相关产品推荐更多 >
万千商家帮你免费找货
0 人在求购买到急需产品
- 详细信息
- 文献和实验
- 技术资料
- 供应商:
上海康朗生物科技有限公司
- 库存:
大量
- 目录编号:
kl-5392R
- 克隆性:
多克隆
- 抗原来源:
Rabbit
- 保质期:
12个月
- 抗体英文名:
phospho-HOMER3 (Thr36) antibody
- 抗体名:
磷酸化HOMER3蛋白抗体
- 宿主:
Rabbit
- 适应物种:
Human, Mouse, Rat, Chicken, Dog,
- 免疫原:
KLH conjugated Synthesised phosphopeptide derived from human HOMER3 around the phosphorylation site of Thr36 [AL(p-T)VS]:AL(p-T)VS
- 亚型:
IgG
- 形态:
冻干粉或液体
- 应用范围:
WB=1:500-2000 ELISA=1:500-1000 IHC-P=1:400-800 IHC-F=1:400-800 IF=1:100-500
- 浓度:
1mg/ml
- 保存条件:
-20 °C
- 规格:
100ul
| 中文名称 | 磷酸化HOMER3蛋白抗体 |
| 别 名 | HOMER3 (phospho T36); p-HOMER3 (phospho T36); HOMER3 (phospho T36); HOMER3 (phospho Thr36); HOMER 3; Homer 3D protein; Homer homolog 3 (Drosophila); Homer neuronal immediate early gene 3; Homer protein homolog 3; Homer3; VESL3; HOME3_HUMAN. |
| 规格价格 | 100ul/1580元 购买 大包装/询价 |
| 说 明 书 | 100ul |
| 产品类型 | 磷酸化抗体 |
| 研究领域 | |
| 抗体来源 | Rabbit |
| 克隆类型 | Polyclonal |
| 交叉反应 | Human, Mouse, Rat, Chicken, Dog, |
| 产品应用 | WB=1:500-2000 ELISA=1:500-1000 IHC-P=1:400-800 IHC-F=1:400-800 IF=1:100-500 (石蜡切片需做抗原修复) not yet tested in other applications. optimal dilutions/concentrations should be determined by the end user. |
| 分 子 量 | 40kDa |
| 细胞定位 | 细胞浆 细胞膜 |
| 性 状 | Lyophilized or Liquid |
| 浓 度 | 1mg/ml |
| 免 疫 原 | KLH conjugated Synthesised phosphopeptide derived from human HOMER3 around the phosphorylation site of Thr36 [AL(p-T)VS]:AL(p-T)VS |
| 亚 型 | IgG |
| 纯化方法 | affinity purified by Protein A |
| 储 存 液 | 0.01M TBS(pH7.4) with 1% BSA, 0.03% Proclin300 and 50% Glycerol. |
| 保存条件 | Store at -20 °C for one year. Avoid repeated freeze/thaw cycles. The lyophilized antibody is stable at room temperature for at least one month and for greater than a year when kept at -20°C. When reconstituted in sterile pH 7.4 0.01M PBS or diluent of antibody the antibody is stable for at least two weeks at 2-4 °C. |
| PubMed | PubMed |
| 产品介绍 | background: This gene encodes a member of the HOMER family of postsynaptic density scaffolding proteins that share a similar domain structure consisting of an N-terminal Enabled/vasodilator-stimulated phosphoprotein homology 1 domain which mediates protein-protein interactions, and a carboxy-termina coiled-coil domain and two leucine zipper motifs that are involved l in self-oligomerization. The encoded protein binds numerous other proteins including group I metabotropic glutamate receptors, inositol 1,4,5-trisphosphate receptors and amyloid precursor proteins and has been implicated in diverse biological functions such as neuronal signaling, T-cell activation and trafficking of amyloid beta peptides. Alternative splicing results in multiple transcript variants. Function: Postsynaptic density scaffolding protein. Binds and cross-links cytoplasmic regions of GRM1, GRM5, ITPR1, DNM3, RYR1, RYR2, SHANK1 and SHANK3. By physically linking GRM1 and GRM5 with ER-associated ITPR1 receptors, it aids the coupling of surface receptors to intracellular calcium release. Isoforms can be differently regulated and may play an important role in maintaining the plasticity at glutamatergic synapses. Subunit: Isoform 1 and isoform 2 encode coiled-coil structures that mediate homo- and heteromultimerization. Subcellular Location: Cytoplasm. Cell junction, synapse, postsynaptic cell membrane, postsynaptic density. Cell junction, synapse. Note=Postsynaptic density of neuronal cells. Similarity: Belongs to the Homer family. Contains 1 WH1 domain. SWISS: Q9NSC5 Gene ID: 9454 Database links: Entrez Gene: 9454 Human Entrez Gene: 26558 Mouse Omim: 604800 Human SwissProt: Q9NSC5 Human SwissProt: Q99JP6 Mouse Unigene: 720208 Human Unigene: 440659 Mouse Important Note: This product as supplied is intended for research use only, not for use in human, therapeutic or diagnostic applications. |
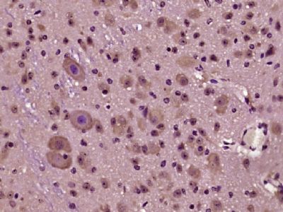
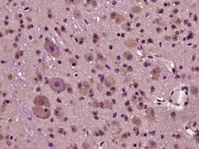
| 产品图片 | ![]() Sample: A549 Cell (Human) Lysate at 40 ug Primary: Anti- phospho-HOMER3 (Thr36) (bs-5392R) at 1/300 dilution Secondary: HRP conjugated Goat-Anti-rabbit IgG (bs-0295G-HRP) at 1/5000 dilution Predicted band size: 40 kD Observed band size: 40 kD ![]() Paraformaldehyde-fixed, paraffin embedded (mouse Cerebellar tissue); Antigen retrieval by boiling in sodium citrate buffer (pH6.0) for 15min; Block endogenous peroxidase by 3% hydrogen peroxide for 20 minutes; Blocking buffer (normal goat serum) at 37°C for 30min; Antibody incubation with (HOMER3 (Thr36)) Polyclonal Antibody, Unconjugated (bs-5392R) at 1:400 overnight at 4°C, followed by operating according to SP Kit(Rabbit) (sp-0023) instructionsand DAB staining. |
风险提示:丁香通仅作为第三方平台,为商家信息发布提供平台空间。用户咨询产品时请注意保护个人信息及财产安全,合理判断,谨慎选购商品,商家和用户对交易行为负责。对于医疗器械类产品,请先查证核实企业经营资质和医疗器械产品注册证情况。
文献和实验Using Phospho‐Motif Antibodies to Determine Kinase Substrates
comprising both the phosphorylated residue and the surrounding residues that determine kinase specificity, with degenerate residues taking up the remaining positions. Currently, several categories of phospho?motif antibody are commercially available
Optimized Protocol to Make Phospho-Specific Antibodies that Work
, not simply its level of expression. In this review, we will discuss both the design of the phosphopeptide immunogen and immunization. The affinity purification of the phospho-specific antibody as well as the methods most suitable for characterizing
人可溶性CD36 分子 ( sCD36 )ELISA 试剂盒 ( 用于血清、血浆、细胞培养上清液和其它生物体液内 ) 原理 本实验采用双抗体夹心 ABC-ELISA 法。用抗人 sCD36 单抗包被于酶标板上,标准品和样品中的 sCD36与单抗结合,加入生物素化的抗人 sCD36 ,形成免疫复合物连接在板上,辣根过氧化物酶标记的 Streptavidin 与生物素结合,加入底物工作液显蓝
技术资料暂无技术资料 索取技术资料












