相关产品推荐更多 >
万千商家帮你免费找货
0 人在求购买到急需产品
- 详细信息
- 文献和实验
- 技术资料
- 供应商:
上海康朗生物科技有限公司
- 库存:
大量
- 目录编号:
kl-33289M
- 克隆性:
多克隆
- 抗原来源:
Mouse
- 保质期:
12个月
- 抗体英文名:
Cystatin C antibody
- 抗体名:
胱抑素C/半胱氨酸蛋白酶抑制剂C单克隆抗体
- 宿主:
Mouse
- 适应物种:
Human
- 免疫原:
Recombinant human Cystatin C Protein:
- 亚型:
IgG
- 形态:
冻干粉或液体
- 应用范围:
ELISA=1:500-1000 IHC-P=1:200-800 IHC-F=1:500-1000 ICC=1:100-500 IF=1:500-1000
- 浓度:
1mg/ml
- 保存条件:
-20 °C
- 规格:
50ul 100ul
| 中文名称 | 胱抑素C/半胱氨酸蛋白酶抑制剂C单克隆抗体 |
| 别 名 | Cystatin 3; Cystatin-3; CST 3;CST3; CST-3; Cystatin C; AD 8; AD8; Amyloid angiopathy and cerebral hemorrhage; Cst 3; Cst3; CST3 protein; Cystatin 3; Cystatin3; CystatinC; Gamma trace; HCCAA; Neuroendocrine basic polypeptide; Post gamma globulin; ARMD11; MGC117328; CYSC. |
| 规格价格 | 50ul/860元 购买 100ul/1580元 购买 大包装/询价 |
| 说 明 书 | 50ul 100ul |
| 研究领域 | 肿瘤 心血管 细胞生物 免疫学 发育生物学 |
| 抗体来源 | Mouse |
| 克隆类型 | Monoclonal |
| 克 隆 号 | 7B2 |
| 交叉反应 | Human, |
| 产品应用 | ELISA=1:500-1000 IHC-P=1:200-800 IHC-F=1:500-1000 ICC=1:100-500 IF=1:500-1000 (石蜡切片需做抗原修复) not yet tested in other applications. optimal dilutions/concentrations should be determined by the end user. |
| 分 子 量 | 14kDa |
| 细胞定位 | 分泌型蛋白 |
| 性 状 | Lyophilized or Liquid |
| 浓 度 | 1mg/ml |
| 免 疫 原 | Recombinant human Cystatin C Protein: |
| 亚 型 | IgG |
| 纯化方法 | affinity purified by Protein G |
| 储 存 液 | 0.01M TBS(pH7.4) with 1% BSA, 0.03% Proclin300 and 50% Glycerol. |
| 保存条件 | Store at -20 °C for one year. Avoid repeated freeze/thaw cycles. The lyophilized antibody is stable at room temperature for at least one month and for greater than a year when kept at -20°C. When reconstituted in sterile pH 7.4 0.01M PBS or diluent of antibody the antibody is stable for at least two weeks at 2-4 °C. |
| PubMed | PubMed |
| 产品介绍 | background: The cystatin superfamily encompasses proteins that contain multiple cystatin-like sequences. Some of the members are active cysteine protease inhibitors, while others have lost or perhaps never acquired this inhibitory activity. There are three inhibitory families in the superfamily, including the type 1 cystatins(stefins), type 2 cystatins and the kininogens. The type 2 cystatin proteins are a class of cysteine proteinase inhibitors found in a variety of human fluids and secretions, where they appear to provide protective functions. The cystatin locus on chromosome 20 contains the majority of the type 2 cystatin genes and pseudogenes. This gene is located in the cystatin locus and encodes the most abundant extracellular inhibitor of cysteine proteases, which is found in high concentrations in biological fluids and is expressed in virtually all organs of the body. A mutation in this gene has been associated with amyloid angiopathy. Expression of this protein in vascular wall smooth muscle cells is severely reduced in both atherosclerotic and aneurysmal aortic lesions, establishing its role in vascular disease. [provided by RefSeq]. Function: As an inhibitor of cysteine proteinases, this protein is thought to serve an important physiological role as a local regulator of this enzyme activity. Subunit: Expressed in submandibular and sublingual saliva but not in parotid saliva (at protein level). Expressed in various body fluids, such as the cerebrospinal fluid and plasma. Expressed in highest levels in the epididymis, vas deferens, brain, thymus, and ovary and the lowest in the submandibular gland. Subcellular Location: Secreted. DISEASE: Defects in CST3 are the cause of amyloidosis type 6 (AMYL6) [MIM:105150]; also known as hereditary cerebral hemorrhage with amyloidosis (HCHWA), cerebral amyloid angiopathy (CAA) or cerebroarterial amyloidosis Icelandic type. AMYL6 is a hereditary generalized amyloidosis due to cystatin C amyloid deposition. Cystatin C amyloid accumulates in the walls of arteries, arterioles, and sometimes capillaries and veins of the brain, and in various organs including lymphoid tissue, spleen, salivary glands, and seminal vesicles. Amyloid deposition in the cerebral vessels results in cerebral amyloid angiopathy, cerebral hemorrhage and premature stroke. Cystatin C levels in the cerebrospinal fluid are abnormally low. Similarity: Belongs to the cystatin family. SWISS: P01034 Gene ID: 1471 Database links: Entrez Gene: 1471 Human Entrez Gene: 13010 Mouse Entrez Gene: 25307 Rat Omim: 604312 Human SwissProt: P01034 Human SwissProt: P21460 Mouse SwissProt: P14841 Rat Unigene: 304682 Human Unigene: 4263 Mouse Unigene: 106351 Rat Important Note: This product as supplied is intended for research use only, not for use in human, therapeutic or diagnostic applications. 胱抑素C( cystatin c)是一种半胱氨酸蛋白酶抑制剂,也被称为γ-微量蛋白及γ-后球蛋白,广泛存在于各种组织的有核细胞和体液中,是一种低分子量、碱性非糖化蛋白质,分子量为13.3KD,由122个氨基酸残基组成,可由机体所有有核细胞产生,产生率恒定。循环中的胱抑素c仅经肾小球滤过而被清除,是一种反映肾小球滤过率变化的内源性标志物,并在近曲小管重吸收,但重吸收后被完全代谢分解,不返回血液,因此,其血中浓度由肾小球滤过决定,而不依赖任何外来因素,如性别、年龄、饮食的影响,是一种反映肾小球滤过率变化的理想同源性标志物。 |
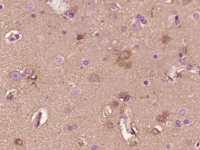
| 产品图片 | ![]() Paraformaldehyde-fixed, paraffin embedded (Human glioma); Antigen retrieval by boiling in sodium citrate buffer (pH6.0) for 15min; Block endogenous peroxidase by 3% hydrogen peroxide for 20 minutes; Blocking buffer (normal goat serum) at 37°C for 30min; Antibody incubation with (Cystatin C) Monoclonal Antibody, Unconjugated (bsm-33289M) at 1:400 overnight at 4°C, followed by operating according to SP Kit(Mouse) (sp-0024) instructionsand DAB staining. |
风险提示:丁香通仅作为第三方平台,为商家信息发布提供平台空间。用户咨询产品时请注意保护个人信息及财产安全,合理判断,谨慎选购商品,商家和用户对交易行为负责。对于医疗器械类产品,请先查证核实企业经营资质和医疗器械产品注册证情况。
文献和实验上海西唐生物科技有限公司 021-55229872, 65333639 www.westang.com 人胱抑素C ( Cystatin C )ELISA 试剂盒 ( 用于血清、血浆、细胞培养上清液和尿液生物体液内 ) 原理 本实验采用双抗体夹心 ABC-ELISA 法。用抗人 Cystatin C 单抗包被于酶标板上,标准品和样品中的 Cystatin C与单抗结合,加入
一、胱氨酸蛋白酶抵制剂C( Cystatin C)的性质 胱氨酸蛋白酶抵制剂C( Cystatin C)是一种糖基化的低分子量蛋白质,可自由通过肾小球并被近端肾小管的上皮细胞重吸收和代谢,其血中浓度不受炎症、肌肉量、小管分泌等影响,其血清浓度与肾小球滤过率(GFR)密切相关,可作为肾小球滤过功能指标。 二、监测肾小球滤过率功能最敏感的指标 肾小球滤过率是监测肾功能的一个重要指标。尤其对于肾移植的病人,快速准确地掌握肾小球滤过率的的变化是十分重要
大鼠胱抑素C(Cystatin C)ELISA试剂盒 说明书
上海西唐生物科技有限公司 021-55229872, 65333639 www.westang.com 大鼠胱抑素 C(Cystatin C)ELISA 试剂盒 ( 用于血清、血浆、细胞培养上清液和尿液生物体液内 ) 原理 本实验采用双抗体夹心 ABC-ELISA 法。用抗大鼠 Cystatin C 单抗包被于酶标板上,标准品和样品中的 Cystatin C 与单抗结合,加入生物素化的抗大
技术资料暂无技术资料 索取技术资料










