相关产品推荐更多 >
万千商家帮你免费找货
0 人在求购买到急需产品
- 详细信息
- 询价记录
- 文献和实验
- 技术资料
- 供应商:
上海联迈生物工程有限公司
- 库存:
大量
- 目录编号:
LM-1946R
- 克隆性:
多克隆
- 抗原来源:
Rabbit
- 保质期:
1年
- 抗体英文名:
WNT2B
- 抗体名:
信号通路Wnt2B抗体
- 宿主:
Rabbit
- 适应物种:
Human, Mouse, Rat, Chicken, Dog, Pig, Horse, Rabbit,
- 免疫原:
KLH conjugated synthetic peptide derived from human WNT2B:301-391/391
- 亚型:
IgG
- 形态:
Lyophilized or Liquid
- 应用范围:
WB=1:500-2000 ELISA=1:500-1000 IHC-P=1:400-800 IHC-F=1:400-800 IF=1:100-500 (石蜡切片需做抗原修复)
- 浓度:
1mg/ml
- 保存条件:
Store at -20 °C
- 规格:
100ul 200ul
| 英文名称 | WNT2B |
| 中文名称 | 信号通路Wnt2B抗体 |
| 别 名 | wingless-type MMTV integration site family, member 2B; XWNT2; WNT13; WNT2B_HUMAN. |
![]() |
Specific References (1) | bs-1946R has been referenced in 1 publications. [IF=5.06] Li, Guo, et al. "MicroRNA-324-3p regulates nasopharyngeal carcinoma radioresistance by directly targeting WNT2B." European Journal of Cancer (2013). WB ; PubMed:23583221 |
| 规格价格 | 100ul/1380元 购买 200ul/2200元 购买 大包装/询价 |
| 说 明 书 | 100ul 200ul |
| 研究领域 | 细胞生物 信号转导 |
| 抗体来源 | Rabbit |
| 克隆类型 | Polyclonal |
| 交叉反应 | Human, Mouse, Rat, Chicken, Dog, Pig, Horse, Rabbit, |
| 产品应用 | WB=1:500-2000 ELISA=1:500-1000 IHC-P=1:400-800 IHC-F=1:400-800 IF=1:100-500 (石蜡切片需做抗原修复) not yet tested in other applications. optimal dilutions/concentrations should be determined by the end user. |
| 分 子 量 | 44kDa |
| 细胞定位 | 细胞外基质 分泌型蛋白 |
| 性 状 | Lyophilized or Liquid |
| 浓 度 | 1mg/ml |
| 免 疫 原 | KLH conjugated synthetic peptide derived from human WNT2B:301-391/391 |
| 亚 型 | IgG |
| 纯化方法 | affinity purified by Protein A |
| 储 存 液 | 0.01M TBS(pH7.4) with 1% BSA, 0.03% Proclin300 and 50% Glycerol. |
| 保存条件 | Store at -20 °C for one year. Avoid repeated freeze/thaw cycles. The lyophilized antibody is stable at room temperature for at least one month and for greater than a year when kept at -20°C. When reconstituted in sterile pH 7.4 0.01M PBS or diluent of antibody the antibody is stable for at least two weeks at 2-4 °C. |
| PubMed | PubMed |
| 产品介绍 | background: WNT2B is a member of the wingless-type MMTV integration site (WNT) family of highly conserved, secreted signaling factors. WNT family members function in a variety of developmental processes including regulation of cell growth and differentiation and are characterized by a WNT-core domain. This gene may play a role in human development as well as human carcinogenesis. This gene produces two alternative transcript variants.This gene encodes a member of the wingless-type MMTV integration site (WNT) family of highly conserved, secreted signaling factors. WNT family members function in a variety of developmental processes including regulation of cell growth and differentiation and are characterized by a WNT-core domain. This gene may play a role in human development as well as human carcinogenesis. This gene produces two alternative transcript variants. Function: Ligand for members of the frizzled family of seven transmembrane receptors. Probable developmental protein. May be a signaling molecule which affects the development of discrete regions of tissues. Is likely to signal over only few cell diameters. May be involved in normal development or differentiation as well as in carcinogenesis. Subcellular Location: Secreted, extracellular space, extracellular matrix. Tissue Specificity: Isoform 1 is expressed in adult heart, brain, placenta, lung, prostate, testis, ovary, small intestine and colon. In the adult brain, it is mainly found in the caudate nucleus, subthalamic nucleus and thalamus. Also detected in fetal brain, lung and kidney. Isoform 2 is expressed in fetal brain, fetal lung, fetal kidney, caudate nucleus, testis and cancer cell lines. Post-translational modifications: Palmitoylation at Ser-243 is required for efficient binding to frizzled receptors. It is also required for subsequent palmitoylation at Cys-107. Palmitoylation is necessary for proper trafficking to cell surface (By similarity). Similarity: Belongs to the Wnt family. SWISS: Q93097 Gene ID: 7482 Database links: Entrez Gene: 445420 Cow Entrez Gene: 7482 Human Entrez Gene: 22414 Mouse Entrez Gene: 116466 Rat Omim: 601968 Human SwissProt: Q93097 Human SwissProt: O70283 Mouse Unigene: 27254 Cow Important Note: This product as supplied is intended for research use only, not for use in human, therapeutic or diagnostic applications. |
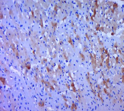
| 产品图片 | ![]() Protein: lung(mouse) lysates at 30ug; liver(mouse) lysates at 30ug; Primary: Anti-WNT2B(bs-1946R) at 1:200; Secondary: HRP conjugated Goat Anti-Rabbit IgG(bs-0295G-HRP) at 1: 3000; ECL excitated the fluorescence; Predicted band size : 44kD Observed band size : 48kD ![]() Paraformaldehyde-fixed, paraffin embedded (rat heart tissue); Antigen retrieval by boiling in sodium citrate buffer (pH6.0) for 15min; Block endogenous peroxidase by 3% hydrogen peroxide for 20 minutes; Blocking buffer (normal goat serum) at 37°C for 30min; Antibody incubation with (WNT2B) Polyclonal Antibody, Unconjugated (bs-1946R) at 1:400 overnight at 4°C, followed by a conjugated secondary (sp-0023) for 20 minutes and DAB staining. |
风险提示:丁香通仅作为第三方平台,为商家信息发布提供平台空间。用户咨询产品时请注意保护个人信息及财产安全,合理判断,谨慎选购商品,商家和用户对交易行为负责。对于医疗器械类产品,请先查证核实企业经营资质和医疗器械产品注册证情况。
- 作者
- 内容
- 询问日期
文献和实验。HSP以直接或间接的方式参与了细胞凋亡的调节,其作用靶点涉及不同凋亡信号通路的各主要激酶或关键性调控蛋白。除对凋亡 相关信号转导通路的蛋白质直接调节作用之外,还涉及了一些细胞膜生长因子受体,如EGFR、ErbB2、FLT3及细胞内雌、雄激素受体等蛋白质稳定性和 活性的调节,这种调节作用具有双向性。即既有抗凋亡的作用,也有促凋亡的作用。细胞凋亡分为线粒体通路介导的凋亡及死亡受体通路介导的凋亡,而HSP不同 程度地对这两条通路的活化具有调节作用。Hsp90能过阴断Apaf-1寡聚化,最终阴断凋亡体的形成
免疫研究新方法:IGF信号通路抗体芯片筛选出肝癌靶生物标志物
单一片面的,之前因为缺少检测工具,无法对 IGF 信号通路中的蛋白表达进行全面的检测,本文第一次采用了RayBiotech(QAH-IGF-1)抗体芯片对 25 对肝癌与正常组织进行高通量检测对比。 IGF-2R 和 IGFBP-2 在肝癌组织中提高。其他 8 个没有显著变化。这为肝癌药物研究和开发提供新的靶标。
受体阳性的乳腺癌细胞有较小程度的细胞毒性,这种情况与在异种移植小鼠模型中的表现一致。体外实验中,在 TNBC 细胞的诱导下,初始 EGFR CAR-T 迅速扩增,同时还会激活 interferomγ, granzyme-perforin-PARP 和 FaS-FADD-caspase 等相关信号通路。 实验团队首先通过免疫印迹和流式细胞术的方法验证 EGFR 高表达于三阴乳腺癌。其中免疫印迹(immunoblotting)又称蛋白质印迹(Western blotting),是根据抗原抗体的特异性结合检测
技术资料暂无技术资料 索取技术资料













