相关产品推荐更多 >
万千商家帮你免费找货
0 人在求购买到急需产品
- 详细信息
- 文献和实验
- 技术资料
- 供应商:
上海联迈生物工程有限公司
- 库存:
大量
- 目录编号:
LM-19963R
- 克隆性:
多克隆
- 抗原来源:
Rabbit
- 保质期:
1年
- 抗体英文名:
PRKRIR
- 抗体名:
蛋白激酶PKR抑制蛋白PRKRIR抗体
- 宿主:
Rabbit
- 适应物种:
Human, Mouse, Rat, Dog, Pig, Horse, Rabbit,
- 免疫原:
KLH conjugated synthetic peptide derived from human PRKRIR:301-400/761
- 亚型:
IgG
- 形态:
Lyophilized or Liquid
- 应用范围:
WB=1:500-2000 ELISA=1:500-1000 IHC-P=1:400-800 IHC-F=1:400-800 ICC=1:100-500 IF=1:100-500 (石蜡切片需做抗原修复)
- 浓度:
1mg/ml
- 保存条件:
Store at -20 °C
- 规格:
100ul 200ul
| 英文名称 | PRKRIR |
| 中文名称 | 蛋白激酶PKR抑制蛋白PRKRIR抗体 |
| 别 名 | 52 kDa repressor of the inhibitor of the protein kinase; 58 kDa interferon induced protein kinase interacting protein; DAP4; Death associated protein 4; Inhibitor of protein kinase PKR; Interferon inducible double stranded RNA dependent inhibitor; MGC102750; P52rIPK; P58 repressor; p58IPK interacting protein; THAP domain containing protein 0; THAP0. P52K_HUMAN |
| 规格价格 | 100ul/1380元 购买 200ul/2200元 购买 大包装/询价 |
| 说 明 书 | 100ul 200ul |
| 研究领域 | 细胞生物 激酶和磷酸酶 |
| 抗体来源 | Rabbit |
| 克隆类型 | Polyclonal |
| 交叉反应 | Human, Mouse, Rat, Dog, Pig, Horse, Rabbit, |
| 产品应用 | WB=1:500-2000 ELISA=1:500-1000 IHC-P=1:400-800 IHC-F=1:400-800 ICC=1:100-500 IF=1:100-500 (石蜡切片需做抗原修复) not yet tested in other applications. optimal dilutions/concentrations should be determined by the end user. |
| 分 子 量 | 88kDa |
| 细胞定位 | 细胞核 |
| 性 状 | Lyophilized or Liquid |
| 浓 度 | 1mg/ml |
| 免 疫 原 | KLH conjugated synthetic peptide derived from human PRKRIR:301-400/761 |
| 亚 型 | IgG |
| 纯化方法 | affinity purified by Protein A |
| 储 存 液 | 0.01M TBS(pH7.4) with 1% BSA, 0.03% Proclin300 and 50% Glycerol. |
| 保存条件 | Store at -20 °C for one year. Avoid repeated freeze/thaw cycles. The lyophilized antibody is stable at room temperature for at least one month and for greater than a year when kept at -20°C. When reconstituted in sterile pH 7.4 0.01M PBS or diluent of antibody the antibody is stable for at least two weeks at 2-4 °C. |
| PubMed | PubMed |
| 产品介绍 | background: PRKRIR is upstream regulator of interferon induced serine/threonine protein kinase R (PKR). It may block the PKR inhibitory function of P58IPK, resulting in the restoration of kinase activity and suppression of cell growth. Function: Upstream regulator of interferon-induced serine/threonine protein kinase R (PKR). May block the PKR-inhibitory function of P58IPK, resulting in restoration of kinase activity and suppression of cell growth. Subunit: Interacts with P58IPK, probably sequestring it. Subcellular Location: Nucleus Similarity: Contains 1 THAP-type zinc finger. SWISS: O43422 Gene ID: 5612 Database links: Entrez Gene: 5612 Human Entrez Gene: 72981 Mouse Entrez Gene: 308845 Rat Omim: 607374 Human SwissProt: O43422 Human SwissProt: Q9CUX1 Mouse SwissProt: Q9R0T3 Rat Unigene: 503315 Human Important Note: This product as supplied is intended for research use only, not for use in human, therapeutic or diagnostic applications. |
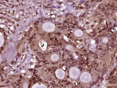
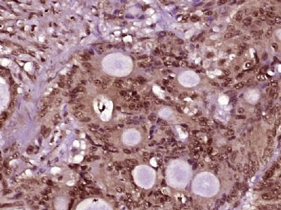
| 产品图片 | ![]() Sample: Muscle (Mouse) Lysate at 40 ug Primary: Anti-PRKRIR (bs-19963R) at 1/300 dilution Secondary: IRDye800CW Goat Anti-Rabbit IgG at 1/20000 dilution Predicted band size: 88 kD Observed band size: 88 kD ![]() Paraformaldehyde-fixed, paraffin embedded (mouse brain tissue); Antigen retrieval by boiling in sodium citrate buffer (pH6.0) for 15min; Block endogenous peroxidase by 3% hydrogen peroxide for 20 minutes; Blocking buffer (normal goat serum) at 37°C for 30min; Antibody incubation with (PRKRIR) Polyclonal Antibody, Unconjugated (bs-19963R) at 1:400 overnight at 4°C, followed by operating according to SP Kit(Rabbit) (sp-0023) instructionsand DAB staining. ![]() Paraformaldehyde-fixed, paraffin embedded (human colon carcinoma); Antigen retrieval by boiling in sodium citrate buffer (pH6.0) for 15min; Block endogenous peroxidase by 3% hydrogen peroxide for 20 minutes; Blocking buffer (normal goat serum) at 37°C for 30min; Antibody incubation with (PRKRIR) Polyclonal Antibody, Unconjugated (bs-19963R) at 1:400 overnight at 4°C, followed by operating according to SP Kit(Rabbit) (sp-0023) instructionsand DAB staining. |
风险提示:丁香通仅作为第三方平台,为商家信息发布提供平台空间。用户咨询产品时请注意保护个人信息及财产安全,合理判断,谨慎选购商品,商家和用户对交易行为负责。对于医疗器械类产品,请先查证核实企业经营资质和医疗器械产品注册证情况。
文献和实验一种特殊的因子,使抗病毒蛋白(AVP)基因解除抑制,转录并翻译出AVP,主要是蛋白激酶、2�-5�A合成酶、磷酸二酯酶,这些酶与发挥抗病毒活性有密切关系。其中二种酶须经双股RNA及ATP激活,一为蛋白激酶,激活后可使合成蛋白质的起动因子2(eIF-2)同磷酸化而失活,抑制蛋白质合成;另一种为2�-5�A合成酶,活化后催化合成2�-5�寡腺苷酸,再激活潜在的核酸内切酶,使病毒mRNA降解,抑制病毒蛋白合成。此外,磷酸二酯酶能降解2�-5�A,又能除去tRNA的CCA末端,抑制蛋白合成。 干扰
细胞因子和趋化因子的类似物,干扰其重要调节功能:如EB病毒产生IL-10的类似物BCRF-1,抑制Thl细胞产生IL-2、TNF-α和IFN β。EB病毒、HSV、腺病毒、HBV分别编码I型IFN的类似物EBNA-2、γ134.5、E1A和末端蛋白,阻断或下调IFN的抗病毒功能。已知PKR(双链RNA依赖的蛋白激酶)通路参与IFN合成、对于清除病毒感染十分重要,因此许多病毒和EB病毒、HSV、HCV、HIV编码PKR的抑制剂、竞争结合物或裂解酶,终止这一通路从而抑制对病毒的清除。多种痘病毒编码针
糖原分解和异生而降低血糖。 2.脂肪代谢 胰岛素能增加脂肪酸的转运,促进脂肪合成并抑制其分解,减少游离脂肪酸和酮体的生成。 3.蛋白质代谢 胰岛素可增加氨基酸的转运和蛋白质的合成(包括mRNA的转录及翻译),同时又抑制蛋白质的分解。 【作用机制】已知胰岛素受体为一糖蛋白,是由两个13kD的α-亚单位及两个90kD的β-亚单位组成的大分子蛋白复合物。α-亚单位在胞外,含胰岛素结合部位,β-亚单位为跨膜蛋白,其胞内部分含酪氨酸蛋白激酶,胰岛素需与靶
技术资料暂无技术资料 索取技术资料













