相关产品推荐更多 >
万千商家帮你免费找货
0 人在求购买到急需产品
- 详细信息
- 文献和实验
- 技术资料
- 供应商:
上海联迈生物工程有限公司
- 库存:
大量
- 目录编号:
LM-19886R
- 克隆性:
多克隆
- 抗原来源:
Rabbit
- 保质期:
1年
- 抗体英文名:
PARP14
- 抗体名:
多腺苷二磷酸多聚酶PARP14抗体
- 宿主:
Rabbit
- 适应物种:
Human, Mouse, Rat, Dog, Pig, Cow, Horse, Rabbit, Zebrafish, Sheep,
- 免疫原:
KLH conjugated synthetic peptide derived from human PARP14:1651-1750/1801
- 亚型:
IgG
- 形态:
Lyophilized or Liquid
- 应用范围:
ELISA=1:500-1000 IHC-P=1:400-800 IHC-F=1:400-800 ICC=1:100-500 IF=1:100-500 (石蜡切片需做抗原修复)
- 浓度:
1mg/ml
- 保存条件:
Store at -20 °C
- 规格:
100ul 200ul
| 英文名称 | PARP14 |
| 中文名称 | 多腺苷二磷酸多聚酶PARP14抗体 |
| 别 名 | ADP-ribosyltransferase diphtheria toxin-like 8; ARTD8; B aggressive lymphoma protein 2; BAL2; Collaborator of STAT6; KIAA1268; PAR14_HUMAN; PARP 14; PARP-14; PARP14; pART8; Poly (ADP ribose) polymerase family member 14; Poly [ADP-ribose] polymerase 14. |
| 规格价格 | 100ul/1380元 购买 200ul/2200元 购买 大包装/询价 |
| 说 明 书 | 100ul 200ul |
| 研究领域 | 细胞生物 表观遗传学 |
| 抗体来源 | Rabbit |
| 克隆类型 | Polyclonal |
| 交叉反应 | Human, Mouse, Rat, Dog, Pig, Cow, Horse, Rabbit, Zebrafish, Sheep, |
| 产品应用 | ELISA=1:500-1000 IHC-P=1:400-800 IHC-F=1:400-800 ICC=1:100-500 IF=1:100-500 (石蜡切片需做抗原修复) not yet tested in other applications. optimal dilutions/concentrations should be determined by the end user. |
| 分 子 量 | 203kDa |
| 细胞定位 | 细胞核 细胞浆 |
| 性 状 | Lyophilized or Liquid |
| 浓 度 | 1mg/ml |
| 免 疫 原 | KLH conjugated synthetic peptide derived from human PARP14:1651-1750/1801 |
| 亚 型 | IgG |
| 纯化方法 | affinity purified by Protein A |
| 储 存 液 | 0.01M TBS(pH7.4) with 1% BSA, 0.03% Proclin300 and 50% Glycerol. |
| 保存条件 | Store at -20 °C for one year. Avoid repeated freeze/thaw cycles. The lyophilized antibody is stable at room temperature for at least one month and for greater than a year when kept at -20°C. When reconstituted in sterile pH 7.4 0.01M PBS or diluent of antibody the antibody is stable for at least two weeks at 2-4 °C. |
| PubMed | PubMed |
| 产品介绍 | background: Poly(ADP-ribosyl)ation is an immediate DNA damage-dependent posttranslational modification of histones and other nuclear proteins that contributes to the survival of injured proliferating cells. PARP14 belongs to the superfamily of enzymes that perform this modification (Ame et al., 2004 [PubMed 15273990]).[supplied by OMIM, Mar 2008] Function: Enhances STAT6-dependent transcription (By similarity). Has ADP-ribosyltransferase activity. Subunit: Interacts with STAT6. Subcellular Location: Nucleus. Cytoplasm. In steady state cells the protein is mostly nuclear. A minor proportion is detected in the cytoplasm. Similarity: Contains 3 Macro domains. Contains 1 PARP catalytic domain. Contains 1 WWE domain. SWISS: Q460N5 Gene ID: 54625 Database links: Entrez Gene: 54625 Human Entrez Gene: 547253 Mouse Entrez Gene: 303903 Rat Omim: 610028 Human SwissProt: Q460N5 Human SwissProt: Q2EMV9 Mouse Unigene: 518203 Human Unigene: 244406 Mouse Important Note: This product as supplied is intended for research use only, not for use in human, therapeutic or diagnostic applications. |
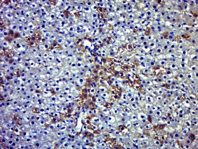
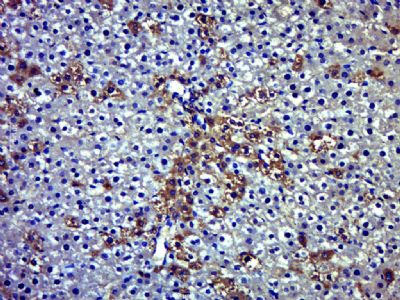
| 产品图片 | ![]() Paraformaldehyde-fixed, paraffin embedded (Rat liver); Antigen retrieval by boiling in sodium citrate buffer (pH6.0) for 15min; Block endogenous peroxidase by 3% hydrogen peroxide for 20 minutes; Blocking buffer (normal goat serum) at 37°C for 30min; Antibody incubation with (PARP14) Polyclonal Antibody, Unconjugated (bs-19886R) at 1:500 overnight at 4°C, followed by a conjugated secondary (sp-0023) for 20 minutes and DAB staining. |
风险提示:丁香通仅作为第三方平台,为商家信息发布提供平台空间。用户咨询产品时请注意保护个人信息及财产安全,合理判断,谨慎选购商品,商家和用户对交易行为负责。对于医疗器械类产品,请先查证核实企业经营资质和医疗器械产品注册证情况。
文献和实验蛋白酶PARP的测定检测细胞凋亡 聚(腺苷二磷酸-核糖)多聚酶(PARP)为一种依赖Zn2+的真核DNA结合蛋白,可特异性地识别DNA断裂末端并结合, 是一种重要的DNA修复酶。在细胞凋亡发生的早期, PARP是caspase家族(如caspase3 和7)的作用底物,后者可使PARP的DNA 修复功能丧失。Caspase可将 113kD的PARP水解为89kD和24kD的两个片断。 本方法主要是运用抗PARP抗体,用蛋白印迹法(western blotting)检测PARP
用HSvgCgD单克隆抗体制成滴眼液,用于治疗疱疹性角膜炎,取得显著疗效。 无环鸟苷(ACV)对疱疹病毒选择性很强的药物。ACV必须经HSV的胸腺核苷激酶(TK)激活后磷酸化为一磷化ACV,再经细胞激酶磷酸化为二三磷酸化ACV.ACV—ATP对dGTP有极强的竞争性,故可终止病毒DNA合成。ACV主要用于治疗生殖器疱疹感染,使局部排毒时间缩短,提早局部愈合。此外ACV还常用于治疗唇疱疹、疱疹性脑炎、新生儿疱疹,疱疹性角膜炎等,均有疗效。 阿糖腺苷(Ara—A)系通过宿主激酶作用就可磷酸
用HSvgCgD单克隆抗体制成滴眼液,用于治疗疱疹性角膜炎,取得显著疗效。 无环鸟苷(ACV)对疱疹病毒选择性很强的药物。ACV必须经HSV的胸腺核苷激酶(TK)激活后磷酸化为一磷化ACV,再经细胞激酶磷酸化为二三磷酸化ACV.ACV—ATP对dGTP有极强的竞争性,故可终止病毒DNA合成。ACV主要用于治疗生殖器疱疹感染,使局部排毒时间缩短,提早局部愈合。此外ACV还常用于治疗唇疱疹、疱疹性脑炎、新生儿疱疹,疱疹性角膜炎等,均有疗效。 阿糖腺苷(Ara—A)系通过宿主激酶作用就可磷酸
技术资料暂无技术资料 索取技术资料











