相关产品推荐更多 >
万千商家帮你免费找货
0 人在求购买到急需产品
- 详细信息
- 文献和实验
- 技术资料
- 供应商:
上海康朗生物科技有限公司
- 库存:
大量
- 目录编号:
kl-7539R
- 克隆性:
多克隆
- 抗原来源:
Rabbit
- 保质期:
12个月
- 抗体英文名:
AT2A1/SERCA1 ATPase antibody
- 抗体名:
肌浆网钙ATP酶1/内质网钙ATP酶1抗体
- 宿主:
Rabbit
- 适应物种:
Human, Mouse, Rat, Dog, Cow, Horse, Rabbit, Sheep,
- 免疫原:
KLH conjugated synthetic peptide derived from human SERCA1 ATPase:101-200/1001
- 亚型:
IgG
- 形态:
冻干粉或液体
- 应用范围:
WB=1:500-2000 ELISA=1:500-1000 IHC-P=1:400-800 IHC-F=1:400-800 IF=1:100-500
- 浓度:
1mg/ml
- 保存条件:
-20 °C
- 规格:
100ul 200ul
| 中文名称 | 肌浆网钙ATP酶1/内质网钙ATP酶1抗体 |
| 别 名 | fast twitch skeletal muscle isoform; AT2A1_HUMAN; ATP2A; ATP2A1; ATPase Ca++ transporting cardiac muscle fast twitch 1; ATPase Ca++ transporting fast twitch 1; ATPase, Ca(2+)-transporting fast twitch 1; Calcium pump 1; Calcium transporting ATPase sarcoplasmic reticulum type fast twitch skeletal muscle isoform; Calcium-transporting ATPase sarcoplasmic reticulum type; EC 3.6.3.8; Endoplasmic reticulum class 1/2 Ca(2+) ATPase; Fast skeletal muscle SR calcium ATPase; OTTHUMP00000162561; OTTHUMP00000162562; Sarcoendoplasmic reticulum calcium ATPase; Sarcoplasmic reticulum Ca(2+)-ATPase 1; Ca-ATPpase; Sarcoplasmic/endoplasmic reticulum calcium ATPase 1; SERCA 1; SERCA1; SERCA1 truncated isoform, included; SR Ca(2+) ATPase 1; SR Ca(2+)-ATPase 1. |
| 规格价格 | 100ul/1380元 购买 200ul/2200元 购买 大包装/询价 |
| 说 明 书 | 100ul 200ul |
| 研究领域 | 心血管 细胞生物 信号转导 转录调节因子 通道蛋白 |
| 抗体来源 | Rabbit |
| 克隆类型 | Polyclonal |
| 交叉反应 | Human, Mouse, Rat, Dog, Cow, Horse, Rabbit, Sheep, |
| 产品应用 | WB=1:500-2000 ELISA=1:500-1000 IHC-P=1:400-800 IHC-F=1:400-800 IF=1:100-500 (石蜡切片需做抗原修复) not yet tested in other applications. optimal dilutions/concentrations should be determined by the end user. |
| 分 子 量 | 110kDa |
| 细胞定位 | 细胞浆 细胞膜 |
| 性 状 | Lyophilized or Liquid |
| 浓 度 | 1mg/ml |
| 免 疫 原 | KLH conjugated synthetic peptide derived from human SERCA1 ATPase:101-200/1001 |
| 亚 型 | IgG |
| 纯化方法 | affinity purified by Protein A |
| 储 存 液 | 0.01M TBS(pH7.4) with 1% BSA, 0.03% Proclin300 and 50% Glycerol. |
| 保存条件 | Store at -20 °C for one year. Avoid repeated freeze/thaw cycles. The lyophilized antibody is stable at room temperature for at least one month and for greater than a year when kept at -20°C. When reconstituted in sterile pH 7.4 0.01M PBS or diluent of antibody the antibody is stable for at least two weeks at 2-4 °C. |
| PubMed | PubMed |
| 产品介绍 | background: This magnesium-dependent enzyme catalyzes the hydrolysis of ATP coupled with the translocation of calcium from the cytosol to the sarcoplasmic reticulum lumen. Contributes to calcium sequestration involved in muscular excitation/contraction. Function: This magnesium-dependent enzyme catalyzes the hydrolysis of ATP coupled with the translocation of calcium from the cytosol to the sarcoplasmic reticulum lumen. Contributes to calcium sequestration involved in muscular excitation/contraction. Subunit: Associated with sarcolipin (SLN) and phospholamban (PLN) (By similarity). Subcellular Location: Endoplasmic reticulum membrane; Multi-pass membrane protein. Sarcoplasmic reticulum membrane; Multi-pass membrane protein. Tissue Specificity: Skeletal muscle, fast twitch muscle (type II) fibers. DISEASE: Defects in ATP2A1 are the cause of Brody myopathy (BRM) [MIM:601003]. An autosomal recessive myopathy characterized by increasing impairment of relaxation of fast twist skeletal muscle during exercise. Similarity: Belongs to the cation transport ATPase (P-type) (TC 3.A.3) family. Type IIA subfamily. SWISS: O14983 Gene ID: 487 Database links: Entrez Gene: 518117 Cow Entrez Gene: 487 Human Entrez Gene: 11937 Mouse Entrez Gene: 100037716 Rabbit Entrez Gene: 116601 Rat Omim: 108730 Human SwissProt: Q0VCY0 Cow SwissProt: O14983 Human SwissProt: Q8R429 Mouse SwissProt: P04191 Rabbit SwissProt: Q64578 Rat Unigene: 657344 Human Unigene: 35134 Mouse Unigene: 217139 Rat Important Note: This product as supplied is intended for research use only, not for use in human, therapeutic or diagnostic applications. |
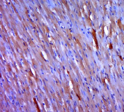
| 产品图片 | ![]() Paraformaldehyde-fixed, paraffin embedded (rat heart tissue); Antigen retrieval by boiling in sodium citrate buffer (pH6.0) for 15min; Block endogenous peroxidase by 3% hydrogen peroxide for 20 minutes; Blocking buffer (normal goat serum) at 37°C for 30min; Antibody incubation with (AT2A1) Polyclonal Antibody, Unconjugated (bs-7539R) at 1:400 overnight at 4°C, followed by a conjugated secondary (sp-0023) for 20 minutes and DAB staining. |
风险提示:丁香通仅作为第三方平台,为商家信息发布提供平台空间。用户咨询产品时请注意保护个人信息及财产安全,合理判断,谨慎选购商品,商家和用户对交易行为负责。对于医疗器械类产品,请先查证核实企业经营资质和医疗器械产品注册证情况。
文献和实验where the protein is located. In this example, we will use antibodies for the calcium ATPase, or pump, that is located in the endoplasmic reticulum (ER) of very cell. The antibody used here only recognized the chicken calcium ATPase but immunofluorescence
[资源] 所有的看家基因(housekeeping genes)列表+引物设计服务
NM_004515 Homo sapiens interleukin enhancer binding factor 2, 45kDa (ILF2), mRNA 1000 NM_004651 Homo sapiens ubiquitin specific protease 11 (USP11), mRNA 1950 NM_004888 Homo sapiens ATPase, H+ transporting, lysosomal 13kDa, V1 subunit G isoform
Determination of Muscle Fiber Type in Rodents
, Inc. Keywords: SDH; ATPase; myosin; oxidative enzymes; muscle fiber type GO TO THE FULL PROTOCOL: PDF or HTML at Wiley Online Library
技术资料暂无技术资料 索取技术资料










