相关产品推荐更多 >
万千商家帮你免费找货
0 人在求购买到急需产品
- 详细信息
- 文献和实验
- 技术资料
- 供应商:
上海联迈生物工程有限公司
- 库存:
大量
- 目录编号:
LM-11016R
- 克隆性:
多克隆
- 抗原来源:
Rabbit
- 保质期:
1年
- 抗体英文名:
GFAP delta
- 抗体名:
胶质纤维酸性蛋白GFAPδ抗体
- 宿主:
Rabbit
- 适应物种:
Human, Mouse, Rat, Dog, Horse,
- 免疫原:
KLH conjugated synthetic peptide derived from rat GFAP delta:51-150/432
- 亚型:
IgG
- 形态:
Lyophilized or Liquid
- 应用范围:
IHC-P=1:400-800 IHC-F=1:400-800 Flow-Cyt=3μg/Test ICC=1:100-500 IF=1:100-500 (石蜡切片需做抗原修复)
- 浓度:
1mg/ml
- 保存条件:
Store at -20 °C
- 规格:
100ul 200ul
| 英文名称 | GFAP delta |
| 中文名称 | 胶质纤维酸性蛋白GFAPδ抗体 |
| 别 名 | GFAP; GFAP_HUMAN; GFAPdelta; Glial fibrillary acidic protein; Glial fibrillary acidic protein delta; Intermediate filament protein. |
| 规格价格 | 100ul/1380元 购买 200ul/2200元 购买 大包装/询价 |
| 说 明 书 | 100ul 200ul |
| 研究领域 | 细胞生物 免疫学 神经生物学 干细胞 细胞粘附分子 |
| 抗体来源 | Rabbit |
| 克隆类型 | Polyclonal |
| 交叉反应 | Human, Mouse, Rat, Dog, Horse, |
| 产品应用 | IHC-P=1:400-800 IHC-F=1:400-800 Flow-Cyt=3μg/Test ICC=1:100-500 IF=1:100-500 (石蜡切片需做抗原修复) not yet tested in other applications. optimal dilutions/concentrations should be determined by the end user. |
| 分 子 量 | 50kDa |
| 细胞定位 | 细胞浆 |
| 性 状 | Lyophilized or Liquid |
| 浓 度 | 1mg/ml |
| 免 疫 原 | KLH conjugated synthetic peptide derived from rat GFAP delta:51-150/432 |
| 亚 型 | IgG |
| 纯化方法 | affinity purified by Protein A |
| 储 存 液 | 0.01M TBS(pH7.4) with 1% BSA, 0.03% Proclin300 and 50% Glycerol. |
| 保存条件 | Store at -20 °C for one year. Avoid repeated freeze/thaw cycles. The lyophilized antibody is stable at room temperature for at least one month and for greater than a year when kept at -20°C. When reconstituted in sterile pH 7.4 0.01M PBS or diluent of antibody the antibody is stable for at least two weeks at 2-4 °C. |
| PubMed | PubMed |
| 产品介绍 | background: This gene encodes one of the major intermediate filament proteins of mature astrocytes. It is used as a marker to distinguish astrocytes from other glial cells during development. Mutations in this gene cause Alexander disease, a rare disorder of astrocytes in the central nervous system. Alternative splicing results in multiple transcript variants encoding distinct isoforms. [provided by RefSeq, Oct 2008] Function: GFAP, a class-III intermediate filament, is a cell-specific marker that, during the development of the central nervous system, distinguishes astrocytes from other glial cells. Subunit: Interacts with SYNM. Isoform 3 interacts with PSEN1 (via N-terminus). Subcellular Location: Cytoplasm. Associated with intermediate filaments. Tissue Specificity: Expressed in cells lacking fibronectin. Post-translational modifications: Phosphorylated by PKN1. DISEASE: Defects in GFAP are a cause of Alexander disease (ALEXD) [MIM:203450]. Alexander disease is a rare disorder of the central nervous system. It is a progressive leukoencephalopathy whose hallmark is the widespread accumulation of Rosenthal fibers which are cytoplasmic inclusions in astrocytes. The most common form affects infants and young children, and is characterized by progressive failure of central myelination, usually leading to death usually within the first decade. Infants with Alexander disease develop a leukoencephalopathy with macrocephaly, seizures, and psychomotor retardation. Patients with juvenile or adult forms typically experience ataxia, bulbar signs and spasticity, and a more slowly progressive course. Similarity: Belongs to the intermediate filament family. SWISS: P47819 Gene ID: 24387 Database links: Entrez Gene: 14580 Mouse Entrez Gene: 24387 Rat SwissProt: P03995 Mouse SwissProt: P47819 Rat Unigene: 1239 Mouse Unigene: 91512 Rat Important Note: This product as supplied is intended for research use only, not for use in human, therapeutic or diagnostic applications. |
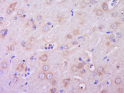
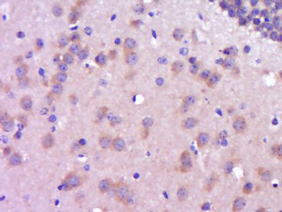
| 产品图片 | ![]() Paraformaldehyde-fixed, paraffin embedded (Rat brain); Antigen retrieval by boiling in sodium citrate buffer (pH6.0) for 15min; Block endogenous peroxidase by 3% hydrogen peroxide for 20 minutes; Blocking buffer (normal goat serum) at 37°C for 30min; Antibody incubation with (GFAP delta) Polyclonal Antibody, Unconjugated (bs-11016R) at 1:400 overnight at 4°C, followed by operating according to SP Kit(Rabbit) (sp-0023) instructionsand DAB staining. ![]() Paraformaldehyde-fixed, paraffin embedded (Mouse brain); Antigen retrieval by boiling in sodium citrate buffer (pH6.0) for 15min; Block endogenous peroxidase by 3% hydrogen peroxide for 20 minutes; Blocking buffer (normal goat serum) at 37°C for 30min; Antibody incubation with (GFAP delta) Polyclonal Antibody, Unconjugated (bs-11016R) at 1:400 overnight at 4°C, followed by operating according to SP Kit(Rabbit) (sp-0023) instructionsand DAB staining. ![]() Blank control (blue line): Hela (fixed with 80% methanol (5 min at -20℃) and then permeabilized with 0.1% PBS-Tween for 20 min at room temperature). Primary Antibody (green line): Rabbit Anti-GFAP delta antibody (bs-11016R),Dilution: 3μg /10^6 cells; Isotype Control Antibody (orange line): Rabbit IgG . Secondary Antibody (white blue line): Goat anti-rabbit IgG-PE,Dilution: 1μg /test. |
风险提示:丁香通仅作为第三方平台,为商家信息发布提供平台空间。用户咨询产品时请注意保护个人信息及财产安全,合理判断,谨慎选购商品,商家和用户对交易行为负责。对于医疗器械类产品,请先查证核实企业经营资质和医疗器械产品注册证情况。
文献和实验大鼠神经胶质纤维酸性蛋白(GFAP)酶联免疫分析(ELISA)
大鼠神经胶质纤维酸性蛋白 (GFAP) 酶联免疫分析( ELISA ) 试剂盒使用说明书 本试剂仅供研究使用 目的:本试剂盒用于测定大鼠血清,血浆及相关液体样本中 神经胶质纤维酸性蛋白(GFAP) 含量。 实验原理: 本试剂盒应用双抗体夹心法测定标本中大鼠神经胶质纤维酸性蛋白 (GFAP) 水平。用纯化的大鼠神经胶质纤维酸性蛋白 (GFAP) 抗体包被微孔板,制成固相抗体,往包被单抗的微孔中依次加入神经胶质纤维酸性蛋白
上海西唐生物科技有限公司 021-55229872, 65333639 www.westang.com 人胶质细胞酸性蛋白 ( GFAP )ELISA 试剂盒 ( 用于血清、血浆、细胞培养上清液和其它生物体液内 ) 原理 本实验采用双抗体夹心 ABC-ELISA 法。用抗人 GFAP 单抗包被于酶标板上,标准品和样品中的 GFAP与单抗结合,加入生物素化的抗人
上海西唐生物科技有限公司 021-55229872, 65333639 www.westang.com 大鼠胶质细胞酸性蛋白 (GFAP)ELISA 试剂盒 ( 用于血清、血浆、细胞培养上清液和其它生物体液内 ) 原理 本实验采用双抗体夹心 ABC-ELISA 法。用抗大鼠 GFAP 单抗包被于酶标板上,标准品和样品中的 GFAP 与单抗结合,加入生物素化的抗大鼠 GFAP ,形成免疫复合物连接在板上
技术资料暂无技术资料 索取技术资料













