相关产品推荐更多 >
万千商家帮你免费找货
0 人在求购买到急需产品
- 详细信息
- 技术资料
- 供应商:
上海联迈生物工程有限公司
- 库存:
大量
- 目录编号:
LM-1646R
- 克隆性:
多克隆
- 抗原来源:
Rabbit
- 保质期:
1年
- 抗体英文名:
phospho-ERK1 (Thr202/Tyr204) + ERK2 (Thr183/Tyr185)
- 抗体名:
磷酸化丝裂原活化蛋白激酶1/2抗体
- 宿主:
Rabbit
- 适应物种:
Human, Mouse, Rat, Chicken, Dog, Cow, Horse, Rabbit, Guinea Pig,
- 免疫原:
KLH conjugated Synthesised phosphopeptide derived from mouse ERK1/2 around the phosphorylation site of Thr202/Tyr204:FL(p-T)E(p-Y)VA
- 亚型:
IgG
- 形态:
Lyophilized or Liquid
- 应用范围:
ELISA=1:500-1000 IHC-P=1:400-800 IHC-F=1:400-800 Flow-Cyt=1μg /test IF=1:100-500 (石蜡切片需做抗原修复)
- 浓度:
1mg/ml
- 保存条件:
Store at -20 °C
- 规格:
100ul
| 英文名称 | phospho-ERK1 (Thr202/Tyr204) + ERK2 (Thr183/Tyr185) |
| 中文名称 | 磷酸化丝裂原活化蛋白激酶1/2抗体 |
| 别 名 | Erk1 (pT202/pY204) + Erk2 (pT185/pY187); ERK 1; ERK 2; ERK-2; ERK1; ERK2; ERT1; ERT2; Extracellular signal regulated kinase 1; Extracellular signal regulated kinase 1; Extracellular signal regulated kinase 2; Extracellular signal regulated kinase 2; Extracellular signal-regulated kinase 2; HS44KDAP; HUMKER1A; Insulin stimulated MAP2 kinase; MAP kinase 1; MAP kinase 2; MAP kinase isoform p42; MAP kinase isoform p44; MAPK 1; MAPK 2; MAPK1; MAPK2; MGC20180; Microtubule associated protein 2 kinase; Mitogen activated protein kinase 1; Mitogen activated protein kinase 1; Mitogen activated protein kinase 2; Mitogen-activated protein kinase 1; Mitogen-activated protein kinase 2; MK01_MOUSE; p38; p40; p41; p41mapk; p42 MAPK; p42-MAPK; p42MAPK; p42MAPK; p44 ERK1; p44 MAPK; p44ERK1; p44ERK1; p44MAPK; p44MAPK; PRKM 1; PRKM 1; PRKM 2; PRKM 2; PRKM1; PRKM2; Protein kinase mitogen activated 1; Protein kinase mitogen activated 1; Protein kinase mitogen activated 2; Protein kinase mitogen activated 2; Protein tyrosine kinas. |
![]() |
Specific References (2) | bs-1646R has been referenced in 2 publications. [IF=3.33] Wang, Jianping, et al. "Bone Marrow Mononuclear Cell Transplantation Promotes Therapeutic Angiogenesis via Upregulation of the VEGF-VEGFR2 Signaling Pathway in a Rat Model of Vascular Dementia." Behavioural Brain Research (2014). WB ; Rat. PubMed:24589546 [IF=1.08] Hirata, Azumi, et al. "Homeobox family Hoxc localization during murine palate formation." Congenital Anomalies (2016). IHC-P ; Mouse. PubMed:26718736 |
| 规格价格 | 100ul/1580元 购买 大包装/询价 |
| 说 明 书 | 100ul |
| 产品类型 | 磷酸化抗体 |
| 研究领域 | 神经生物学 信号转导 干细胞 激酶和磷酸酶 |
| 抗体来源 | Rabbit |
| 克隆类型 | Polyclonal |
| 交叉反应 | Human, Mouse, Rat, Chicken, Dog, Cow, Horse, Rabbit, Guinea Pig, |
| 产品应用 | ELISA=1:500-1000 IHC-P=1:400-800 IHC-F=1:400-800 Flow-Cyt=1μg /test IF=1:100-500 (石蜡切片需做抗原修复) not yet tested in other applications. optimal dilutions/concentrations should be determined by the end user. |
| 分 子 量 | 41kDa |
| 细胞定位 | 细胞核 细胞浆 |
| 性 状 | Lyophilized or Liquid |
| 浓 度 | 1mg/ml |
| 免 疫 原 | KLH conjugated Synthesised phosphopeptide derived from mouse ERK1/2 around the phosphorylation site of Thr202/Tyr204:FL(p-T)E(p-Y)VA |
| 亚 型 | IgG |
| 纯化方法 | affinity purified by Protein A |
| 储 存 液 | 0.01M TBS(pH7.4) with 1% BSA, 0.03% Proclin300 and 50% Glycerol. |
| 保存条件 | Store at -20 °C for one year. Avoid repeated freeze/thaw cycles. The lyophilized antibody is stable at room temperature for at least one month and for greater than a year when kept at -20°C. When reconstituted in sterile pH 7.4 0.01M PBS or diluent of antibody the antibody is stable for at least two weeks at 2-4 °C. |
| PubMed | PubMed |
| 产品介绍 | background: The protein encoded by this gene is a member of the MAP kinase family. MAP kinases, also known as extracellular signal-regulated kinases (ERKs), act as an integration point for multiple biochemical signals, and are involved in a wide variety of cellular processes such as proliferation, differentiation, transcription regulation and development. The activation of this kinase requires its phosphorylation by upstream kinases. Upon activation, this kinase translocates to the nucleus of the stimulated cells, where it phosphorylates nuclear targets. Two alternatively spliced transcript variants encoding the same protein, but differing in the UTRs, have been reported for this gene. Function: Serine/threonine kinase which acts as an essentialcomponent of the MAP kinase signal transduction pathway. MAPK1/ERK2and MAPK3/ERK1 are the 2 MAPKs which play an important role in theMAPK/ERK cascade. They participate also in a signaling cascadeinitiated by activated KIT and KITLG/SCF. Depending on the cellularcontext, the MAPK/ERK cascade mediates diverse biological functionssuch as cell growth, adhesion, survival and differentiation throughthe regulation of transcription, translation, cytoskeletalrearrangements. The MAPK/ERK cascade plays also a role ininitiation and regulation of meiosis, mitosis, and postmitoticfunctions in differentiated cells by phosphorylating a number oftranscription factors. About 160 substrates have already beendiscovered for ERKs. Many of these substrates are localized in thenucleus, and seem to participate in the regulation of transcriptionupon stimulation. However, other substrates are found in thecytosol as well as in other cellular organelles, and those areresponsible for processes such as translation, mitosis andapoptosis. Moreover, the MAPK/ERK cascade is also involved in theregulation of the endosomal dynamics, including lysosome processingand endosome cycling through the perinuclear recycling compartment(PNRC); as well as in the fragmentation of the Golgi apparatusduring mitosis. The substrates include transcription factors (suchas ATF2, BCL6, ELK1, ERF, FOS, HSF4 or SPZ1), cytoskeletal elements(such as CANX, CTTN, GJA1, MAP2, MAPT, PXN, SORBS3 or STMN1),regulators of apoptosis (such as BAD, BTG2, CASP9, DAPK1, IER3,MCL1 or PPARG), regulators of translation (such as EIF4EBP1) and avariety of other signaling-related molecules (like ARHGEF2, DCC,FRS2 or GRB10). Protein kinases (such as RAF1, RPS6KA1/RSK1,RPS6KA3/RSK2, RPS6KA2/RSK3, RPS6KA6/RSK4, SYK, MKNK1/MNK1,MKNK2/MNK2, RPS6KA5/MSK1, RPS6KA4/MSK2, MAPKAPK3 or MAPKAPK5) andphosphatases (such as DUSP1, DUSP4, DUSP6 or DUSP16) are othersubstrates which enable the propagation the MAPK/ERK signal toadditional cytosolic and nuclear targets, thereby extending thespecificity of the cascade. Mediates phosphorylation of TPR inrespons to EGF stimulation. May play a role in the spindle assemblycheckpoint. Phosphorylates PML and promotes its interaction withPIN1, leading to PML degradation (By similarity). [FUNCTION] Acts as a transcriptional repressor. Binds to a[GC]AAA[GC] consensus sequence. Repress the expression ofinterferon gamma-induced genes. Seems to bind to the promoter ofCCL5, DMP1, IFIH1, IFITM1, IRF7, IRF9, LAMP3, OAS1, OAS2, OAS3 andSTAT1. Transcriptional activity is independent of kinase activity(By similarity). Subunit: Binds both upstream activators and downstream substratesin multimolecular complexes. Interacts with ADAM15, ARHGEF2, ARRB2,DAPK1 (via death domain), HSF4, IER3, IPO7, DUSP6, NISCH, SGK1, andisoform 1 of NEK2. Interacts (via phosphorylated form) with TPR(via C-terminus region and phosphorylated form); the interactionrequires dimerization of MAPK1/ERK2 and increases following EGFstimulation (By similarity). Interacts (phosphorylated form) withCAV2 ('Tyr-19'-phosphorylated form); the interaction, promoted byinsulin, leads to nuclear location and MAPK1 activation (Bysimilarity). Interacts with DCC (By similarity). Interacts withMORG1, PEA15 and MKNK2. MKNK2 isoform 1 binding prevents fromdephosphorylation and inactivation. The phosphorylated forminteracts with PML (By similarity). Subcellular Location: Cytoplasm, cytoskeleton, spindle (Bysimilarity). Nucleus. Cytoplasm, cytoskeleton, centrosome (Bysimilarity). Cytoplasm. Note=Associated with the spindle duringprometaphase and metaphase (By similarity). PEA15-binding andphosphorylated DAPK1 promote its cytoplasmic retention.Phosphorylation at Ser-244 and Ser-246 as well asautophosphorylation at Thr-188 promote nuclear localization (Bysimilarity). Tissue Specificity: Widely expressed. Post-translational modifications: Dually phosphorylated on Thr-183 and Tyr-185, which activatesthe enzyme. Ligand-activated ALK induces tyrosine phosphorylation(By similarity). Dephosphorylated by PTPRJ at Tyr-185 (Bysimilarity). Phosphorylated upon FLT3 and KIT signaling (Bysimilarity). Similarity: Dually phosphorylated on Thr-183 and Tyr-185, which activatesthe enzyme. Ligand-activated ALK induces tyrosine phosphorylation(By similarity). Dephosphorylated by PTPRJ at Tyr-185 (Bysimilarity). Phosphorylated upon FLT3 and KIT signaling (Bysimilarity). SWISS: P28482 Gene ID: 5595 Database links: Entrez Gene: 5594 Human Entrez Gene: 5595 Human Entrez Gene: 26413 Mouse Entrez Gene: 26417 Mouse Entrez Gene: 116590 Rat Entrez Gene: 50689 Rat SwissProt: P27361 Human SwissProt: P28482 Human SwissProt: P63085 Mouse SwissProt: Q63844 Mouse SwissProt: P21708 Rat SwissProt: P63086 Rat Important Note: This product as supplied is intended for research use only, not for use in human, therapeutic or diagnostic applications. |
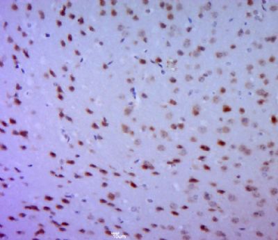
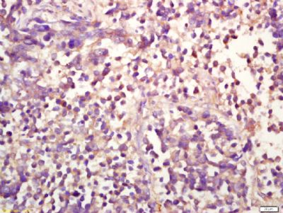
| 产品图片 | ![]() Sample: Heart (Mouse) Lysate at 30 ug SP2/0 Cell Lysate at 30 ug Primary: Anti-phospho-ERK1(Thr202/Tyr204)+ERK2(Thr183/Tyr185) (bs-1646R) at 1:200 dilution; Secondary: HRP conjugated Goat Anti-Rabbit IgG(bs-0295G-HRP) at 1: 3000 dilution; Predicted band size : 42kD Observed band size : 42kD ![]() Paraformaldehyde-fixed, paraffin embedded (mouse brain tissue); Antigen retrieval by boiling in sodium citrate buffer (pH6.0) for 15min; Block endogenous peroxidase by 3% hydrogen peroxide for 20 minutes; Blocking buffer (normal goat serum) at 37°C for 30min; Antibody incubation with (P-ERK 1+ ERK 2) Polyclonal Antibody, Unconjugated (bs-1646R) at 1:400 overnight at 4°C, followed by a conjugated secondary (sp-0023) for 20 minutes and DAB staining. ![]() Paraformaldehyde-fixed, paraffin embedded (rat lung tissue); Antigen retrieval by boiling in sodium citrate buffer (pH6.0) for 15min; Block endogenous peroxidase by 3% hydrogen peroxide for 20 minutes; Blocking buffer (normal goat serum) at 37°C for 30min; Antibody incubation with (P-ERK 1+ ERK 2) Polyclonal Antibody, Unconjugated (bs-1646R) at 1:400 overnight at 4°C, followed by a conjugated secondary (sp-0023) for 20 minutes and DAB staining. ![]() Tissue/cell: human lung carcinoma; 4% Paraformaldehyde-fixed and paraffin-embedded; Antigen retrieval: citrate buffer ( 0.01M, pH 6.0 ), Boiling bathing for 15min; Block endogenous peroxidase by 3% Hydrogen peroxide for 30min; Blocking buffer (normal goat serum,C-0005) at 37℃ for 20 min; Incubation: Anti-phospho-ERK1(Thr202/Tyr204)+ERK2(Thr183/Tyr185) Polyclonal Antibody, Unconjugated(bs-1646R) 1:200, overnight at 4°C, followed by conjugation to the secondary antibody(SP-0023) and DAB(C-0010) staining ![]() From 《Cancer Medicine》(2016.6): PublitionDirect effect of dasatinib on signal transduction pathways associated with a rapid mobilization of cytotoxic lymphocytes , IF:2.5 Author: Noriyoshi Iriyama, Yoshihiro Hatta & Masami Takei Division of Hematology and Rheumatology, Department of Medicine, Nihon University School of Medicine, Tokyo, Japan ![]() cells: human |
风险提示:丁香通仅作为第三方平台,为商家信息发布提供平台空间。用户咨询产品时请注意保护个人信息及财产安全,合理判断,谨慎选购商品,商家和用户对交易行为负责。对于医疗器械类产品,请先查证核实企业经营资质和医疗器械产品注册证情况。
技术资料暂无技术资料 索取技术资料
















