相关产品推荐更多 >
万千商家帮你免费找货
0 人在求购买到急需产品
- 详细信息
- 技术资料
- 库存:
大量
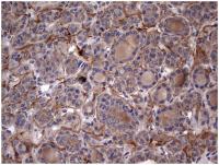
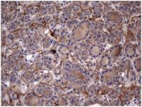
- 靶点:
KCNC3
- 克隆性:
多克隆
- 抗原来源:
Rabbit
- 抗体英文名:
Anti-KCNC3/Kv3.3
- 抗体名:
离子通道蛋白Kv3.3抗体
- 标记物:
HRP,AKP
- 宿主:
人,兔,羊,牛,狗等
- 适应物种:
Human, Mouse, Rat, Chicken, Dog, Cow, Horse, Rabbit
- 免疫原:
KLH conjugated synthetic peptide derived from human Kv33 C-terminus
- 亚型:
IgG
- 形态:
冻干或液体
- 应用范围:
WB,ELISA,IP,ICC等
- 浓度:
1mg/1ml
- 保存条件:
-20 °C
- 规格:
0.2ml/100μg
离子通道蛋白Kv3.3抗体产品资料:
英文名称 Anti-KCNC3/Kv3.3
中文名称 离子通道蛋白Kv3.3抗体
别 名 potassium voltage gated channel, Shaw-related subfamily, member 3; KSHIIID; KV3.3; Potassium voltage gated channel subfamily C member 3; SCA13; Shaw related subfamily, member 3; Shaw related voltage gated potassium channel protein 3; Spinocerebellar ataxia 13; Voltage gated potassium channel protein KV3.3; Voltage gated potassium channel subunit Kv3.3.
浓 度 1mg/1ml
规 格 0.2ml/100μg
抗体来源 Rabbit
克隆类型 polyclonal
交叉反应 Human, Mouse, Rat, Chicken, Dog, Cow, Horse, Rabbit
产品类型 一抗
研究领域 免疫学 神经生物学 通道蛋白 细胞膜受体
蛋白分子量 predicted molecular weight:
81kDa
性 状 Lyophilized or Liquid
免 疫 原 KLH conjugated synthetic peptide derived from human Kv33 C-terminus
亚 型 IgG
纯化方法 affinity purified by Protein A
储 存 液 0.01M PBS, pH 7.4 with 10 mg/ml BSA and 0.1% Sodium azide
产品应用 WB=1:100-500 ELISA=1:500-1000 IP=1:20-100 IHC-P=1:100-500 IHC-F=1:100-500 IF=1:100-500
公司优势:
★专业营销进口或国产品牌的抗体试剂,种类齐全,数量繁多,涵盖各种生命科研项目,具体有一抗二抗,单抗多抗,标记抗体以及其他各种类型的抗体;
★服务经验丰富,我们提供标记服务,各种标本、种属、具体指标齐全,资深的专业背景和高素质的技术团队,准能让您感受到我们的专业水准;
★关于离子通道蛋白Kv3.3抗体更多详情,请来电咨询!
抗体的酶标记法:
一、抗体与过氧化物偶联
1.将5ng抗体与10ng酶在总体积1ml的0.1mol/L磷酸钾缓冲液(pH6.8)混合;
2.在4℃对0.1mol/L磷酸钾缓冲液(pH6.8)透析过夜;
3.用0.1mol/L磷酸钾缓冲液(pH6.8)稀释戊二醛至1%;
4.透析混合液中加入50μ1稀释过的戊二醛,在室温下轻1轻搅拌三小时;
5.加入2mol/L甘氨酸液使最终浓度达到0.1mol/L,混合液室温放置2小时,以封闭残存的醛基;
6.混合液在4℃对PBS透析过夜;
7.10000×g4℃离心30分;
8.将上清移入另一管中,按体积1:1加入甘油,使终浓度达50%;
9.置-20℃保存;
二、抗体与ARP偶联
1.将5mng抗体与10mng酶在总体积2ml的0.1mol/L磷酸钾缓冲液(pH6.8)混合;
2.其它操作同HRP标记法;
三.抗体与荷萄氧化喜偶联
按HRP偶联法操作,仅加入的1%二醛改为150u1;
抗体与β一D一半乳着苷豪偶联,按HRP偶联法操作,但见偶联反应总体积改为2m1,1%戊二醛用量改为的100u1。
离子通道蛋白Kv3.3抗体相关产品:
CD1e抗体 CD1e Antibody [T-cell surface glycoprotein CD1e membrane-associated; hCD1e; R2G1; CD1e]
CD1B 多克隆抗体 CD1B Polyclonal Antibody
CD1A/B 多克隆抗体 CD1A/B Polyclonal Antibody
CD168 多克隆抗体 CD168 Polyclonal Antibody
CD16 多克隆抗体 CD16 Polyclonal Antibody
CD16 单克隆抗体 CD16 Monoclonal Antibody
CD158k 多克隆抗体 CD158k Polyclonal Antibody
Cathepsin F抗体 Cathepsin F Antibody,cysteine protease
Cathepsin D抗体 Cathepsin D Antibody,CTSD,CLN10,CPSD,MGC2311
Cathepsin B抗体 Cathepsin B Antibody,CTSB,CPSB,APPS,EC 3.4.22.1
Catalase抗体(中间区域) Catalase Antibody (Center) (CAT; Catalase)
Catalase抗体 Catalase Antibody,CAT,Cas1,Cast 1,cast-1
Cas支架蛋白家族成员4 多克隆抗体 CASS4 Polyclonal Antibody
Caspr2抗体(50 ul) Anti-Caspr2
离子通道蛋白Kv3.3抗体兔子内皮抑素(ES)elisa kits试剂盒 96T/48T 免费代测
兔子内皮素1(ET1)elisa kits试剂盒 96T/48T 免费代测
兔子细胞间粘附分子1(ICAM1/CD54)elisa kits试剂盒人胸腺非依赖性抗原(TIAg)elisa kits试剂盒 96T/48T 免费代测
人胸腺依赖性抗原(TDAg)elisa kits试剂盒 96T/48T 免费代测
人脱氧核糖核酸酶Ⅰ(DNaseⅠ)elisa kits试剂盒 96T/48T 免费代测
人中性粒细胞碱性磷酸酶(NAP)elisa kits试剂盒 96T/48T 免费代测
人甲状腺结合球蛋白(TBG)elisa kits试剂盒 96T/48T 免费代测
人红细胞膜蛋白(EMP)elisa kits试剂盒 96T/48T 免费代测
人高铁血红蛋白(MHB)elisa kits试剂盒 96T/48T 免费代测
人血凝素(HA)elisa kits试剂盒 96T/48T 免费代测
人脂肪分化相关蛋白(ADRP)elisa kits试剂盒 96T/48T 免费代测
人垂体腺苷酸环化酶激活肽(PACAP)elisa kits试剂盒 96T/48T 免费代测
英文名称 Anti-KCNC3/Kv3.3
中文名称 离子通道蛋白Kv3.3抗体
别 名 potassium voltage gated channel, Shaw-related subfamily, member 3; KSHIIID; KV3.3; Potassium voltage gated channel subfamily C member 3; SCA13; Shaw related subfamily, member 3; Shaw related voltage gated potassium channel protein 3; Spinocerebellar ataxia 13; Voltage gated potassium channel protein KV3.3; Voltage gated potassium channel subunit Kv3.3.
浓 度 1mg/1ml
规 格 0.2ml/100μg
抗体来源 Rabbit
克隆类型 polyclonal
交叉反应 Human, Mouse, Rat, Chicken, Dog, Cow, Horse, Rabbit
产品类型 一抗
研究领域 免疫学 神经生物学 通道蛋白 细胞膜受体
蛋白分子量 predicted molecular weight:
81kDa
性 状 Lyophilized or Liquid
免 疫 原 KLH conjugated synthetic peptide derived from human Kv33 C-terminus
亚 型 IgG
纯化方法 affinity purified by Protein A
储 存 液 0.01M PBS, pH 7.4 with 10 mg/ml BSA and 0.1% Sodium azide
产品应用 WB=1:100-500 ELISA=1:500-1000 IP=1:20-100 IHC-P=1:100-500 IHC-F=1:100-500 IF=1:100-500
公司优势:
★专业营销进口或国产品牌的抗体试剂,种类齐全,数量繁多,涵盖各种生命科研项目,具体有一抗二抗,单抗多抗,标记抗体以及其他各种类型的抗体;
★服务经验丰富,我们提供标记服务,各种标本、种属、具体指标齐全,资深的专业背景和高素质的技术团队,准能让您感受到我们的专业水准;
★关于离子通道蛋白Kv3.3抗体更多详情,请来电咨询!
抗体的酶标记法:
一、抗体与过氧化物偶联
1.将5ng抗体与10ng酶在总体积1ml的0.1mol/L磷酸钾缓冲液(pH6.8)混合;
2.在4℃对0.1mol/L磷酸钾缓冲液(pH6.8)透析过夜;
3.用0.1mol/L磷酸钾缓冲液(pH6.8)稀释戊二醛至1%;
4.透析混合液中加入50μ1稀释过的戊二醛,在室温下轻1轻搅拌三小时;
5.加入2mol/L甘氨酸液使最终浓度达到0.1mol/L,混合液室温放置2小时,以封闭残存的醛基;
6.混合液在4℃对PBS透析过夜;
7.10000×g4℃离心30分;
8.将上清移入另一管中,按体积1:1加入甘油,使终浓度达50%;
9.置-20℃保存;
二、抗体与ARP偶联
1.将5mng抗体与10mng酶在总体积2ml的0.1mol/L磷酸钾缓冲液(pH6.8)混合;
2.其它操作同HRP标记法;
三.抗体与荷萄氧化喜偶联
按HRP偶联法操作,仅加入的1%二醛改为150u1;
抗体与β一D一半乳着苷豪偶联,按HRP偶联法操作,但见偶联反应总体积改为2m1,1%戊二醛用量改为的100u1。
离子通道蛋白Kv3.3抗体相关产品:
CD1e抗体 CD1e Antibody [T-cell surface glycoprotein CD1e membrane-associated; hCD1e; R2G1; CD1e]
CD1B 多克隆抗体 CD1B Polyclonal Antibody
CD1A/B 多克隆抗体 CD1A/B Polyclonal Antibody
CD168 多克隆抗体 CD168 Polyclonal Antibody
CD16 多克隆抗体 CD16 Polyclonal Antibody
CD16 单克隆抗体 CD16 Monoclonal Antibody
CD158k 多克隆抗体 CD158k Polyclonal Antibody
Cathepsin F抗体 Cathepsin F Antibody,cysteine protease
Cathepsin D抗体 Cathepsin D Antibody,CTSD,CLN10,CPSD,MGC2311
Cathepsin B抗体 Cathepsin B Antibody,CTSB,CPSB,APPS,EC 3.4.22.1
Catalase抗体(中间区域) Catalase Antibody (Center) (CAT; Catalase)
Catalase抗体 Catalase Antibody,CAT,Cas1,Cast 1,cast-1
Cas支架蛋白家族成员4 多克隆抗体 CASS4 Polyclonal Antibody
Caspr2抗体(50 ul) Anti-Caspr2
离子通道蛋白Kv3.3抗体兔子内皮抑素(ES)elisa kits试剂盒 96T/48T 免费代测
兔子内皮素1(ET1)elisa kits试剂盒 96T/48T 免费代测
兔子细胞间粘附分子1(ICAM1/CD54)elisa kits试剂盒人胸腺非依赖性抗原(TIAg)elisa kits试剂盒 96T/48T 免费代测
人胸腺依赖性抗原(TDAg)elisa kits试剂盒 96T/48T 免费代测
人脱氧核糖核酸酶Ⅰ(DNaseⅠ)elisa kits试剂盒 96T/48T 免费代测
人中性粒细胞碱性磷酸酶(NAP)elisa kits试剂盒 96T/48T 免费代测
人甲状腺结合球蛋白(TBG)elisa kits试剂盒 96T/48T 免费代测
人红细胞膜蛋白(EMP)elisa kits试剂盒 96T/48T 免费代测
人高铁血红蛋白(MHB)elisa kits试剂盒 96T/48T 免费代测
人血凝素(HA)elisa kits试剂盒 96T/48T 免费代测
人脂肪分化相关蛋白(ADRP)elisa kits试剂盒 96T/48T 免费代测
人垂体腺苷酸环化酶激活肽(PACAP)elisa kits试剂盒 96T/48T 免费代测
风险提示:丁香通仅作为第三方平台,为商家信息发布提供平台空间。用户咨询产品时请注意保护个人信息及财产安全,合理判断,谨慎选购商品,商家和用户对交易行为负责。对于医疗器械类产品,请先查证核实企业经营资质和医疗器械产品注册证情况。
技术资料暂无技术资料 索取技术资料
离子通道蛋白Kv3.3抗体
询价









