相关产品推荐更多 >
万千商家帮你免费找货
0 人在求购买到急需产品
- 详细信息
- 文献和实验
- 技术资料
- 供应商:
上海联迈生物工程有限公司
- 库存:
大量
- 目录编号:
LM-1219R
- 克隆性:
多克隆
- 抗原来源:
Rabbit
- 保质期:
1年
- 抗体英文名:
GRP78
- 抗体名:
葡萄糖调节蛋白78抗体(热休克蛋白70蛋白5)
- 宿主:
Rabbit
- 适应物种:
Human, Mouse, Rat,
- 免疫原:
KLH conjugated synthetic peptide derived from human GRP78:251-360/654
- 亚型:
IgG
- 形态:
Lyophilized or Liquid
- 应用范围:
WB=1:500-2000 ELISA=1:500-1000 IHC-P=1:400-800 IHC-F=1:400-800 IF=1:100-500 (石蜡切片需做抗原修复)
- 浓度:
1mg/ml
- 保存条件:
Store at -20 °C
- 规格:
50ul 100ul 200ul
| 英文名称 | GRP78 |
| 中文名称 | 葡萄糖调节蛋白78/热休克蛋白70蛋白5抗体 |
| 别 名 | BIP; HSPA5; GRP-78; glucose regulated protein 78; 78 kDa glucose regulated protein; BIP; Endoplasmic reticulum lumenal Ca2+ binding protein grp78; FLJ26106; Glucose Regulated Protein 78kDa; GRP 78; GRP78; Heat Shock 70kDa Protein 5; HSPA 5; HSPA-5; HSPA5; Immunoglobulin Heavy Chain Binding Protein; MIF2; GRP78_HUMAN. |
![]() |
Specific References (6) | bs-1219R has been referenced in 6 publications. [IF=0.00] Du, Weiyan, et al. "The Expression and Significance of Angiopoietin-2 and Glucose Regulated Protein78 in Colorectal Cancer." Cancer Cell Research (2016). IHC-P ; Human. PubMed:0 [IF=3.28] Chen, Li, et al. "Influence of resveratrol on endoplasmic reticulum stress and expression of adipokines in adipose tissues/adipocytes induced by high-calorie diet or palmitic acid." Endocrine (2016): 1-13. WB ; Mouse. PubMed:28070709 [IF=0.00] Tian, Jing, Rong Liu, and Quanxin Qu. "Role of endoplasmic reticulum stress on cisplatin resistance in ovarian carcinoma." Oncology Letters. WB ; Human. PubMed:0 [IF=5.96] Xia, Dan, et al. "Knockout of MARCH2 inhibits the growth of HCT116 colon cancer cells by inducing endoplasmic reticulum stress." Cell Death and Disease 8.7 (2017). WB ; Human. PubMed:28749466 [IF=3.37] Du, Shaoqing, et al. "SelK is a novel ER stress-regulated protein and protects HepG2 cells from ER stress agent-induced apoptosis." Archives of biochemistry and biophysics 502.2 (2010): 137-143. WB ; Human. PubMed:20692228 [IF=2.71] Wei, W, et al. "Excessive fluoride induces endoplasmic reticulum stress and interferes enamel proteinases secretion." Environmental Toxicology 28 (2013): Human. PubMed:21626649 |
| 规格价格 | 50ul/780元 购买 100ul/1380元 购买 200ul/2200元 购买 大包装/询价 |
| 说 明 书 | 50ul 100ul 200ul |
| 研究领域 | 肿瘤 细胞生物 免疫学 |
| 抗体来源 | Rabbit |
| 克隆类型 | Polyclonal |
| 交叉反应 | Human, Mouse, Rat, |
| 产品应用 | WB=1:500-2000 ELISA=1:500-1000 IHC-P=1:400-800 IHC-F=1:400-800 IF=1:100-500 (石蜡切片需做抗原修复) not yet tested in other applications. optimal dilutions/concentrations should be determined by the end user. |
| 分 子 量 | 78kDa |
| 细胞定位 | 细胞浆 |
| 性 状 | Lyophilized or Liquid |
| 浓 度 | 1mg/ml |
| 免 疫 原 | KLH conjugated synthetic peptide derived from human GRP78:251-360/654 |
| 亚 型 | IgG |
| 纯化方法 | affinity purified by Protein A |
| 储 存 液 | 0.01M TBS(pH7.4) with 1% BSA, 0.03% Proclin300 and 50% Glycerol. |
| 保存条件 | Store at -20 °C for one year. Avoid repeated freeze/thaw cycles. The lyophilized antibody is stable at room temperature for at least one month and for greater than a year when kept at -20°C. When reconstituted in sterile pH 7.4 0.01M PBS or diluent of antibody the antibody is stable for at least two weeks at 2-4 °C. |
| PubMed | PubMed |
| 产品介绍 | background: The 78 kDa glucose regulated protein/BiP (GRP78) belongs to the family of ~70 kDa heat shock proteins (HSP 70). GRP78 is a resident protein of the endoplasmic reticulum (ER) and may associate transiently with a variety of newly synthesized secretory and membrane proteins or permanently with mutant or defective proteins that are incorrectly folded, thus preventing their export from the ER lumen. GRP78 is a highly conserved protein that is essential for cell viability. The highly conserved sequence Lys-Asp-Glu-Leu (KDEL) is present at the C terminus of GRP78 and other resident ER proteins including glucose regulated protein 94 (GRP 94) and protein disulfide isomerase (PDI). The presence of carboxy terminal KDEL appears to be necessary for retention and appears to be sufficient to reduce the secretion of proteins from the ER. This retention is reported to be mediated by a KDEL receptor. Function: Probably plays a role in facilitating the assembly of multimeric protein complexes inside the ER. Subcellular Location: Endoplasmic reticulum lumen. Melanosome. Identified by mass spectrometry in melanosome fractions from stage I to stage IV. DISEASE: Note=Autoantigen in rheumatoid arthritis. Similarity: Belongs to the heat shock protein 70 family. SWISS: P11021 Gene ID: 3309 Database links: Entrez Gene: 3309 Human Entrez Gene: 14828 Mouse Entrez Gene: 25617 Rat Omim: 138120 Human SwissProt: P11021 Human SwissProt: P20029 Mouse SwissProt: P06761 Rat Unigene: 605502 Human Unigene: 743241 Human Unigene: 330160 Mouse Unigene: 470180 Mouse Unigene: 11088 Rat Important Note: This product as supplied is intended for research use only, not for use in human, therapeutic or diagnostic applications. 葡萄糖调节蛋白78是热休克蛋白70家族的成员之一,又称:热休克蛋白70蛋白5,作为一种分子伴侣在蛋白质的折叠和转运过程及内质网应激反应中发挥重要作用.它在多种肿瘤组织中呈高表达. |
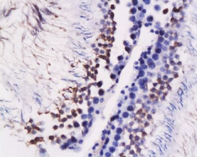
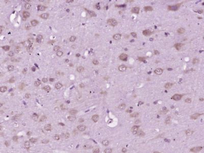
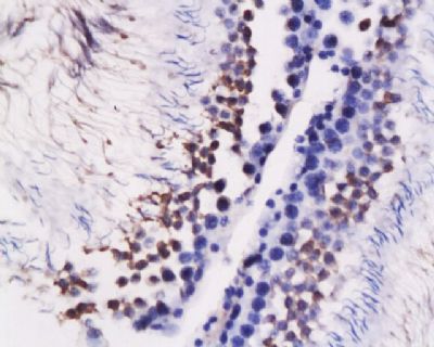
| 产品图片 | ![]() Sample: Placenta (Mouse) Lysate at 30 ug Primary: Anti- GRP78 (bs-1219R) at 1/300 dilution Secondary: IRDye800CW Goat Anti-Rabbit IgG at 1/10000 dilution Predicted band size: 78 kD Observed band size: 76kD ![]() Sample: Intestinal(Mouse) Lysate at 30ug; Primary: Anti-GRP78 (bs-1219R) at 1:300 dilution; Secondary: HRP conjugated Goat-Anti-Rabbit IgG(bse-0295G-HRP) at 1: 5000 dilution; Predicted band size : 78 kD Observed band size :78 kD ![]() Paraformaldehyde-fixed, paraffin embedded (rat brain tissue); Antigen retrieval by boiling in sodium citrate buffer (pH6.0) for 15min; Block endogenous peroxidase by 3% hydrogen peroxide for 20 minutes; Blocking buffer (normal goat serum) at 37°C for 30min; Antibody incubation with (GRP78) Polyclonal Antibody, Unconjugated (bs-1219R) at 1:400 overnight at 4°C, followed by operating according to SP Kit(Rabbit) (sp-0023) instructionsand DAB staining. ![]() Tissue/cell: rat testis tissue; 4% Paraformaldehyde-fixed and paraffin-embedded; Antigen retrieval: citrate buffer ( 0.01M, pH 6.0 ), Boiling bathing for 15min; Block endogenous peroxidase by 3% Hydrogen peroxide for 30min; Blocking buffer (normal goat serum,C-0005) at 37℃ for 20 min; Incubation: Anti-GRP78 Polyclonal Antibody, Unconjugated(bs-1219R) 1:200, overnight at 4°C, followed by conjugation to the secondary antibody(SP-0023) and DAB(C-0010) staining |
风险提示:丁香通仅作为第三方平台,为商家信息发布提供平台空间。用户咨询产品时请注意保护个人信息及财产安全,合理判断,谨慎选购商品,商家和用户对交易行为负责。对于医疗器械类产品,请先查证核实企业经营资质和医疗器械产品注册证情况。
文献和实验化。BAPTA的pKa3为5.47,pKa4为6.36。这个特点显示了去质子化的步骤并不包含在Ca的螯合步骤中。由于不受质子的干扰,它的螯合率比EGTA要高很多。BAPTA-AM是BAPTA的乙酰甲酯衍生物,通过AM法,能被轻易负载到细胞中。BAPTA-AM对于细胞内钙离子的监控是非常有用的。 kaige88 葡萄糖调节蛋白(glucose regulated proteins, GRPs)是内质网中一类重要的驻留蛋白,包括GRP78和GRP94。 GRP
性。这种 Cpn 没有类似 GroES 的辅助因子,而且只有古细菌中的成员有应急诱导性; 应激蛋白 70 家族 (Stress-70 family) 又称为热休克蛋白 70 家族( Hsp70 family ),是一类分子量约 70Ku 的高度保守的 ATP 酶,广泛地存在
三句话读懂一篇 CNS,剪接体靶向疗法诱导癌细胞「自杀」,皮炎瘙痒突然加重的机制,免疫调节因子 STING 感知疼痛机制...
醇调节蛋白相互作用的分子机制 2021 年 1 月 14 日,普林斯顿大学颜宁团队、清华大学闫创业团队联合在 Science 杂志在线发表论文 A structure of human Scap bound to Insig-2 suggests how their interaction is regulated by sterols,研究使用冷冻电镜技术解析了 25HC 存在下人 Scap 和 Insig-2 复合物结构,以平均分辨率为 3.7Å 确定了跨膜(TM)域,Scap 的 SSD(固醇
技术资料暂无技术资料 索取技术资料















