相关产品推荐更多 >
万千商家帮你免费找货
0 人在求购买到急需产品
- 详细信息
- 文献和实验
- 技术资料
- 供应商:
上海联迈生物工程有限公司
- 库存:
大量
- 目录编号:
LM-12959R
- 克隆性:
多克隆
- 抗原来源:
Rabbit
- 保质期:
1年
- 抗体英文名:
phospho-ACTH (Ser168)
- 抗体名:
磷酸化促肾上腺皮质激素ACTH抗体
- 宿主:
Rabbit
- 适应物种:
Human, Rat, Dog,
- 免疫原:
KLH conjugated synthesised phosphopeptide derived from human ACTH around the phosphorylation site of Ser168:DE(p-S)AE
- 亚型:
IgG
- 形态:
Lyophilized or Liquid
- 应用范围:
ELISA=1:500-1000 IHC-P=1:400-800 IHC-F=1:400-800 ICC=1:100-500 IF=1:100-500 (石蜡切片需做抗原修复)
- 浓度:
1mg/ml
- 保存条件:
Store at -20 °C
- 规格:
100ul
| 英文名称 | phospho-ACTH (Ser168) |
| 中文名称 | 磷酸化促肾上腺皮质激素ACTH抗体 |
| 别 名 | ACTH (phospho S168); p-ACTH (phospho S168); ACTH; Adrenocorticotropic hormone; Adrenocorticotropin; Alpha melanocyte stimulating hormone; alpha-MSH; alphaMSH; Beta LPH; Beta melanocyte stimulating hormone; Beta-endorphin; beta-MSH; CLIP; Corticotropin; Corticotropin lipotropin; Corticotropin-like intermediary peptide; Gamma LPH; gamma-MSH; Lipotropin beta; Lipotropin gamma; Lipotropin, included; LPH; Melanocyte-stimulating hormone, included; Melanotropin alpha; Melanotropin beta; Melanotropin gamma; Melanotropin, included; Met-enkephalin; MSH; NPP; POC; POMC; Pomc-1; Pomc1; Pomc2; Pro ACTH endorphin; Pro opiomelanocortin; Pro-opiomelanocortin-alpha; Proopiomelanocortin; Proopiomelanocortin preproprotein; Tetracosactide. |
| 规格价格 | 100ul/1580元 购买 大包装/询价 |
| 说 明 书 | 100ul |
| 产品类型 | 磷酸化抗体 |
| 研究领域 | 肿瘤 细胞生物 神经生物学 信号转导 新陈代谢 |
| 抗体来源 | Rabbit |
| 克隆类型 | Polyclonal |
| 交叉反应 | Human, Rat, Dog, |
| 产品应用 | ELISA=1:500-1000 IHC-P=1:400-800 IHC-F=1:400-800 ICC=1:100-500 IF=1:100-500 (石蜡切片需做抗原修复) not yet tested in other applications. optimal dilutions/concentrations should be determined by the end user. |
| 分 子 量 | 4.5kDa |
| 细胞定位 | 分泌型蛋白 |
| 性 状 | Lyophilized or Liquid |
| 浓 度 | 1mg/ml |
| 免 疫 原 | KLH conjugated synthesised phosphopeptide derived from human ACTH around the phosphorylation site of Ser168:DE(p-S)AE |
| 亚 型 | IgG |
| 纯化方法 | affinity purified by Protein A |
| 储 存 液 | 0.01M TBS(pH7.4) with 1% BSA, 0.03% Proclin300 and 50% Glycerol. |
| 保存条件 | Store at -20 °C for one year. Avoid repeated freeze/thaw cycles. The lyophilized antibody is stable at room temperature for at least one month and for greater than a year when kept at -20°C. When reconstituted in sterile pH 7.4 0.01M PBS or diluent of antibody the antibody is stable for at least two weeks at 2-4 °C. |
| PubMed | PubMed |
| 产品介绍 | background: This gene encodes a polypeptide hormone precursor that undergoes extensive, tissue-specific, post-translational processing via cleavage by subtilisin-like enzymes known as prohormone convertases. There are eight potential cleavage sites within the polypeptide precursor and, depending on tissue type and the available convertases, processing may yield as many as ten biologically active peptides involved in diverse cellular functions. The encoded protein is synthesized mainly in corticotroph cells of the anterior pituitary where four cleavage sites are used; adrenocorticotrophin, essential for normal steroidogenesis and the maintenance of normal adrenal weight, and lipotropin beta are the major end products. In other tissues, including the hypothalamus, placenta, and epithelium, all cleavage sites may be used, giving rise to peptides with roles in pain and energy homeostasis, melanocyte stimulation, and immune modulation. These include several distinct melanotropins, lipotropins, and endorphins that are contained within the adrenocorticotrophin and beta-lipotropin peptides. Mutations in this gene have been associated with early onset obesity, adrenal insufficiency, and red hair pigmentation. Alternatively spliced transcript variants encoding the same protein have been described. [provided by RefSeq, Jul 2008]. Function: ACTH stimulates the adrenal glands to release cortisol. MSH (melanocyte-stimulating hormone) increases thepigmentation of skin by increasing melanin production in melanocytes. Beta-endorphin and Met-enkephalin are endogenous opiates. Subcellular Location: Secreted. Tissue Specificity: ACTH and MSH are produced by the pituitary gland. Post-translational modifications: Specific enzymatic cleavages at paired basic residues yield the different active peptides. O-glycosylated; reducing sugar is probably N-acetylgalactosamine. DISEASE: Defects in POMC may be associated with susceptibility to obesity (OBESITY) [MIM:601665]. It is a condition characterized by an increase of body weight beyond the limitation of skeletal and physical requirements, as the result of excessive accumulation of body fat. Defects in POMC are the cause of pro-opiomelanocortinin deficiency (POMCD) [MIM:609734]. Affected individuals present early-onset obesity, adrenal insufficiency and red hair. Similarity: Belongs to the POMC family. SWISS: P01189 Gene ID: 5443 Database links: Entrez Gene: 5443 Human Entrez Gene: 18976 Mouse Entrez Gene: 24664 Rat Omim: 176830 Human SwissProt: P01190 Cow SwissProt: P01189 Human SwissProt: P01193 Mouse SwissProt: P01194 Rat Important Note: This product as supplied is intended for research use only, not for use in human, therapeutic or diagnostic applications. |
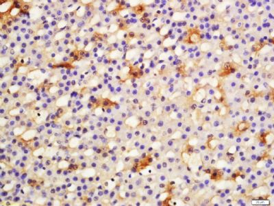
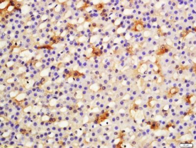
| 产品图片 | ![]() Paraformaldehyde-fixed, paraffin embedded (Human brain glioma); Antigen retrieval by boiling in sodium citrate buffer (pH6.0) for 15min; Block endogenous peroxidase by 3% hydrogen peroxide for 20 minutes; Blocking buffer (normal goat serum) at 37°C for 30min; Antibody incubation with (phospho-ACTH (Ser168)) Polyclonal Antibody, Unconjugated (bs-12959R) at 1:400 overnight at 4°C, followed by operating according to SP Kit(Rabbit) (sp-0023) instructionsand DAB staining. ![]() Tissue/cell: rat adrenal tissue; 4% Paraformaldehyde-fixed and paraffin-embedded; Antigen retrieval: citrate buffer ( 0.01M, pH 6.0 ), Boiling bathing for 15min; Block endogenous peroxidase by 3% Hydrogen peroxide for 30min; Blocking buffer (normal goat serum,C-0005) at 37℃ for 20 min; Incubation: Anti-phospho-ACTH (Ser168) Polyclonal Antibody, Unconjugated(bs-12959R) 1:200, overnight at 4°C, followed by conjugation to the secondary antibody(SP-0023) and DAB(C-0010) staining |
风险提示:丁香通仅作为第三方平台,为商家信息发布提供平台空间。用户咨询产品时请注意保护个人信息及财产安全,合理判断,谨慎选购商品,商家和用户对交易行为负责。对于医疗器械类产品,请先查证核实企业经营资质和医疗器械产品注册证情况。
文献和实验小鼠促肾上腺皮质激素 (ACTH) 酶联免疫 分析( ELISA ) 试剂 盒使用说明书 本试剂仅供研究使用 目的:本试剂盒用于测定小鼠血清,血浆及相关液体样本中 促肾上腺皮质激素 (ACTH) 含量。 实验原理 : 本试剂盒应用双抗体夹心法测定 标本 中 小鼠 促肾上腺皮质激素 (ACTH) 水平。用纯化的 小鼠 促肾上腺皮质激素 (ACTH) 抗体包被微孔板,制成固相抗体,往包被单抗的微孔中依次加入 小鼠
促肾上腺皮质激素(adrenocorticotropichor-mone,ACTH)
垂体前叶分泌的一种激素,能促进皮质激素的产生。其化学成分是39个氨基酸组成的单链多肽,分子量4500道尔顿。不同种属动物ACTH氨基酸组成略有差异。腺垂体中贮存ACTH量很少,人垂体约含ACTH50单位(0.25毫克活性肽),每天分泌1~5单位(5~25微克),紧张情况下分泌量增加。循环中ACTH半衰期短,人约10~25分钟,血浆中ACTH有昼夜规律变化,上午6~8时为高峰,下午6~11时最低。其生理作用为促肾上腺皮质增生,促肾上腺皮质激素合成与释放。糖皮质激素无论是安静
上海西唐生物科技有限公司 021-55229872, 65333639 www.westang.com 人促肾上腺皮质激素 (ACTH)ELISA 试剂盒 ( 用于血清、血浆、细胞培养上清液和其它生物体液内 ) 原理 本实验采用双抗体夹心 ABC-ELISA 法。用抗人 ACTH 单抗包被于酶标板上,标准品和样品中的 ACTH 与单抗结合,加入生物素化的抗人 ACTH ,形成免疫复合物连接在板上,辣根
技术资料暂无技术资料 索取技术资料












