相关产品推荐更多 >
万千商家帮你免费找货
0 人在求购买到急需产品
- 详细信息
- 技术资料
- 供应商:
上海联迈生物工程有限公司
- 库存:
大量
- 目录编号:
LM-13873R
- 克隆性:
多克隆
- 抗原来源:
Rabbit
- 保质期:
1年
- 抗体英文名:
CFC1
- 抗体名:
内脏移位线管蛋白CFC1蛋白抗体
- 宿主:
Rabbit
- 适应物种:
Human
- 免疫原:
KLH conjugated synthetic peptide derived from human CFC1:1-100/223
- 亚型:
IgG
- 形态:
Lyophilized or Liquid
- 应用范围:
WB=1:500-2000 ELISA=1:500-1000 IHC-P=1:400-800 IHC-F=1:400-800 ICC=1:100-500 IF=1:100-500 (石蜡切片需做抗原修复)
- 浓度:
1mg/ml
- 保存条件:
Store at -20 °C
- 规格:
100ul 200ul
CFC1内脏移位线管蛋白CFC1蛋白抗体
| 英文名称 | CFC1 |
| 中文名称 | 内脏移位线管蛋白CFC1蛋白抗体 |
| 别 名 | CFC 1; CFC1; CFC1_HUMAN; CFC1B; CR 1; Cripto 1; Cripto; Cripto FRL 1 cryptic family 1; CRYPTIC; Cryptic family 1; Cryptic family protein 1; Cryptic gene; Cryptic protein; DTGA2; FLJ77897; FRL 1; HTX2; MGC133213. |
| 规格价格 | 100ul/1380元 购买 200ul/2200元 购买 大包装/询价 |
| 说 明 书 | 100ul 200ul |
| 研究领域 | 细胞生物 发育生物学 信号转导 生长因子和激素 |
| 抗体来源 | Rabbit |
| 克隆类型 | Polyclonal |
| 交叉反应 | Human, |
| 产品应用 | WB=1:500-2000 ELISA=1:500-1000 IHC-P=1:400-800 IHC-F=1:400-800 ICC=1:100-500 IF=1:100-500 (石蜡切片需做抗原修复) not yet tested in other applications. optimal dilutions/concentrations should be determined by the end user. |
| 分 子 量 | 15kDa |
| 细胞定位 | 细胞膜 分泌型蛋白 |
| 性 状 | Lyophilized or Liquid |
| 浓 度 | 1mg/ml |
| 免 疫 原 | KLH conjugated synthetic peptide derived from human CFC1:1-100/223 |
| 亚 型 | IgG |
| 纯化方法 | affinity purified by Protein A |
| 储 存 液 | 0.01M TBS(pH7.4) with 1% BSA, 0.03% Proclin300 and 50% Glycerol. |
| 保存条件 | Store at -20 °C for one year. Avoid repeated freeze/thaw cycles. The lyophilized antibody is stable at room temperature for at least one month and for greater than a year when kept at -20°C. When reconstituted in sterile pH 7.4 0.01M PBS or diluent of antibody the antibody is stable for at least two weeks at 2-4 °C. |
| PubMed | PubMed |
| 产品介绍 | background: This gene encodes a member of the epidermal growth factor (EGF)- Cripto, Frl-1, and Cryptic (CFC) family, which are involved in signalling during embryonic development. Proteins in this family share a variant EGF-like motif, a conserved cysteine-rich domain, and a C-terminal hydrophobic region. The protein encoded by this gene is necessary for patterning the left-right embryonic axis. Mutations in this gene are associated with defects in organ development, including autosomal visceral heterotaxy and congenital heart disease. Alternatively spliced transcript variants encoding multiple isoforms have been observed for this gene. [provided by RefSeq, Jul 2012] Function: NODAL coreceptor involved in the correct establishment of the left-right axis. May play a role in mesoderm and/or neural patterning during gastrulation. Subcellular Location: Cell membrane. Secreted. Does not exhibit a typical GPI-signal sequence. The C-ter hydrophilic extension of the GPI-signal sequence reduces the efficiency of processing and could lead to the production of an secreted unprocessed form. This extension is found only in primates. Post-translational modifications: N-glycosylated. DISEASE: Heterotaxy, visceral, 2, autosomal (HTX2) [MIM:605376]: A form of visceral heterotaxy, a complex disorder due to disruption of the normal left-right asymmetry of the thoracoabdominal organs. Visceral heterotaxy or situs ambiguus results in randomization of the placement of visceral organs, including the heart, lungs, liver, spleen, and stomach. The organs are oriented randomly with respect to the left-right axis and with respect to one another. It can been associated with variety of congenital defects including cardiac malformations. Note=The disease is caused by mutations affecting the gene represented in this entry. Transposition of the great arteries dextro-looped 2 (DTGA2) [MIM:613853]: A congenital heart defect consisting of complete inversion of the great vessels, so that the aorta incorrectly arises from the right ventricle and the pulmonary artery incorrectly arises from the left ventricle. This creates completely separate pulmonary and systemic circulatory systems, an arrangement that is incompatible with life. The presence or absence of associated cardiac anomalies defines the clinical presentation and surgical management of patients with transposition of the great arteries. Note=The disease is caused by mutations affecting the gene represented in this entry. Conotruncal heart malformations (CTHM) [MIM:217095]: A group of congenital heart defects involving the outflow tracts. Examples include truncus arteriosus communis, double-outlet right ventricle and transposition of great arteries. Truncus arteriosus communis is characterized by a single outflow tract instead of a separate aorta and pulmonary artery. In transposition of the great arteries, the aorta arises from the right ventricle and the pulmonary artery from the left ventricle. In double outlet of the right ventricle, both the pulmonary artery and aorta arise from the right ventric Similarity: Contains 1 EGF-like domain. SWISS: P0CG37 Gene ID: 55997 Database links: Entrez Gene: 55997 Human Entrez Gene: 12627 Mouse Entrez Gene: 501121 Rat Omim: 605194 Human SwissProt: P0CG37 Human SwissProt: P97766 Mouse Unigene: 567542 Human Unigene: 2531 Mouse Unigene: 47635 Rat Important Note: This product as supplied is intended for research use only, not for use in human, therapeutic or diagnostic applications. |
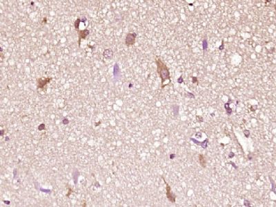
| 产品图片 | ![]() Protein: Hela(human) lysate at 40ug; Primary: rabbit Anti-CFC1 (bs-13873R) at 1:300; Secondary: HRP conjugated Goat-Anti-rabbit IgG(bs-0295G-HRP) at 1: 5000; Predicted band size: 15 kD Observed band size: 15 kD ![]() Paraformaldehyde-fixed, paraffin embedded (Human glioma); Antigen retrieval by boiling in sodium citrate buffer (pH6.0) for 15min; Block endogenous peroxidase by 3% hydrogen peroxide for 20 minutes; Blocking buffer (normal goat serum) at 37°C for 30min; Antibody incubation with (CFC1) Polyclonal Antibody, Unconjugated (bs-13873R) at 1:400 overnight at 4°C, followed by operating according to SP Kit(Rabbit) (sp-0023) instructionsand DAB staining. |
风险提示:丁香通仅作为第三方平台,为商家信息发布提供平台空间。用户咨询产品时请注意保护个人信息及财产安全,合理判断,谨慎选购商品,商家和用户对交易行为负责。对于医疗器械类产品,请先查证核实企业经营资质和医疗器械产品注册证情况。
技术资料暂无技术资料 索取技术资料
CFC1内脏移位线管蛋白CFC1蛋白抗体
¥1380 - 2200











