相关产品推荐更多 >
万千商家帮你免费找货
0 人在求购买到急需产品
- 详细信息
- 文献和实验
- 技术资料
- 供应商:
上海联迈生物工程有限公司
- 库存:
大量
- 目录编号:
LM-10743R
- 克隆性:
多克隆
- 抗原来源:
Rabbit
- 保质期:
1年
- 抗体英文名:
Caspase-1 p20
- 抗体名:
天冬氨酸-胱氨酸特异性蛋白酶家族1 P20抗体
- 宿主:
Rabbit
- 适应物种:
Human, Mouse, Rat,
- 免疫原:
KLH conjugated synthetic peptide derived from human Caspase-1 p20:101-200/404
- 亚型:
IgG
- 形态:
Lyophilized or Liquid
- 应用范围:
WB=1:500-2000 ELISA=1:500-1000 IHC-P=1:400-800 IHC-F=1:400-800 ICC=1:100-500 IF=1:100-500 (石蜡切片需做抗原修复)
- 浓度:
1mg/ml
- 保存条件:
Store at -20 °C
- 规格:
100ul 200ul
| 英文名称 | Caspase-1 p20 |
| 中文名称 | 天冬氨酸-胱氨酸特异性蛋白酶家族1 P20抗体 |
| 别 名 | caspase-1 isoform alpha p20 subunit; CASP 1; CASP1; Caspase 1 apoptosis related cysteine peptidase; Caspase 1 apoptosis related cysteine protease; Caspase1; ICE; IL 1 beta converting enzyme; IL 1BC; IL1B convertase; IL1BC; IL1BCE; Interleukin 1 beta convertase; Interleukin 1 beta convertase precursor; Interleukin 1 beta converting enzyme; CASP-1; Interleukin-1 beta convertase; IL-1BC; Interleukin-1 beta-converting enzyme; ICE; IL-1 beta-converting enzyme; p45; Caspase-1 subunit p20. |
| 规格价格 | 100ul/1380元 购买 200ul/2200元 购买 大包装/询价 |
| 说 明 书 | 100ul 200ul |
| 研究领域 | 肿瘤 细胞生物 细胞凋亡 |
| 抗体来源 | Rabbit |
| 克隆类型 | Polyclonal |
| 交叉反应 | Human, Mouse, Rat, |
| 产品应用 | WB=1:500-2000 ELISA=1:500-1000 IHC-P=1:400-800 IHC-F=1:400-800 ICC=1:100-500 IF=1:100-500 (石蜡切片需做抗原修复) not yet tested in other applications. optimal dilutions/concentrations should be determined by the end user. |
| 分 子 量 | 20/46kDa |
| 细胞定位 | 细胞浆 |
| 性 状 | Lyophilized or Liquid |
| 浓 度 | 1mg/ml |
| 免 疫 原 | KLH conjugated synthetic peptide derived from human Caspase-1 p20:101-200/404 |
| 亚 型 | IgG |
| 纯化方法 | affinity purified by Protein A |
| 储 存 液 | 0.01M TBS(pH7.4) with 1% BSA, 0.03% Proclin300 and 50% Glycerol. |
| 保存条件 | Store at -20 °C for one year. Avoid repeated freeze/thaw cycles. The lyophilized antibody is stable at room temperature for at least one month and for greater than a year when kept at -20°C. When reconstituted in sterile pH 7.4 0.01M PBS or diluent of antibody the antibody is stable for at least two weeks at 2-4 °C. |
| PubMed | PubMed |
| 产品介绍 | background: This gene encodes a protein which is a member of the cysteine-aspartic acid protease (caspase) family. Sequential activation of caspases plays a central role in the execution-phase of cell apoptosis. Caspases exist as inactive proenzymes which undergo proteolytic processing at conserved aspartic residues to produce 2 subunits, large and small, that dimerize to form the active enzyme. This gene was identified by its ability to proteolytically cleave and activate the inactive precursor of interleukin-1, a cytokine involved in the processes such as inflammation, septic shock, and wound healing. This gene has been shown to induce cell apoptosis and may function in various developmental stages. Studies of a similar gene in mouse suggest a role in the pathogenesis of Huntington disease. Alternative splicing of this gene results in five transcript variants encoding distinct isoforms. [provided by RefSeq]. Function: Thiol protease that cleaves IL-1 beta between an Asp and an Ala, releasing the mature cytokine which is involved in a variety of inflammatory processes. Important for defense against pathogens. Cleaves and activates sterol regulatory element binding proteins (SREBPs). Can also promote apoptosis. Subunit: Heterotetramer that consists of two anti-parallel arranged heterodimers, each one formed by a 20 kDa (p20) and a 10 kDa (p10) subunit. The p20 subunit can also form a heterodimer with the epsilon isoform which then has an inhibitory effect. May be a component of the inflammasome, a protein complex which also includes PYCARD, CARD8 and NALP2 and whose function would be the activation of proinflammatory caspases. Interacts with CARD17/INCA and CARD18. Subcellular Location: Cytoplasm. Tissue Specificity: Expressed in larger amounts in spleen and lung. Detected in liver, heart, small intestine, colon, thymus, prostate, skeletal muscle, peripheral blood leukocytes, kidney and testis. No expression in the brain. Post-translational modifications: The two subunits are derived from the precursor sequence by an autocatalytic mechanism. Similarity: Belongs to the peptidase C14A family. Contains 1 CARD domain. SWISS: P29466 Gene ID: 834 Database links: Entrez Gene: 834 Human Entrez Gene: 12362 Mouse Entrez Gene: 25166 Rat Omim: 147678 Human SwissProt: P29466 Human SwissProt: P29452 Mouse SwissProt: P43527 Rat Unigene: 2490 Human Unigene: 1051 Mouse Unigene: 37508 Rat Important Note: This product as supplied is intended for research use only, not for use in human, therapeutic or diagnostic applications. |
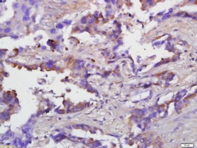
| 产品图片 | ![]() Sample: Stomach (Mouse) Lysate at 40 ug Stomach (Rat) Lysate at 40 ug Large intestine (Rat) Lysate at 40 ug Primary: Anti- Caspase-1 p20 (bs-10743R) at 1/300 dilution Secondary: IRDye800CW Goat Anti-Rabbit IgG at 1/20000 dilution Predicted band size: 20/46 kD Observed band size: 20 kD ![]() Paraformaldehyde-fixed, paraffin embedded (Human lung cancer); Antigen retrieval by boiling in sodium citrate buffer (pH6.0) for 15min; Block endogenous peroxidase by 3% hydrogen peroxide for 20 minutes; Blocking buffer (normal goat serum) at 37°C for 30min; Antibody incubation with (Caspase-1 p20 ) Polyclonal Antibody, Unconjugated (bs-10743R) at 1:400 overnight at 4°C, followed by a conjugated secondary antibody (sp-0023) for 20 minutes and DAB staining. ![]() Paraformaldehyde-fixed, paraffin embedded (Human brain glioma); Antigen retrieval by boiling in sodium citrate buffer (pH6.0) for 15min; Block endogenous peroxidase by 3% hydrogen peroxide for 20 minutes; Blocking buffer (normal goat serum) at 37°C for 30min; Incubation: Anti-Caspase-1 p20 Antibody, conjugated (bs-10743R-AF488) 1:400, 1.5 hours at 37°C; DAPI (5ug/ml, blue, C-0033) was used to stain the cell nuclei. |
风险提示:丁香通仅作为第三方平台,为商家信息发布提供平台空间。用户咨询产品时请注意保护个人信息及财产安全,合理判断,谨慎选购商品,商家和用户对交易行为负责。对于医疗器械类产品,请先查证核实企业经营资质和医疗器械产品注册证情况。
文献和实验人Caspase-1(Caspase-1)ELISA试剂盒 说明书
人Caspase-1 (Caspase-1)ELISA 试剂盒 ( 用于血清、血浆、细胞培养上清液和其它生物体液内 ) 原理 本实验采用双抗体夹心 ABC-ELISA 法。用抗人 Caspase-1 单抗包被于酶标板上,标准品和样品中的 Caspase-1与单抗结合,加入生物素化的抗人 Caspase-1 ,形成免疫复合物连接在板上,辣根过氧化物酶标记的 Streptavidin 与生物素结合,加入底物工作
天冬氨酸酶(caspase)家族,即半胱氨酸天冬氨酸特异性蛋白酶cysteinyl aspartate-specific proteinases)家族,并对其家族成员按发现顺序统一命名。 序 号 原 名 功 能 底物特异性 caspase-1
receptors);(2)细胞质内的 RIG-Ⅰ样受体(RIG-Ⅰ-like receptors)、AIM2 样受体(AIM2 like receptors)及 NOD 样受体(NOD-like receptors)。研究表明,位于细胞质内的一些 NOD 样受体/AIM2 样受体在细胞内能够直接或者通过接头蛋白 ASC(apoptosis-associated speck-like proteincontain a CARD)募集半胱氨酸天冬氨酸蛋白酶酶原(pro-Caspase-1),从而形成多蛋白复合
技术资料暂无技术资料 索取技术资料












