相关产品推荐更多 >
万千商家帮你免费找货
0 人在求购买到急需产品
- 详细信息
- 技术资料
- 供应商:
上海康朗生物科技有限公司
- 库存:
大量
- 目录编号:
kl-4116R
- 克隆性:
多克隆
- 抗原来源:
Rabbit
- 保质期:
12个月
- 抗体英文名:
IFNAR1 antibody
- 抗体名:
干扰素α受体抗体
- 宿主:
Rabbit
- 适应物种:
Human, Mouse, Rat, Cow, Sheep,
- 免疫原:
KLH conjugated synthetic peptide derived from human IFNAR1:351-450/557 <Extracellular>
- 亚型:
IgG
- 形态:
冻干粉或液体
- 应用范围:
WB=1:500-2000 ELISA=1:500-1000 IHC-P=1:400-800 IHC-F=1:400-800 Flow-Cyt=1ug/test IF=1:100-500
- 浓度:
1mg/ml
- 保存条件:
-20 °C
- 规格:
50ul 100ul 200ul
IFNAR1 antibody
| 中文名称 | 干扰素α受体抗体 |
| 别 名 | IFN alpha REC; IFN alpha receptor; Interferon Receptor alpha; IFN alpha/beta Receptor alpha; IFN beta receptor; IFNAR; IFNAR1; IFNAR 1; IFRC; Interferon alpha/beta receptor alpha chain; INAR1_HUMAN. |
| 规格价格 | 50ul/780元 购买 100ul/1380元 购买 200ul/2200元 购买 大包装/询价 |
| 说 明 书 | 50ul 100ul 200ul |
| 研究领域 | 肿瘤 免疫学 染色质和核信号 信号转导 转录调节因子 干扰素 |
| 抗体来源 | Rabbit |
| 克隆类型 | Polyclonal |
| 交叉反应 | Human, Mouse, Rat, Cow, Sheep, |
| 产品应用 | WB=1:500-2000 ELISA=1:500-1000 IHC-P=1:400-800 IHC-F=1:400-800 Flow-Cyt=1ug/test IF=1:100-500 (石蜡切片需做抗原修复) not yet tested in other applications. optimal dilutions/concentrations should be determined by the end user. |
| 分 子 量 | 61kDa |
| 细胞定位 | 细胞膜 |
| 性 状 | Lyophilized or Liquid |
| 浓 度 | 1mg/ml |
| 免 疫 原 | KLH conjugated synthetic peptide derived from human IFNAR1:351-450/557 <Extracellular> |
| 亚 型 | IgG |
| 纯化方法 | affinity purified by Protein A |
| 储 存 液 | 0.01M TBS(pH7.4) with 1% BSA, 0.03% Proclin300 and 50% Glycerol. |
| 保存条件 | Store at -20 °C for one year. Avoid repeated freeze/thaw cycles. The lyophilized antibody is stable at room temperature for at least one month and for greater than a year when kept at -20°C. When reconstituted in sterile pH 7.4 0.01M PBS or diluent of antibody the antibody is stable for at least two weeks at 2-4 °C. |
| PubMed | PubMed |
| 产品介绍 | background: IFNAR1 is a member of the cytokine receptor superfamily which also includes receptors for interleukins, IFN gamma, ciliary neurotrophic factor, somatotrophin, erythropoietin, nerve growth factor, tumor necrosis factor, leukemia inhibitory factor, and oncostatin M. Some members of the family have an alpha chain with either low or high ligand binding affinity and at least one beta chain involved in signal transduction with either relatively low or no ligand binding affinity. Type I interferons, alpha and beta, induce a variety of effects on target cells including antiviral, antiproliferative, and immunomodulatory activities. The alpha and beta interferons compete to bind to a common cell surface receptor, while IFN gamma binds to a distinct receptor. IFNAR1 is very responsive to type I interferons and bind to IFN beta and IFN alpha subtypes. It is also functionally involved in signal transduction because of its association with the cytoplasmic tyrosine kinase JAK1. The type I interferons, alpha and beta, are produced by leukocytes (alpha subunits), fibroblasts (beta subtypes), lymphocytes (omega subtypes), and ruminant embryos (tau subtypes). Interferon receptors are generally found on most human cell types whatever their origin, even on cells poorly responsive to interferon. IFNAR1 is expressed on the cell surface in a variety of human cell lines. Function: Associates with IFNAR2 to form the type I interferon receptor. Receptor for interferons alpha and beta. Binding to type I IFNs triggers tyrosine phosphorylation of a number of proteins including JAKs, TYK2, STAT proteins and IFNR alpha- and beta-subunits themselves. Subunit: Heterodimer with IFNAR2; in presence of interferon alpha and beta ligands, the heterodimer forms the type I interferon receptor. Interacts with STAT1 and STAT2. Interacts with IFNAR2. Subcellular Location: Membrane; Single-pass type I membrane protein. Post-translational modifications: Phosphorylated on tyrosine residues by TYK2 tyrosine kinase. Palmitoylation at Cys-463 is required for the activation of STAT1 and STAT2. Similarity: Belongs to the type II cytokine receptor family. Contains 3 fibronectin type-III domains. SWISS: P17181 Gene ID: 3454 Database links: Entrez Gene: 3454 Human Entrez Gene: 15975 Mouse Omim: 107450 Human SwissProt: P17181 Human SwissProt: P33896 Mouse Unigene: 529400 Human Unigene: 502 Mouse Important Note: This product as supplied is intended for research use only, not for use in human, therapeutic or diagnostic applications. |
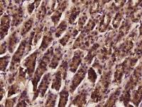
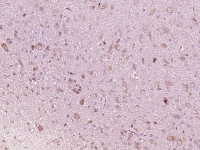
| 产品图片 | ![]() Sample: Lymph node (Mouse) Lysate at 40 ug Primary: Anti- IFNAR1 (bs-4116R) at 1/300 dilution Secondary: IRDye800CW Goat Anti-Rabbit IgG at 1/20000 dilution Predicted band size: 61 kD Observed band size: 61 kD ![]() Paraformaldehyde-fixed, paraffin embedded (Rat brain); Antigen retrieval by boiling in sodium citrate buffer (pH6.0) for 15min; Block endogenous peroxidase by 3% hydrogen peroxide for 20 minutes; Blocking buffer (normal goat serum) at 37°C for 30min; Antibody incubation with (IFNAR1) Polyclonal Antibody, Unconjugated (bs-4116R) at 1:400 overnight at 4°C, followed by operating according to SP Kit(Rabbit) (sp-0023) instructionsand DAB staining. |
风险提示:丁香通仅作为第三方平台,为商家信息发布提供平台空间。用户咨询产品时请注意保护个人信息及财产安全,合理判断,谨慎选购商品,商家和用户对交易行为负责。对于医疗器械类产品,请先查证核实企业经营资质和医疗器械产品注册证情况。
技术资料暂无技术资料 索取技术资料
IFNAR1 antibody
¥780 - 2200











