共识后边签订订购合同,我司销售部开始进行送货事宜; ※客户收到货后,请先检查外部包装情况,然后在无菌环境下,显微镜观察菌种情况,如有疑似问题可联系我司,经我司确认后再进行退换货的相关事宜。 |
荧光偶联质量的检测:
1.用标准免疫荧光染色试验以测定偶联率
2.用F/P值测定对其FITC标记质量进行鉴定
3.取结合物液0.2ml,加PBS2.8ml(或两者均改用半量),测定其A490/A280,查FITC标志曲线得其浓度ug/ml值,按IgG的消光系数(mg/ml约A2801.2),可计算其F/P值,即每mg抗体所标记的FITC的比值,可以此鉴定及比较各批标记物的质量。
NADH脱氢酶黄素蛋白2抗体实验操作示意图:
公司还提供:
DNA连接酶1抗体,现货供应,请询价
DNA聚合酶μ/DNA pol μ抗体,现货供应,请询价
DNA聚合酶λ/DNA pol λ抗体,现货供应,请询价
DNA聚合酶κ/DNA pol κ抗体,现货供应,请询价
DNA聚合酶ι/DNA pol ι抗体,现货供应,请询价
DNA聚合酶θ/DNA pol θ抗体,现货供应,请询价
DNA聚合酶η抗体,现货供应,请询价
DNA聚合酶δ催化亚单位/DNA pol δ cat抗体,现货供应,请询价
NADH脱氢酶黄素蛋白2抗体特价促销 基质细胞衍生因子1(SDF1)检测试剂盒 规格: 48T/96T
特价促销 转化生长因子α(TGFα)检测试剂盒 规格: 48T/96T
特价促销 转化生长因子α(TGFα)检测试剂盒 规格: 48T/96T
特价促销 转化生长因子α(TGFα)检测试剂盒 规格: 48T/96T
特价促销 转化生长因子α(TGFα)检测试剂盒 规格: 48T/96T
特价促销 转化生长因子β1(TGFβ1)检测试剂盒 规格: 48T/96T
风险提示:丁香通仅作为第三方平台,为商家信息发布提供平台空间。用户咨询产品时请注意保护个人信息及财产安全,合理判断,谨慎选购商品,商家和用户对交易行为负责。对于医疗器械类产品,请先查证核实企业经营资质和医疗器械产品注册证情况。
技术资料暂无技术资料 索取技术资料
NADH脱氢酶黄素蛋白2抗体
询价









