相关产品推荐更多 >
万千商家帮你免费找货
0 人在求购买到急需产品
- 详细信息
- 技术资料
- 供应商:
上海联迈生物工程有限公司
- 库存:
大量
- 目录编号:
LM-1416R
- 克隆性:
多克隆
- 抗原来源:
Rabbit
- 保质期:
1年
- 抗体英文名:
AHR
- 抗体名:
芳香烃受体抗体
- 宿主:
Rabbit
- 适应物种:
Human, Mouse, Rat,
- 免疫原:
KLH conjugated synthetic peptide derived from human Aryl Hydrocarbon Receptor:10-120/948
- 亚型:
IgG
- 形态:
Lyophilized or Liquid
- 应用范围:
ELISA=1:500-1000 IHC-P=1:400-800 IHC-F=1:400-800 IF=1:100-500 (石蜡切片需做抗原修复)
- 浓度:
1mg/ml
- 保存条件:
Store at -20 °C
- 规格:
50ul 100ul 200ul
AHR芳香烃受体抗体
| 英文名称 | AHR |
| 中文名称 | 芳香烃受体抗体 |
| 别 名 | Ah receptor; AHR; Aromatic hydrocarbon receptor; Aryl hydrocarbon receptor; Aryl hydrocarbon receptor precursor; BHLHE76; Class E basic helix loop helix protein 76; HGNC:348; AHR_HUMAN. |
| 规格价格 | 50ul/780元 购买 100ul/1380元 购买 200ul/2200元 购买 大包装/询价 |
| 说 明 书 | 50ul 100ul 200ul |
| 研究领域 | 肿瘤 免疫学 信号转导 转录调节因子 |
| 抗体来源 | Rabbit |
| 克隆类型 | Polyclonal |
| 交叉反应 | Human, Mouse, Rat, |
| 产品应用 | ELISA=1:500-1000 IHC-P=1:400-800 IHC-F=1:400-800 IF=1:100-500 (石蜡切片需做抗原修复) not yet tested in other applications. optimal dilutions/concentrations should be determined by the end user. |
| 分 子 量 | 93kDa |
| 细胞定位 | 细胞核 细胞浆 |
| 性 状 | Lyophilized or Liquid |
| 浓 度 | 1mg/ml |
| 免 疫 原 | KLH conjugated synthetic peptide derived from human Aryl Hydrocarbon Receptor:10-120/948 |
| 亚 型 | IgG |
| 纯化方法 | affinity purified by Protein A |
| 储 存 液 | 0.01M TBS(pH7.4) with 1% BSA, 0.03% Proclin300 and 50% Glycerol. |
| 保存条件 | Store at -20 °C for one year. Avoid repeated freeze/thaw cycles. The lyophilized antibody is stable at room temperature for at least one month and for greater than a year when kept at -20°C. When reconstituted in sterile pH 7.4 0.01M PBS or diluent of antibody the antibody is stable for at least two weeks at 2-4 °C. |
| PubMed | PubMed |
| 产品介绍 | background: This gene encodes a ligand-activated transcription factor involved in the regulation of biological responses to planar aromatic hydrocarbons. This receptor has been shown to regulate xenobiotic-metabolizing enzymes such as cytochrome P450. Its ligands included a variety of aromatic hydrocarbons. Function: Ligand-activated transcriptional activator. Binds to the XRE promoter region of genes it activates. Activates the expression of multiple phase I and II xenobiotic chemical metabolizing enzyme genes (such as the CYP1A1 gene). Mediates biochemical and toxic effects of halogenated aromatic hydrocarbons. Involved in cell-cycle regulation. Likely to play an important role in the development and maturation of many tissues. Subcellular Location: Cytoplasm. Nucleus. Initially cytoplasmic; upon binding with ligand and interaction with a HSP90, it translocates to the nucleus. Tissue Specificity: Expressed in all tissues tested including blood, brain, heart, kidney, liver, lung, pancreas and skeletal muscle. Similarity: Contains 1 basic helix-loop-helix (bHLH) domain. Contains 1 PAC (PAS-associated C-terminal) domain. Contains 2 PAS (PER-ARNT-SIM) domains. SWISS: P35869 Gene ID: 196 Database links: Entrez Gene: 196 Human Entrez Gene: 11622 Mouse Entrez Gene: 25690 Rat Omim: 600253 Human SwissProt: P35869 Human SwissProt: P30561 Mouse SwissProt: P41738 Rat Unigene: 171189 Human Unigene: 341377 Mouse Unigene: 91370 Rat Important Note: This product as supplied is intended for research use only, not for use in human, therapeutic or diagnostic applications. 转录调节因子(Transcriptin Regulators) 芳香烃受体(AHR)是一种配体激活转录因子,可介导多环芳烃类化合物的毒性(包括致癌性)反应,还参与一些重要的生物学过程,如信号转导、细胞分化、细胞凋亡等。人体的肺、肝、肾、胎盘、腭扁桃体、B淋巴细胞等各种组织和细胞中都存在AHR。AHR对生长发育和生理功能等具有调控作用,在一些癌症(乳腺癌和卵巢癌等)发生发展中起促进作用。 |
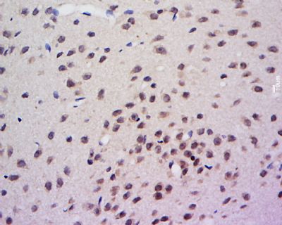
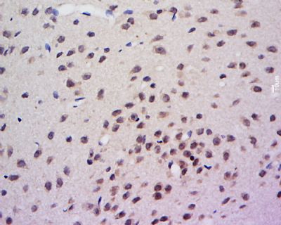
| 产品图片 | ![]() Tissue/cell: human lung carcinoma; 4% Paraformaldehyde-fixed and paraffin-embedded; Antigen retrieval: citrate buffer ( 0.01M, pH 6.0 ), Boiling bathing for 15min; Block endogenous peroxidase by 3% Hydrogen peroxide for 30min; Blocking buffer (normal goat serum,C-0005) at 37℃ for 20 min; Incubation: Anti-AHR Polyclonal Antibody, Unconjugated(bs-1416R) 1:200, overnight at 4°C, followed by conjugation to the secondary antibody(SP-0023) and DAB(C-0010) staining ![]() Tissue/cell: Rat brain tissue; 4% Paraformaldehyde-fixed and paraffin-embedded; Antigen retrieval: citrate buffer ( 0.01M, pH 6.0 ), Boiling bathing for 15min; Block endogenous peroxidase by 3% Hydrogen peroxide for 30min; Blocking buffer (normal goat serum,C-0005) at 37℃ for 20 min; Incubation: Anti-AHR Polyclonal Antibody, Unconjugated(bs-1416R) 1:200, overnight at 4°C, followed by conjugation to the secondary antibody(SP-0023) and DAB(C-0010) staining |
风险提示:丁香通仅作为第三方平台,为商家信息发布提供平台空间。用户咨询产品时请注意保护个人信息及财产安全,合理判断,谨慎选购商品,商家和用户对交易行为负责。对于医疗器械类产品,请先查证核实企业经营资质和医疗器械产品注册证情况。
技术资料暂无技术资料 索取技术资料
AHR芳香烃受体抗体
¥780 - 2200











