相关产品推荐更多 >
万千商家帮你免费找货
0 人在求购买到急需产品
- 详细信息
- 技术资料
- 供应商:
上海康朗生物科技有限公司
- 库存:
大量
- 目录编号:
kl-6815R
- 克隆性:
多克隆
- 抗原来源:
Rabbit
- 保质期:
12个月
- 抗体英文名:
LRRC15 antibody
- 抗体名:
富含亮氨酸重复蛋白15抗体
- 宿主:
Rabbit
- 适应物种:
Human, Mouse, Rat, Dog, Pig, Cow, Horse, Rabbit, Sheep,
- 免疫原:
KLH conjugated synthetic peptide derived from human LRRC15:251-350/581 <Extracellular>
- 亚型:
IgG
- 形态:
冻干粉或液体
- 应用范围:
WB=1:500-2000 ELISA=1:500-1000 IHC-P=1:400-800 IHC-F=1:400-800 ICC=1:100-500 IF=1:100-500
- 浓度:
1mg/ml
- 保存条件:
-20 °C
- 规格:
100ul 200ul
LRRC15 antibody
| 中文名称 | 富含亮氨酸重复蛋白15抗体 |
| 别 名 | Leucine-rich repeat-containing protein 15; LIB; LRC15_HUMAN. |
| 规格价格 | 100ul/1380元 购买 200ul/2200元 购买 大包装/询价 |
| 说 明 书 | 100ul 200ul |
| 研究领域 | 肿瘤 神经生物学 信号转导 肿瘤细胞生物标志物 Alzheimer's |
| 抗体来源 | Rabbit |
| 克隆类型 | Polyclonal |
| 交叉反应 | Human, Mouse, Rat, Dog, Pig, Cow, Horse, Rabbit, Sheep, |
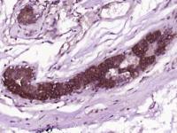
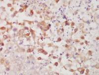
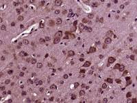
| 产品应用 | WB=1:500-2000 ELISA=1:500-1000 IHC-P=1:400-800 IHC-F=1:400-800 ICC=1:100-500 IF=1:100-500 (石蜡切片需做抗原修复) not yet tested in other applications. optimal dilutions/concentrations should be determined by the end user. |
| 分 子 量 | 62kDa |
| 细胞定位 | 细胞膜 |
| 性 状 | Lyophilized or Liquid |
| 浓 度 | 1mg/ml |
| 免 疫 原 | KLH conjugated synthetic peptide derived from human LRRC15:251-350/581 <Extracellular> |
| 亚 型 | IgG |
| 纯化方法 | affinity purified by Protein A |
| 储 存 液 | 0.01M TBS(pH7.4) with 1% BSA, 0.03% Proclin300 and 50% Glycerol. |
| 保存条件 | Store at -20 °C for one year. Avoid repeated freeze/thaw cycles. The lyophilized antibody is stable at room temperature for at least one month and for greater than a year when kept at -20°C. When reconstituted in sterile pH 7.4 0.01M PBS or diluent of antibody the antibody is stable for at least two weeks at 2-4 °C. |
| PubMed | PubMed |
| 产品介绍 | background: LRRC15 may contribute to regulation of cell-matrix adhesion interactions with respect to astrocyte recruitment around senile plaques in Alzheimer's disease brain. LRRC15 is induced by EWS-WT1(+KTS) in the tumor DSRCT and may play a role in cellular invasion. Function: LRRC15 may contribute to regulation of cell-matrix adhesion interactions with respect to astrocyte recruitment around senile plaques in Alzheimer's disease brain. LRRC15 is induced by EWS-WT1(+KTS) in the tumor DSRCT and may play a role in cellular invasion. Subcellular Location: Membrane; Single-pass type I membrane protein (Potential) Tissue Specificity: Brain and placenta. Similarity: Contains 15 LRR (leucine-rich) repeats. Contains 1 LRRCT domain. Contains 1 LRRNT domain. SWISS: Q8TF66 Gene ID: 131578 Database links: UniProtKB/Swiss-Prot: Q8TF66.2 Important Note: This product as supplied is intended for research use only, not for use in human, therapeutic or diagnostic applications. |
| 产品图片 | ![]() Sample: Intestine (Mouse) Lysate at 40 ug Primary: Anti-LRRC15 (bs-6815R) at 1/300 dilution Secondary: IRDye800CW Goat Anti-Rabbit IgG at 1/20000 dilution Predicted band size: 62 kD Observed band size: 62 kD |
风险提示:丁香通仅作为第三方平台,为商家信息发布提供平台空间。用户咨询产品时请注意保护个人信息及财产安全,合理判断,谨慎选购商品,商家和用户对交易行为负责。对于医疗器械类产品,请先查证核实企业经营资质和医疗器械产品注册证情况。
技术资料暂无技术资料 索取技术资料
LRRC15 antibody
¥1380 - 2200










