相关产品推荐更多 >
万千商家帮你免费找货
0 人在求购买到急需产品
- 详细信息
- 询价记录
- 文献和实验
- 技术资料
- 供应商:
上海康朗生物科技有限公司
- 库存:
大量
- 目录编号:
kl-3818R
- 克隆性:
多克隆
- 抗原来源:
Rabbit
- 保质期:
12个月
- 抗体英文名:
GDF15 antibody
- 抗体名:
生长分化因子15/巨嗜细胞抑制因子1抗体
- 宿主:
Rabbit
- 适应物种:
Human, Mouse, Rat,
- 免疫原:
KLH conjugated synthetic peptide derived from human GDF-15:221-308/308
- 亚型:
IgG
- 形态:
冻干粉或液体
- 应用范围:
WB=1:500-2000 ELISA=1:500-1000 IHC-P=1:400-800 IHC-F=1:400-800 IF=1:100-500
- 浓度:
1mg/ml
- 保存条件:
-20 °C
- 规格:
50ul 100ul 200ul
| 中文名称 | 生长分化因子15/巨嗜细胞抑制因子1抗体 |
| 别 名 | GDF 15; GDF-15 Growth differentiation factor 15; Growth/differentiation factor 15; Macrophage inhibitory cytokine 1; MIC 1; MIC-1; MIC1; NAG 1; NAG1; NRG 1; NRG1; NSAID (nonsteroidal anti inflammatory drug) activated protein 1; NSAID; NSAID regulated protein 1; PDF; PLAB; Placental bone morphogenetic protein; Placental bone morphogenic protein; Placental TGF beta; placental transformation growth factor beta; Prostate differentiation factor; PTGF beta; PTGFB; prostate derived factor. |
![]() |
Specific References (4) | bs-3818R has been referenced in 4 publications. [IF=1.42] Ruan, Wei-Min, et al. "Differential expression of glycoprotein non-metastatic melanoma protein B (GPNMB) involved in trichostatin A-induced apoptosis in gastric cancer." International journal of clinical and experimental medicine 7.12 (2014): 4857-4866. IHC-P ; Human. PubMed:25663982 [IF=4.60] Figueiredo, Jose-Luiz, et al. "Selective Cathepsin S Inhibition Attenuates Atherosclerosis in Apolipoprotein E–Deficient Mice with Chronic Renal Disease." The American Journal of Pathology (2015). IHC-F ; Mouse. PubMed:25680278 [IF=1.89] Li, Yun-Long, et al. "Downregulation of growth differentiation factor-15 in trichostatin A-induced apoptosis could play a role in progression of gastric cancer." International Journal of Clinical and Experimental Pathology 8.7 (2015): 8136. WB ; Human. PubMed:26339382 [IF=5.29] Ueno, Koji, et al. "Increased plasma VEGF levels following ischemic preconditioning are associated with downregulation of miRNA-762 and miR-3072-5p." Scientific Reports 6 (2016): 36758. WB ; Mouse. PubMed:27905554 |
| 规格价格 | 50ul/780元 购买 100ul/1380元 购买 200ul/2200元 购买 大包装/询价 |
| 说 明 书 | 50ul 100ul 200ul |
| 研究领域 | 肿瘤 细胞生物 免疫学 信号转导 细胞凋亡 生长因子和激素 转录调节因子 |
| 抗体来源 | Rabbit |
| 克隆类型 | Polyclonal |
| 交叉反应 | Human, Mouse, Rat, |
| 产品应用 | WB=1:500-2000 ELISA=1:500-1000 IHC-P=1:400-800 IHC-F=1:400-800 IF=1:100-500 (石蜡切片需做抗原修复) not yet tested in other applications. optimal dilutions/concentrations should be determined by the end user. |
| 分 子 量 | 12.5/34kDa |
| 细胞定位 | 分泌型蛋白 |
| 性 状 | Lyophilized or Liquid |
| 浓 度 | 1mg/ml |
| 免 疫 原 | KLH conjugated synthetic peptide derived from human GDF-15:221-308/308 |
| 亚 型 | IgG |
| 纯化方法 | affinity purified by Protein A |
| 储 存 液 | 0.01M TBS(pH7.4) with 1% BSA, 0.03% Proclin300 and 50% Glycerol. |
| 保存条件 | Store at -20 °C for one year. Avoid repeated freeze/thaw cycles. The lyophilized antibody is stable at room temperature for at least one month and for greater than a year when kept at -20°C. When reconstituted in sterile pH 7.4 0.01M PBS or diluent of antibody the antibody is stable for at least two weeks at 2-4 °C. |
| PubMed | PubMed |
| 产品介绍 | background: Growth differentiation factor 15 (GDF15) is a member of the bone morphogenetic protein (BMP) family and the TGF-beta superfamily. It has been implicated in a variety of functions directly related to tumorigenicity including antiproliferative and pro-apoptotic effects. BMP proteins are secreted growth factors that are characterized by seven conserved cysteine residues. In general, they are regulators of cell growth and differentiation in both embryonic and adult tissues. GDF15 is an important downstream mediator of DNA damage signaling and a transcriptional target of p53. Subcellular Location: Secreted. Tissue Specificity: Highly expressed in placenta, with lower levels in prostate and colon and some expression in kidney. Similarity: Belongs to the TGF-beta family. SWISS: Q99988 Gene ID: 9518 Database links: Entrez Gene: 9518 Human Entrez Gene: 23886 Mouse Entrez Gene: 29455 Rat Omim: 605312 Human SwissProt: Q99988 Human SwissProt: Q9Z0J7 Mouse SwissProt: Q9Z0J6 Rat Unigene: 616962 Human Unigene: 31325 Mouse Unigene: 44228 Rat Important Note: This product as supplied is intended for research use only, not for use in human, therapeutic or diagnostic applications. 生长分化因子15(GDF15)是骨形态发生蛋白(BMP)和转化生长因子-β超家族成员。GDF-15又叫巨噬细胞抑制因子(macrophage inhibiting cytokine,MIC)-1、胎盘转化生长因子 (placental transformation growth factor,PTGF)-β、前列腺衍生因子(prostate derived factor,PDF)和胎盘骨形态发生蛋白(placental bone morphogeneticprotein,PLAB)。 有学者认为:GDF-15在肿瘤发展的不同阶段发挥着不同的生物学作用;随着肿瘤的发生发展,GDF-15可能表达不同形式的蛋白,在肿瘤发生的早期阶段可能发挥抑瘤作用,而在肿瘤发展的后期阶段发挥促瘤作用。 |
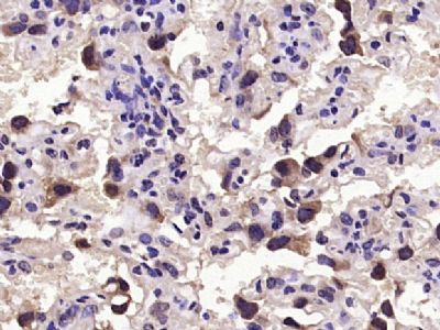
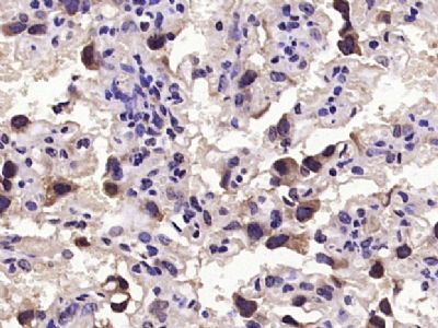
| 产品图片 | ![]() Sample: K562 Cell Lysate at 30 ug A431 Cell Lysate at 30 ug Primary: Anti-GDF15 (bs-3818R) at 1:300 dilution; Secondary: HRP conjugated Goat-Anti-rabbit IgG(bs-0295G-HRP) at 1: 5000 dilution; Predicted band size:34 kD Observed band size:30 kD ![]() Paraformaldehyde-fixed, paraffin embedded (Mouse placenta); Antigen retrieval by microwave in sodium citrate buffer (pH6.0) ; Block endogenous peroxidase by 3% hydrogen peroxide for 30 minutes; Blocking buffer (3% BSA) at RT for 30min; Antibody incubation with (GDF15) Polyclonal Antibody, Unconjugated (bs-3818R) at 1:400 overnight at 4℃, followed by conjugation to the secondary antibody (labeled with HRP)and DAB staining. |
风险提示:丁香通仅作为第三方平台,为商家信息发布提供平台空间。用户咨询产品时请注意保护个人信息及财产安全,合理判断,谨慎选购商品,商家和用户对交易行为负责。对于医疗器械类产品,请先查证核实企业经营资质和医疗器械产品注册证情况。
- 作者
- 内容
- 询问日期
文献和实验1 月内连登 4 顶刊,这个炙手可热的明星蛋白 GDF15 到底什么来路?
1 月 9 号,代谢领域顶级期刊 Cell Metabolism 背靠背发表了题为《Comprehensive Proteomics Analysis of Stressed Human Islets Identifies GDF15 as a Target for Type 1 Diabetes Intervention》1 和《GDF15 Induces Anorexia through Nausea and Emesis》2 两篇长文,分别报道了 GDF15 在一型糖尿病和厌食症中的关键
Generation of Antibody Molecules Through Antibody Engineering
been overcome to a large extent using genetic-engineering techniques to produce chimeric mouse/human and completely human antibodies. Such an approach is particularly suitable because of the domain structure of the antibody molecule ( 2 ), where functional
The importance of antibody molecules was first recognized in the 1890s, when it was shown that immunity to tetanus and diphtheria was caused by antibodies against the bacterial exotoxins (1 ). Around the same time, it was shown that antisera
技术资料暂无技术资料 索取技术资料












