相关产品推荐更多 >
万千商家帮你免费找货
0 人在求购买到急需产品
- 详细信息
- 技术资料
- 供应商:
上海康朗生物科技有限公司
- 库存:
大量
- 目录编号:
kl-4736R
- 克隆性:
多克隆
- 抗原来源:
Rabbit
- 保质期:
12个月
- 抗体英文名:
CD168 antibody
- 抗体名:
透明质酸介导细胞游走受体抗体
- 宿主:
Rabbit
- 适应物种:
Human, Mouse, Rat, Cow, Horse,
- 免疫原:
KLH conjugated synthetic peptide derived from human CD168/RHAMM:51-150/725
- 亚型:
IgG
- 形态:
冻干粉或液体
- 应用范围:
WB=1:500-2000 ELISA=1:500-1000 IHC-P=1:400-800 IHC-F=1:400-800 Flow-Cyt=1μg/Test ICC=1:100-500 IF=1:100-500
- 浓度:
1mg/ml
- 保存条件:
-20 °C
- 规格:
100ul 200ul
CD168 antibody
| 中文名称 | 透明质酸介导细胞游走受体抗体 |
| 别 名 | CD168 antigen; HMMR; HMMR_HUMAN; Hyaluronan mediated motility receptor; Hyaluronan-mediated motility receptor (RHAMM); IHABP; Intracellular hyaluronic acid-binding protein; Intracellular hyaluronic acid-binding protein; MGC119494; MGC119495; Receptor for hyaluronan-mediated motility; RHAMM; Hyaluronan mediated motility receptor. |
| 规格价格 | 100ul/1380元 购买 200ul/2200元 购买 大包装/询价 |
| 说 明 书 | 100ul 200ul |
| 研究领域 | 细胞生物 免疫学 干细胞 |
| 抗体来源 | Rabbit |
| 克隆类型 | Polyclonal |
| 交叉反应 | Human, Mouse, Rat, Cow, Horse, |
| 产品应用 | WB=1:500-2000 ELISA=1:500-1000 IHC-P=1:400-800 IHC-F=1:400-800 Flow-Cyt=1μg/Test ICC=1:100-500 IF=1:100-500 (石蜡切片需做抗原修复) not yet tested in other applications. optimal dilutions/concentrations should be determined by the end user. |
| 分 子 量 | 84kDa |
| 细胞定位 | 细胞浆 细胞膜 细胞外基质 |
| 性 状 | Lyophilized or Liquid |
| 浓 度 | 1mg/ml |
| 免 疫 原 | KLH conjugated synthetic peptide derived from human CD168/RHAMM:51-150/725 |
| 亚 型 | IgG |
| 纯化方法 | affinity purified by Protein A |
| 储 存 液 | 0.01M TBS(pH7.4) with 1% BSA, 0.03% Proclin300 and 50% Glycerol. |
| 保存条件 | Store at -20 °C for one year. Avoid repeated freeze/thaw cycles. The lyophilized antibody is stable at room temperature for at least one month and for greater than a year when kept at -20°C. When reconstituted in sterile pH 7.4 0.01M PBS or diluent of antibody the antibody is stable for at least two weeks at 2-4 °C. |
| PubMed | PubMed |
| 产品介绍 | background: Hyaluronic acid (HA) is a nonsulfated glycosaminoglycan that regulates cell adhesion and migration. HA effects are mediated through two receptors, CD44 (also designated HCAM) and the receptor of hyaluronic acid mediated motility (RHAMM). RHAMM, also designated intracellular hyaluronic acid binding protein (IHABP) and CD168, is a matrix receptor, which is linked to the plasma membrane by a GPI anchor and regulates cell motility. RHAMM expression is upregulated in malignant lymphoid tissues and is subsequently implicated in tumor progression and metastasis formation, as well as signal transduction. Although still unclear, RHAMM is thought to exist as several isoforms ranging in size. A variant isoform, designated v4, is a protein that when over-expressed, is thought to be the cause of transformation and metastasis formation in fibroblasts. Function: Involved in cell motility. When hyaluronan binds to HMMR, the phosphorylation of a number of proteins, including the focal adhesion kinase occurs. May also be involved in cellular transformation and metastasis formation, and in regulating extracellular-regulated kinase (ERK) activity. Subcellular Location: Cell surface. Cytoplasm. Tissue Specificity: Expressed in breast cancer cell lines and in normal breast tissue. SWISS: O75330 Gene ID: 3161 Database links: Entrez Gene: 3161 Human Omim: 600936 Human SwissProt: O75330 Human Unigene: 728200 Human Unigene: 740467 Human Important Note: This product as supplied is intended for research use only, not for use in human, therapeutic or diagnostic applications. |
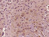
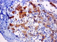
| 产品图片 | ![]() Sample: Bone (Mouse) Lysate at 40 ug Primary: Anti-CD168 (bs-4736R) at 1/300 dilution Secondary: IRDye800CW Goat Anti-Rabbit IgG at 1/20000 dilution Predicted band size: 84 kD Observed band size: 84 kD ![]() Paraformaldehyde-fixed, paraffin embedded (Mouse brain); Antigen retrieval by boiling in sodium citrate buffer (pH6.0) for 15min; Block endogenous peroxidase by 3% hydrogen peroxide for 20 minutes; Blocking buffer (normal goat serum) at 37°C for 30min; Antibody incubation with (CD168) Polyclonal Antibody, Unconjugated (bs-4736R) at 1:400 overnight at 4°C, followed by operating according to SP Kit(Rabbit) (sp-0023) instructions and DAB staining. ![]() Blank control(blue):MCF 7 Cells(fixed with 2% paraformaldehyde (10 min) and then permeabilized with ice-cold 90% methanol for 30 min on ice). Primary Antibody: Rabbit Anti- CD168/AF647 Conjugated antibody (bs-4736R-AF647), Dilution: 5μg in 100 μL 1X PBS containing 0.5% BSA; Isotype Control Antibody: Rabbit IgG/AF647(orange) ,used under the same conditions. |
风险提示:丁香通仅作为第三方平台,为商家信息发布提供平台空间。用户咨询产品时请注意保护个人信息及财产安全,合理判断,谨慎选购商品,商家和用户对交易行为负责。对于医疗器械类产品,请先查证核实企业经营资质和医疗器械产品注册证情况。
技术资料暂无技术资料 索取技术资料
CD168 antibody
¥1380 - 2200












