相关产品推荐更多 >
万千商家帮你免费找货
0 人在求购买到急需产品
- 详细信息
- 文献和实验
- 技术资料
- 供应商:
上海康朗生物科技有限公司
- 库存:
大量
- 目录编号:
kl-7040R
- 克隆性:
多克隆
- 抗原来源:
Rabbit
- 保质期:
12个月
- 抗体英文名:
Kidins220 antibody
- 抗体名:
220kDa蛋白激酶D相互作用蛋白抗体
- 宿主:
Rabbit
- 适应物种:
Human, Mouse, Rat, Cow, Rabbit,
- 免疫原:
KLH conjugated synthetic peptide derived from human Kidins220:651-750/1771 <Cytoplasmic>
- 亚型:
IgG
- 形态:
冻干粉或液体
- 应用范围:
ELISA=1:500-1000 IHC-P=1:400-800 IHC-F=1:400-800 Flow-Cyt=1ug/Test IF=1:100-500
- 浓度:
1mg/ml
- 保存条件:
-20 °C
- 规格:
100ul 200ul
| 中文名称 | 220kDa蛋白激酶D相互作用蛋白抗体 |
| 别 名 | Ankyrin repeat-rich membrane-spanning protein; arms; KDIS_HUMAN; Kidins220; Kinase D interacting substance of 220 kDa; Kinase D-interacting substrate of 220 kDa; rgd 619949. |
| 规格价格 | 100ul/1380元 购买 200ul/2200元 购买 大包装/询价 |
| 说 明 书 | 100ul 200ul |
| 研究领域 | 心血管 细胞生物 神经生物学 信号转导 细胞凋亡 转录调节因子 激酶和磷酸酶 细胞膜受体 |
| 抗体来源 | Rabbit |
| 克隆类型 | Polyclonal |
| 交叉反应 | Human, Mouse, Rat, Cow, Rabbit, |
| 产品应用 | ELISA=1:500-1000 IHC-P=1:400-800 IHC-F=1:400-800 Flow-Cyt=1ug/Test IF=1:100-500 (石蜡切片需做抗原修复) not yet tested in other applications. optimal dilutions/concentrations should be determined by the end user. |
| 分 子 量 | 196kDa |
| 细胞定位 | 细胞膜 |
| 性 状 | Lyophilized or Liquid |
| 浓 度 | 1mg/ml |
| 免 疫 原 | KLH conjugated synthetic peptide derived from human Kidins220:651-750/1771 <Cytoplasmic> |
| 亚 型 | IgG |
| 纯化方法 | affinity purified by Protein A |
| 储 存 液 | 0.01M TBS(pH7.4) with 1% BSA, 0.03% Proclin300 and 50% Glycerol. |
| 保存条件 | Store at -20 °C for one year. Avoid repeated freeze/thaw cycles. The lyophilized antibody is stable at room temperature for at least one month and for greater than a year when kept at -20°C. When reconstituted in sterile pH 7.4 0.01M PBS or diluent of antibody the antibody is stable for at least two weeks at 2-4 °C. |
| PubMed | PubMed |
| 产品介绍 | background: Promotes a prolonged MAP-kinase signaling by neurotrophins through activation of a Rap1-dependent mechanism. Provides a docking site for the CRKL-C3G complex, resulting in Rap1-dependent sustained ERK activation. May play an important role in regulating postsynaptic signal transduction through the syntrophin-mediated localization of receptor tyrosine kinases such as EPHA4. In cooperation with SNTA1 can enhance EPHA4-induced JAK/STAT activation. May play a role in neurotrophin- and ephrin-mediated neuronal outgrowth and in axon guidance during neural development and in neuronal regeneration (By similarity). Modulates stress-induced apoptosis of melanoma cells via regulation of the MEK/ERK signaling pathway. Function: Promotes a prolonged MAP-kinase signaling byneurotrophins through activation of a Rap1-dependent mechanism.Provides a docking site for the CRKL-C3G complex, resulting inRap1-dependent sustained ERK activation. May play an important rolein regulating postsynaptic signal transduction through thesyntrophin-mediated localization of receptor tyrosine kinases suchas EPHA4. In cooperation with SNTA1 can enhance EPHA4-inducedJAK/STAT activation. May play a role in neurotrophin- andephrin-mediated neuronal outgrowth and in axon guidance duringneural development and in neuronal regeneration (By similarity).Modulates stress-induced apoptosis of melanoma cells via regulationof the MEK/ERK signaling pathway. Subunit: Interacts with NTRK1, NTRK2, NTRK3, ERKL and NGFR. Can form a ternary complex with NGFR and NTRK1 and this complex is affected by the expression levels of KIDINS220/ARMS. An increase in KIDINS220/ARMS expression leads to a decreased association of NGFR and NTRK1. Interacts with SNTA1 and SNTB2 and binds to their PDZ domains. Interacts with EPHA4 and PRKD1. Subcellular Location: Membrane; Multi-pass membrane protein (Potential). Tissue Specificity: Expressed in developing nervous system and in highly plastic areas of the adult brain. Also expressed in neuroendocrine cells, where it concentrates at the tip of neurites. Expressed in developing muscle and is concentrated at the neuromuscular junction (NMS). SNTA1 can regulate its localization in the NMS. Post-translational modifications: Tyrosine phosphorylated by NTRK1, NTRK2, EPHB2 and EPHA4.Phosphorylation at Ser-918 is induced by phorbol ester treatment.Phosphorylation by NTRK2 is induced by brain-derived neurotrophicfactor (BDNF) and neurotrophin-4/5. Phosphorylation by NTRK1 isinduced by nerve growth factor (NGF) (By similarity). Similarity: Contains 12 ANK repeats. Contains 1 KAP NTPase domain. SWISS: Q9ULH0 Gene ID: 57498 Database links: Entrez Gene: 57498 Human Entrez Gene: 77480 Mouse Entrez Gene: 116478 Rat SwissProt: Q9ULH0 Human SwissProt: Q9EQG6 Rat Unigene: 9873 Human Unigene: 250641 Mouse Unigene: 21470 Rat Important Note: This product as supplied is intended for research use only, not for use in human, therapeutic or diagnostic applications. |
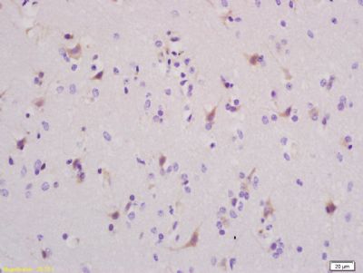
| 产品图片 | ![]() Tissue/cell: rat brain tissue; 4% Paraformaldehyde-fixed and paraffin-embedded; Antigen retrieval: citrate buffer ( 0.01M, pH 6.0 ), Boiling bathing for 15min; Block endogenous peroxidase by 3% Hydrogen peroxide for 30min; Blocking buffer (normal goat serum,C-0005) at 37℃ for 20 min; Incubation: Anti-Kidins220 Polyclonal Antibody, Unconjugated(bs-7040R) 1:200, overnight at 4°C, followed by conjugation to the secondary antibody(SP-0023) and DAB(C-0010) staining ![]() Blank control(blue): RSC96 (fixed with 2% paraformaldehyde (10 min)). Primary Antibody:Rabbit Anti- Kidins220 antibody(bs-7040R), Dilution: 1μg in 100 μL 1X PBS containing 0.5% BSA; Isotype Control Antibody: Rabbit IgG(orange) ,used under the same conditions ); Secondary Antibody: Goat anti-rabbit IgG-PE(white blue), Dilution: 1:200 in 1 X PBS containing 0.5% BSA. ![]() Blank control: Hela(blue), the cells were fixed with 2% paraformaldehyde (10 min). Isotype Control Antibody: Rabbit IgG(orange) ; Secondary Antibody: Goat anti-rabbit IgG-FITC(white blue), Dilution: 1:100 in 1 X PBS containing 0.5% BSA ; Primary Antibody Dilution: 1μg in 100 μL1X PBS containing 0.5% BSA(green). |
风险提示:丁香通仅作为第三方平台,为商家信息发布提供平台空间。用户咨询产品时请注意保护个人信息及财产安全,合理判断,谨慎选购商品,商家和用户对交易行为负责。对于医疗器械类产品,请先查证核实企业经营资质和医疗器械产品注册证情况。
文献和实验Generation of Antibody Molecules Through Antibody Engineering
been overcome to a large extent using genetic-engineering techniques to produce chimeric mouse/human and completely human antibodies. Such an approach is particularly suitable because of the domain structure of the antibody molecule ( 2 ), where functional
The importance of antibody molecules was first recognized in the 1890s, when it was shown that immunity to tetanus and diphtheria was caused by antibodies against the bacterial exotoxins (1 ). Around the same time, it was shown that antisera
General comments: Antibodies, like most proteins, do not like to be freeze-thawed. Avoid repetitive freezing of your solution. The best way to store your antibody is to keep a high protein concentration (>1 mg/ml), add some protease
技术资料暂无技术资料 索取技术资料













