相关产品推荐更多 >
万千商家帮你免费找货
0 人在求购买到急需产品
- 详细信息
- 文献和实验
- 技术资料
- 供应商:
上海联迈生物工程有限公司
- 库存:
大量
- 目录编号:
LM-11565R
- 克隆性:
多克隆
- 抗原来源:
Rabbit
- 保质期:
1年
- 抗体英文名:
Gli3
- 抗体名:
转录因子Gli3抗体
- 宿主:
Rabbit
- 适应物种:
Human, Mouse, Rat, Chicken, Cow, Horse, Rabbit, Sheep,
- 免疫原:
KLH conjugated synthetic peptide derived from human Gli3 (481-570aa):481-570/1580
- 亚型:
IgG
- 形态:
Lyophilized or Liquid
- 应用范围:
ELISA=1:500-1000 IHC-P=1:400-800 IHC-F=1:400-800 ICC=1:100-500 IF=1:100-500 (石蜡切片需做抗原修复)
- 浓度:
1mg/ml
- 保存条件:
Store at -20 °C
- 规格:
100ul 200ul
| 英文名称 | Gli3 |
| 中文名称 | 转录因子Gli3抗体 |
| 别 名 | ACLS; DNA binding protein; GCPS; Gli 3; GLI family zinc finger 3; GLI Kruppel family member GLI 3; GLI Kruppel family member GLI3 (Greig cephalopolysyndactyly syndrome); GLI Kruppel family member GLI3; GLI3; GLI3 C-terminally truncated form; GLI3 form of 190 kDa; GLI3 form of 83 kDa; GLI3 full length protein; GLI3-190; GLI3-83; GLI3_HUMAN; GLI3FL; Glioma associated oncogene family zinc finger 3; Oncogene GLI3; PAP A; PAPA 1; PAPA; PAPA1; PAPB; PHS; PPD IV; PPDIV; Transcriptional activator GLI3; Transcriptional repressor GLI3R; Zinc finger protein GLI 3; Zinc finger protein GLI3. |
| 规格价格 | 100ul/1380元 购买 200ul/2200元 购买 大包装/询价 |
| 说 明 书 | 100ul 200ul |
| 研究领域 | 细胞生物 信号转导 干细胞 转录调节因子 锌指蛋白 表观遗传学 |
| 抗体来源 | Rabbit |
| 克隆类型 | Polyclonal |
| 交叉反应 | Human, Mouse, Rat, Chicken, Cow, Horse, Rabbit, Sheep, |
| 产品应用 | ELISA=1:500-1000 IHC-P=1:400-800 IHC-F=1:400-800 ICC=1:100-500 IF=1:100-500 (石蜡切片需做抗原修复) not yet tested in other applications. optimal dilutions/concentrations should be determined by the end user. |
| 分 子 量 | 170kDa |
| 细胞定位 | 细胞核 细胞浆 |
| 性 状 | Lyophilized or Liquid |
| 浓 度 | 1mg/ml |
| 免 疫 原 | KLH conjugated synthetic peptide derived from human Gli3 (481-570aa):481-570/1580 |
| 亚 型 | IgG |
| 纯化方法 | affinity purified by Protein A |
| 储 存 液 | 0.01M TBS(pH7.4) with 1% BSA, 0.03% Proclin300 and 50% Glycerol. |
| 保存条件 | Store at -20 °C for one year. Avoid repeated freeze/thaw cycles. The lyophilized antibody is stable at room temperature for at least one month and for greater than a year when kept at -20°C. When reconstituted in sterile pH 7.4 0.01M PBS or diluent of antibody the antibody is stable for at least two weeks at 2-4 °C. |
| PubMed | PubMed |
| 产品介绍 | background: It has long been known that the overexpression of either Wnt-1 or the GLI proteins results in cancer; however, the molecular basis for this transformation was poorly understood. The Wnt-1 and GLI proteins have now been placed in a signaling cascade downstream of the mammalian homologs of the Drosophila hedgehog and patched proteins. The Drosophila segment polarity gene hedgehog (hh) encodes a secreted protein that appears to function in embryonic and imaginal disc patterning. The ptc gene, also identified as a Drosophila segment polarity gene, encodes the transmembrane protein patched, the expression of which is precisely regulated during embryonic development. Hedgehog has been shown to enhance the expression of the Wnt family of proteins through a signaling cascade involving the GLI transcription factors, while patched functions as a repressor opposing the effects of hedgehog. Mutations in the ptc gene, which result in unregulated hedgehog signaling, have been correlated with the most common type of cancer, basal cell carcinoma, which affects 750,000 individuals annually in the United States alone. Function: Has a dual function as a transcriptional activator and a repressor of the sonic hedgehog (Shh) pathway, and plays a role in limb development. The full-length GLI3 form (GLI3FL) after phosphorylation and nuclear translocation, acts as an activator (GLI3A) while GLI3R, its C-terminally truncated form, acts as a repressor. A proper balance between the GLI3 activator and the repressor GLI3R, rather than the repressor gradient itself or the activator/repressor ratio gradient, specifies limb digit number and identity. In concert with TRPS1, plays a role in regulating the size of the zone of distal chondrocytes, in restricting the zone of PTHLH expression in distal cells and in activating chondrocyte proliferation. Binds to the minimal GLI-consensus sequence 5'-GGGTGGTC-3'. Subunit: The full-length GLI3 form (GLI3FL) interacts with SUFU and this interaction regulates the formation of either repressor or activator forms of GLI3. Its association with SUFU is regulated by Hh signaling and dissociation of the SUFU-GLI3 interaction requires the presence of the ciliary motor KIF3A (By similarity). Interacts with KIF7. The activator form of GLI3 (GLI3A) but not the repressor form (GLI3R) can interact with TRPS1. The phosphorylated form interacts with BTRC. Interacts with ZIC1. Interacts with ZIC3 (via C2H2-type domains 3, 4 and 5); the interaction enhances its transcriptional activity. Subcellular Location: Nucleus. Cytoplasm. Cell projection Tissue Specificity: Is expressed in a wide variety of normal adult tissues, including lung, colon, spleen, placenta, testis, and myometrium. Post-translational modifications: Phosphorylated on multiple sites by protein kinase A (PKA) and phosphorylation by PKA primes further phosphorylation by CK1 and GSK3. Phosphorylation is essential for its proteolytic processing. Transcriptional repressor GLI3R, a C-terminally truncated form, is generated from the full-length GLI3 protein (GLI3FL/GLI3-190) through proteolytic processing. This process requires PKA-primed phosphorylation of GLI3, ubiquitination of GLI3 and the presence of BTRC. GLI3FL is complexed with SUFU in the cytoplasm and is maintained in a neutral state. Without the Hh signal, the SUFU-GLI3 complex is recruited to cilia, leading to the efficient processing of GLI3FL into GLI3R. GLI3R formation leads to its dissociation from SUFU, allowing it to translocate into the nucleus, and repress Hh target genes. When Hh signaling is initiated, SUFU dissociates from GLI3FL and this has two consequences. First, GLI3R production is halted. Second, free GLI3FL translocates to the nucleus, where it is phosphorylated, destabilized, and converted to a transcriptional activator (GLI3A). Phosphorylated in vitro by ULK3. DISEASE: Defects in GLI3 are the cause of Greig cephalo-poly-syndactyly syndrome (GCPS) [MIM:175700]. GCPS is an autosomal dominant disorder affecting limb and craniofacial development. It is characterized by pre- and postaxial polydactyly, syndactyly of fingers and toes, macrocephaly and hypertelorism. Defects in GLI3 are a cause of Pallister-Hall syndrome (PHS) [MIM:146510]. PHS is characterized by a wide range of clinical manifestations. It mainly associates central or postaxial polydactyly, syndactyly, and hypothalamic hamartoma. Malformations are frequent in the viscera, e.g. anal atresia, bifid uvula, congenital heart malformations, pulmonary or renal dysplasia. It is an autosomal dominant disorder. Defects in GLI3 are a cause of type A1/B postaxial polydactyly (PAPA1/PAPB) [MIM:174200, 603596]. PAPA in humans is an autosomal dominant trait characterized by an extra digit in the ulnar and/or fibular side of the upper and/or lower extremities. The extra digit is well formed and articulates with the fifth, or extra, metacarpal/metatarsal, and thus it is usually functional. Defects in GLI3 are a cause of polydactyly preaxial type 4 (POP4) [MIM:174700]. Polydactyly preaxial type 4 (i.e., polydactyly on the radial/tibial side of the hand/foot) covers a heterogeneous group of entities. In preaxial polydactyly type IV, the thumb shows only the mildest degree of duplication, and syndactyly of various degrees affects fingers 3 and 4. Defects in GLI3 are the cause of acrocallosal syndrome (ACS) [MIM:200990]; also abbreviated ACLS. ACS is characterized by postaxial polydactyly, hallux duplication, macrocephaly, and absence of the corpus callosum, usually with severe developmental delay. Similarity: Belongs to the GLI C2H2-type zinc-finger protein family. Contains 5 C2H2-type zinc fingers. SWISS: P10071 Gene ID: 2737 Database links: Entrez Gene: 420769 Chicken Entrez Gene: 463369 Chimpanzee Entrez Gene: 483244 Dog Entrez Gene: 2737 Human Entrez Gene: 14634 Mouse Entrez Gene: 140588 Rat Omim: 165240 Human SwissProt: Q9IA31 Chicken SwissProt: Q5IS56 Chimpanzee SwissProt: P10071 Human SwissProt: Q61602 Mouse SwissProt: Q91660 Xenopus laevis Unigene: 21509 Human Unigene: 5098 Mouse Important Note: This product as supplied is intended for research use only, not for use in human, therapeutic or diagnostic applications. |
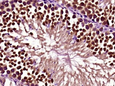
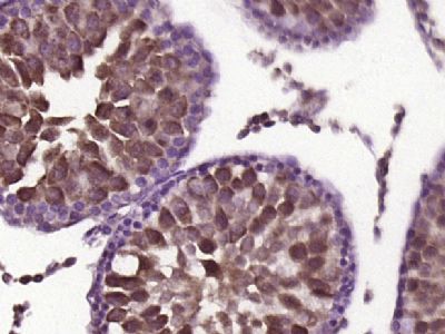
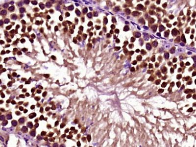
| 产品图片 | ![]() Paraformaldehyde-fixed, paraffin embedded (rat testis tissue); Antigen retrieval by boiling in sodium citrate buffer (pH6.0) for 15min; Block endogenous peroxidase by 3% hydrogen peroxide for 20 minutes; Blocking buffer (normal goat serum) at 37°C for 30min; Antibody incubation with (Gli3) Polyclonal Antibody, Unconjugated (bs-11565R) at 1:400 overnight at 4°C, followed by operating according to SP Kit(Rabbit) (sp-0023) instructionsand DAB staining. ![]() Paraformaldehyde-fixed, paraffin embedded (Mouse testis); Antigen retrieval by boiling in sodium citrate buffer (pH6.0) for 15min; Block endogenous peroxidase by 3% hydrogen peroxide for 20 minutes; Blocking buffer (normal goat serum) at 37°C for 30min; Antibody incubation with (Gli3) Polyclonal Antibody, Unconjugated (bs-11565R) at 1:400 overnight at 4°C, followed by operating according to SP Kit(Rabbit) (sp-0023) instructionsand DAB staining. |
风险提示:丁香通仅作为第三方平台,为商家信息发布提供平台空间。用户咨询产品时请注意保护个人信息及财产安全,合理判断,谨慎选购商品,商家和用户对交易行为负责。对于医疗器械类产品,请先查证核实企业经营资质和医疗器械产品注册证情况。
文献和实验基因表达调控的重点。现在的基因数据库信息丰富,拿到基因及其启动子序列非常简单。那么问题又来了,拿到启动子序列以后,下一步怎么找相关的调控蛋白/转录因子呢?生物信息学方法预测?你会得到很多可能的目标调控蛋白/转录因子,还要做实验一个一个验证。凝胶迁移(EMSA),染色质免疫共沉淀(ChIP)?只能针对已知能与启动子结合的调控蛋白/转录因子,而且还需要相应探针/抗体,对于大量筛选无能为力。美国Signosis的转录因子(结合启动子)微孔板芯片检测试剂可以方便、高效地解决这一问题。该方法专门用于筛查与特定DNA序列
原理: 将染色质和与之相互作用的转录因子和组蛋白通过甲醛等物质交联起来,然后通过超声将染色质打碎成小片段,加入针对特定转录因子或特殊修饰的组蛋白抗体,通过 Protein A/Protein G 微球或磁珠将抗体-转录因子-染色质复合物拖下来,通过 PCR 或测序的方法检测与目的蛋白相结合的 DNA 序列,进而研究这些转录因子在细胞发育或者生长中的作用位点。 ✦ ChIP-seq: ChIP-seq 将 ChIP 技术与二代测序相结合,将 ChIP 下来的 DNA 进行二代测序文库构建,能够获取
电极移动距离的大小是同其分子量的对数成反比。如果某种 DNA 分子结合上一种特殊的蛋白质,那么由于分子量的加大它在凝胶中的迁移作用便会受到阻滞,于是朝正极移动的距离也就相应的缩短,因而在凝胶中出现滞后的条带,这就是凝胶阻滞实验的基本原理。 3. 过程: 首先制备细胞蛋白质提取物(理论上其中含有某种特殊的转录因子) 用放射性同位素标记待检测的 DNA 片段(含有转录因子的结合位点) 这种被标记的探针 DNA 同细胞蛋白质提取物一起进行温育,于是产生DNA -蛋白质复合物,在控制使 DNA -蛋白质保持结合状态
技术资料暂无技术资料 索取技术资料












