相关产品推荐更多 >
万千商家帮你免费找货
0 人在求购买到急需产品
- 详细信息
- 文献和实验
- 技术资料
- 供应商:
上海联迈生物工程有限公司
- 库存:
大量
- 目录编号:
LM-13850R
- 克隆性:
多克隆
- 抗原来源:
Rabbit
- 保质期:
1年
- 抗体英文名:
CEP120
- 抗体名:
中心体蛋白CEP120抗体
- 宿主:
Rabbit
- 适应物种:
Human, Mouse, Rat,
- 免疫原:
KLH conjugated synthetic peptide derived from human CEP120:351-450/986
- 亚型:
IgG
- 形态:
Lyophilized or Liquid
- 应用范围:
WB=1:500-2000 ELISA=1:500-1000 IHC-P=1:400-800 IHC-F=1:400-800 ICC=1:100-500 IF=1:100-500 (石蜡切片需做抗原修复)
- 浓度:
1mg/ml
- 保存条件:
Store at -20 °C
- 规格:
100ul 200ul
| 英文名称 | CEP120 |
| 中文名称 | 中心体蛋白CEP120抗体 |
| 别 名 | CCDC100; CE120_HUMAN; Centrosomal protein of 120 kDa; Cep120; Coiled-coil domain-containing protein 100. |
| 规格价格 | 100ul/1380元 购买 200ul/2200元 购买 大包装/询价 |
| 说 明 书 | 100ul 200ul |
| 研究领域 | 细胞生物 神经生物学 信号转导 表观遗传学 |
| 抗体来源 | Rabbit |
| 克隆类型 | Polyclonal |
| 交叉反应 | Human, Mouse, Rat, |
| 产品应用 | WB=1:500-2000 ELISA=1:500-1000 IHC-P=1:400-800 IHC-F=1:400-800 ICC=1:100-500 IF=1:100-500 (石蜡切片需做抗原修复) not yet tested in other applications. optimal dilutions/concentrations should be determined by the end user. |
| 分 子 量 | 112kDa |
| 细胞定位 | 细胞浆 |
| 性 状 | Lyophilized or Liquid |
| 浓 度 | 1mg/ml |
| 免 疫 原 | KLH conjugated synthetic peptide derived from human CEP120:351-450/986 |
| 亚 型 | IgG |
| 纯化方法 | affinity purified by Protein A |
| 储 存 液 | 0.01M TBS(pH7.4) with 1% BSA, 0.03% Proclin300 and 50% Glycerol. |
| 保存条件 | Store at -20 °C for one year. Avoid repeated freeze/thaw cycles. The lyophilized antibody is stable at room temperature for at least one month and for greater than a year when kept at -20°C. When reconstituted in sterile pH 7.4 0.01M PBS or diluent of antibody the antibody is stable for at least two weeks at 2-4 °C. |
| PubMed | PubMed |
| 产品介绍 | background: This gene encodes a protein that functions in the microtubule-dependent coupling of the nucleus and the centrosome. A similar protein in mouse plays a role in both interkinetic nuclear migration, which is a characteristic pattern of nuclear movement in neural progenitors, and in neural progenitor self-renewal. Mutations in this gene are predicted to result in neurogenic defects. Alternative splicing results in multiple transcript variants. [provided by RefSeq, Oct 2009] Function: Plays a role in the microtubule-dependent coupling of the nucleus and the centrosome. Involved in the processes that regulate centrosome-mediated interkinetic nuclear migration (INM) of neural progenitors and for proper positioning of neurons during brain development. Also implicated in the migration and selfrenewal of neural progenitors. May play a role in centriole duplication during mitosis. Subcellular Location: Cytoplasm > cytoskeleton > centrosome. Regulates the localization of TACC3 to the centrosome in neural progenitors in vivo. Similarity: Belongs to the CEP120 family. SWISS: Q8N960 Gene ID: 153241 Database links: Entrez Gene: 153241 Human SwissProt: Q8N960 Human SwissProt: Q8N960-3 Human Unigene: 483209 Human Important Note: This product as supplied is intended for research use only, not for use in human, therapeutic or diagnostic applications. |
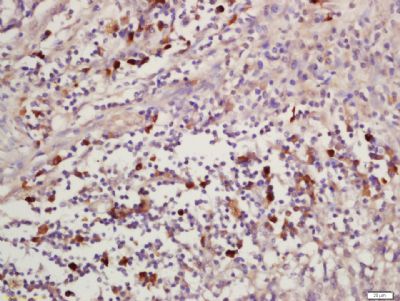
| 产品图片 | ![]() Sample: Lymph node (mouse) Lysate at 40 ug Primary: Anti- CEP120(bs-13850R)at 1/300 dilution Secondary: IRDye800CW Goat Anti-Rabbit IgG at 1/20000 dilution Predicted band size: 112kD Observed band size: 130kD ![]() Tissue/cell: human laryngo carcinoma; 4% Paraformaldehyde-fixed and paraffin-embedded; Antigen retrieval: citrate buffer ( 0.01M, pH 6.0 ), Boiling bathing for 15min; Block endogenous peroxidase by 3% Hydrogen peroxide for 30min; Blocking buffer (normal goat serum,C-0005) at 37℃ for 20 min; Incubation: Anti-CEP120 Polyclonal Antibody, Unconjugated(bs-13850R) 1:200, overnight at 4°C, followed by conjugation to the secondary antibody(SP-0023) and DAB(C-0010) staining ![]() Tissue/cell: mouse embryo tissue;4% Paraformaldehyde-fixed and paraffin-embedded; Antigen retrieval: citrate buffer ( 0.01M, pH 6.0 ), Boiling bathing for 15min; Blocking buffer (normal goat serum,C-0005) at 37℃ for 20 min; Incubation: Anti-CEP120 Polyclonal Antibody, Unconjugated(bs-13850R) 1:200, overnight at 4°C; The secondary antibody was Goat Anti-Rabbit IgG, Cy3 conjugated(bs-0295G-Cy3)used at 1:200 dilution for 40 minutes at 37°C. DAPI(5ug/ml,blue,C-0033) was used to stain the cell nuclei |
风险提示:丁香通仅作为第三方平台,为商家信息发布提供平台空间。用户咨询产品时请注意保护个人信息及财产安全,合理判断,谨慎选购商品,商家和用户对交易行为负责。对于医疗器械类产品,请先查证核实企业经营资质和医疗器械产品注册证情况。
文献和实验模型和人群样本,发现由肝脏分泌的Gpnmb 蛋白可作用于脂肪组织,促进脂质合成,参与肥胖及胰岛素抵抗的病程。而运用抗体中和等方法降低血液中的 Gpnmb 可以有效抑制脂肪组织合成脂质的能力,提高机体能量消耗,减轻肥胖并改善胰岛素抵抗。研究揭示了在代谢性疾病等情况下肝脏和脂肪组织的一种通讯机制,也证明靶向 Gpnmb 可治疗肥胖和糖尿病等。根据世界卫生组织统计,2016 年,18 岁及以上的成年人中逾 19 亿人超重,其中超过 6.5 亿人肥胖。肥胖是糖尿病、脂肪肝和心脑血管疾病的重要危险因素,可受遗传
5月份 ELISA讨论区 [url=http://www.dxy.cn/bbs/post/view?bid=68&id=6122135&sty=1&tpg=5&age=0 ]【求助】Problem of Elispot [/url] 【求助】做免疫的各位高手,用什么方法测效价比较好?急! 【求助】ELISA中某缓冲液中的巴比妥的作用 【请教】这种方法可行么?竞争法ELISA 【求助】请问ELISA能否检测细胞的膜蛋白 【求助】求助:间接竞争ELISA方法
体,异物颗粒被溶酶体酶消化分解后,成为残余体。 在非特异性吞噬过程中,巨噬细胞直接识别和粘附被吞噬物,如碳粒、粉尘、衰老的细胞和某些细菌。巨噬细胞表面有多种受体,有的能与抗体结合(Fc受体);有的能与补体结合(C 3 受体);有的能与纤维粘连蛋白结合(纤维粘连蛋白受体),在特异性吞噬过程中,抗体,补体、纤维粘连蛋白作为识别因子先将细菌、病毒、异体细胞、受损伤的细胞等包裹起来,通过它们与巨噬细胞表面相应的受体结合,才能被巨噬细胞识别和粘附,启动巨噬细胞的吞噬
技术资料暂无技术资料 索取技术资料













