相关产品推荐更多 >
万千商家帮你免费找货
0 人在求购买到急需产品
- 详细信息
- 技术资料
- 供应商:
上海康朗生物科技有限公司
- 库存:
大量
- 目录编号:
kl-6566R
- 克隆性:
多克隆
- 抗原来源:
Rabbit
- 保质期:
12个月
- 抗体英文名:
PRSS3 antibody
- 抗体名:
脑胰蛋白酶3抗体
- 宿主:
Rabbit
- 适应物种:
Human, Mouse, Rat,
- 免疫原:
KLH conjugated synthetic peptide derived from human PRSS3:101-200/304
- 亚型:
IgG
- 形态:
冻干粉或液体
- 应用范围:
WB=1:500-2000 ELISA=1:500-1000 IHC-P=1:400-800 IHC-F=1:400-800 IF=1:100-500
- 浓度:
1mg/ml
- 保存条件:
-20 °C
- 规格:
100ul 200ul
PRSS3 antibody
| 中文名称 | 脑胰蛋白酶3抗体 |
| 别 名 | Brain trypsinogen; Mesotrypsin; Mesotrypsinogen; MTG; Pancreatic trypsinogen III; Protease, serine, 3; Protease, serine, 4 (trypsin 4, brain); PRSS3; PRSS4; Serine protease 3; Serine protease 4; T9; TRY3; TRY3_HUMAN; TRY4; Trypsin 3; Trypsin III; Trypsin IV; Trypsin-3; Trypsinogen 4; Trypsinogen 5; Trypsinogen IV. |
| 规格价格 | 100ul/1380元 购买 200ul/2200元 购买 大包装/询价 |
| 说 明 书 | 100ul 200ul |
| 研究领域 | 肿瘤 细胞生物 肿瘤细胞生物标志物 |
| 抗体来源 | Rabbit |
| 克隆类型 | Polyclonal |
| 交叉反应 | Human, Mouse, Rat, |
| 产品应用 | WB=1:500-2000 ELISA=1:500-1000 IHC-P=1:400-800 IHC-F=1:400-800 IF=1:100-500 (石蜡切片需做抗原修复) not yet tested in other applications. optimal dilutions/concentrations should be determined by the end user. |
| 分 子 量 | 33kDa |
| 细胞定位 | 分泌型蛋白 |
| 性 状 | Lyophilized or Liquid |
| 浓 度 | 1mg/ml |
| 免 疫 原 | KLH conjugated synthetic peptide derived from human PRSS3:101-200/304 |
| 亚 型 | IgG |
| 纯化方法 | affinity purified by Protein A |
| 储 存 液 | 0.01M TBS(pH7.4) with 1% BSA, 0.03% Proclin300 and 50% Glycerol. |
| 保存条件 | Store at -20 °C for one year. Avoid repeated freeze/thaw cycles. The lyophilized antibody is stable at room temperature for at least one month and for greater than a year when kept at -20°C. When reconstituted in sterile pH 7.4 0.01M PBS or diluent of antibody the antibody is stable for at least two weeks at 2-4 °C. |
| PubMed | PubMed |
| 产品介绍 | background: Function; Digestive protease specialized for the degradation of trypsin inhibitors. Tissue specificity; Pancreas and brain. Sequence similarities; Belongs to the peptidase S1 family. Contains 1 peptidase S1 domain. Cellular localization; Secreted. Function: Digestive protease specialized for the degradation of trypsin inhibitors. Subcellular Location: Secreted. Tissue Specificity: Pancreas and brain. Similarity: Belongs to the peptidase S1 family. Contains 1 peptidase S1 domain. SWISS: P35030 Gene ID: 5646 Database links: Entrez Gene: 5646 Human Entrez Gene: 22073 Mouse Entrez Gene: 286911 Rat Omim: 613578 Human SwissProt: P35030 Human SwissProt: P08426 Rat Unigene: 654513 Human Unigene: 425318 Mouse Unigene: 9817 Rat Important Note: This product as supplied is intended for research use only, not for use in human, therapeutic or diagnostic applications. |
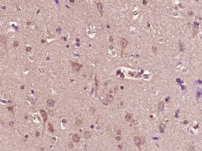
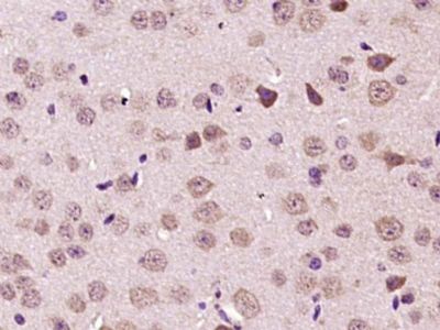
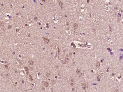
| 产品图片 | ![]() Sample: A549(Human) Cell Lysate at 40 ug Primary: Anti-PRSS3 (bs-6566R) at 1/300 dilution Secondary: IRDye800CW Goat Anti-Rabbit IgG at 1/20000 dilution Predicted band size: 33 kD Observed band size: 33 kD ![]() Paraformaldehyde-fixed, paraffin embedded (Mouse brain); Antigen retrieval by boiling in sodium citrate buffer (pH6.0) for 15min; Block endogenous peroxidase by 3% hydrogen peroxide for 20 minutes; Blocking buffer (normal goat serum) at 37°C for 30min; Antibody incubation with (PRSS3) Polyclonal Antibody, Unconjugated (bs-6566R) at 1:400 overnight at 4°C, followed by operating according to SP Kit(Rabbit) (sp-0023) instructionsand DAB staining. ![]() Paraformaldehyde-fixed, paraffin embedded (Human brain glioma); Antigen retrieval by boiling in sodium citrate buffer (pH6.0) for 15min; Block endogenous peroxidase by 3% hydrogen peroxide for 20 minutes; Blocking buffer (normal goat serum) at 37°C for 30min; Antibody incubation with (PRSS3) Polyclonal Antibody, Unconjugated (bs-6566R) at 1:400 overnight at 4°C, followed by operating according to SP Kit(Rabbit) (sp-0023) instructionsand DAB staining. |
风险提示:丁香通仅作为第三方平台,为商家信息发布提供平台空间。用户咨询产品时请注意保护个人信息及财产安全,合理判断,谨慎选购商品,商家和用户对交易行为负责。对于医疗器械类产品,请先查证核实企业经营资质和医疗器械产品注册证情况。
技术资料暂无技术资料 索取技术资料
PRSS3 antibody
¥1380 - 2200












