相关产品推荐更多 >
万千商家帮你免费找货
0 人在求购买到急需产品
- 详细信息
- 技术资料
- 供应商:
上海抚生
- 库存:
大量
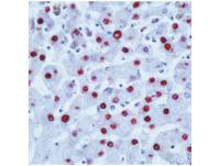
- 靶点:
ETV2
- 克隆性:
多克隆
- 抗原来源:
Rabbit
- 抗体英文名:
Anti-ETV2/ER71
- 抗体名:
ETS相关蛋白71抗体
- 标记物:
HRP,AKP
- 宿主:
人,鼠,猴,鸡,狗,猪等
- 适应物种:
Human, Mouse, Rat, Dog, Pig, Cow, Horse, Sheep
- 免疫原:
KLH conjugated synthetic peptide derived from Human ETV2/ER71
- 亚型:
IgG
- 形态:
冻干或液体
- 应用范围:
WB,ELISA,ICC,IP等
- 浓度:
1mg/1ml
- 保存条件:
-20℃
- 规格:
0.2ml/200μg
ETS相关蛋白71抗体产品介绍:
英文名称 Anti-ETV2/ER71
中文名称 ETS相关蛋白71抗体
别 名 ER71; Ets related protein 71; ETS translocation variant 2; Ets variant gene 2; Ets-related protein 71; ETSRP71; ETV2_HUMAN.
浓 度 1mg/1ml
规 格 0.2ml/200μg
抗体来源 Rabbit
克隆类型 polyclonal
交叉反应 Human, Mouse, Rat, Dog, Pig, Cow, Horse, Sheep
产品类型 一抗
研究领域 细胞生物 发育生物学 干细胞 表观遗传学
蛋白分子量 predicted molecular weight: 37kDa
性 状 Lyophilized or Liquid
免 疫 原 KLH conjugated synthetic peptide derived from Human ETV2/ER71
亚 型 IgG
纯化方法 affinity purified by Protein A
储 存 液 Preservative: 15mM Sodium Azide, Constituents: 1% BSA, 0.01M PBS, pH 7.4
产品应用 WB=1:100-500 ELISA=1:500-1000 IHC-P=1:100-500 IHC-F=1:100-500 ICC=1:100-500 IF=1:100-500
公司优势:
ETS相关蛋白71抗体操作流程:
我们还提供:
Hsc70抗体 5040/100 ug FS-YK0059 Hsc70 Antibody,HSPA8,LAP1,HSC54,HSC70,HSC71,HSP71,HSP73,HSPA10,MGC131511,MGC29929,NIP71
Hsp70抗体 5310/100 ug FS-YK0060 Hsp70 Antibody,HSPA4,APG2,APG-2,HSP70RY,HS24/P52,MGC131852,hsp70RY
Hsp70抗体 4410/100 ug FS-YK0061 Hsp70 Antibody,HSPA4,APG2,APG-2,HSP70RY,HS24/P52,MGC131852,hsp70RY
Hsp90抗体 6570/100 ug FS-YK0062 Hsp90 Antibody,HSP90AA1,HSP90A,HSPCAL1,HSPCAL4,HSPN,HSP86,HSPCA,Hsp89,HSP90N,LAP2,HSPC1,FLJ31884
MAPKAPK-2抗体 4770/100 ug FS-YK0063 MAPKAPK-2 Antibody,MAPKAPK2,MK2
大鼠Pancreatic Amylase抗体 4770/100 ug FS-YK0064 Rat Pancreatic Amylase Antibody,Amylase,pancreatic amylase,rat pancreatic amylase
C-peptide抗体 5040/100 ug FS-YK0065 C-peptide Antibody,C-peptide
GLP-1抗体 5040/100 ug FS-YK0066 GLP-1 Antibody,Glucagon-like peptide 1,GLP-1
Phospho-IRS (Ser616)抗体 5130/100 ug FS-YK0067 Phospho-IRS (Ser616) Antibody,IRS,phospho-IRS,Phospho-IRS (Ser616)
ProInsulin抗体 5040/100 ug FS-YK0068 ProInsulin Antibody,Proinsulin
Peptide YY (PYY)抗体 4770/100 ug FS-YK0069 Peptide YY (PYY) Antibody,PYY3-36,Peptide YY
AMPKβ抗体 5850/100 ug FS-YK0070 AMPKβ Antibody,AMPK,5’-AMP-activated protein kinase,beta-1 subunit,AMP activated protein kinase beta-1 subunit,AMPK beta-1 chain,AMPKb
AMPKγ抗体 5850/100 ug FS-YK0071 AMPKγ Antibody,AMPK,5’-AMP-activated protein kinase,gamma-1 subunit,AMP activated protein kinase,gamma-1 subunit,AMPK gamma-1 chain,AMPKg
AMPK#z1抗体 5850/100 ug FS-YK0072 AMPK#z1 Antibody,5’-AMP-activated protein kinase,catalytic alpha-1 chain,AMPK alpha-1 chain
AMPK1抗体 5850/100 ug FS-YK0073 AMPK1 Antibody,5’-AMP-activated protein kinase catalytic subunit alpha-1,AMPK1
AMPKα抗体 5850/100 ug FS-YK0074 AMPKα Antibody,Protein kinase AMP-activated alpha-1 catalytic subunit,AMPK alpha-1 chain,
ETS相关蛋白71抗体p38 MAP Kinase抗体 4590/100 ug FS-YK0075 p38 MAP Kinase Antibody,Mitogen-activated protein kinase 14,MK14,Mapk14,Mitogen-activated protein kinase p38alpha,MAP kinase p38alpha,CRK1,Csbp1,Csbp2,Cytokine suppressive anti-inf
PKA抗体 4410/100 ug FS-YK0076 PKA Antibody,PRKACA,MGC102831,PKACA,MGC48865
英文名称 Anti-ETV2/ER71
中文名称 ETS相关蛋白71抗体
别 名 ER71; Ets related protein 71; ETS translocation variant 2; Ets variant gene 2; Ets-related protein 71; ETSRP71; ETV2_HUMAN.
浓 度 1mg/1ml
规 格 0.2ml/200μg
抗体来源 Rabbit
克隆类型 polyclonal
交叉反应 Human, Mouse, Rat, Dog, Pig, Cow, Horse, Sheep
产品类型 一抗
研究领域 细胞生物 发育生物学 干细胞 表观遗传学
蛋白分子量 predicted molecular weight: 37kDa
性 状 Lyophilized or Liquid
免 疫 原 KLH conjugated synthetic peptide derived from Human ETV2/ER71
亚 型 IgG
纯化方法 affinity purified by Protein A
储 存 液 Preservative: 15mM Sodium Azide, Constituents: 1% BSA, 0.01M PBS, pH 7.4
产品应用 WB=1:100-500 ELISA=1:500-1000 IHC-P=1:100-500 IHC-F=1:100-500 ICC=1:100-500 IF=1:100-500
公司优势:
| 1)公司主营生物试剂,皆为科研前沿产品,产品针对性强,主要面向各大高校科研基地、科研机构以及研发性企业的客户。 2)公司拥有资深的专业背景,不仅能与国际接轨,还具备自身的研发实力。我司以一批优秀的专业技术人才,为您提供周到的技术服务和支持。 3)公司提供的细胞为美国保藏中心ATCC的细胞,为世界知名品牌。 4)ETS相关蛋白71抗体现货供应,供货周期短,能满足客户的急需,欢迎来电咨询。 |
ETS相关蛋白71抗体操作流程:
我们还提供:
Hsc70抗体 5040/100 ug FS-YK0059 Hsc70 Antibody,HSPA8,LAP1,HSC54,HSC70,HSC71,HSP71,HSP73,HSPA10,MGC131511,MGC29929,NIP71
Hsp70抗体 5310/100 ug FS-YK0060 Hsp70 Antibody,HSPA4,APG2,APG-2,HSP70RY,HS24/P52,MGC131852,hsp70RY
Hsp70抗体 4410/100 ug FS-YK0061 Hsp70 Antibody,HSPA4,APG2,APG-2,HSP70RY,HS24/P52,MGC131852,hsp70RY
Hsp90抗体 6570/100 ug FS-YK0062 Hsp90 Antibody,HSP90AA1,HSP90A,HSPCAL1,HSPCAL4,HSPN,HSP86,HSPCA,Hsp89,HSP90N,LAP2,HSPC1,FLJ31884
MAPKAPK-2抗体 4770/100 ug FS-YK0063 MAPKAPK-2 Antibody,MAPKAPK2,MK2
大鼠Pancreatic Amylase抗体 4770/100 ug FS-YK0064 Rat Pancreatic Amylase Antibody,Amylase,pancreatic amylase,rat pancreatic amylase
C-peptide抗体 5040/100 ug FS-YK0065 C-peptide Antibody,C-peptide
GLP-1抗体 5040/100 ug FS-YK0066 GLP-1 Antibody,Glucagon-like peptide 1,GLP-1
Phospho-IRS (Ser616)抗体 5130/100 ug FS-YK0067 Phospho-IRS (Ser616) Antibody,IRS,phospho-IRS,Phospho-IRS (Ser616)
ProInsulin抗体 5040/100 ug FS-YK0068 ProInsulin Antibody,Proinsulin
Peptide YY (PYY)抗体 4770/100 ug FS-YK0069 Peptide YY (PYY) Antibody,PYY3-36,Peptide YY
AMPKβ抗体 5850/100 ug FS-YK0070 AMPKβ Antibody,AMPK,5’-AMP-activated protein kinase,beta-1 subunit,AMP activated protein kinase beta-1 subunit,AMPK beta-1 chain,AMPKb
AMPKγ抗体 5850/100 ug FS-YK0071 AMPKγ Antibody,AMPK,5’-AMP-activated protein kinase,gamma-1 subunit,AMP activated protein kinase,gamma-1 subunit,AMPK gamma-1 chain,AMPKg
AMPK#z1抗体 5850/100 ug FS-YK0072 AMPK#z1 Antibody,5’-AMP-activated protein kinase,catalytic alpha-1 chain,AMPK alpha-1 chain
AMPK1抗体 5850/100 ug FS-YK0073 AMPK1 Antibody,5’-AMP-activated protein kinase catalytic subunit alpha-1,AMPK1
AMPKα抗体 5850/100 ug FS-YK0074 AMPKα Antibody,Protein kinase AMP-activated alpha-1 catalytic subunit,AMPK alpha-1 chain,
ETS相关蛋白71抗体p38 MAP Kinase抗体 4590/100 ug FS-YK0075 p38 MAP Kinase Antibody,Mitogen-activated protein kinase 14,MK14,Mapk14,Mitogen-activated protein kinase p38alpha,MAP kinase p38alpha,CRK1,Csbp1,Csbp2,Cytokine suppressive anti-inf
PKA抗体 4410/100 ug FS-YK0076 PKA Antibody,PRKACA,MGC102831,PKACA,MGC48865
风险提示:丁香通仅作为第三方平台,为商家信息发布提供平台空间。用户咨询产品时请注意保护个人信息及财产安全,合理判断,谨慎选购商品,商家和用户对交易行为负责。对于医疗器械类产品,请先查证核实企业经营资质和医疗器械产品注册证情况。
技术资料暂无技术资料 索取技术资料
ETS相关蛋白71抗体
询价









