相关产品推荐更多 >
万千商家帮你免费找货
0 人在求购买到急需产品
- 详细信息
- 技术资料
- 供应商:
上海抚生
- 库存:
40
- 克隆性:
单克隆
- 抗体英文名:
IL17C polyclonal antibody
- 抗体名:
polyclonal antibody
- 宿主:
rabbit
- 适应物种:
Human
- 免疫原:
rabbit
- 应用范围:
WB; IHC
- 规格:
100 ul
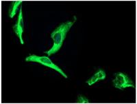
IL17C polyclonal antibody用途
产品名称: IL17C polyclonal antibody用途
反应性物种:Human
测试应用:WB; IHC
包装规格:100ul
价格和运输:详情可来电咨询。
IL17C polyclonal antibody用途结果判定:
⑴ 抗 Ig 的效价测定 琼脂扩散效价达 ⑵ 6 或 1﹕32 者为合格。
⑶ 纯度鉴定采用琼扩法。中间孔加抗 Ig 血清,外周孔加 Ig 和标准品 Ig,产生抗原决定簇。只针对一个抗原决定簇起作用的浆细胞群就是一个纯系。由一种克隆产生的特异性抗体叫做单克隆抗体。同一个抗原决定簇,在机体内也可以由好几种克隆来产生抗体,形成多克隆抗体。
IL17C polyclonal antibody用途多克隆抗体的概念:
由一种抗原(抗原通常是由多个抗原决定簇组成的)决定簇刺激机体,由一个B淋巴细胞接受该抗原刺激所产生的抗体称之为单克隆抗体。由多种抗原决定簇刺激机体,相应地就产生各种各样的单克隆抗体,这些单克隆抗体混杂在一起就是多克隆抗体;除了抗原决定簇的多样性以外,同样一种抗原决定簇,也可刺激机体产生IgG、IgM、IgA、IgE和IgD等五类抗体。
细胞角蛋白18抗体,现货供应,请询价
细胞角蛋白18抗体(C端),现货供应,请询价
细胞角蛋白17抗体,现货供应,请询价
细胞角蛋白16抗体,现货供应,请询价
细胞角蛋白15抗体,现货供应,请询价
细胞角蛋白14抗体,现货供应,请询价
细胞角蛋白12抗体,现货供应,请询价
细胞角蛋白10抗体,现货供应,请询价
IL17C polyclonal antibody用途人巨噬细胞集落刺激因子(M-CSF)ELISA试剂盒英文名称:Human Macrophage Colony-Stimulating Factor,M-CSF ELISA Kit 特价促销
人巨噬细胞来源的趋化因子(MDC/CCL22)ELISA试剂盒英文名称:Human Macrophage-Derived Chemokine,MDC ELISA Kit 进口/原装
人巨噬细胞趋化因子(MCF)ELISA试剂盒 英文名称:Human macrophage chemotatic factor,MCF ELISA Kit进口/原装
人巨噬细胞替代激活相关化学因子1(AmAC-1)ELISA试剂盒英文名称:Human Alternative macrophage activation-associated CC chemokine 1,AmAC-1 ELISA Kit进口/分装
人巨噬细胞炎性蛋白1α(MIP-1α/CCL3)ELISA试剂盒英文名称:Human Macrophage Inflammatory Protein-1α,MIP-1α ELISA Kit 特价供应
人巨噬细胞炎性蛋白1β(MIP-1β/CCL4)ELISA试剂盒 英文名称:Human Macrophage Inflammatory Protein-1β,MIP-1β ELISA Kit特价促销
产品名称: IL17C polyclonal antibody用途
反应性物种:Human
测试应用:WB; IHC
包装规格:100ul
价格和运输:详情可来电咨询。
IL17C polyclonal antibody用途结果判定:
⑴ 抗 Ig 的效价测定 琼脂扩散效价达 ⑵ 6 或 1﹕32 者为合格。
⑶ 纯度鉴定采用琼扩法。中间孔加抗 Ig 血清,外周孔加 Ig 和标准品 Ig,产生抗原决定簇。只针对一个抗原决定簇起作用的浆细胞群就是一个纯系。由一种克隆产生的特异性抗体叫做单克隆抗体。同一个抗原决定簇,在机体内也可以由好几种克隆来产生抗体,形成多克隆抗体。
IL17C polyclonal antibody用途多克隆抗体的概念:
由一种抗原(抗原通常是由多个抗原决定簇组成的)决定簇刺激机体,由一个B淋巴细胞接受该抗原刺激所产生的抗体称之为单克隆抗体。由多种抗原决定簇刺激机体,相应地就产生各种各样的单克隆抗体,这些单克隆抗体混杂在一起就是多克隆抗体;除了抗原决定簇的多样性以外,同样一种抗原决定簇,也可刺激机体产生IgG、IgM、IgA、IgE和IgD等五类抗体。
细胞角蛋白18抗体,现货供应,请询价
细胞角蛋白18抗体(C端),现货供应,请询价
细胞角蛋白17抗体,现货供应,请询价
细胞角蛋白16抗体,现货供应,请询价
细胞角蛋白15抗体,现货供应,请询价
细胞角蛋白14抗体,现货供应,请询价
细胞角蛋白12抗体,现货供应,请询价
细胞角蛋白10抗体,现货供应,请询价
IL17C polyclonal antibody用途人巨噬细胞集落刺激因子(M-CSF)ELISA试剂盒英文名称:Human Macrophage Colony-Stimulating Factor,M-CSF ELISA Kit 特价促销
人巨噬细胞来源的趋化因子(MDC/CCL22)ELISA试剂盒英文名称:Human Macrophage-Derived Chemokine,MDC ELISA Kit 进口/原装
人巨噬细胞趋化因子(MCF)ELISA试剂盒 英文名称:Human macrophage chemotatic factor,MCF ELISA Kit进口/原装
人巨噬细胞替代激活相关化学因子1(AmAC-1)ELISA试剂盒英文名称:Human Alternative macrophage activation-associated CC chemokine 1,AmAC-1 ELISA Kit进口/分装
人巨噬细胞炎性蛋白1α(MIP-1α/CCL3)ELISA试剂盒英文名称:Human Macrophage Inflammatory Protein-1α,MIP-1α ELISA Kit 特价供应
人巨噬细胞炎性蛋白1β(MIP-1β/CCL4)ELISA试剂盒 英文名称:Human Macrophage Inflammatory Protein-1β,MIP-1β ELISA Kit特价促销
风险提示:丁香通仅作为第三方平台,为商家信息发布提供平台空间。用户咨询产品时请注意保护个人信息及财产安全,合理判断,谨慎选购商品,商家和用户对交易行为负责。对于医疗器械类产品,请先查证核实企业经营资质和医疗器械产品注册证情况。
技术资料暂无技术资料 索取技术资料
IL17C polyclonal antibody用途
询价









