万千商家帮你免费找货
0 人在求购买到急需产品
- 详细信息
- 技术资料
- 库存:
大量
- 靶点:
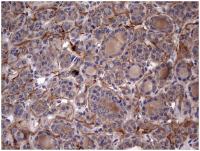
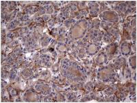
Insig1
- 克隆性:
多克隆
- 抗原来源:
Rabbit
- 抗体英文名:
Anti-Insig1
- 抗体名:
胰岛素诱导基因1抗体
- 标记物:
HRP,AKP
- 宿主:
人,兔,羊,牛,狗等
- 适应物种:
Human, Mouse, Rat, Chicken, Dog, Pig, Cow, Rabbit
- 免疫原:
KLH conjugated synthetic peptide derived from human Insig1
- 亚型:
IgG
- 形态:
冻干或液体
- 应用范围:
WB,ELISA,IP,ICC等
- 浓度:
1mg/1ml
- 保存条件:
-20 °C
- 规格:
0.2ml/200μg
胰岛素诱导基因1抗体产品简介:
英文名称 Anti-Insig1
中文名称 胰岛素诱导基因1抗体
别 名 CL 6; CL6; INSIG 1; INSIG 1 membrane protein; INSIG1 membrane protein; Insulin induced gene 1; Insulin induced gene 1 protein; insulin induced gene-1; insulin induced gene1; MGC1405; INSI1_HUMAN.
浓 度 1mg/1ml
规 格 0.2ml/200μg
抗体来源 Rabbit
克隆类型 polyclonal
交叉反应 Human, Mouse, Rat, Chicken, Dog, Pig, Cow, Rabbit
产品类型 一抗
研究领域 肿瘤 细胞生物 免疫学 信号转导 细胞凋亡 转录调节因子 糖尿病
蛋白分子量 predicted molecular weight:
30kDa
性 状 Lyophilized or Liquid
免 疫 原 KLH conjugated synthetic peptide derived from human Insig1
亚 型 IgG
纯化方法 affinity purified by Protein A
储 存 液 0.01M PBS, pH 7.4 with 10 mg/ml BSA and 0.1% Sodium azide
产品应用 WB=1:100-500 ELISA=1:500-1000 IP=1:20-100 IHC-P=1:100-500 IHC-F=1:100-500 IF=1:100-500
公司优势:
★专业营销进口或国产品牌的抗体试剂,种类齐全,数量繁多,涵盖各种生命科研项目,具体有一抗二抗,单抗多抗,标记抗体以及其他各种类型的抗体;
★服务经验丰富,我们提供标记服务,各种标本、种属、具体指标齐全,资深的专业背景和高素质的技术团队,准能让您感受到我们的专业水准;
★关于胰岛素诱导基因1抗体更多详情,请来电咨询!
胰岛素诱导基因1抗体抗体分子标记技术:
(一)原理
当应用化学氧化法时,碘化钠(NaI)遇强氧化剂,碘离子被氧化为碘分子,所生成的自由碘分子可与某些基团进行卤化反应。蛋白质分子可进行卤化反应的基团主要为酪氨酸残基,某些组氨酸残基也可能进行碘化。在应用氯胺T( Chloramine T)法的实验中,所用的氧化剂(1,3,4,6- tetrachloro-3a,6adipheny l-glucoluril)强挥发性的有机溶剂中。该溶剂加入试管后,先让其挥发(即让氧化剂将试管包被),然后把Na125I和蛋白质液加入包被好的试管中,反应完成即将混合液移入他管终止反应。
(二)准备
1.试剂
经亲和层析纯化的多克隆抗体或单克隆抗体;0.5mol/L磷酸钠缓冲液,pH7.5;无载体的Na125I3.7GBq/ml(100mCi/ml)的NaOH液;100g/L三氯醋酸;70%乙醇;新鲜制备的含2mg/m1氯络胺T的0.5mol/L磷酸钠缓冲液(pH7.5);氯胺T反应终止缓冲液;
2.仪器
凝胶过滤柱;¥-记数器;玻璃纤维滤。
(三)操作要点
1.用氯胺T法进行碘化,也可在大约pH7.0的缓冲液中进行;
2.如果氧化反应损伤蛋白质,可将抗体与异硫氰酸荧光素(FITC)偶联)胺T量减少到0.02mg/m,并将偏重亚硫酸液的浓度降到0.024mg/ml;
3. Iodogen-包被的试管可在干燥器中,于室温下保存多年;
4.1251标记的抗体,在制备后六周内均可使用(1251的半衰期为59.6天);
5.要注意保证所用的Na1251是新鲜的,陈旧制剂的比活性低;
6.酪氨酸的碘化偶尔会对抗原的抗体结合位点有干扰,因此降低其结合能力,但这种情况很少见。
公司提供:
P2X6 受体抗体(50 ul) Anti-P2X6 Receptor
P2X6 受体抗体(0.2 ml) Anti-P2X6 Receptor
P2X6 受体 (胞外)抗体(50 ul) Anti-P2X6 Receptor (extracellular)
P2X6 受体 (胞外)抗体(25 ul) Anti-P2X6 Receptor (extracellular)
P2X6 受体 (胞外)抗体(0.2 ml) Anti-P2X6 Receptor (extracellular)
P2X5 受体抗体(50 ul) Anti-P2X5 Receptor
P2X5 受体抗体(0.2 ml) Anti-P2X5 Receptor
NKCC2 (胞外)抗体(0.2 ml) Anti-NKCC2 (extracellular)
NKCC1 (胞外)抗体(50 ul) Anti-NKCC1 (extracellular)
NKCC1 (胞外)抗体(0.2 ml) Anti-NKCC1 (extracellular)
NK6转录样蛋白B 多克隆抗体 NKX62 Polyclonal Antibody
NK2转录样蛋白C 多克隆抗体 NKX23 Polyclonal Antibody
NK2转录样蛋白B 多克隆抗体 NKX22 Polyclonal Antibody
Nitrotyrosine抗体(NOY-7A5) Nitrotyrosine Antibody (NOY-7A5) (0)
胰岛素诱导基因1抗体小鼠低密度脂蛋白免疫复合物(LDLIC)elisa kits试剂盒 96T/48T 免费代测
小鼠神经胶质纤维酸性蛋白(GFAP)elisa kits试剂盒 96T/48T 免费代测
小鼠抗中性粒细胞核周抗体(pANCA)elisa kits试剂盒 96T/48T 免费代测
小鼠15脂加氧酶(15LO/LOX)elisa kits试剂盒 96T/48T 免费代测
小鼠肌钙蛋白Ⅰ(TnⅠ)elisa kits试剂盒 96T/48T 免费代测
小鼠血清淀粉样蛋白A(SAA)elisa kits试剂盒 96T/48T 免费代测
小鼠血小板因子3(PF3)elisa kits试剂盒 96T/48T 免费代测
小鼠白介素2受体(IL2R)elisa kits试剂盒 96T/48T 免费代测
小鼠可溶性Endoglin(ENG/sCD105)elisa kits试剂盒 96T/48T 免费代测
小鼠转化生长因子β2(TGFβ2)elisa kits试剂盒 96T/48T 免费代测
小鼠单核细胞趋化蛋白4(MCP4/CCL13)elisa kits试剂盒 96T/48T 免费代测
小鼠网膜素(omentin)elisa kits试剂盒 96T/48T 免费代测
英文名称 Anti-Insig1
中文名称 胰岛素诱导基因1抗体
别 名 CL 6; CL6; INSIG 1; INSIG 1 membrane protein; INSIG1 membrane protein; Insulin induced gene 1; Insulin induced gene 1 protein; insulin induced gene-1; insulin induced gene1; MGC1405; INSI1_HUMAN.
浓 度 1mg/1ml
规 格 0.2ml/200μg
抗体来源 Rabbit
克隆类型 polyclonal
交叉反应 Human, Mouse, Rat, Chicken, Dog, Pig, Cow, Rabbit
产品类型 一抗
研究领域 肿瘤 细胞生物 免疫学 信号转导 细胞凋亡 转录调节因子 糖尿病
蛋白分子量 predicted molecular weight:
30kDa
性 状 Lyophilized or Liquid
免 疫 原 KLH conjugated synthetic peptide derived from human Insig1
亚 型 IgG
纯化方法 affinity purified by Protein A
储 存 液 0.01M PBS, pH 7.4 with 10 mg/ml BSA and 0.1% Sodium azide
产品应用 WB=1:100-500 ELISA=1:500-1000 IP=1:20-100 IHC-P=1:100-500 IHC-F=1:100-500 IF=1:100-500
公司优势:
★专业营销进口或国产品牌的抗体试剂,种类齐全,数量繁多,涵盖各种生命科研项目,具体有一抗二抗,单抗多抗,标记抗体以及其他各种类型的抗体;
★服务经验丰富,我们提供标记服务,各种标本、种属、具体指标齐全,资深的专业背景和高素质的技术团队,准能让您感受到我们的专业水准;
★关于胰岛素诱导基因1抗体更多详情,请来电咨询!
胰岛素诱导基因1抗体抗体分子标记技术:
(一)原理
当应用化学氧化法时,碘化钠(NaI)遇强氧化剂,碘离子被氧化为碘分子,所生成的自由碘分子可与某些基团进行卤化反应。蛋白质分子可进行卤化反应的基团主要为酪氨酸残基,某些组氨酸残基也可能进行碘化。在应用氯胺T( Chloramine T)法的实验中,所用的氧化剂(1,3,4,6- tetrachloro-3a,6adipheny l-glucoluril)强挥发性的有机溶剂中。该溶剂加入试管后,先让其挥发(即让氧化剂将试管包被),然后把Na125I和蛋白质液加入包被好的试管中,反应完成即将混合液移入他管终止反应。
(二)准备
1.试剂
经亲和层析纯化的多克隆抗体或单克隆抗体;0.5mol/L磷酸钠缓冲液,pH7.5;无载体的Na125I3.7GBq/ml(100mCi/ml)的NaOH液;100g/L三氯醋酸;70%乙醇;新鲜制备的含2mg/m1氯络胺T的0.5mol/L磷酸钠缓冲液(pH7.5);氯胺T反应终止缓冲液;
2.仪器
凝胶过滤柱;¥-记数器;玻璃纤维滤。
(三)操作要点
1.用氯胺T法进行碘化,也可在大约pH7.0的缓冲液中进行;
2.如果氧化反应损伤蛋白质,可将抗体与异硫氰酸荧光素(FITC)偶联)胺T量减少到0.02mg/m,并将偏重亚硫酸液的浓度降到0.024mg/ml;
3. Iodogen-包被的试管可在干燥器中,于室温下保存多年;
4.1251标记的抗体,在制备后六周内均可使用(1251的半衰期为59.6天);
5.要注意保证所用的Na1251是新鲜的,陈旧制剂的比活性低;
6.酪氨酸的碘化偶尔会对抗原的抗体结合位点有干扰,因此降低其结合能力,但这种情况很少见。
公司提供:
P2X6 受体抗体(50 ul) Anti-P2X6 Receptor
P2X6 受体抗体(0.2 ml) Anti-P2X6 Receptor
P2X6 受体 (胞外)抗体(50 ul) Anti-P2X6 Receptor (extracellular)
P2X6 受体 (胞外)抗体(25 ul) Anti-P2X6 Receptor (extracellular)
P2X6 受体 (胞外)抗体(0.2 ml) Anti-P2X6 Receptor (extracellular)
P2X5 受体抗体(50 ul) Anti-P2X5 Receptor
P2X5 受体抗体(0.2 ml) Anti-P2X5 Receptor
NKCC2 (胞外)抗体(0.2 ml) Anti-NKCC2 (extracellular)
NKCC1 (胞外)抗体(50 ul) Anti-NKCC1 (extracellular)
NKCC1 (胞外)抗体(0.2 ml) Anti-NKCC1 (extracellular)
NK6转录样蛋白B 多克隆抗体 NKX62 Polyclonal Antibody
NK2转录样蛋白C 多克隆抗体 NKX23 Polyclonal Antibody
NK2转录样蛋白B 多克隆抗体 NKX22 Polyclonal Antibody
Nitrotyrosine抗体(NOY-7A5) Nitrotyrosine Antibody (NOY-7A5) (0)
胰岛素诱导基因1抗体小鼠低密度脂蛋白免疫复合物(LDLIC)elisa kits试剂盒 96T/48T 免费代测
小鼠神经胶质纤维酸性蛋白(GFAP)elisa kits试剂盒 96T/48T 免费代测
小鼠抗中性粒细胞核周抗体(pANCA)elisa kits试剂盒 96T/48T 免费代测
小鼠15脂加氧酶(15LO/LOX)elisa kits试剂盒 96T/48T 免费代测
小鼠肌钙蛋白Ⅰ(TnⅠ)elisa kits试剂盒 96T/48T 免费代测
小鼠血清淀粉样蛋白A(SAA)elisa kits试剂盒 96T/48T 免费代测
小鼠血小板因子3(PF3)elisa kits试剂盒 96T/48T 免费代测
小鼠白介素2受体(IL2R)elisa kits试剂盒 96T/48T 免费代测
小鼠可溶性Endoglin(ENG/sCD105)elisa kits试剂盒 96T/48T 免费代测
小鼠转化生长因子β2(TGFβ2)elisa kits试剂盒 96T/48T 免费代测
小鼠单核细胞趋化蛋白4(MCP4/CCL13)elisa kits试剂盒 96T/48T 免费代测
小鼠网膜素(omentin)elisa kits试剂盒 96T/48T 免费代测
风险提示:丁香通仅作为第三方平台,为商家信息发布提供平台空间。用户咨询产品时请注意保护个人信息及财产安全,合理判断,谨慎选购商品,商家和用户对交易行为负责。对于医疗器械类产品,请先查证核实企业经营资质和医疗器械产品注册证情况。
技术资料暂无技术资料 索取技术资料
胰岛素诱导基因1抗体
询价









