相关产品推荐更多 >
万千商家帮你免费找货
0 人在求购买到急需产品
- 详细信息
- 技术资料
- 供应商:
上海联迈生物工程有限公司
- 库存:
大量
- 目录编号:
LM-1428R
- 克隆性:
多克隆
- 抗原来源:
Rabbit
- 保质期:
1年
- 抗体英文名:
Claudin 1
- 抗体名:
紧密连接蛋白1抗体
- 宿主:
Rabbit
- 适应物种:
Human, Mouse, Rat,
- 免疫原:
KLH conjugated synthetic peptide derived from mouse Claudin 1:121-211/211 <Cytoplasmic>
- 亚型:
IgG
- 形态:
Lyophilized or Liquid
- 应用范围:
WB=1:500-2000 ELISA=1:500-1000 IHC-P=1:400-800 IHC-F=1:400-800 Flow-Cyt=1µg/Test IF=1:100-500 (石蜡切片需做抗原修复)
- 浓度:
1mg/ml
- 保存条件:
Store at -20 °C
- 规格:
50ul 100ul 200ul
Claudin 1紧密连接蛋白1抗体
| 英文名称 | Claudin 1 |
| 中文名称 | 紧密连接蛋白1抗体 |
| 别 名 | claudin; Claudin1; CLD 1; CLD1; CLDN 1; CLDN1; ILVASC; SEMP 1; SEMP1; Senescence associated epithelial membrane protein 1; Senescence associated epithelial membrane protein; CLD1_HUMAN. |
![]() |
Specific References (2) | bs-1428R has been referenced in 2 publications. [IF=3.68] Wang, Tao, et al. "Notch inhibition promotes fetal liver stem/progenitor cells differentiation into hepatocytes via the inhibition of HNF-1β." Cell and Tissue Research (2014): 1-12. WB ; Rat. PubMed:24737489 [IF=0.00] Garovic, Vesna D., and Muthuvel Jayachandran. "DETECTING PODOCYTE INJURY IN DIABETIC NEPHROPATHY AND GLOMERULONEPHRITIS." U.S. Patent No. 20,170,003,299. 5 Jan. 2017. Human. PubMed:0 |
| 规格价格 | 50ul/780元 购买 100ul/1380元 购买 200ul/2200元 购买 大包装/询价 |
| 说 明 书 | 50ul 100ul 200ul |
| 研究领域 | 肿瘤 免疫学 |
| 抗体来源 | Rabbit |
| 克隆类型 | Polyclonal |
| 交叉反应 | Human, Mouse, Rat, |
| 产品应用 | WB=1:500-2000 ELISA=1:500-1000 IHC-P=1:400-800 IHC-F=1:400-800 Flow-Cyt=1µg/Test IF=1:100-500 (石蜡切片需做抗原修复) not yet tested in other applications. optimal dilutions/concentrations should be determined by the end user. |
| 分 子 量 | 23kDa |
| 细胞定位 | 细胞膜 |
| 性 状 | Lyophilized or Liquid |
| 浓 度 | 1mg/ml |
| 免 疫 原 | KLH conjugated synthetic peptide derived from mouse Claudin 1:121-211/211 <Cytoplasmic> |
| 亚 型 | IgG |
| 纯化方法 | affinity purified by Protein A |
| 储 存 液 | 0.01M TBS(pH7.4) with 1% BSA, 0.03% Proclin300 and 50% Glycerol. |
| 保存条件 | Store at -20 °C for one year. Avoid repeated freeze/thaw cycles. The lyophilized antibody is stable at room temperature for at least one month and for greater than a year when kept at -20°C. When reconstituted in sterile pH 7.4 0.01M PBS or diluent of antibody the antibody is stable for at least two weeks at 2-4 °C. |
| PubMed | PubMed |
| 产品介绍 | background: Tight junctions represent one mode of cell-to-cell adhesion in epithelial or endothelial cell sheets, forming continuous seals around cells and serving as a physical barrier to prevent solutes and water from passing freely through the paracellular space. These junctions are comprised of sets of continuous networking strands in the outwardly facing cytoplasmic leaflet, with complementary grooves in the inwardly facing extracytoplasmic leaflet. The protein encoded by this gene, a member of the claudin family, is an integral membrane protein and a component of tight junction strands. Loss of function mutations result in neonatal ichthyosis-sclerosing cholangitis syndrome. [provided by RefSeq]. Function: Plays a major role in tight junction-specific obliteration of the intercellular space, through calcium-independent cell-adhesion activity. Subunit: Can form homo- and heteropolymers with other CLDN. Homopolymers interact with CLDN3, but not CLDN2, homopolymers. Directly interacts with TJP1/ZO-1, TJP2/ZO-2 and TJP3/ZO-3. Interacts with MPDZ and INADL. Subcellular Location: Cell junction, tight junction. Cell membrane; Multi-pass membrane protein. Tissue Specificity: Widely expressed, with highest levels in liver and kidney. Similarity: Belongs to the claudin family. SWISS: O88551 Gene ID: 9076 Database links: Entrez Gene: 9076 Human Entrez Gene: 12737 Mouse Entrez Gene: 65129 Rat Omim: 603718 Human SwissProt: O95832 Human SwissProt: O88551 Mouse SwissProt: P56745 Rat Unigene: 439060 Human Unigene: 289441 Mouse Unigene: 24293 Rat Important Note: This product as supplied is intended for research use only, not for use in human, therapeutic or diagnostic applications. Claudin 1蛋白是紧密连接区相关的转膜蛋白Claudin的家族成员,在构成紧密连接的完整膜蛋白中发挥着一定作用,目前多用于肿瘤方面的研究。 |
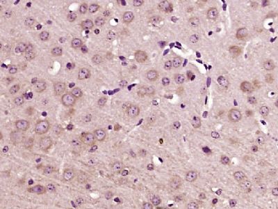
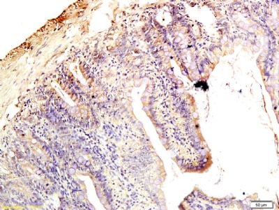
| 产品图片 | ![]() Sample: Kidney (Mouse) Lysate at 40 ug Primary: Anti-Claudin 1 (bs-1428R) at 1/1000 dilution Secondary: IRDye800CW Goat Anti-Rabbit IgG at 1/20000 dilution Predicted band size: 23 kD Observed band size: 23 kD ![]() Sample: HepG2(Human) Cell Lysate at 30 ug Primary: Anti-Claudin 1 (bs-1428R) at 1/1000 dilution Secondary: IRDye800CW Goat Anti-Rabbit IgG at 1/20000 dilution Predicted band size: 23 kD Observed band size: 23 kD ![]() Sample: A431(Human) Cell Lysate at 30 ug Primary: Anti-Claudin 1 (bs-1428R) at 1/1000 dilution Secondary: IRDye800CW Goat Anti-Rabbit IgG at 1/20000 dilution Predicted band size: 23 kD Observed band size: 23 kD ![]() Tissue/cell: rat intestine tissue; 4% Paraformaldehyde-fixed and paraffin-embedded; Antigen retrieval: citrate buffer ( 0.01M, pH 6.0 ), Boiling bathing for 15min; Block endogenous peroxidase by 3% Hydrogen peroxide for 30min; Blocking buffer (normal goat serum,C-0005) at 37℃ for 20 min; Incubation: Anti-Claudin-1 Polyclonal Antibody, Unconjugated(bs-1428R) 1:200, overnight at 4°C, followed by conjugation to the secondary antibody(SP-0023) and DAB(C-0010) staining ![]() Blank control: Raji(blue). Primary Antibody:Rabbit Anti-Claudin 1 antibody(bs-1428R), Dilution: 1μg in 100 μL 1X PBS containing 0.5% BSA; Isotype Control Antibody: Rabbit IgG(orange) ,used under the same conditions ); Secondary Antibody: Goat anti-rabbit IgG-PE(white blue), Dilution: 1:200 in 1 X PBS containing 0.5% BSA. Protocol The cells were fixed with 2% paraformaldehyde (10 min). Antibody (bs-1428R, 1μg /1x10^6 cells) were incubated for 30 min on the ice, followed by 1 X PBS containing 0.5% BSA + 1 0% goat serum (15 min) to block non-specific protein-protein interactions. Then the Goat Anti-rabbit IgG/PE antibody was added into the blocking buffer mentioned above to react with the primary antibody of bs-1428R at 1/200 dilution for 30 min on ice. Acquisition of 20,000 events was performed. |
风险提示:丁香通仅作为第三方平台,为商家信息发布提供平台空间。用户咨询产品时请注意保护个人信息及财产安全,合理判断,谨慎选购商品,商家和用户对交易行为负责。对于医疗器械类产品,请先查证核实企业经营资质和医疗器械产品注册证情况。
技术资料暂无技术资料 索取技术资料
Claudin 1紧密连接蛋白1抗体
¥780 - 2200















